What are the labels?

1a - sternal end
1b - mid-shaft
1c - acromial end
2a - acromion
2b - spine
2c - coracoid process
2d - glenoid fossa
2e - medial border
3a - lesser tubercle
3b - greater tubercle
3c - head of humerus
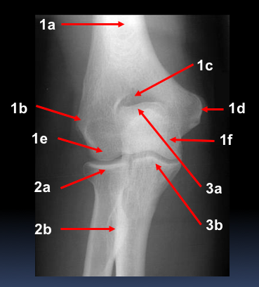
What are the labels?

1a - distal shaft
1b - lateral epicondyle
1c - olecranon fossa
1d - medial epicondyle
1e - capitulum
1f - trochlea
2a - radial head
2b - radial tuberosity
3a - olecranon
3b - coronoid process
What are the labels?

1 - humerus
2a - radial head
2b - radial tuberosity
3a - olecranon
3b - coronoid process
What are the labels?

1a - distal shaft of radius
1b - styloid process of radius
2a - ulna distal shaft
2b - styloid process of ulna
3 - scaphoid
4 - lunate
5 - triquetrium
6 - pisiform
7 - trapezium
8 - trapezoid
9 - capitate
10 - hamate
Clinical case: A 46 year old man was thrown from his bike. He had pain and deformity of his right shoulder.
What can you see? What is your diagnosis based on the patient’s presentation? Would you request an X-ray?

Does this x-ray confirm diagnosis of AC dislocation?

Yes - separation of acromion and clavicle
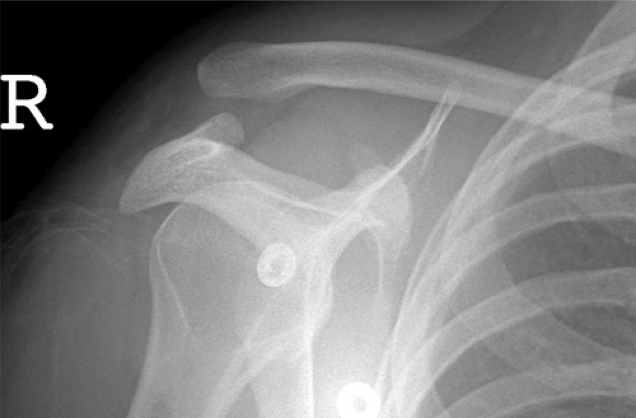
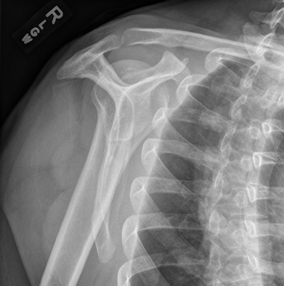
Clinical case: A 20 year old man fell whilst playing football. He had pain and deformity of his right shoulder. He cannot move it.
What can you see? What is your diagnosis? Do you need to request an X-ray?

In what dislocations would you need to do a bilateral x-ray (i.e. of the other side)?
Posterior shoulder dislocation - can occur on both sides
X-ray for: A 20 year old man fell whilst playing football. He had pain and deformity of his right shoulder. He cannot move it.
Does the X-ray confirm your diagnosis? What can you see in the X-rays?

AP view:
Need a 2nd view to confirm: Y-view
What are the 2 blue labels?

Coracoid process and head of humerus (seen here in anterior shoulder dislocation)
What is an AP view?
Anteroposterior view - the x-ray beam enters through the anterior aspect and exits through the posterior aspect of the chest.
What is a Y-view?

The Y-view is taken by aligning the x-ray beams parallel to the plane of the scapula so that it can be seen “floating” over the thoracic wall. In a healthy patient, the humeral head should be in alignment with the glenoid cavity of the scapula.

What is the radial styloid? What is the ulna styloid?
Styloid process is found at the distal end of both the ulna and the radius - is a projection of bone
Radial - projection on the lateral surface of the distal radius
Ulna - projection on the medial surface of distal ulna

What nerve is most at risk during an anterior shoulder dislocation?
Axillary nerve
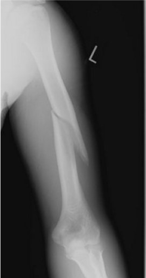
Clinical case: A 68 year old man fell whilst out walking his dog. His X-ray is shown.
Which part of the humerus is fractured?
Which nerve is vulnerable to injury and how may this present clinically?
What do you need to examine?

