What is muscle 5? What is its actions? What is its innervation?

The blood supply to the posterior compartment of the thigh is primarily via…?
Perforating vessels from profunda femoris (deep artery of the thigh)
What is nerve 8? What will it go on to supply?

Common fibular nerve: anterior compartment of leg (via deep branch), lateral compartment of leg (via superficial branch), extensor digitorum brevis, extensor hallucis brevis
Vessels 4 and 5 enter the posterior thigh and popliteal fossa via a hiatus formed by muscle?

Adductor magnus
Tendon 4 belongs to which muscle?

Extensor hallucis longus
What is the prime action of tibialis posterior?
Plantarflexion of the ankle
What is muscle C? What is it innervated by? Where does it insert?

Identify muscle B.

Extensor hallucis longus
What is muscle A? What is it innervated by?

What is the prime action of muscle D?

Eversion of the foot
What innervates muscles C and D?

Superficial fibular nerve
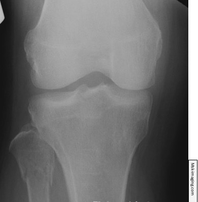
What findings would be consistent with a nerve injury associated with this fracture?

What is the action of A?

Contraction laterally rotates the femur on the tibia
How does the posterior tibial artery lie in relation to soleus? What branch does it give rise to? What does it terminate as?
What does the fibular artery supply?
The lateral compartment of the leg (fibularis longus and brevis)
The anterior and posterior tibial veins of the leg drain into the…?
Popliteal vein
The examination shown below tests which pair of spinal nerves?

S1, S2
Which muscle flexes joint 3?

Flexor hallucis longus
Muscles 2, 3 and 4 comprise which muscle layer of the sole of the foot?

2nd layer
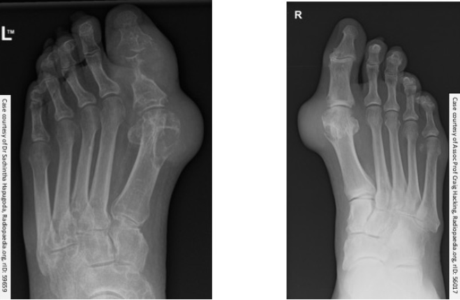
The abnormalities in these X-rays are typical of which condition?

Gout
Identify muscle 3.

Abductor hallucis
What innervates muscle 1?

Deep fibular nerve
Which muscle inserts on region 5?

Fibularis brevis
Which nerve innervates the skin in the region labelled 1?

Superficial fibular