NEURO Flashcards

(239 cards)

1
Q

Horner ipsilateral , hipoestesia de la hemicara ipsilateral, inestabilidad y nistagmo por la afectación de los núcleos vestibulares, hipoestesia hemicuerpo contralateral, ataxia de miembros ipsilaterales, disartria y disfagia sin afectar la lengua ni la sensibilidad artrocinética y vibratoria ni hay hemiparesia

A

Síndrome de Wallenberg o bulbar lateral

How well did you know this?
1
Not at all
2
3
4
5
Perfectly
2
Q

Qué tumor disemina tipicamente a través del líquido cefalorraquídeo (LCR)

A

Meduloblastoma

How well did you know this?
1
Not at all
2
3
4
5
Perfectly
3
Q

Tto epilepsia mioclónica juvenil ( Síndrome de Janz)

A

Ácido valproico
( SI MUJER EN EDAD FÉRTIL: Lamotrigina o levetiracetam )

How well did you know this?
1
Not at all
2
3
4
5
Perfectly
4
Q

Tto pseudotumor cerebri

A

PL repetidas
Acetazolamida
Derivación lp LCR

How well did you know this?
1
Not at all
2
3
4
5
Perfectly
5
Q

Mujer de más de 40 años que presenta un dolor muy intenso al realizar ejercicio o esfuerzo y cursa con bajo nivel de consciencia

A

Hemorragia subaracnoidea ( ACA )

How well did you know this?
1
Not at all
2
3
4
5
Perfectly
6
Q

Mujer que presenta pérdida de termoalgesia en las EESS pero no en las EEII. Se ha hecho quemaduras sin darse cuenta

A

Siringomielia

How well did you know this?
1
Not at all
2
3
4
5
Perfectly
7
Q

Paciente joven que presenta a diario episodios de hormigueo periumbilical junto con movimientos bucales y posturas distónicas. No recuerda nada

A

Esclerosis hipocampo

How well did you know this?
1
Not at all
2
3
4
5
Perfectly
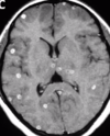
8
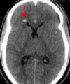
Q

Qué par craneal está afectado

A

IV

How well did you know this?
1
Not at all
2
3
4
5
Perfectly
9
Q

Hacia donde se desplazan lesiones en XII o V ( lengua y mandibula )

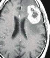
A

Hacia el lado de la lesión

How well did you know this?
1
Not at all
2
3
4
5
Perfectly
10
Q

Hacia donde se desplazan lesiones en IX ( paladar )

A

Lado sano

How well did you know this?
1
Not at all
2
3
4
5
Perfectly
11
Q

Tto dolor facial UL, breve y muy intenso en maxilar y mandibular en mujeres de 50 años tras masticar

A

Neuralgia del trigémino ( carbamazepina )

How well did you know this?
1
Not at all
2
3
4
5
Perfectly
12
Q

Sistema parasimpático

A
How well did you know this?
1
Not at all
2
3
4
5
Perfectly
13
Q

En qué áreas se divide la area motora 2a

A

A. Premotora ( unidad motora Proximal )
A. motora suplementaria ( unidad motora distal )

How well did you know this?
1
Not at all
2
3
4
5
Perfectly
14
Q

Sd Anton

A

Lesión en lobulo occipital que presenta ceguera cortical + anosognosia

How well did you know this?
1
Not at all
2
3
4
5
Perfectly
15
Q

Sd gestmann

A

Alexia, agrafia, agnosia digital, acalculia, desorientación D-I

How well did you know this?
1
Not at all
2
3
4
5
Perfectly
16
Q

DD AFASIAS

A
How well did you know this?
1
Not at all
2
3
4
5
Perfectly
17
Q

Paciente con verborrea que no comprende ordenes ni repite

A

Afasia Wernicke ( si repitiera transcortical sensitiva )
EMBOLIA ACM INFERIOR

How well did you know this?
1
Not at all
2
3
4
5
Perfectly
18
Q

Paciente con bloqueo en el habla que comprende ordenes pero no repite

A

Afasia Broca ( si repite transcortical motora )
EMBOLIA ACM SUPERIOR

How well did you know this?
1
Not at all
2
3
4
5
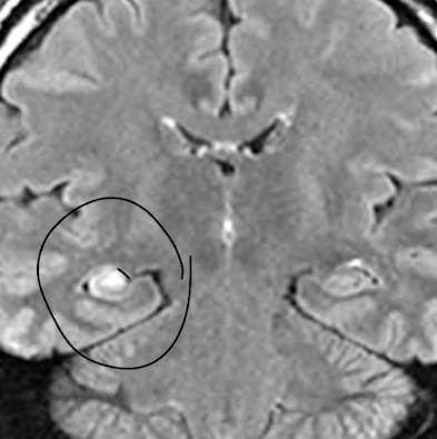
Perfectly
19
Q

