INFECCIOSES Flashcards

(251 cards)

1
Q

Efecto adverso más frecuente de la daptomicina?

A

Incremento CPK

How well did you know this?
1
Not at all
2
3
4
5
Perfectly
2
Q

Antipseudomónicos

A

Para MAChACar Las CInCo pseudos ( 10 )
Pipertazo
Meropenem
Aztreonam
Cefepime
Aminoglu
Ceftazidima
Levofloxacino
Colistina
Imipenem
Cipro

How well did you know this?
1
Not at all
2
3
4
5
Perfectly
3
Q

Con qué se relaciona las becteriemias por S.bovis

A

Neoplasias intestino

How well did you know this?
1
Not at all
2
3
4
5
Perfectly
4
Q

Tto elección E.faecalis

A

Ampicilina

How well did you know this?
1
Not at all
2
3
4
5
Perfectly
5
Q

Qué mo tienen como tto elección la ampicilina?

A

Listeria
E. Faecalis

How well did you know this?
1
Not at all
2
3
4
5
Perfectly
6
Q

ATB CI en la gestación

A

Aminoglucósidos
Tetraciclinas
Quinolonas

How well did you know this?
1
Not at all
2
3
4
5
Perfectly
7
Q

Unicos ATB VO que cubren Pseudomona aeruginosa?

A

Quinolonas

How well did you know this?
1
Not at all
2
3
4
5
Perfectly
8
Q

Efectos adversos quinolonas

A

Gastrointestinales, neurológicos y musculoesqueléticos
Rotura tendón aquiles

How well did you know this?
1
Not at all
2
3
4
5
Perfectly
9
Q

Quinolona anaerobia

A

Moxifloxacino

How well did you know this?
1
Not at all
2
3
4
5
Perfectly
10
Q

Quinolonas respiratórias

A

3a i 4a:
Levofloxacino i moxifloxacino

How well did you know this?
1
Not at all
2
3
4
5
Perfectly
11
Q

ATB de elección en bacterias intracelulares

A

TQM
Tetraciclinas
Quinolonas
Macrolidos

How well did you know this?
1
Not at all
2
3
4
5
Perfectly
12
Q

Efecto adverso tetraciclinas

A

Fototoxicidad ( doxiciclina ) , discoloración dientes y huesos en niños

How well did you know this?
1
Not at all
2
3
4
5
Perfectly
13
Q

tto Toxoplasmosis

A

Sulfadiazina-pirimetamina

How well did you know this?
1
Not at all
2
3
4
5
Perfectly
14
Q

Único ATB frente MARSA que se puede administrar VO

A

Linezolid

How well did you know this?
1
Not at all
2
3
4
5
Perfectly
15
Q

Efecto adverso Linezolid

A

Mielosupresión ( trombocitopenia )

How well did you know this?
1
Not at all
2
3
4
5
Perfectly
16
Q

Qué inactiva a la daptomicina?

A

Sulfactante pulmonar - Nunca usar neumonías

How well did you know this?
1
Not at all
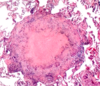
2
3
4
5
Perfectly
17
Q

En qué bacterias GN no actua la tigeciclina?

A

Pseudomona
Proteus
Providencia

How well did you know this?
1
Not at all
2
3
4
5
Perfectly
18
Q

Con qué farmaco se produce el efecto disulfiram con el OH?

A

Metronidazol

How well did you know this?
1
Not at all
2
3
4
5
Perfectly
19
Q

ATB anaerobis

A

Carbapenem
Metronidazol
Clindamicina
Amoxiclav
Ampisulbac
Pipertazo
Cefoxitina
Moxifloxacino
Cloramfenicol
Tiglicilina

How well did you know this?
1
Not at all
2
3
4
5
Perfectly
20
Q

Mo relacionado con patologia del colon

A

S. Gallolyticus

How well did you know this?
1
Not at all
2
3
4
5
Perfectly
21
Q

Efecto adverso Vancomicina

A

Sd hombre rojo

How well did you know this?
1
Not at all
2
3
4
5
Perfectly
22
Q

Aminoglucosidos

A

La GENTe AMIga NEOnazi ESToRBA
Gentamicina
Amikacina
Neomicina
Estreptomicina
Tobramicina

