OFTALMO Flashcards

(51 cards)

1
Q

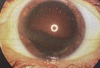
Día anterior esquiando en Pirineos, acude a Urgencias con intenso dolor ocular, enrojecimiento y blefaroespasmo

A

Queratitis punteada superf

How well did you know this?
1
Not at all
2
3
4
5
Perfectly
2
Q

Mujer DM de 40 años con cetoacidosis que presenta fiebre, disminución consciencia y lesión NEGRUZCA en fosa nasal

A

Infección por MUCOR

How well did you know this?
1
Not at all
2
3
4
5
Perfectly
3
Q

La causa más frecuente de pérdida de agudeza visual brusca en el diábético

A

hemorragia vitrea (brusco)

How well did you know this?
1
Not at all
2
3
4
5
Perfectly
4
Q

Causa globamente más frecuente de pérdida de agudeza visual en el diabético

A

Edema macular ( progressivo)

How well did you know this?
1
Not at all
2
3
4
5
Perfectly
5
Q

¿En qué ganglio terminan las fibras pre-ganglionares parasimpáticas?:

A

Ciliar

How well did you know this?
1
Not at all
2
3
4
5
Perfectly
6
Q

Los desprendimientos de retina traccionales son típicos de

A

retinopatía diabética proliferativa

How well did you know this?
1
Not at all
2
3
4
5
Perfectly
7
Q

visión borrosa, la edad joven del paciente junto con antecedente de estrés emocional y la imagen de la OCT en la que se aprecia líquido subretiniano y un desprendimiento del epitelio pigmentario.

A

corriorretinopatía serora central

How well did you know this?
1
Not at all
2
3
4
5
Perfectly
8
Q

ojo rojo dolorosa + MIOSIS

A

Uveitis anterior aguda

How well did you know this?
1
Not at all
2
3
4
5
Perfectly
9
Q

ojo rojo doloroso + MIDRIASIS

A

glaucoma agut

How well did you know this?
1
Not at all
2
3
4
5
Perfectly
10
Q

En un paciente con glaucoma crónico, el primer tratamiento de elección

A

Prostaglandinas (o análogos de prostamidas) o los betabloqueantes en colirio, de manera tópica. ( Bimatoprost)

How well did you know this?
1
Not at all
2
3
4
5
Perfectly
11
Q

En la cirurgia de catarates es suspen l’acenocumarol?

A

No cal suspendrel

How well did you know this?
1
Not at all
2
3
4
5
Perfectly
12
Q

Que enfermedad se asocia a subluxacio del cristali?

A

Enfermedad de Marfan

How well did you know this?
1
Not at all
2
3
4
5
Perfectly
13
Q

Qué arteria NO es rama de la arteria carótida externa?

A

Arteria oftalmica

How well did you know this?
1
Not at all
2
3
4
5
Perfectly
14
Q

Conjuntivitis virica

A

-Reacción folicular
-Adenopatía preauricular
-Infección de vías respiratorias altas
-Petequias
ttm: colirio de cortis

How well did you know this?
1
Not at all
2
3
4
5
Perfectly
15
Q

Qué cuadro clínico se asocia de forma característica a los adenovirus

A

Fiebre faringoconjuntival

How well did you know this?
1
Not at all
2
3
4
5
Perfectly
16
Q

Ante una parálisis facial y un ojo rojo, hay que pensar en:

A

Queratitis por lagoftalmos.

How well did you know this?
1
Not at all
2
3
4
5
Perfectly
17
Q

Ptosis palpebral bilateral de larga evolución y pérdida de visión debida a catarata bilateral de predominio cortical.