Cuerpos geniculados Tálamo

A

Lateral : LUZ ( via óptica )
Medial : Musica ( via auditiva )

How well did you know this?
1
Not at all
2
3
4
5
Perfectly
20
Q

Por que agujero sale cada PC

A
How well did you know this?
1
Not at all
2
3
4
5
Perfectly
21
Q

PC en tronco del encefalo

A
How well did you know this?
1
Not at all
2
3
4
5
Perfectly
22
Q

PC afectados en el sd Tolosa-Hunt

A

( III, IV, V1-2, VI )
Oftalmopléjia UL y dolor retroorbitário por un proceso granulomatoso que afecta a la hendidura esfenoidal

How well did you know this?
1
Not at all
2
3
4
5
Perfectly
23
Q

PC afectados en el sd Foix

A

Hendidura esfenoidal ( III, IV, V1, VI )

How well did you know this?
1
Not at all
2
3
4
5
Perfectly
24
Q

PC afectados en el sd Vernet

A

Agujero rasgado ( IX,X,XI )

How well did you know this?
1
Not at all
2
3
4
5
Perfectly
25
VIA PIRAMIDAL
26
VIA ESPINOTALÁMICA
27
Clinica 1a MT
Hiperreflexia ( paresia, plegia ) BABINSKY +
28
Clinica 2a MT
Arreflexia Hipotono Fasciculaciones ( paresia, plegia ) BABINKY -
29
Si hay clinica de 1a MT y 2a MT
ELA
30
Donde ocurre la decusación piramidal
Bulbo ( arriba encefalo, abajo ME )
31
Qué arterias afectadas provocan sd wallenberg
A. vertebral y PICA
32
Clinica sd wallenberg
Hemihipostesia corporal CL Hemihipostesia facial IL Sd vertiginoso y vómitos Disartria y disfagia Sd Horner IL Ataxia cerebelosa IL BIEN: C. post, via piramidal, XII, Lemnisco medial
33
Afectación raiz en hernia discal
La de número de la vertebra INFERIOR
34
Reflejos osteotendinosos
ARBITRO Aquileo ( s1 ) Rotuliano ( L2,L3,L4) BIcipital ( C5,C6 ) TRicipital ( C7, C8 )
35
Sd Brown-sequard
Sd hemisección medular: No sensibilidad termoálgica No sensibilidad propioceptiva y vibratória IL Debilidad espastica IL
36
Qué clinica provoca la siringomiélia
Sd medular central: No termoalgesia ( solo a nivel lesión ) : disociación Paresia, arreflexia segmentária ( 2a MT ) Horner IL, paralisis espastica inf ( 1a MT ) No sensibilidad profunda
37
sd lhermite
( descarga eléctrica al flexionar cuello ) Neurolues EM Espondilitis cervical Mielopatia por RT
38
Clinica afectación cerebelo
IPSILATERAL: Dismetria Disartria escándida Ataxia marcha Disdiadococinesia Temblor cinético Hipotonia Roomberg -
39
Sistema simpático
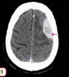
40
Qué arteria está afectada
ACM ( desviación oculocefálica al lado lesión )
41
Signo de la cuerda ( ictus ACM ) HIPERAGUDO
42
Mujer embarazada que acude a urgencias con cefalea, disminución de la consciencia i vómitos desde hace 3 h
Trombosis senos venosos cerebrales
43
Codigo ictus
44
Prevenció ictus
45
Causa más frecuente ictus isquemico
Aterosclerosis arterias extraintracraneales en la carótida interna ( bifuración )
46
Factor más asociado al riesgo ictus
HTA
47
Qué ictus isquémico presenta una clinica maxima des de el inicio
Cardioembólico
48
En qué arteria se produce más el ictus lacunar
Arterias penetrantes
49
Signos hiperagudeza ictus
1. Perdida circumvalación 2. Perdida diferenciación cortico-subcortical 3. Signo de la cuerda ( ACM hiperdensa )
50
Qué ictus no presenta nunca disfunción cortical
Los profundos: lacunar
51
Causa ictus cardioembolico en persona joven
Foramen oval permeable ( lydia )
52
Arteriopatia cerebral autosomica dominante con infartos cerebrales, leucoencefalopatia, migraña y depresión.
CADASIL ( Notch 3 )
53
Qué mutación presenta CADASIL ( arteriopatía cerebral AD con infartos cerebrales, leucoencefalopatía, migraña y depresión ) ?
Mutación NOTCH3
54
Estenosis progresiva de la ACI cuando se bifurca en ACA y ACM.
Enfermedad moya moya
55
En qué situaciones es mas sensible un tc que un rmn en el ictus
Hemorragia aguda Depositos calcio Lesiones oseas
56
Dx AIT
Prueba imagen normal con focalidad transitoria BUSCAR ETIOLOGIA
57
