OTO Flashcards

(79 cards)

1
Q

Vértigo de horas-días y unido a cortejo vegetativo, acúfenos e hipoacusia neurosensorial

A

Hidrops endolinfático ( meniere )

How well did you know this?
1
Not at all
2
3
4
5
Perfectly
2
Q

Paciente de 35 años que acude a consulta por hipoacusia de oído izquierdo de varios meses de evolución. Rápido empeoramiento y aparición de acúfenos en el mismo lado. Rinne + en ambos oídos y Weber lateralizado hacia OD. En la audiometrìa verbal, hay importante alteración de la inteligibilidad y adaptación patológica

A

Neurinoma del acústico
( chico joven con una hipoacusia neurosensorial unilateral lentamente progresiva, con acúfenos asociados e importante pérdida de inteligibilidad )

How well did you know this?
1
Not at all
2
3
4
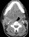
5
Perfectly
3
Q

Insuficiencia nasal bilateral de meses de evolución. Consta algún episodio de asma en la infancia

A

Poliposis ( formaciones con aspecto de granos de uva habitualmente bilaterales ) . Si BL no se requiere una biopsia. La recidiva después de la cirugía es frecuente.

How well did you know this?
1
Not at all
2
3
4
5
Perfectly
4
Q

Paciente añoso con DM i otalgia que no evoluciona favorablemente a pesar del tto y parálisis del VII par

A

Otitis externa maligna

How well did you know this?
1
Not at all
2
3
4
5
Perfectly
5
Q
A

Otomicosis

How well did you know this?
1
Not at all
2
3
4
5
Perfectly
6
Q
A

Otitis externa difusa
( Aspirar secreción + ATB per gotas )

How well did you know this?
1
Not at all
2
3
4
5
Perfectly
7
Q
A

Otitis externa maligna
( FR: I- , DM )
Qx desbridar + ingreso + ATB iv

How well did you know this?
1
Not at all
2
3
4
5
Perfectly
8
Q
A

Otitis seromucosa

How well did you know this?
1
Not at all
2
3
4
5
Perfectly
9
Q
A

Otitis media aguda
( timpano abombado hiperémico: FASE PRECOZ )

How well did you know this?
1
Not at all
2
3
4
5
Perfectly
10
Q

Complicación más frecuente de la otitis media aguda

A

Mastoiditis

How well did you know this?
1
Not at all
2
3
4
5
Perfectly
11
Q
A

Glomus
( Intenso color por vascularización de la arteria faringea ascendente )

How well did you know this?
1
Not at all
2
3
4
5
Perfectly
12
Q
A

Exostosis CAE
( focos múltiples y BL de crecimiento óseo del conducto. Aparecen por una periostitis en pacientes con história actividades acuaticas )

How well did you know this?
1
Not at all
2
3
4
5
Perfectly
13
Q

Qué es el Sd gradenigo

A

Petrostitis
( dolor ocular + diplopia + otorrea )

How well did you know this?
1
Not at all
2
3
4
5
Perfectly
14
Q
A

Colesteatoma oido
( Epitelio queritinizante en oido medio con sustancias que producen osteólisis en oído medio )

How well did you know this?
1
Not at all
2
3
4
5
Perfectly
15
Q
A

Glomus yugulitimpánico
Acúfeno pulsátil + afectación pc del foramen yugular

How well did you know this?
1
Not at all
2
3
4
5
Perfectly
16
Q

De dónde derivan el:
CAE
Timpano
O. medio
O. interno

A

CAE: ectodermo
Timpano: ectodermo, mesodermo y endodermo
Oído medio: 1a bolsa faríngea endo
Oído interno: mesodermo
- martillo y yunque ( 1er arco braq ) Vpc
- estribo ( 2o arco braq ) VII pc

How well did you know this?
1
Not at all
2
3
4
5
Perfectly
17
Q

Nervio que innerva área de ramsay-hunt

A

N. wrisberg ( rama VII )

How well did you know this?
1
Not at all
2
3
4
5
Perfectly
18
Q

Reflejo tusígeno al manipular el oído externo

A

Lo hace el nervio de Arnold ( X )