How well did you know this?
1
Not at all
2
3
4
5
Perfectly
23
Q

Macrólidos

A

ERIc AZota a CLARa
Eritromicina
Azitromicina
Claritromicina

How well did you know this?
1
Not at all
2
3
4
5
Perfectly
24
Q

Bacterias cubre cotrimoxazol

A

Nocardia
Pneumocistis jiro
Strenotrophomona maltophila

How well did you know this?
1
Not at all
2
3
4
5
Perfectly
25
Qué ATB tienen una vida media larga
Lipoglucopépticos: dalbavancina telavancina oritavancina TELA la ORITA que actuan en el DALtonico
26
ATB contra carbapenemasa
Colistina Fosfomicina Aminoglucosidos ( plazomicina ) Cefalosp nuevas ( ceftolozano-tazobactam, ceftazidima-avibact )
27
ATB contra BLEA
Carbapenems
28
ATB contra acinetobacter
Ampicilina-sulbact ( S ) Colistina ( R )
29
ATB Enterococos
E. Faecalis - Ampicilina E. Faecium - Vancomicina, Daptomicina, Linezolid
30
Uso principal Tigeciclina
Inf. Intraabdominal ( no cubre pseudomonas )
31
Criterios dx Shock tóxico estafilocócico
Fiebre > 39 Hipotensión Rash difuso macular Afectación multiorgánica Negatividad serologia otras patologias
32
Grupo HACEK
Crecimiento lento : Haemophilus parainfluenzae Actinobacillos actinomyc Cardiobacterium hominis Eikenella corrodens Kingella kingae
33
Dónde aparecen manchas Janeway
En palmas y plantas en la endocarditis infecciosa
34
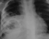
Rx con múltiples lesiones cavitadas en paciente UDVP o portador de cateter
Endocarditis derecha
35
Tto empirico endocarditis infecciosa
VN: Cloxacilina + Ampicilina + Gentamicina VP: Vancomicina + Rifampicina + Gentamicina
36
Criterios qx cardíaca en la endocarditis inf
- IC refractaria - No control infección - Prevención embolismos
37
Tto endocarditis por E. faecalis
Ampicilina + ceftriaxona ( gentamicina )
38
Tto endocarditis S. Aureus resistente
Vancomicina Daptomicina
39
FR endocarditis cavidades derechas
Marcapasos UDPV Cateteres venosos centrales
40
Encefalitis originada por sarampión < 2 años
Panencefalitis esclerosante subaguda
41
Clinica abceso SNC
Tríada clásica de Osler Cefalea Fiebre Focalidad neurológica
42
Que no realizar si sospecha de abceso
PL
43
Tto abceso SNC
Ceftriaxona ( 3ag ) + Metronidazol Si TCE: Meropenem ( pseudomonas ) + Vanco ( estafilo ) NO CORTIS MAI
44
FR meningitis por Listeria
> 50 años Embarazada Neonato Immunodeprimido
45
En qué meningitis aparece rash maculopapular difuso
Meningocócica
46
Etiologia 90% meningitis virales
Enterovirus ( coxsackie, echo )
47
Meningitis con afectación pares craneales?
1. Listeria 2. TBC 3. VIH
48
Tto empírico meningitis bacteriana
Cefrtiaxona ( 3ag ) + Vancomicina + Ampicilina ( si fr listeria ) Si Fr pseudomona -> Meropenem Cortis adyuvantes
49
Meningitis que presenta glucosa normal
Virica
50
Qué sospechar lo primero en una meningitis subaguda linfocitaria con disminucion de la glucosa
TBC
51
Diferencia meningitis con encefalitis
1. La encefalitis da clínica pseudopsiquiátrica i no sd meningeo 2. Meningitis enterovirus / encefalitis VHS-1 3. Meningitis buen pronostico / Encefalitis malo ( mort 80% ) 4. Encefalitis das aciclovir i dx RM, EEG
52
Qué descartar en dolor lumbar progresivo, febrícula y afectación raíces lumbares
Espondilodiscitis con RM
53
Prueba más sensible para diferenciar una diarrea inflamatoria de una no
Lactoferrina en heces
54
tto Clostridium difficile
Vancomicina VO / Fidaxomicina VO ( caro ) Si fulminante : + Metronidazol IV Si recurrentes sin respuesta: Tx microbiota fecal
55
ATB no resistente E.coli
Cefalosporinas Aztreonam Carbapenem Aminoglucósidos
56
Complicaciones inf Campylobacter
Artritis reactiva Sd Guillain-Barré
57
Predisposición de infecciones abdominales en pacientes con hemocromatosis
V vulnificus Yersinia enterocolitica
58
De qué infecciones abdominales es reservorio el humano
Shigella Giardia Cólera Samlonella typhi
59
Qué enterobacteria produce cáclulos coraliformes
Proteus mirabilis
60
En qué situaciones damos ATB salmonella
Neonatos < 3m > 50 años ( ateroma ) Trasplantados, Sd linfoproliferativo, VIH, prótesis, drepanocitosis
61
Enterobacterias que actuan < 6 horas