Miss match Rm en difusión (1) y perfusión (2) La diferencia del tejido afectado en la difusion respecto perfusion es el potencial salvable si se trata rapido
58
Tto ictus
59
Etiologia ictus hemorragico intraparenquimatoso
HTA ( ganglios basales ) profundo Malf AV / Aneurismas Angiopatia amiloide ( lobar ) multiples i recurrentes en personas mayores
60
Etiologia ictus hemorragico subaracnoideo
TCE Aneurismas saculares ( triada: cefalea en trueno, rigidez de nuca, valsalva ( vomitos nauseas )
61
Tto prevención vasoespasmo en ictus hemorragico
Ca antagonista NIMODIPINO
62
En qué situaciones se puede hacer evacuación qx hematoma en ictus
Cerebelo comprimido Superficial
63
CI fibrinolisis en ictus isquemico
INR> 1,5 Plaquetas < 100.000 Qx reciente HBPM < 24h HIC previa
64
Prevención edema en ictus
Cabecera > 30 grados No suero hipoosmolar Manitol ( no cc )
65
Tto aneurisma ictus hemorragico
Embolización con coils ( si CI clip vascular )
66
Características esclerosis tuberosa
EPILOIA Epilepsia Low inteligence Angiofibromas Manchas hipocrómicas hoja fresno
67
Complicaciones HSA
Hidrocefália ( 24 h o en varias semanas ) Resangrado Vasoespasmo SIADH
68
Caracteristicas diferenciales hematoma epidural y subdural
69
Estenosis canal lumbar
70
Qué fractura sospechamos?
Fractura fosa craneal anterior ( equimosis periorbitraria )
71
Signo battle
Equimosis retardada sobre apofisis mastoide en fracturas fosas craneales media y posterior
72
Lesión primaria del parénquima por mecanismo de acceleración-desaccerelación
Lesión axonal difusa ( microhemorragias cuerpo calloso )
73
Qué vasos afectados en hematoma epidural / subdural
Epidural: Arteria meningea media Subdural: Venas corticodurales
74
Anciano que tiene clinica de demencia con cefalea i deficits neurológicos de meses de evolución sin TCE asociado
Sospechar hematoma subdural crónico
75
Qué es el signo de spurling?
Reproducción síntomas radiculares cervicales al hacer compresión axial con cuello extendido hacia lado afectado
76
DD claudicación isquémica i neurógena
- Isquémica dolor alivia al parar immediatamente i en neurógena al inclinarse - Isquémia dolor a misma distancia i solo marcha, neurógena al estar de pie también i distancia variable
77
Qué raiz innerva diafragma ( respiración no espontánea por encima )
C4
78
tto hipertensión instracraneal
Cabecero 30 grados Hiperventilación Suero hipertónico Manitol CC Si no respuesta: Barbitúricos i craniectomia descompresiva
79
Cefalea más intensa por la mañana, papiledema BL i diplópia VI par craneal
HIC
80
Fármacos relacionados con pseudotumor cerebri
Que no te RESULTE NI ÁCIDO ni INFELIz REtinoides SULfamidas TEtraciclinas NItrofurantoína ÁCIDO nalidíxico INdometacina FEnitoina LItio
81
Mujer con IMC 40 que consulta por cefalea matutina y edema de papila BL. TC es normal. En el LCR se observa una P 28 cm H2O. tto?
Pseudotumor cerebri Acetazolamida PL repetición -----> Derivación lumboperitoneal
82
A qué se asocia el síndrome de Eaton-Lambert
carcinoma microcitico pulmonar
83
Hombre de mediana edad, diagnosticado de síndrome de Sjögren, que se queja de cuadro de inicio insidioso de pérdida de fuerza principalmente a nivel proximal de las cuatro extremidades y visión borrosa y diplopia, aunque añade extrañado que al iniciar un ejercicio nota cierta recuperación. Presenta reflejos osteotendinosos abolidos
síndrome de Eaton-Lambert
84
Causa más frecuente de HSA
aneurismas de la arteria comunicante anterior
85
Embarazada de 28 semanas y que ha presentado hiperemesis gravídica. Presenta un cuadro progresivo de desorientación, apatía, somnolencia, alteraciones visuales y dificultad para la deambulación. En la exploración destaca deterioro del nivel de conciencia, oftalmoplejía, nistagmo y ataxia severa
Encefalopatia de Wernicke secundaria a un déficit de vitamina B1
86