How well did you know this?
1
Not at all
2
3
4
5
Perfectly
19
Q

Dónde se encuentra la 1a neurona vía auditiva en la cóclea

A

Ganglio espiral

How well did you know this?
1
Not at all
2
3
4
5
Perfectly
20
Q

Funcionamiento oido

A
How well did you know this?
1
Not at all
2
3
4
5
Perfectly
21
Q

Audiometria ( rinne / webber )

A
How well did you know this?
1
Not at all
2
3
4
5
Perfectly
22
Q

Como diferenciamos sorderas cocleares de las retrococleares ( NS )

A
  • Cocleares: fenómeno de reclutamiento ( distorsión de la percepción sonido ) - forma de campana
  • Retrococleares : fatiga auditiva
    ( distorsión de la duración sonido ) - forma de meseta
How well did you know this?
1
Not at all
2
3
4
5
Perfectly
23
Q

Diferencias entre vértigo central y periférico

A
How well did you know this?
1
Not at all
2
3
4
5
Perfectly
24
Q

Mo causa miringitis bullosa

A

Mycoplasma pneumoniae

How well did you know this?
1
Not at all
2
3
4
5
Perfectly
25
Otitis externas cuadro
26
Otitis media
27
RM craneal con secuencia de difusión que muestra restricción de agua libre (flecha), sugestiva de colesteatoma.
28
Escotoma de otoesclerosis
De Carhart ( 2000 Hz Vía ósea )
29
Clinica glomus yugulotimpánico
30
Fracturas del peñasco
Hay que ser ME-LON ( longitudinal - o. Medio ) para no aprenderlas! No me IN-TRAN ( transversal - o. Interno )
31
Screening neonatal
32
Parálisis facial
33
Fármacos ototóxicos
Quinidina Diuréticos de asa Aminoglucosidos Salicilatos Cisplatino Vancomicina ( QUIen OSA rechazarme A MI, SALI-VAN por PLATA )
34
Hipoacusia de percepción UL qué descartamos?
Neurinoma del acústico
35
Vértigos periféricos
36
Dx VPPB
Nistagmo hacia lado afecto provocado por el test de Dix-Hallpike
37
Tto sd meniere
1. Crisis: CC + Sedantes vestibulares + antieméticos 2. Intercrisis: - Dieta baja sal + diuréticos - Ototóxicos - qx : ( laberintectomía )
38
Herpangina ( coxsackie A ) vesículas cavidad oral ( respeta amigdalas y lengua )
39
Angina de PLAUT-VINCENT ( sius-PLAUT, VINE i rentat les dents ) Úlcera necrótica UL por mala higiene bucal -- penicilina
40
Angina de ludwig Abceso en el suelo de la boca con riesgo de obstrucción ( clinda + metronidazol )
41
Joven con epistaxis de repetición y ocupación del cavum
Fibroma nasofaríngeo juvenil ( angiofribroma del cavum ) NUNCA BIOPSIAR
42
A qué sd se asocia el cancer hipofaringe
Sd plummer-vinson: anemia, glositis atrófica, coiloniquia, mb hipofaringe y esófago cervical
43
Etiologia más frecuente de epiglotitis
Haemophilus influenzae B
44
Edema de Reinke Se localiza entre epitelio, musculo y ligamento de la cuerda Hábitos tóxicos + mal uso voz en mujeres STOP tabaco + decorticación
45
Nódulos BL!! ( mal uso de la voz )
46
Pólipo UL!! ( hábitos tóxicos + mal uso )
47
Carcinoma epidermoide de supraglotis
48
Poliposis + asma + intolerancia a la aspirina
Enfermedad de widal o tríada de ASA
49
Fractura nasal con desviación septal DRENAR urgente hematoma septal ya que sino se deforma el cartilago
50
Tumores nasosinusales
51
Parálisis laríngeas
- Parálisis paramedianas ( cuerda se paraliza en la línea media ) : Disfonia + Disnea si es BL - Parálisis intermedia ( cuerda se paraliza en posición alejada ) : Disfonia llamativa + aspiración
52
Paciente con voz entrecortada por espasmos en aductores y abductores
Disfonía espástica ( inyección toxina botulínica )
53
Germen causante de epiglotitis
Haemophilus influenzae B ( cefalosporinas 3g + cc )
54
Patologia tumoral benigna laringe
55
Qué lesión benigna de la laringe produce la IOT prolongada?
Granuloma de contacto
56
Tto Cancer laringe
57
Abcesos faringe