S Aureus
62
Leche sin higienizar en qué patologias pienso
Listeria Brucella
63
Menignitis + Ojos rojos
Leptospirosis
64
Sd Weil
( Leptospirosis ) Ictericia FRA Coagulopatia
65
Paciente en unos campamentos con clinica de parálisis facial y esta lesión
Enfermedad Lyme ( borrelia )
66
MO causante de la lesión en mancha negra con fiebre alta, mialgias y exantema palmoplantar
Rickettsia conorii -- Rhipicephalus sanguineus ( garrapata perro ) Fiebre botonosa mediterránea
67
Qué causa enfermedad arañazo gato?
Bartonella henselae
68
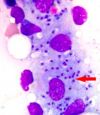
Qué enfermedad se relaciona con esta imagen?
Angiomatosis bacilar ( causada B. henselae o B. quintana )
69
3 Espiroquetas
Borrelia Treponema Leptospira
70
Qué provoca Tifus ePidemico
Piojo del cuerpo R. Prowazekii Afecta a Personas
71
Estadios enfermedad Lyme
1. Eritema migratorio 2. Paralisis facial + bloq AV 3. Artritis
72
Reactivación tifus epidemico
Enf Brill-Zinser
73
Zoonosis no vectoriales
Brucelosis Leptospirosis Fiebre Q ( Coxiella burnetti )
74
No zoonosis transmitidas por piojos
Fiebre trincheras ( bartonella quintana ) Rickettsia prowazekii ( tifus epidemico ) Borrelia recurrentis ( F recurrente epidemica )
75
Enfermedades transmitidas por pulgas
Tifus endémico ( rickettsia thyphi ) Peste ( Yersinia pestis ) Enf arañazo gato ( bartonella henselae )
76
En qué zoonosi se usa la tinción Bengala
Brucelosi
77
Transmisión fiebre Q
Inhalación
78
Primera orientación en paciente immunodeprimida ( neutropenica ) y febril que no mejora con ATB + signos pulmonares
Aspergilosis invasiva
79
En qué situación se prefiere la higiene con agua y jabón respecto a la hidroalcoholica
Formadores esporas ( clostridium difficile )
80
Paciente con criterios de sepsis y ectima gangrenoso?
Pseudomona aeruginosa
81
Hepatópata con criterios sepsis, lesiones ampollosas y antecedentes de consumo de marisco
Vibrio vulnificus
82
Esplenectomizado con mordedura perro, hay riesgo de
Capnocytophaga canimorsus
83
Criterios qSOFA
1. Alteración mental 2. PA sistólica < 100 3. FR >22
84
Fiebre las primeras 48h postqx a qué organismos está debido
S. pyogenes C. difficile
85
Ante un paciente neutropénico con persistencia de fiebre a pesar de antibioterapia de amplio espectro
Sospechar infección fúngica
86
Tto neutropenia
B-lactamico cubra pseudomona + Vancomicina ( si risc GP ) Si fiebre persiste > 4 dias: Antifungico
87
Riesgo infección en un transplantado a partir del mes hasta 6 m
CMV
88
B. ENCAPSULADOS
S. pneumoniae H. influenzae N. mening Capnocytop. canimors
89
Tto acinetobact baumanii
Ampicilina-sulbactan Colistina si resist
90
Virus más relacionado con Sd hemofagocitico
VEB
91
Aerosolización como via de entrada en una neumonía para que mo
M. tuberculosis Legionella Coxiella burnetii Virus respiratorios
92
Criterios escala CURB65
Confusion Urea > 42 Respiratory > 30 rpm Blood pressure PAS< 90/ <60 > 65 AÑOS 1-2 OBS / >3 UCI
93
Neumonia + endocarditis + meningitis neumocóccica
Sd Austrian
94
MO causante neumonía más frecuente
Neumococo
95
MO causante neumonía atipicos
Coxiella Chlamydia Legionella Mycoplasma
96
MO causante neumonía más frecuente en adolescentes atipico
Mycoplasma
97
Como se ve que un esputo es de vias bajas
> 25 PMN < 10 cel epiteliales
98
Aminoglucosidos
La GENTe AMIga NEOnazi ESTorba Gentamicina Amikacina Neomicina Estreptomicina
99
Macrólidos
Claritromicina Azitromicina Eritromicina
100
Tto neumonía
101
Tto neumonia con fiebre persistente + esputo putrico y niveles hidroaéreos
Abceso --> No metronidazol Amoxiclav, clindamicina, ertapenem ,moxifloxacino
102
Quinolonas respiratorias
Moxifloxacino Levofloxacino ( NO CIPRO )
103
Dx Legionella
Detección antigeno en orina ( serolog 1 ) Neutrofilos en esputo Cultivo con medio BCYE
104
Asociaciones immunomediadas mycoplasma pneumoniae
Eritema multiforme Miringitis bullosa Anemia hemolítica Ac frios
105
Dx NOCARDIA
Filamentos ramificados ácido-alcohol resistentes al usar coloración débil ( Ziehl-Nielsen )
106
Tto Sifilis