Paciente con gastroenteritis aguda. hace 15 días que acude con dolor lumbar y parestesias en cara posterior de muslos y piernas. Progresivamente, imposibilidad para caminar. En la exploración destaca parálisis de miembros inferiores y debilidad proximal de miembros superiores. Exploración sensorial y pares craneales normales
Guillain-Barré
87
Paciente joven con un impacto craneal que pierde el conocimiento, lo recupera, y posteriormente se deteriora
típico "intervalo lúcido" del hematoma epidural
88
Adolescente diagnosticado de síndrome de von Recklinghausen, se le descubren cifras altas de tensión arterial sin ninguna otra sintomatología
Descartar Feocromocitoma intraabdominal ( o estenosis de la arteria renal )
89
Mujer joven con clínica de miastenia gravis y masa retroesternal
Timoma
90
Afectación paraneoplásica más frecuente del sistema nervioso
Neuropatía periférica
91
Qué encontramos en una lesión medular aguda? ( fase inicial )
Parálisis flácida Antestesia global Abolición tono y reflejos Alteraciones vegetativas
92
Cuando consideramos una lesión completa ME ?
NO tono rectal sensibilidad perianal R. bulvocavernoso
93
Qué aparece a los 30 días de una lesión medular?
Hiperreflexia
94
Cuál es el primer signo de la herniación transtentorial?
Midriasis UL ( afectación III PC ) Después hemianopsia homonima CL
95
Hidrocefália congénita más frecuente
Estenosis acueducto Silvio
96
Tumores cerebrales supratentoriales i infratentoriales
97
Las metástasis cerebrales de qué tumores sangran más?
Riñón i melanoma
98
Donde se localizan las metástasis cerebrales?
En la unión cortico-subcortical
99
Donde se localizan los astrocitomas
Niños: Hemisferios cerebrales Adultos: Linea media
100
Donde se localizan los meduloblastomas?
Niños: vermis cerebelo Adultos: Hemisferio cerebelo
101
Tumor suprarenal que puede ser del snc
Neuroblastoma
102
Captación metástasis
En anillo y con edema perilesional
103
En qué tumor cerebral encontramos
Células en huevo frito: oligodendromas
104
Qué tumor afecta más al VIII par
Swannoma ( neurinoma acustico )
105
Qué codeleción encontramos en el oligodendroma
Codeleción 1p/19q
106
Qué tumor cerebral es más epileptógeno?
oligodendroma
107
En qué tumor cerebral encontramos c. psamoma?
Meningioma
108
tto meningioma
Qx resección completa ( curable !!! ) Rt si inoperable QT NO BENEFICIO
109
Qué tumor SNC es más frecuente en mujeres de 50-60 años i a qué se asocia
Meningioma ( a ca mama y TVP )
110
Qué proporciona mejor pronóstico en el glioblastoma multiforme?
Mutación IDH ( evoluciona ) Metilación MGMT ( responde mejor a QT : temozolamida )
111
Meningioma ( invade cráneo, no cerebro )
112
Glioblastoma multiforme ( astrocitoma IV ): captación anillo digitiforme con necrosis central
113
Tto metástasis
114
Qué tumor cerebral causa sd parinaud
Tumor pineal
115
Tumor cerebral más frecuente < 6 años
Meduloblastoma
116
Tumor cerebral más frecuente de 10-16 años
ST: Craneofaringioma IT: Astrocitoma I
117
Tumor cerebral más frecuente ADULTOS
Metástasis > Astrocitoma IV
118
Tumor más frecuente en la esclerosis tuberosa
Astrocitomas subependimarios cel gigantes
119
Qué sd presenta calcificaciones corticales en via ferrocarril
Sd struge-weber
120
Niño con epilepsia, retraso mental, convulsiones i anfiofibromas faciales
EPILOIA ( epilepsia, low intel, angiofibromas ) Esclerosis tuberosa
121
Qué sd provoca neurinomas acusticos BL que acaban en sordera a los 30 a
NF2
122
Sd asociado con gliomas del nervio óptico
NF1
123
Luxación más frecuente en sd down
Inestabilidad C1-C2
124
Epilepsia focal más frecuente con antecedente de crisis febriles y automatismos
Esclerosis mesial lóbulo temporal ( esclerosis hipocampo )
125
Epilepsia focal más frecuente en paciente de america latina
Neurocistecircosis ( tenia solium )
126
Lesión cerebral PAS +
Quiste coloide
127
