What type of injury can be seen?

Surgical neck of humerus fracture
What nerve injury can be associated with a surgical neck fracture? How can this be tested?
Axillary nerve injury
Motor:
Sensory:
What type of injury can be seen?

Surgical neck fracture
What happens during a anterior dislocation of the shoulder?
the humeral head comes to lie anterior, medial and somewhat inferior to its normal location and glenoid fossa
What injury can be seen?

Anterior shoulder dislocation
What nerve injury can be associated with an anterior shoulder dislocation?
Axillary nerve injury
What can cause posterior shoulder dislocations?
What must you check for in posterior shoulder dislocations?
Bilateral dislocations
Why can posterior dislocations be missed initially on frontal radiographs in 50% of cases?
as the humeral head appears to be almost normally aligned with the glenoid
Which view is preferred for diagnosis of posterior shoulder dislocations?
Axillary view
What injury is this? What are the radiographic features?

Posterior shoulder dislocation
Who are supracondylar humeral fractures most commonly seen in?
Children (often 5-7)
What is the most common mechanism of injury for a supracondylar fracture?
FOOSH
What nerve and vessel injury can be associated with a supracondylar fracture? How can these be assessed?
Median nerve (anterior interosseous
Brachial artery
Sometimes no obvious fracture line for a supracondylar fracture can be identified. What should you look for instead?

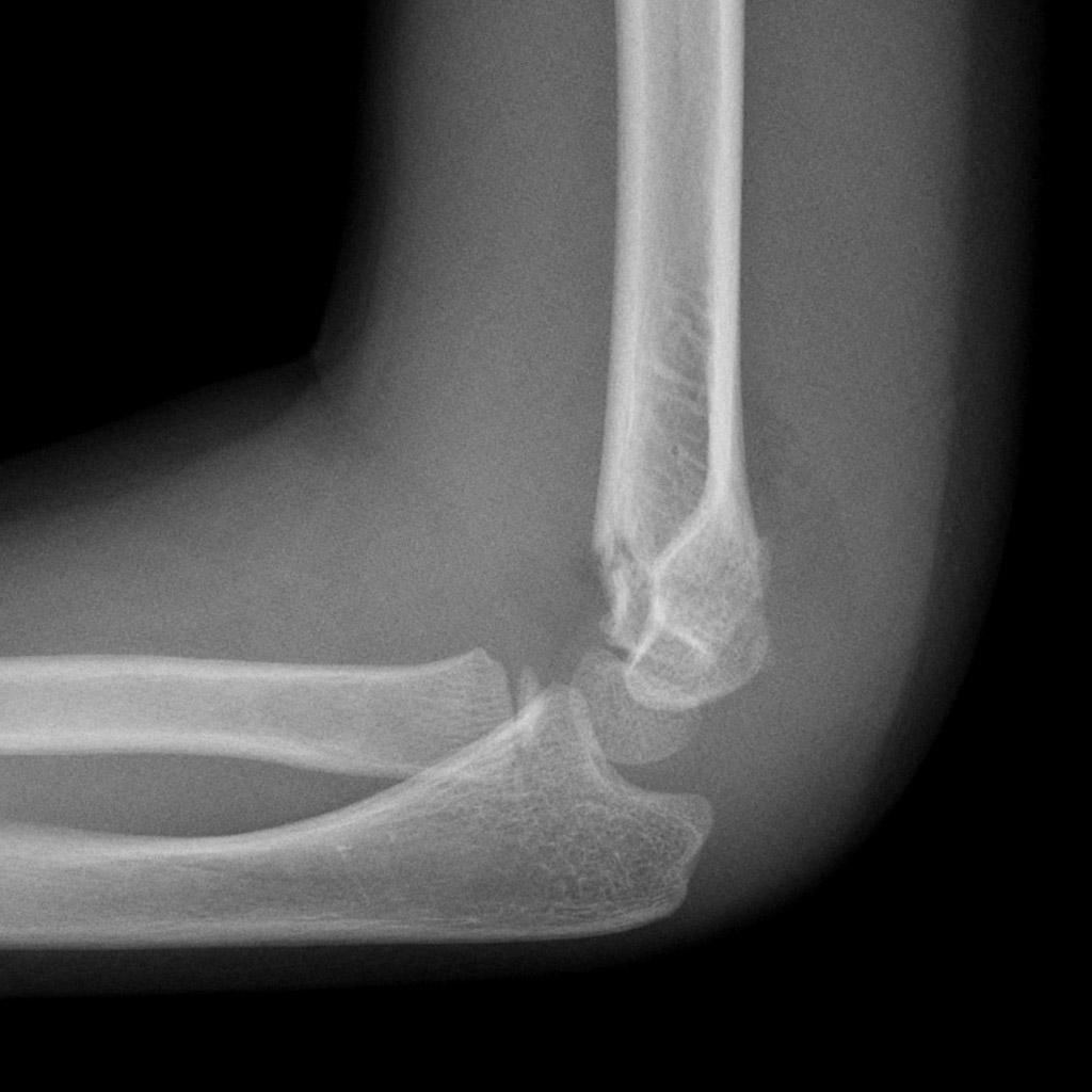
What injury can be seen?

Supracondylar fracture
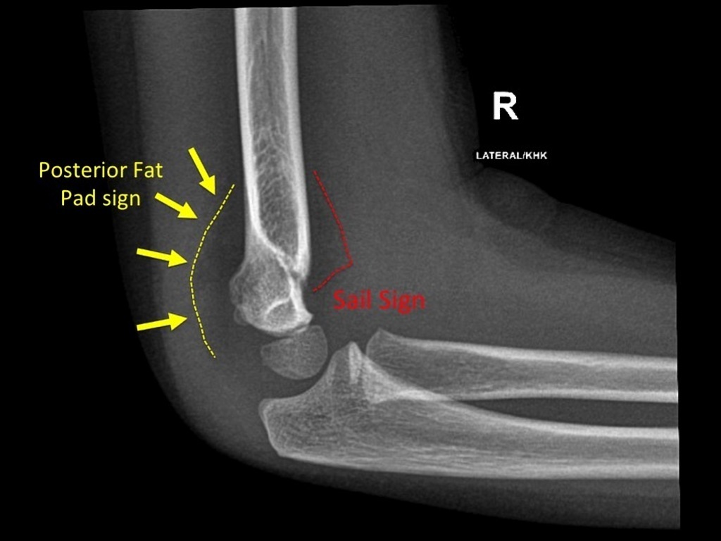
What is the posterior fat pad sign?
a lucent crescent of fat located in the olecranon fossa on a true lateral view of an elbow joint with the elbow flexed at a right angle

What does a posterior fat pad sign indicate? What should you look for in adults? In children?
Indicates an elbow joint effusion that suggests a non-displaced fracture
In adults: radial head fracture
In children: supracondylar fracture
What is the anterior fat pad sign?
The elevation fof the anterior fat pad to create a silhouette

What does an anterior fat pad sign indicate? What should you look for in adults? Children?
Joint effusion as anterior fat pad is elevated away from humerus –> intra-articular fracture
In adults: radial head fracture
In children: supracondylar fracture
What is an occult fracture?
A hidden fracture (doesn’t appear on xray)
What is a joint effusion almost always indicative of?
Elbow fracture
Where does the anterior fat pad sit? Posterior?
Anterior - coronoid fossa
Posterior - olecranon fossa

Xray of patient with gout. Is this an elbow joint effusion? How can you tell?