1a,2a, lat temprano - 1 dosis PENI IM Lat tardio - 3 dosis PENI IM ( 1/ sem ) --- si alergico doxiciclina Neurosifilis / oft / otica - PENI IV 2 semanas --- si alergico desens
107
Dx sifilis
NO cultiva ( campo oscuro ) Serologia : P. NO TREPONEM ( RPR, VDRL ) negativas con tto, positivas tardia P. TREPONEMICAS ( FTA-ABS, MHA-TP ) Positivos primero de por vida + ( ICS, EIA screening )
108
Cuando realizamos PL en sospecha neurosifilis
1. Sintomatologia SNC, ojo, oido 2. No responde tto 3. VIH < 350
109
Tto chancroide
Azitromicina
110
Tto Linfogranuloma venereo
Doxiciclina
111
Tto empirico uretritis
Ceftriaxona 500 + azitromicina vo / doxiciclina o Ceftriaxona 1 g ( si es gonococo mismo tto )
112
Tto dirigido uretritis no gonococcica
Doxiciclina
113
Qué enfermedades sus Ac no confieren immunidad
VHC, sifilis, tos ferina, tetanos
114
Qué 3 tipos de IPPB causa la pseudomona ?
Estima gangrenoso en neutropenicos Foliculitis jacuzzi Celulitis tras lesión penetrante
115
Fascitis necrotizante en zona perianal
Gangrena de Fournier
116
UDVP con cuadro de dolor intenso en una extremidad, fiebre y rápido deterioro del estado general
Fascitis necrotizante ( S.Pyogenes )
117
tto fascitis necrotizante / miositis
Pipertazo o Carbapenem + Vanco / dapto / linezolid
118
Qué parálisis produce el botulismo?
Descendente simétrica ( contrario Guillain-barré )
119
Masas pseudotumorales induradas con curso crónico e indolente que se confunden con neo maligna y drenan granos de azufre
Actinomicosis
120
Qué patologia cursa con un granuloma caseificante con necrosis central
TBC
121
Paciente VIH+ con ganglio asintomático cervical
TBC ganglionar ( escrófula )
122
Piuria con cultivo rutinario negativo y orina acida
TBC
123
De qué son patognomónicos los tuberculos coroideos?
TBC miliar
124
En qué situaciones alargamos fase mantenimiento del TBC a 7-10 meses
1. TBC osea, SNC, diseminada 2. Silicosis 3. Cavitada esputos + > 2 meses 4. VIH < 100 CD4
125
Qué fármaco para TBC evitaremos en pacientes con gota?
Pirazinamida
126
Tto estándar TBC
F. inducción ( 2 m ) RIPE ( rifampicina, isoniacida, pirazinamida, etambutol ) F. mantenimiento ( 4 m ) RI ( rifampicina, isoniacida )
127
Tto TBC multiresistente
A: Quinolonas, Bedaquilina, Linezolid B: Clofazimina, Cicloserina/ terizidona C: Amikacina meropenem etambutol ( PRETOMANID )
128
Falsos positivos i negativos Mantoux
F+: Vacunación, otras mycobacterias, TBC tto F-: Infección reciente, I- , Inf antigua ( ef booster )
129
Grupos en los que tenemos que descartar inf tbc latente
- VIH, AntiTNF, Hemodialisis, Tx, CC - Silicosis, TBC pasada sin atb/ rx sugerente - Hospital, paises incidentes, advp - Ha pasado de - a + en < 2 a Si mantoux/ igras + tratamos
130
Algoritmo contacto estrecho TBC
131
Fenómeno lucio
Múltiples úlceras cutáneas en la lepra lepromatosa que pueden causar la muerte al generalizar
132
Dx lepra tuberculoide
Prueba cutánea Mitsuda
133
De qué micobacteria atipica se contagian los VIH <50 CD4
MAC ( M. avium )
134
Fiebre y cefalea en paciente VIH que en el LCR con tinta china observamos:
Criptococo
135
Eritema migratorio és una lesión tipica de la inf por
Borrelia burgdorferi ( E. Lyme )
136
Qué virus son ADN
Herpesvirus Adenovirus Papilomavirus Poxvirus ( viruela, molluscum ) VHB Parvovirus B19
137
A qué farmaco se relaciona el sd Reye
Aspirina
138
Qué provoca el VHH-8
Sarcoma de kaposi
139
Faringoamigdalitis estreptococica en la que pautamos amoxicilina i aparece un rash maculopapular
Mononucleosis infecciosa
140
Dx mononucleosis inf
Test Ac de Paul-Bunnell ( sintomas tipicos ) Ac especificos anti-VEB
141
Con qué enfermedades se relaciona el VEB
Leucoplasia oral vellosa Linfoma no hodgkin Linfoma burkitt Cancer cavum
142
Cómo diferenciamos un sd mononucleósido de VEB con CMV
CMV no presenta adenopatias ni afectación faringe
143
A qué virus se asocia el eritema multiforme
VHS
144
Dx VHS
PCR T. Tzanck ( cel epiteliales gigantes multinucleadas )
145
Donde se une el VEB
A CD21 en los LB
146
EA tto con ganciclovir
Neutropenia
147
Criterios sd hemofagocitico