Pacientes epilépticos con actividad motora atípica ( movimientos pélvicos, llanto ) sin confusión posterior
Crisis disociativas o psicógenas (dd vídeo- EEG )
128
De qué es patognomónico las descargas en punta-onda 3Hz
Crisis ausencia
129
Crisis febriles atipicas ( prolongadas, otra edad, recurrencia )
Canalopatia del sodio ( Sd Dravet )
130
Qué dos epilepsias se tratan con cannabidiol
Sd dravet Sd Lennox-gastaut ( Esclerosis tuberosa )
131
Tto Sd West
Aparece en el primer año de vida, 60% con una causa estructural. Se caracteriza por la triada de espasmos infantiles, discapacidad intelectual, Hipsarritmia. ACTH + Vigabatrina
132
Tto Sd Lennox-gastaut
Ac valproico, rufinamida ( cannabidiol )
133
Puntas de onda en región centrotemporal que se propagan con registro de fondo normal
Epilepsia benigna de la infancia o rolándica
134
Tto status epileptico ( > 5 min )
1. Benzodiacepinas ( midazolam ) 2. Antiepilepticos ( Fenitoína, valproato, lacosamida, levetiacetam ) 3. Inducción anestésica
135
Cuando se inicia tto epilepsia
2a crisis epiléptica o 1a crisis + EEG patológico, neuroimagen tipica, status
136
EA Fenitoína
Arritmias cardíacas hiperplasia gingival Interf. factores vitamina K, D y ac fólico Encefalopatia, ataxia
137
EA carbamacepina
Agranulocitosis Hiponatremia ataxia
138
EA Lamotrigina
Sd Stevens-johnson
139
EA Valproato
teratogénico ( no mujeres fértiles ) Hepatotoxicidad, trombocitopenia Aumento peso, alopecia NO ENF. METABOLICA
140
EA Levetiracetam
Sd psiquiátricos
141
Tto ausencias
( ETO ESTA AUSENTE DEL VALSA ) Etosuximida Acido valproico
142
EA Etosuximida
Parkinson Alt hematológicas
143
Tto Migraña
Crisis leve : AINE / mod: TRIPTANES o ERGOTAMINA ( dependiente ) ( estopa se fuma un TRIPi ERGO tiene migraña ) Crónica: Toxina botulínica, CGRP
144
Prevención migraña ( > 2 / mes )
Betabloqueantes ( propanolol ) Antagonistas calcio ( verapamilo ) Amitriptilina Antiepilépticos ( valproato )
145
Criterios cefalea tensional
NO hemicraneal Nauseas y vomitos Aura ni sensibilidad Opresivo Asociado estrés, depresión
146
Tto cefalea en racimos
Crisis: Sumatriptan O2 alto flujo Lidocaína intranasal Profilaxis : Verapamilo, prednisona NO propanolol, amtriptilina
147
Tto hemicránea paroxística
INDOMETACINA!!!!!
148
Clinica cefalea en racimos
Hombre jovenes Puede cursar con ojo rojo, lagrimeo, ptosis, obstrucción nasal, horner Desencadena con el alcohol Clusters con 1-3 dolores de 45 min que duran semanas
149
Cefalea que interrumpe el sueño, se accentúa con cambios ortostáticos y empeora progresivamente
Tumoral
150
Convulsión febril simple
Crisis tonico-clónica generalizada ( no focal ) < 15 min NO recidiva 24 h NO focalidad posterior
151
Mujer que tras tto con QT presenta cefalea, alteraciones visuales y confusión. En el TC se objetiva una alteración BL extensa en la sustancia blanca con edema en occipital y cerebelo
PRES ( leucoencefalopatía posterior reversible )
152
Gen afectado en ELA familiar
c9orf72 causa demencia frontotemporal
153
Clinica ELA
Signos combinados de 2a MT: Perdida fuerza, hiporeflexia, disartria y disfagia 1a MT: Hiperreflexia, espasticidad, parálisis progresiva OCULAR CONSERVADA
154
Fármaco tto ela
Riluzol
155
Escala glasgow
156
Mujer que presenta de manera brusca tras un episodio de tos un cuadro de confusión sin recordar nada a partir del accidente. Exploracion normal. Remite a las 15 h
Amnesia global transitoria ( < 24 h, no predispone a sufrir deterioro cognitivo en el futuro)
157
Mujer que presenta cefalea al sentarse y ponerse de pie con náuseas y visión doble. Remite al tubarse. TTO
Hipotensión intracraneal Hidratación y cafeína
158
Qué puede causar sd horner?
- Cefaleas trigeminoautonómicas - Sd wallenberg ( infarto bulbar lateral ) - T. pancoast ( vértice pulmonar ) - Disección carotídea - Trombosis seno cavernoso
159
Fármaco usado en las fases progresivas de la EM
