Label

Label

Label

Label

Label

Label

Label

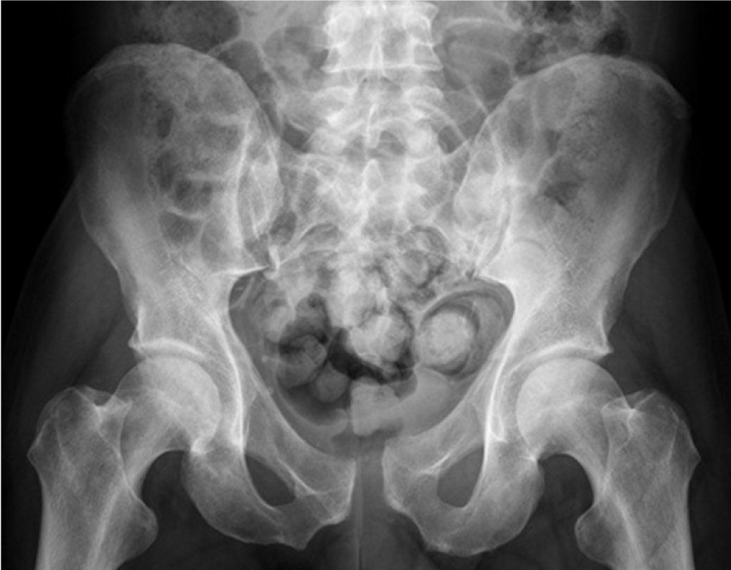
An 81 year old woman fell in her garden, and has pain in her right groin. Her right leg does not appear shortened or externally rotated. Her X-ray is shown.
What can you see?
What is meant by the ‘pubic ring’ and why is this important?


A 30 year old man was thrown from his motorbike at speed. His X-ray is shown.


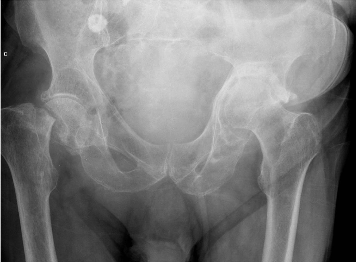
A 78 year old woman fell in her home. She could not get up again due to pain in her right groin. An ambulance was called.


An 48 year old man presented to the ED with 3-day history of left hip pain after falling in the shower. He was struggling to walk. On examination his left leg was a little shorter than the right and slightly laterally rotated.
What action would you take? Justify your course of action / investigation / management!


What do you make of the X-rays? How would you describe the injury? What do think the mechanism of injury was? Any concerns about other structures that could potentially be injured? What would you do next?


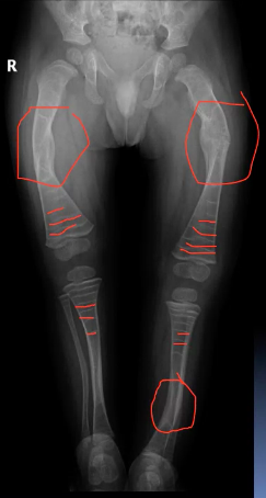
A mother brought her six-week old daughter to the ED. The child had become very irritable after the mother had accidentally twisted the infant’s right leg whilst changing her nappy.
The child was irritable and became distressed when her right leg was examined.

What abnormalities can you see in the X-ray of this child’s lower limb bones?
Can you explain the abnormal appearance?


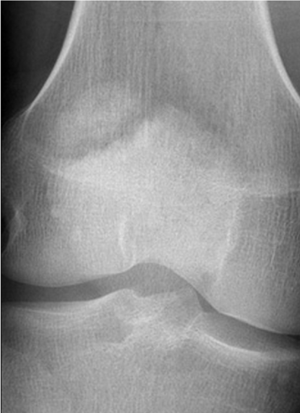
A 70 year old woman presented to her GP with a long history of pain in her left knee that was becoming worse and limiting her movement.
On examination the patient had a good range of movement, but there was some discomfort in her left knee on movement and crepitus (crunchy noise and feeling when moving joint).


This 75 year old woman presented with difficulty walking and knee pain. How would you describe these X-rays?