Macrófagos fagocitan cel propias: Temp > 38º Esplenomegalia Citopenias Hipertrigliceridemia Ferritina > 500!!!!! disminución NK, aumento CD25 ( I- ) hemofagocitosis MO, higado, bazo
148
Paciente con parestesias que presenta cuerpos de negri en la biopsia
Rabia
149
Virus oportunista más frecuente en transplantados
CMV
150
Zoonosis transmitida por camellos
MERS
151
Qué infección por arbovirus provoca dolor retroorbitario
Dengue
152
Qué infección por arbovirus provoca artralgias/ artritis que persisten durante meses
Chikunguya
153
Qué infección por arbovirus provoca microcefalia
Zika
154
Antiviral para COVID-19 que accelera tiempo de recuperación
Remdesivir
155
Fármacos immunomoduladores en sars-cov-2
Con covid DESeabamos irnos TOdos de BARes Dexametasona Tocilizumab Baricitinib ( remdesivir )
156
Escala que valora gravedad covid 19
Brescia
157
Paciente con fiebre alta, esplenomegalia i panictopenia que presenta un aspirado de mo con
Leishmaniasis visceral
158
Profilaxis malaria
Atovacuona-proguanil Mefloquina ( embarazada ) Doxiciclina ( fototoxicidad )
159
Paciente esplenectomizado que le ha picado una garrapata i presenta anemia hemolítica
Babesia
160
Tto P. vivax i P. Ovale
( La PRIMA VIOLeta te HIPNOtiza ) Se añade Primaquina a la infección por P.VIvaz y p. OvaLE para erradicar HIPNOzoítos
161
Dx malaria
GOTA GRUESA ( no vemos especie ni indice parasitemia ) Frotis sangre periférica Immunocromatografía ( test rápido )
162
Tto malaria
GRAVEDAD: Artesunato iv NO GRAVEDAD: P. falciparum: Dihidriartemisina- piperaquina vo En el resto cloroquina si no resistente si ovale/vivax: + Primaquina ( hipnozo ) EMBARAZADAS: Quinina + clindamicina
163
Tto amebiasis
Paramomicina + metronidazol ( en abceso hepático ) + cefriaxona ( si infección bacteriana )
164
Cuidadora de una guarderia que presenta diarreqa sin más sintomatología, qué tratamiento?
Giardia lamblia ( metronidazol )
165
Dx i tto leishmaniasis
Biopsia MO, Tinción agar NNN Anfotericina B liposomal
166
Tto de un paciente sudamerica que acude a consulta por palpitaciones, disnea i edema en EEII
Trypanosoma cruzi ( chagas ) Benznidazol ( nifurtimox )
167
Paciente que tras comer carne de caza presenta miositis i calambres
Triquinosis
168
Niño que tiene un perro que se queja de visión borrosa. Hacemos fondo de ojo
Toxocariasis ( retinoblastoma )
169
Familia que acude por prurito anal nocturno. Qué tinción realizamos?
Enterobius vermicularis ( oxiuriasis ) T. Graham
170
Tto nematodo que produce linfedema crónico
Filariasis linfática ( wuchereria bancrofti ) DEC ( dietilcarbamazina )
171
Tto filarias que afectan a los ojos
LOA LOA ( foto ) DEC: dietilcarbamazina Oncocercosis ( ceguera rios ) Ivermectina
172
Qué produce la tenia que se transmite por el cerdo?
T. Solium ( tomate solis con bacon cerdo ) --> Neurocisticercosis
173
Paciente asintomática que tras un TC casualmente se observa
Quiste hidatídico ( echinococus granulosus )
174
Qué produce Sd Loefter?
Ascaris ( eosinofilia pulmonar )
175
Tto estrongiloides?
Ivermectina ( recuerda inoculación cutánea i sd hiperinfestación en I- )
176
Qué protozoo provoca carcinoma vesical de cel escamosas
Schistosoma haematobium
177
tto tremátodos
pranziquantel
178
Tto fasciola hepatica
Trialbendazol + bitionol
179
Qué virus provocan un sd mononucleósido ( linfocitosis atípica )
( Como vi toto, he limpiado por si ruben se entera ) CMV VIH Toxoplasma Hepatitis virales Linfomas Sifilis Rubeola Parvovirus B19
180
Manifestación extrapulmonar más frecuente TBC
Adenitis tuberculosa
181
Agente etiologico que provoca celulitis en paciente sometido a vaciamiento ganglionar
Streptococcus pyogenes
182
Un paciente con infección VIH se presentó con 40 linfocitos cd4, se inició tratamiento antirretroviral y 3 semanas mas tarde desarrolló un cuadro de fiebre, malestar general y adenopatías cervicales bilaterales.
Síndrome de reconstitución inmune (SIRI) ( antiinflamatorios para las formas leves o corticoides para las formas más graves )
183
A qué se asocia la Leucoencefalopatía Multifocal Progresiva
Al virus JC
184
Complicaciones no supuradas que pueden aparecer después de una faringoamigdalitis por Streptococcus pyogenes