Ocrelizumab
160
Tto esclerosis multiple
161
EA Natalizumab
Reactivación JC : Leucoencefalopatia focal progresiva
162
Dx esclerosis múltiple
Criterios Mc donald ( disseminación temporal y espacial ) RM lesiones captantes LCR banda oliclonal igG + pleocitosis <20 cel
163
Oftalmopejia internuclear
Ojo hace abeducción con nistagmus y el que tiene que hacer aducción no passa la linea media ( EM )
164
Fenomeno de uthoff
Pseudobrotes en la EM desencadenados por fiebre, ejercicio o estrés que corrigen al tratar la causa sin secuelas
165
virus asociado a em
ebstein-barr
166
Enfermedad con anti-NMO ( Ac anti-acuoporina 4 ) en suero
Neuromielitis optica ( enfermedad de DEVIC )
167
Enfermedad desmielinizante tras corrección rápida de hiponatrémia
Mielinosis central pontina
168
Clinica específica Mielinosis central pontina
Parálisis pseudobulbar y tetraparesia con conservación parpadeo y movimientos oculares verticales
169
Con qué enfermedades se asocia la encefalitis por ac anti-receptor NMDA
Teratoma de ovario Encefalitis herpética
170
Clinica específica de encefalitis anti canales k
Crisis distónicas fasciobraquiales
171
Si miramos PC nos indica nivel de la lesión en los sd cruzados
Supratentorial: I, II Mesencefalo: III, IV, V Protuberancia: V, VI, VII, VIII Bulbo: V, IX, X, XI, XII
172
Mujer que presenta tras una tos fuerte un episodio brusco de confusión. Pregunta todo el rato dónde está. Sabe quien es y está consciente. En 15 horas se le ha pasado
Amnesia global transitoria ( No predispone a demencia a largo plazo )
173
Genes relacionados con alzheimer
Gen proteína precursora amiloide ( crom 21 ) Gen APOE ( E4!!!! ) E2 protector Presenilinas 1 y 2
174
AP alzheimer
Ovillos neurofibrilares intraneuro ( TAU ) Placas seniles extraneuro ( P. amiloide ) Disminución neuronas corticales i Ach
175
LCR alzheimer
Aumento tau i disminución beta-amiloide
176
Tto alzheimer
- Inhibidores acetilcolinesterasa cerebral ( Rivastigmina , donezepilo ) - Memantina ( ag. glutamato NMDA ) Si alt. conductuales : Antipsicóticos Delirios, alucinaciones: Quetiapina ( risp 2a )
177
Variantes demencia frontotemporal
- Conductual : cambios personalidad y comportamiento - Afasia primaria progresiva: Semántica ( dificultad nominar ) y no-fluente ( bloqueo )
178
Encefalopatía de binswanger ( leucoaraiosis de la substancia blanca por arterioesclerosis difusa )
179
Demencia PAS +
Cuerpos de lewy
180
Clinica demencia cuerpos de lewy
Demencia + Parkinsonismo ( 1 año despues de deterioro cognitivo ) Alucionaciones visuales Fluctuación estado alerta HIPERSENSIBILIDAD NEUROLEPTICOS
181
Fenómeno miembro alien
Degeneración corticobasal ( atrofia frontoparietal asimétrica )
182
Dx enfermedad creutzfeld-jakob
LCR aumento proteina 14-3-3 RT-QUIC + Necropsia con alteración espongiforme neuronas
183
Hombre que presenta alteración del lenguaje progresiva sin otra alteración evidente. Gran dificultad para repetir frases largas
Variante logopénica del alzheimer
184
Alteraciones neurotransmisores en parkinson i corea
- Parkinson: Hay un fallo en la substancia negra que produce DA hacia el estriado, que tiene acetilcolina: Aumento Ach i disminución DA - Corea: Fallo en estriado: Aumento DA i disminución Ach
185
Tto parkinson
1. Levodopa ( precursor DA ) + carbidopa / benserazida ( evitan degradación ) + entacapona ( inhib COMT ) 2. Agonistas DA ( pramipexol, rotigotina ) < 50 a 3. IMAO-B ( rasaglina ) inicio 4. Amantadina - F avanzadas: estimulación cerebral profunda ( SUBTALAMO )
186
EA levodopa
nauseas, vómitos, hipotensión ortostática, no durante comidas
187
EA agonistas DA (pramipexol, rotigotina )
Trastornos control impulso ( sexo, dulce, juego )
188
Qué fármaco usamos en las discinesias motoras del parkinson?
Amantadina
189
Características PSP