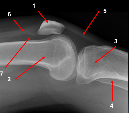
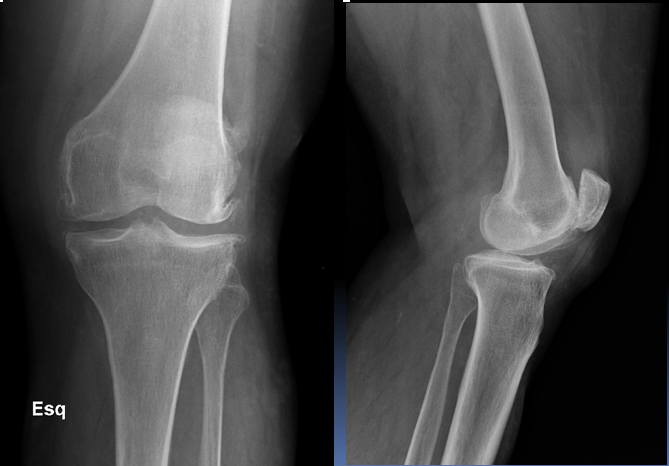
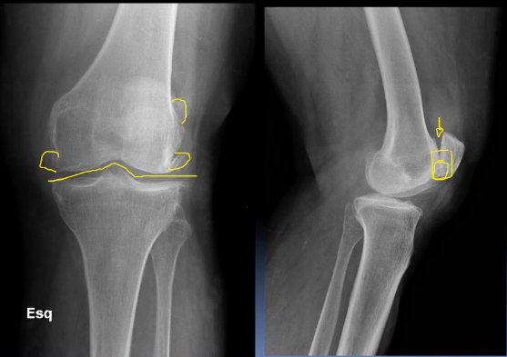
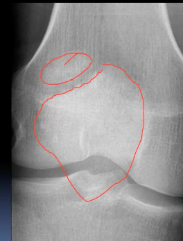
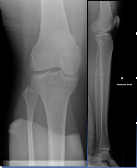
A 30 year old man presented to the ED with left knee pain after a cycling accident.
On examination there was no deformity, but it was painful for him to weight-bear. Movements of his knee were painful, and this limited his movements.


What is a lipohemarthrosis?

Results from an intra-articular fracture with escape of fat and blood from the bone marrow into the joint, and is most frequently seen in the knee.

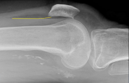
What normal variant can be seen in this image?


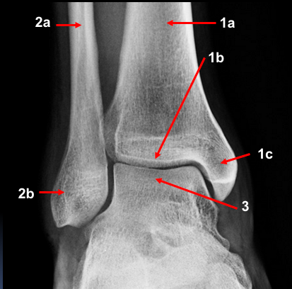
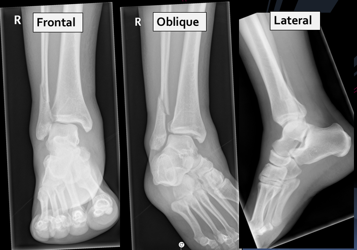
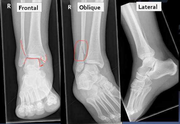
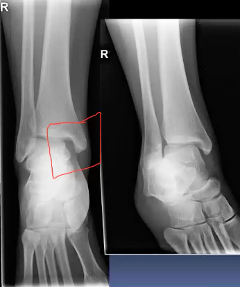
A 25 year old man presented to the ED with right ankle pain after a fall.
He was struggling to walk. His ankle was swollen and tender on examination. Movement was limited due to pain.
What can you see? What injuries are present?


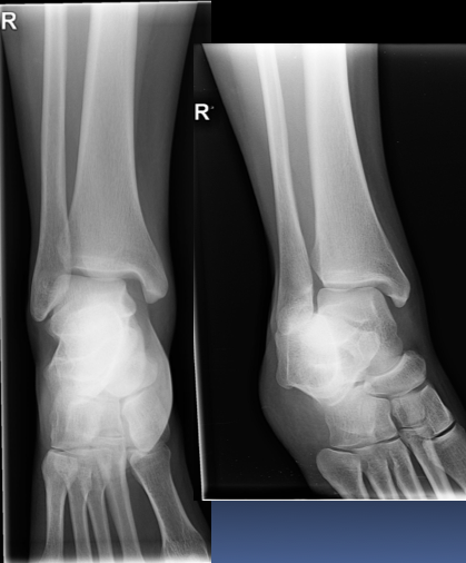
A 30 year old woman presented to the ED with right ankle pain after a fall. She was struggling to walk. Her ankle was swollen and tender on examination. Movement was limited due to pain.


AP and lateral fibula:

What is a maisonneuve fracture?
A combination of a fracture of the proximal fibula together with an unstable ankle injury (widening of the ankle mortise on x-ray)