Sd shock tóxico estreptocócico Escarlatina Glomerulonefritis aguda Alteraciones neuropsiquiátricas autoinmunes en población pediátrica
185
Qué parásito se transmite por mosquito
FILARIAS
186
Qué causa la infección por arañazo de gato
Bartonella henselae
187
Hongos dimórfico que puede causar enfermedad en personas previamente sanas
Histoplasmosis
188
Complicación característica histoplasmosis
Fibrosis mediastínica Granuloma calcificado
189
Lesión ocupante de espacio intracraneal en paciente VIH con menos de 200 CD4/uL con serología toxoplasma -
Linfoma primario SNC
190
Paciente inmunodeprimido que presenta fiebre y tos con esputo denso y blanquecino. En el cultivo de esputo se observan filamentos arrosariados grampositivos
Nocardia
191
Cotrimoxazol = a
Trimetoprim-Sulfametoxazol.
192
Agricultor immunodeprimido con fiebre de 38.2ºC, abscesos cutáneos múltiples y parálisis facial central derecha, infiltrados apicales con pequeño derrame pleural asociado en la radiografía de tórax
Nocardia
193
DD Linfoma y toxoplasmosis
La SPECT cerebral en el diagnóstico diferencial de LOE en pacientes infectados por VIH muestra hipercaptación en linfomas y AUSENCIA de captación en la toxoplasmosis cerebral. Multiplicidad de lesiones sugiere toxoplasmosis, y una lesión única disminuye la posibilidad de que lo sea. Los linfomas cerebrales del VIH suelen aparecer con cifras inferiores a 50 CD4. Para confirmar el diagnóstico se suele hacer una biopsia cerebral.
194
ATB no eficaces mycoplasma
Actuan en la pared como B-LACTAMICOS o GLUCOPEPTIDOS
195
Único azol activo contra mucor
Posaconazol ( teratogénic )
196
Profilaxis endocarditis en procedimientos odontológicos
- Válvula protésica o material protésico de reparación valvular - Antecedente de endocarditis - Algunas cardiopatías congénitas, que son: a) Cardiopatías cianóticas no reparadas, o reparadas con defectos residuales o técnicas paliativas. b) Cardiopatías corregidas totalmente usando material protésico, durante los 6 primeros meses. c) Cardiopatías corregidas con material protésico, cuando quedan defectos residuales.
197
Paciente que viajó a la India y acude con fiebre y dolor abdominal en hipocondrio derecho. Presenta un absceso único, en lóbulo derecho del hígado que contiene pus achocolatado estéril
amebiasis hepática ( metro )
197
Paciente que viajó a la India y acude con fiebre y dolor abdominal en hipocondrio derecho. Presenta un absceso único, en lóbulo derecho del hígado que contiene pus achocolatado estéril
amebiasis hepática ( metro )
198
La quimioprofilaxis específica de la meningitis meningocócica en una mujer embarazada se realiza con:
Ceftriaxona.
199
Qué grupo de fármacos antiretrovirales presenta toxicidad mitocondrial?
Inhibidores transc.inv anal NUCLEOSIDOS ( ITIAN )
200
Qué grupo de fármacos antiretrovirales son superiores
Inhibidores integrasa
201
Qué fármaco antiretroviral produce sd DRESS
Abacavir
202
Qué fármaco antiretroviral produce pesadillas VIVIDAS
Efavirenz ( teratogenico )
203
Qué fármaco antiretroviral es de elección si tengo VHB
Tenofovir
204
efecto adverso tenofovir
Nefrotoxicidad Disminución DMO
205
Qué grupo de fármacos antiretrovirales NO son útiles frente al VH2
Inhibid. TI NO analogos de nucleosidos ( ITINN )
206
tto VIH
2 ITIAN + INI ( o IP o ITINN ) TE-LA + Dolutegravir (INI ) Si es de inicio usamos TE, ya que abacavir necesitamos conocer HLA
207
Condiciones para la biterápia en VIH
6 meses con CV indetectable con 3 fármacos + NO resistencias + NO VHB ( Dolutegravir + Lamivudina / rilpivirina )
208
Qué fármacos se asocian a antiretrovirales para potenciar su efecto
inhib CYP450: Cobicistat Ritonavir
209
Mujer que consulta por fiebre nocturna de larga evolución, hepatoesplenomegalia, y en el análisis de sangre destaca pancitopenia. ¿Cuál es el tratamiento más adecuado?
Leishmaniasis ( anfotericina b liposomal )
210
Forma grave de mal pronóstico de la leptospirosis, conocida como fiebre ictero-hemorrágica con insuficiencia hepática y renal
enfermedad de Weil
211