A

Observar cómo nos estrecha la mano. Nos pregunta por una causa secundaria de catarata y la clave es la ptosis bilateral. Ante esta asociación hay que pensar en una distrofia miotonica de Steiner

How well did you know this?
1
Not at all
2
3
4
5
Perfectly
18
Q

Qué grupo de fármacos tópicos está CONTRAINDICADO en los enfermos con glaucoma:

A

Parasimpaticolíticos

How well did you know this?
1
Not at all
2
3
4
5
Perfectly
19
Q

Ante un paciente que presenta pérdida brusca de la visión, acompañada de midriasis sin dolor ni enrojecimiento, debe pensarse en:

A

Una obstrucción de la arteria central de la retina

How well did you know this?
1
Not at all
2
3
4
5
Perfectly
20
Q

Las afectaciones del nervio óptico (neuropatías ópticas) producen generalmente un defecto pupilar aferente relativo (o pupila de Marcus-Gunn)

A
  • Al iluminar el lado sano, se nos contraen las dos pupilar, ya que el reflejo fotomotor es consensual.
  • Cuando pasamos al otro lado, como no llegan impulso, lo que vamos a ver es como la pupila del ojo afecto se dilata.
How well did you know this?
1
Not at all
2
3
4
5
Perfectly
21
Q

El tratamiento de la conjuntivitis alérgica consiste en

A

Antihistamínicos tópicos +/- sistémicos, y en casos graves corticoide tópico. En ocasiones se usan los antibióticos tópicos para evitar sobreinfecciones (aunque esto está más indicado en las conjuntivitis víricas).

22
Q

En relación con la oftalmopatía de Graves- Basedow

A

Puede cursar con normofunción tiroidea.
( independientes )

23
Q

En la exploración del fondo de ojo, la retinopatía hipertensiva grado IV de la clasificación de Keith-Wagener se caracteriza por

A

Edema de papila

24
Q

Dónde se sitúa la lesión de la vía óptica en una hemianopsia bitemporal simétrica, de inicio en cuadrantes temporales superiores:

A

Inferior al quiasma óptico

25
Diagnóstico en fase presintomática del glaucoma de ángulo abierto del adulto:
Es aconsejable la práctica de una tonometría periódica por encima de los 40 años
26
¿Cuál es la causa más frecuente de exoftalmos en un niño?
Celulitis orbitaria
27
Una mujer de 73 años acude de urgencia por presentar pérdida de visión aguda y severa en ojo izquierdo debido a una neuropatía óptica isquémica anterior no arterítica. Si iluminamos con una linterna su ojo derecho, ¿qué ocurrirá con las pupilas cuando se pase a iluminar el ojo izquIerdo?:
Las afectaciones del nervio óptico (neuropatías ópticas) producen generalmente un defecto pupilar aferente relativo (o pupila de Marcus-Gunn). Al estar detenidos los impulsos visuales de un lado nos encontramos: - Al iluminar el lado sano, se nos contraen las dos pupilar, ya que el reflejo fotomotor es consensual. - Cuando pasamos al otro lado, como no llegan impulso, lo que vamos a ver es como la pupila del ojo afecto se dilata (realmente lo que esta pasando, es que pierde el tono de miosis que ha adquirido con la iluminación del otro ojo).
28
Un joven acude a la consulta aquejando picor, secreción mucoide en hebras, enrojecimiento y fotofobia bilateral. Al explorarlo, encontramos una formación papilar en empedrado en conjuntiva tarsal superior, así como nódulos gelatinosos en la conjuntiva limbar. La intervención clínica más adecuada es administrar:
Antihistamínicos tópicos y sistémicos.
29
La presión ocular es de 18 mmHg en ojo derecho y de 27 mmHg en ojo izquierdo. Respecto a la patología que sospecha, ¿cuál es el tratamiento más apropiado?:
Colirio de análogos de prostaglandinas, ja que és un glaucoma crònica d'angle obert.
30
Hombre de 25 años con clínica de disminución de la visión en el ojo derecho desde hace 24 horas, junto con dolor con los movimientos oculares de ese ojo. Se confirma la disminución de agudeza visual en ese ojo siendo el fondo de ojo normal
Ante una disminución de agudeza visual con fondo de ojo normal, se debe sospechar una neuropatía retrobulbar ( el nervio óptico está alterado pero no lo ves porque la parte anterior está respetada ). La patología retrobulbar que siempre preguntan en el MIR es la esclerosis múltiple
31
Tto paciente de 63 años, con antecedentes de DM y EPOC, acude por disminución de la visión en su ojo izquierdo de meses de evolución. Se observa una disminución del anillo neurorretiniano, con palidez papilar en el ojo izquierdo. Y fondo de ojo normal en el ojo derecho. La presión ocular es de 18 mmHg en ojo derecho y de 27 mmHg
glaucoma crónico de angulo abierto: Colirio de análogos de prostaglandinas De segunda elección son los colirios de betabloqueantes. Recuerda que éstos últimos están contraindicados en las bradiarritmias y en los problemas pulmonares tipo asma o EPOC
32
Una mujer de 72 años, diagnosticada de Diabetes Mellitus hace 10 años, acude a la consulta por pérdida de visión en su ojo izquierdo desde ayer por la noche. No tiene dolor y al intentar realizar un fondo de ojo, el oftalmólogo no consigue ver nada.
La causa más frecuente de pérdida de visión brusca en un paciente diabético es el HEMOVÍTREO. Es necesario realizar una ecografía para descartar la presencia de un DR TRACCIONAL
33
Paciente de 35 años peruano con mala visión desde la infancia en el ojo derecho. Acompañados de visión de moscas. En la imagen se observa el fondo de ojo derecho. No presenta otros antecedentes de interés
Uveítis posterior por toxoplasma
34
Ojo rojo, con grandes molestias en el ojo del lado afecto por parálisis facial
queratitis por exposición debido al lagoftalmos
35
Miopía magna
36
Retinosis pigmentaria Visión en cañón de escopeta + disminución de visión nocturna
37
tto oclusión arterial
EN LAS PRIMERAS HORAS: - Masaje ocular / paracentesis ( disminuir PIO ) - Inhalación O2 / Inyección VD + Estudio sistémico: ECG, ecocardio, doppler
38
Clasificación Keith-Wegener
Grado IV = HT maligna
39
Qué tratamos con anti-VEGF
Edema macular ( RD o TVC) DMAE húmeda Miopia magna
40
Vasculopatía coroidea polipoidea
Idiopática e infrecuente que los vasos coroideos tienen ramificaciones anómalas y aneurismas En edad avanzada ( no tiene que ver con miopia )
41
Que fármaco lo provoca
Maculopatía en ojo de buey ( CLOROQUINA )
42
Varón joven que tras evento estresante presenta visión borrosa, escotoma central y metamorfopsia
Coriorretinopatia serosa central ( si no autolimita terápia fotodinamica con verteporfin )
43
Precipitados gruesos en grasa de carnero tipicos de las uveitis por sarcoidosis
44
Recorrido humor acuoso
Se forma en epitelio no pigmentado del cuerpo ciliar -> camara posterior -> orificio pupilar -> camara anterior -> ángulo iridocorneal -> malla trabecular al conducto shlem -> canales colectores a venas epiesclerales
45
tto glaucoma angulo estrecho
URGENTE! Topicos: CC, pilocarpina ( miotico ), b-bloq Sistemicos: Inhibidores anhidrasa carbónica ( acetazolamida ) + manitol Tras ataque agudo: Iridotomía con láser YAG!!
46
Sd posner-scholssman
Ataques recidivantes de hipertensión ocular asociada a uveitis anterior leve
47
Patologia de las pupilas
48
Dónde afecta si hay parálisis de >2 PC
Lesión en seno cavernoso!!
49
Fístula carotidocavernosa: Exoftalmos pulsátil con soplo audible, oftalmoplejia, dilatación venosa orbitaria ( vasos cabeza medusa ) Neuroqx
50
Queratopatía en banda ( Artritis cronica juvenil )
51
Ojo rojo