Clinical case: You are asked to review the X-rays of a 30 year old man on the Acute Medicine ward. He was admitted yesterday via A&E with generalised tonic-clonic seizure. Overnight he complained of pain in his right shoulder and the on-call doctor requested X-rays.
What do you make of the patient’s X-rays? What has happened?

What are the classic causes of posterior shoulder dislocation?
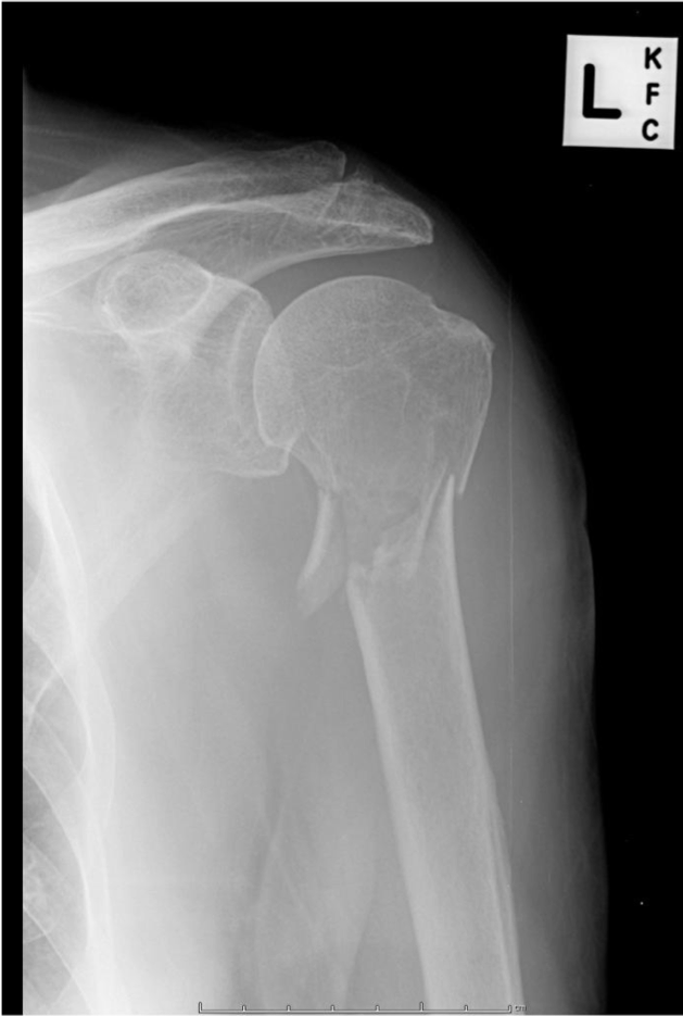
Clinical case: An 87 year old man fell at home. He had pain, deformity and bruising of his left arm. His X-ray is shown.
Which part of the humerus has been fractured?
What do you need to do in your examination of this patient?

During humeral shaft fractures that may affect the radial nerve, why is it better to test the motor function of the wrist than elbow?
As radial nerve comes down arm, the radial nerve has already given off some branches to triceps so will still get some extension at the elbow
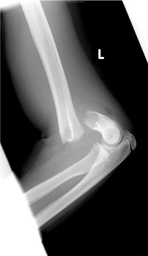
Clinical case: A 13 year old boy fell whilst playing with friends. His left arm was very painful and swollen.
What injury has been sustained?
What structures are vulnerable to injury?
How would you examine this patient?

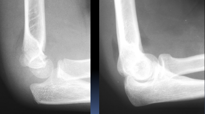
More subtle supracondylar fracture x-rays.

What are elbow fat pads?
A potential finding on elbow radiography which suggests a fracture of one or more bones at the elbow:
Which elbow fat pads are visible on an x-ray?
Often the small anterior fat pad can be seen on a normal lateral elbow x-ray
The posterior fat pad is never visible on a normal xray
What is an intraarticular fracture? How can it present on an x-ray?
A fracture inside the joint capsule - can cause bleeding and swelling inside the capsule
This pushes up against the fat pads and pushes them away from the humerus - become more visible on x-rays as dark grey areas anterior and posterior to the joint