Piuria con cultivo negativo y orina ácida
TBC urinaria
212
En qué infecciones del SNC se ha visto que dar CC aumenta la supervivencia
TBC meningea Niños ( se da en todas en general )
213
En qué infección del SNC está contraindicado dar CC
Meningitis criptocócica
214
Indicaciones de quimioprofilaxis en los contactos de un paciente con meningitis por Haemophilus en el caso de los niños
Ante un solo caso, profilaxis a todo el colegio. En los adultos no está indicada excepto si éstos tienen contacto con niños que no han recibido quimioprofilaxis.
215
Tto paciente VIH con muguet oral que presenta disfagia
Esofagitis por Candida sp Fluconazol ( indica cierto grado de inmunosupresión y por tanto es indicación de iniciar profilaxis para Pneumocystis. )
216
Cuando damos profilaxis contra Pneumocystis
( cotrimoxazol ) < 200 CD4 Candidiasis oral CD4 < 14% SIDA
217
Serotipos chlamydia que causan linfogranuloma venéreo o enfermedad de Nicolás-Favré
Serotipos L1, L2 y L3
218
Serotipos chlamydia que causan tracoma
Serotipos A, B y C
219
Serotipos chlamydia que causan infecciones de transmisión perinatal y a enfermedades de transmisión sexual
Serotipos D-K
220
Qué nos obliga a descartar la trombocitopenia autoinmune?
Es un hallazgo temprano de la infección por VIH que aparece en hasta un 10 % de pacientes
221
Qué puede aparecer tras infección entérica por especies de Shigella
Artritis reactiva
222
dx endocarditis infecciosa
Criterios de Duke: PATOLOGICOS: - Mo en cultivo de una vegetación - Vegetación con endocarditis activa. CRITERIOS MAYORES: - Hemocultivos positivos para microorganismos compatibles con EI - Prueba de imagen positiva para IE ( ecocardiograma positivo para IE: vegetación, absceso, pseudoaneurisma, fístula intracardiaca, perforación valvular o aneurisma ) CRITERIOS MENORES - Predisposición a EI (cardiopatías con riesgo de EI, UDVP ) - Fiebre >38 oC - Fenómenos vasculares ( embolismos sistémicos, manchas de Janeway) - Fenómenos inmunológicos (nódulos de Osler, manchas de Roth, FR + )
223
Qué tenemos que sospechar con esta biopsia de un nódulo pulmonar
Es un granuloma necrotizante, pensar en TBC ( por lo que la técnica que podemos solicitar en la biopsia es el Ziehl-Nielsen, que tiñe los bacilos ácido-alcohol resistentes )
224
Qué agentes hacen típicamente infecciones en pacientes neutropénicos
Candida spp Bacilos Gramnegativos Staphylococcus aureus
225
A qué se asocia el déficit de IgA
A infecciones respiratorias e intestinales
226
Qué se detecta en los pacientes con artritis de repetición en la enfermedad de Lyme
HLA-DR4
227
Paciente joven con clínica de evolución tórpida de varios días de evolución consistente en fiebre, cefalea y ataxia cerebelosa. El TAC muestra una lesión redondeada y de bordes lisos y uniformes, hipointensa, en hemisferio cerebeloso derecho, que capta contraste en anillo, con edema perilesional
Absceso cerebral. La tríada clínica (de Osler) consiste en fiebre, cefalea y déficit neurológico focal según localización. Su etiología más frecuente es la otitis y mastoiditis supurada
228
5 cosas que captan en anillo en el MIR son
GLIOBLASTOMA MULTIFORME METÁSTASIS ABSCESO CEREBRAL TOXOPLASMOSIS LINFOMA CEREBRAL PRIMARIO
229
Qué fármaco antiretroviral presenta como toxicidad pricipal la nefrolitiasis:
Indinavir
230
Paciente de 12 años al que se le realiza una gastroscopia para descartar enfermedad celiaca.
Giardia
231
Entidades que pertenecen a la categoría C definitoria de SIDA
- Carcinoma de cérvix invasivo - Sarcoma de Kaposi epidémico - Neumonía por P. jirovecii. - Toxoplasmosis del SNC. NO aspergilosis pulmonar invasiva
232
Resucitación en un paciente en shock séptico
- Tratamiento antibiótico empírico para cubrir un mayor espectro. - Los cristaloides balanceados se asocian a una menor incidencia de lesión renal, menor necesidad de terapia de reemplazo renal y menor mortalidad en el paciente crítico. - La noradrenalina es el vasoconstrictor de elección en el shock séptico y debemos aspirar a una PAM de al menos 65mmHg para asegurar la perfusión orgánica. NO corticoides, profilaxis tromboembólica ni plasma congelado !!!!!