58
Sd lemierre
59
Patologia tumoral maligna faringe
60
Qué sospechamos en paciente con obstrucción nasal UL + Otitis seromucosa UL + afectación pares craneales
Tumor del cavum! ( VEB )
61
Tumor de faringe relacionado con VPH ( 16 )
Factor de buen pronóstico ya que aunque es mas agresivo, es más precoz y más radiosensible
62
Paciente que tras una parotidectomia presenta hiperhidrosis, hiperemia y hiperestesia en las comidas
Sd de Frey ( regeneración anómala de las fibras PS que van a la piel y no a la glandula ) Toxina Botulinica ( prevenir con qx a diferentes planos )
63
Patologia tumoral glandula salival
64
- Lesión lateral cervical que late a la palpación - Masa lateral cervical que cambia de tamaño con valsalva - Masa linea media que asciende con deglución
- Paraganglioma ( RM / TC ) - Laringocele - Quiste tirogloso
65
Paciente con dolor, desviación del mentón hacia el lado lesionado, maloclusión dentaria y silencio condilar
Fractura del cóndilo mandibular ( Bloqueo intermaxilar durante 2 semanas )
66
Qué tumores del macizo facial requieren resección compleja
Mixoma Queratoquiste odontológico Osteosarcoma
67
Mujer de 18 años que presenta deformidad y dolor
Displasia fibrosa ( hueso se remplaza por tejido fibroso y hueso inmaduro )
68
Mujer de 18 años con costras de olor fétido en la nariz y sensación de mal olor
Ocena ( rinitis crónica atrófica ) Klebsiella ozaenae
69
Paciente que presenta una rinosinusitis crónica que no responde al tto con ATB y al realizar un TC se observan calcificaciones UL
Micetoma ( aspergillus fumigatus )
70
Qué tumor del seno paranasal se relaciona con los carpinteros
Adenocarcinoma etmoidal
71
Tumefacción dolorosa con fiebre y MEG que a la exploración se observan ulceraciones y placas necrosis que invaden estructuras próximas
Fúngica invasiva ( mucormicosis )
72
Varón de 50 años que presenta obstrucción nasal a nivel del cirnete medio y epistaxis UL con discreta destrucción ósea
Papiloma invertido ( puede tener calcificaciones ) Qx ya que 10% hace carcinoma epidermoide
73
Paciente con adenopatia maligna lateral en el cuello
Carcinoma epidermoide de seno piriforme
74
Paciente con boca séptica, fiebre, disfagia edema y dolor submaxilar de una semana de evo sin mejoría con tto atb.
Angina ludwig
75
Manifestaciones otosclerosis
- Timpanograma puede estar aplanado, por la fijación de la cadena pero no suele estar desplazado hacia presiones negativas - En estadios iniciales solo causa una hipoacusia de transmisión pura pero cuando avanza la enfermedad puede afectar a la coclea y causar una hipoacusia mixta con afectación de la discriminación - El reflejo estapedial está ausente debido a que la cadena de huesecillos está fija
76
Irrigación i innervación faringe
- La vascularización: sobre todo ramas de la arteria carótida externa (maxilar, lingual, tiroidea superior) y de la subclavia (tiroidea inferior). NO arteria carótida interna - La inervación la hacen los nervios vago y glosofaríngeo
77
Tanto la vía aérea como la vía ósea de ambos oídos presentan un "escalón" auditivo con disminución de la audición en frecuencias en torno a 4000 Hz; se trata por tanto de una hipoacusia neurosensorial bilateral, que en este caso corresponde a una sordera laboral (el escalón a 4000 Hz es muy típico )
78
tto papilomas laringeos
Resección con láser y puede intentarse la infiltración de interferon (no de corticoides) para evitar las recidivas.
79
Varón de mediana edad, fumador, con masa parotídea, no dolorosa, elástica y bien delimitada. En la gammagrafía se aprecia hipercaptación de tecnecio
Tumor de Whartin