- Parkinsonismo con poco temblor, caidas hacia ATRÁS y NO RESPUESTA LEVODOPA - Distonia cuello y párpado - Parálisis mirada VERTICAL ( no baja ) - Demencia subcortical
190
Diferencia paralisis mirada parkinson y PSP
PArkinson no mira PArriba i PSP no puede jugar a la PSP ( no mira abajo )
191
Fármacos producen parkinsonismo
Neurolépticos ( haloperidol ) Antiemeticos ( metoclopramida ) Antivertiginosos ( sulpiride ) Calcioantagonistas ( Flumaricina )
192
A qué deficiencia se asocia el sd piernas inquietas
Hierro
193
Tto distonia focal
Toxina Botulinica
194
Tto temblor esencial
Propanolol Primidona En casos refractarios: estimulación profunda sobre TALAMO , o ultrasonido
195
Niño de 12 años con antecedente de faringitis que presenta unos movimientos arrítmicos e irregulares con inquietud psicomotriz. Además refiere que está muy obsesionado con temas inusuales
Corea de sydenham
196
Qué tres patologias cursan con depositos de alfa-sinucleína
Parkinson Enfermedad por cuerpos de lewy Atrofia multisistema
197
Qué depósito tiene la PSP
TAU
198
tto para náuseas de paciente con parkinson
Domperidona ( antiemético menos parkinsonizante )
199
tto piernas inquietas
Agonistas DA ( pramipexol, rotigotina ), levodopa, bzd
200
Qué sospechar ante un parkinsonismo en un paciente joven con alteración conductual
Wilson
201
Orden de aparición clinica wernicke
"OJO que wernicke ANDA LOCO" 1. Oftalmoparesia 2. Ataxia 3. Confusión ----> Korsakoff
202
Tto encerfalopatia wernicke
Tiamina + suero glucosado ( SIEMPRE ANTES TIAMINA IV, ya que es un cofactor y su déficit puede exacerbar la clinica )
203
Paciente con antecedente de gastritis atrófica que acude por parestesias distales en los miembros con pérdida de la sensibilidad vibratoria en miembros inferiores y ataxia sensitiva
Degeneración combinada subaguda de la ME por déficit de vitamina b12 ( por déficit FI i poca absorción )
204
Qué enfermedad se presenta con la tríada D: demencia + diarrea + dermatitis fotosensible
Pelagra ( déficit triptofano o vit b3 )
205
A qué receptores afectan la miastenia gravis i el sd eaton lambert
Mg: ac anti receptor Ach postsinaptico EL: ac anticanal ca presinaptico
206
Diferencias miastenia i eaton
207
Asociación con miastenia gravis
( MIASTIMIA GRAVIS ) Hiperplasa tímica ( 65%) Timoma ( 10 %) Enf. AI ( 10%): LES, AR, Hipertir
208
A qué se asocia el sd eaton-lambert
Carcinoma microcítico de pulmón
209
Tto miastenia gravis
Anticolinestéricos ( piridostigmina / reostigmina ) Si no: CC/ I- Timectomia si timoma o generalitzada 15-55 a
210
Polineuropatías de inicio proximal ( excepciones )
DM, Porfiria, Talidomida
211
Qué polineuropatias metabólicas no son axonales sino desmielinizantes
Hepáticas crónicas ( VHB, VHC )
212
Clinica guillain-barré
Aguda + Arreflexia + Ascendente Simetrica Dolor muscular, debilidad + parestesias Disautonomia al final ( NO ALT. ESFÍNTERES )
213
Dx guillain-barré
- LCR: Disociación albumino-citológica ( aumento proteinas con celulas <10 ) - Desmielinización en neurofisio: No onda F, velocidad lenta y bloqueos conducción DUDAR SI: Fiebre, Asimetria, alteración esfínteres, sensitiva clara o lcr >50 cel
214
tto guillain-barré
Medidas de soporte + Ig/ plasmaféresis NO CORTICOIDES
215
Clinica neuropatía diabética
- Polieuropatía simétrica y distal (comun): 1. No R. aquileo + disminución vibración 2. Disminución sensibilidad + disautonomia 3. NO ROT + neuropatia proximal motora ( amiotrofia diabética ) - Mononeuritis multiple > 50a + DM1 + adelgazamiento cualquier nervio ( III -- VI )
216
A qué se asocia la ataxia friedreich?
CARDIOPATIA Cifoescoliosis pies cavos DM
217
Como estan las pupilas en el coma?
Si lesión Mesencefalo --> Midriáticas Si lesión Puente --> Puntiformes
218
Patrones respiratorios y sus lesiones
219
Clinica distrofia muscular duchenne