233
Lineas petequiales en extremidades
Lineas de plastia: Escarlatina
234
Causa más frecuente de absceso cerebral
Hasta el 33% de los abscesos tiene origen a partir de otitis media y mastoiditis, mientras que el origen hematógeno implica hasta a un 25% de los abscesos. El origen puede ser desconocido hasta en un 25% de los casos. Las infecciones de los senos paranasales implican hasta un 10% las infecciones periodontales únicamente aportan un 2%.
235
Una joven ingresó por fiebre, poliartralgias migratorias, tenosinovitis del carpo y vesiculo-pústulas en brazos y piernas de escaso número. El hemocultivo fue negativo
Infección gonocócica diseminada ( puede debutar como una monoartrtis séptica, la forma más frecuente de presentación suele ser como poliartralgias migratorias y aditivas acompañadas de tenosinovitis, dermatitis en tronco y extremidades y fiebre )
236
PARÁLISIS DESCENDENTE SIMÉTRICA SIN FIEBRE SIN ALTERACIÓN DE CONCIENCIA
Intoxicación botulínica aguda
237
Reacciones adversas más frecuentes de los antituberculosos
- RIFAMPICINA: cuadro pseudogripal y coloración naranja de secreciónes. - ISONIAZIDA: Hepatotoxicidad, síndrome lupus-like por ANA, neuritis periférica. - PIRAZINAMIDA: Hiperuricemia, hepatotoxicidad. - ETAMBUTOL: Neuritis óptica retrobulbar dosis dependiente y generalmente reversible. - ESTREPTOMICINA: Nefro y ototoxicidad.
238
Etiología cerebral menos epileptógena en VIH
Leucoencefalopatía multifocal progresiva
239
Paciente que acude a Urgencias con fiebre intermitente, escalofríos, cefalea, debilidad y abundante sudoración nocturna de 3 días de evolución. Como antecedente epidemiológico destaca un viaje a la Península Arábiga hace 3 semanas donde consumieron leche de camella.
Brucelosis su diagnóstico es por serología con el test rosa de bengala como técnica de screening rápido y técnicas de aglutinación en suero como medio de confirmación
240
Riesgo infecciones en paciente esplenectomizado
S. pneumoniae, Neisseria spp., Capnocytophaga canimorsus, H. influenzae, Babesia microtii
241
TCE el agente causal más frecuente
S.aureus
242
Qué parámetros NO es predictor de SDRA en la infección por COVID 19
neutropenia Es neutrofilia!!!!
243
Un hombre, después de realizar un viaje por Brasil, viene a la consulta de oftalmología por edema palpebral. Además tiene fiebre y varias adenopatías. Se decide enviar a urgencias para un estudio más completo. Preguntando al paciente nos cuenta haber estado hospedado en una casa de adobe y recuerda varias picaduras de insectos.
Enfermedad de Chagas ( Beznidazol!!!! )
244
Candidiasis diseminada
245
Dx legionella
ORINA Sólo se encuentra disponible para el serogrupo 1, causante del 80% de los casos. Se puede detectar 3 días después de inicio de la clínica, su positividad persiste durante varias semanas sin modificarse con atb.
246
Un paciente chileno con estancia en nuestro país de 2 meses, acude por un cuadro de dolor abdominal, diarrea y pérdida de peso de tres meses de evolución. En la exploración clínica no aparecen datos de interés. En la analítica destaca eosinofilia absoluta y hemoglobina de 10,4 mg/dl, VCM112 y CHCM 30:
Diphyllobothrium ( Difilobotriasis: tenia de los peces ) , puede causar anemia perniciosiforme por expoliación de B12.
247
¿Qué bacteria se ha identificado en las placas de ateroma y se ha relacionado epidemiológicamente con ateroesclerosis coronaria y de otras localizaciones?:
Chlamydia pneumoniae
248
tto criptococo
anfotericina y flucitosina Existe un estudio reciente donde los CC en meningitis por criptococo empeoran el pronóstico, por lo que están formalmente contraindicados
249
A qué mo se asocian estos alimentos ? 1. Arroz frito calentado a temperatura inadecuada 2. Crema y mahonesa 3. Carne en mal estado 4. Huevo: Salmonella 5. Mariscos y pescado crudo 6. Conservas en mal estado 7. Diarrea del viajero
-Bacillus cereus - S.aureus - Clostridium perfringens -Salmonella - Vibrio no cholerae - Clostridium botulinum - E.coli enterotoxigénico
250
Tto Em