- Debilidad musculatura proximal + cuello - Pseudohipertrofia muscular - Maniobra de gowers - Asociado a alteraciones CARDIACAS i retraso mental - Variante de becker ( mejor pronóstico )
220
Dx distrofia muscular duchenne
Aumento CK x 20 EMG: potenciales poco amplios Dèficit distrofina musculo
221
Patrón de heréncia de distrofia miotónica de steinert
AD Expansión de tripletes CTG ( gen DMPK )
222
Asociaciones distrofia miotónica de steinert
Calvicie Alteraciones cardíacas DM Cataratas subcapsulares Atrofia gonadal Déficit intelectual Miotonia
223
Tto neuropatía diabética
NO hay Pero mejora con antidepresivos ISRS ( duloxetina )
224
La distrofia fascioescapulohumeral afectación
El deltoides y el pectoral mayor no se afectan hasta fases avanzadas. El paciente puede presentar brazos de Popeye, con bíceps y tríceps atróficos y antebrazos normales. No suele afectar la esperanza de vida
225
Tto ictus agudo
226
Joven fumador que acude a urgencias de su hospital ya que, 2 horas antes, sufrió una cefalea brusca e intensa, mientras daba un paseo en bicicleta. La exploración neurológica y el TC son normales.
Realizar una PUNCIÓN LUMBAR que muestre sangre en el lcr: prueba de los tres tubos ( en la HSA no se aclara 3 tubo ) ( sospecha ALTA de HSA ) Tras esto realizar arteriografia para determinar el aneurisma
227
Circuito ganglios de la base
228
Cefalea intensa y repentina, rigidez de cuello, vómitos y sin fiebre
hemorragia subaracnoidea
229
Aumento del dolor al levantarse, coger peso o toser
masa en fosa posterior o malformación de Arnold-Chiari
230
Cefalea que aparece por primera vez en un paciente con neoplasia
Metástasis cerebrales o meningitis carcinomatosa ( si dicen que no hay células malignas es una trampa, ya que la rentabilidad de la punción lumbar para detectar este tipo de células no es muy alta y se debe repetir hasta en 3 ocasiones para descartarla con cierta seguridad )
231
Un paciente es traído a neurología por presentar deterioro de las funciones superiores caracterizado por trastornos de concentración y enlentecimiento de las capacidades mentales, con ausencia de apraxia, agnosia y afasia
La apraxia, agnosia y afasia es típica de las corticales ( Alzheimer). En cambio en las subcorticales presentan alteraciones de funciones superiores, pero NO apraxia, agnosia y afasia. ( NO ALZHEIMER )
232
Por qué puede ser producida la lesión del nervio mediano por atrapamiento a nivel del tunel carpiano
ocurre fundamentalmente por fibrosis excesiva de los ligamentos a nivel de la muñeca ( embarazo, hipotiroidismo, amiloidosis sistémica )
233
Un niño presenta un cuadro clínico consistente en retraso del crecimiento, hemianopsia bitemporal que comenzó en los cuadrantes inferiores e hipertensión intracraneal. Una RMN demuestra la presencia de un tumor intracraneal. Señale el origen del tumor intracraneal
Restos de la bolsa de Rathke ( craneofaringioma )
234
síndrome de Klippel-Feil
fusión de varias vértebras cervicales, que limita la movilidad de la columna cervical
235
tto meningioma
Resección qx completa Si inoperable : RT NUNCA QT, no beneficio!!!!
236
Origen sangrado hematoma epidural
Arteria meníngea media
237
Miopatía centronuclear ( enfermedad ligada al X cuya imagen histológica característica muestra fibras musculares con centralización nuclear )
238
Como se llama el area que conecta Broca y Wernicke
Fascículo arqueado ( no repite )
239
Lesión tumoral a nivel cerebeloso izquierdo. La RMN muestra una lesión quística con un nódulo hipercaptante en la pared, y deja la duda entre astrocitoma quístico y hemangioblastoma, pero nos dicen que el paciente tiene el hematocrito aumentado, lo cual es compatible con el hemangiblastoma, ya que produce eritropoyetina. Además este tumor se asocia a lesiones quísticas en otros órganos como páncreas y ríñón. Recordad también su asociación al síndrome de VON HIPPLE-LINDAU