NEUMO Flashcards

(200 cards)

1
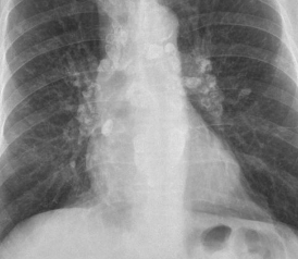
Q

calcificaciones mediastinicas en Cascara huevo?

A

Silicosis

How well did you know this?
1
Not at all
2
3
4
5
Perfectly
2
Q

Algoritmo espirometria

A
How well did you know this?
1
Not at all
2
3
4
5
Perfectly
3
Q

Volumenes espirometria

A
How well did you know this?
1
Not at all
2
3
4
5
Perfectly
4
Q

Volumenes espirometria

A
How well did you know this?
1
Not at all
2
3
4
5
Perfectly
5
Q

Primer parámetro que se altera en fumador

A

F. mesoespiratória : 75-25%
> 60%

How well did you know this?
1
Not at all
2
3
4
5
Perfectly
6
Q

Enfermedades restrictivas

A
How well did you know this?
1
Not at all
2
3
4
5
Perfectly
7
Q

Causas más frecuentes disminución DLCO ( < 80 % )

A

Aumento mb alveolocapilar:

  1. Alteración mb alv : ENFISEMA
  2. Grosor intersticio : EPID
  3. Endotelio: anemia, TEP, ICC
How well did you know this?
1
Not at all
2
3
4
5
Perfectly
8
Q

Causas aumento DLCO ( > 120 %)

A

Poliglobulia
Hemorragia alveolar
Asma
Embarazo

How well did you know this?
1
Not at all
2
3
4
5
Perfectly
9
Q

Fórmulas gradiente alveolo-capilar

A

D(A-a) O2= PAO2 - PaO2 <15
D(A-a) O2= 150 - ( PaCO2 x 1,25 ) - PaO2

How well did you know this?
1
Not at all
2
3
4
5
Perfectly
10
Q

Efecto BOHR

A

Disminución afinidad o2 en presencia CO2 + H+ ( capilares tisulares ) –> desplaza a derecha curva
Liberación o2 a tejidos

How well did you know this?
1
Not at all
2
3
4
5
Perfectly
11
Q

Factores desplazan curva hb a derecha

A

Acidosis
Aumento temperatura
Aumento 2-3 difosf
Aumento PaCO2
Hb fetal

How well did you know this?
1
Not at all
2
3
4
5
Perfectly
12
Q

Algoritmo hipoxemia

A
How well did you know this?
1
Not at all
2
3
4
5
Perfectly
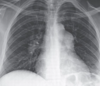
13
Q

Dx intoxicación CO

A

CO-Oximetria

How well did you know this?
1
Not at all
2
3
4
5
Perfectly
14
Q

tto intoxicación cianuro

A

Hidroxicobalamina iv

How well did you know this?
1
Not at all
2
3
4
5
Perfectly
15
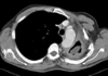
Q

Si tenemos O2 suplementario como vemos pO2

A

PaFiO2: Pao2/Fio2
> 400: normal
300-400: hipoxemia
< 300: IR
< 200: IR greu

How well did you know this?
1
Not at all
2
3
4
5
Perfectly
16
Q

¿ Cuándo encontramos percusión timpánica?

A

Enfisema
Neumotórax
Crisis Asmáticas

How well did you know this?
1
Not at all
2
3
4
5
Perfectly
17
Q

Qué auscultación encontramos en asma

A

Hiperinsuflación:

Percusión timpánica
Silencio auscultatorio ( grave )
Alargamiento espiratorio ( obstrucción flujo )
sibilancias

How well did you know this?
1
Not at all
2
3
4
5
Perfectly
18
Q

¿ Cuándo encontramos vibraciones disminuidas?

A

Derrame pleural
Neumotórax

How well did you know this?
1
Not at all
2
3
4
5
Perfectly
19
Q

¿ Cuándo encontramos vibraciones aumentadas?

A

Condensación pulmonar

How well did you know this?
1
Not at all
2
3
4
5
Perfectly
20
Q

¿ Cuándo encontramos crepitantes último 1/3 inspiración ( finos )?

A

Afectación parénquima pulmonar

How well did you know this?
1
Not at all
2
3
4
5
Perfectly
21
Q

¿ Cuándo encontramos crepitantes 1/3 inicial inspiración?

A

Exsudado bronquios grandes

How well did you know this?
1
Not at all
2
3
4
5
Perfectly
22
Q

¿ Cuándo encontramos soplo anfórico?

A

Cavernas TBC grandes, Neumotórax

How well did you know this?
1
Not at all
2
3
4
5
Perfectly
23
Q

Qué se presenta con un empeoramiento de su capacidad vital en decúbito supino

A

Enf. neuromuscular

How well did you know this?
1
Not at all
2
3
4
5
Perfectly
24
Q

Paciente con tos i disnea que presenta edema en esclavina

A

Sd vena cava superior ( Ca microcítico pulmón )

How well did you know this?
1
Not at all
2
3
4
5
Perfectly
25
Paciente con tos y dolor que se irradia al brazo. Presenta ptosis i enoftalmos
T. Pancoast
26
tto tumor pancoast
QT + RT -------- + cirugia
27
Qué tumores pulmón son perifericos
( Estan Afuera ) Adenocarcinoma Anaplásico
28
Qué tumores pulmón son centrales
Epidermoide Microcítico
29
Qué Ca pulmón no da acropáquias
Microcítico
30
Qué ca pulmón se asocia al sd paraneoplásico de la hipercalcémia
Epidermoide
31
Qué ca pulmón se asocia al sd paraneoplásico de la osteoartropatia hipertrófica
adenocarcinoma
32
Qué ca pulmón se asocia al sd paraneoplásico de la ginecomastia
Anaplásico
33
A qué sd paraneoplásicos se asocia el microcítico
SIADH Sd Eaton Lambert Sd cushing
34
Criterios benignidad NPS ( 3/3 )
- < 35 años - NO FUMADOR - Rx benigna: <0,8 cm o no crecimiento en 2 a Duplicación <20 días o >400 días L. satélite, calcificaciones palomita o ojo buey, nido central denso
35
Estratificación riesgo NPS
- Bajo : 2/3 criterios benignidad - Medio: 0-1/3 criterios benignidad - Alto: Rx maligna ( espiculaciones, cola pleurítica )
36
Manejo NPS
37
Tto ca pulmón
38
Estadiaje Ca pulmón
39
Qué mutaciones hay en el Ca pulmón
EGFR ( adenocarcinomas , asiáticos ) ALK ROS-1 c-myc ( microcítico )
40
En qué subtipo carcinoma pulmón vemos una imagen radiológica de pulmón blanco sin desviación del mediastino ?
Atelectasia bronqui principal con derrame pleural ( CA EPIDERMOIDE )
41
Cuando se desvia el mediastino hacia el lado de la lesión?
Atelectasia
42
Cuando se desvia el mediastino hacia el lado contrario de la lesión?
Derrame pleural Neumotórax a tensión
43
Clinica neoplasias pulmonares centrales
Tos productiva Hemoptisis Neumonias Atelectasias
44
Tumor pulmonar que causa más frecuente la masa maligna cavitada
Ca epidermoide ( 20 % )
45
Tumor pulmonar que se caracteriza por la formación de puentes de queratina ( perla córnea )
Ca epidermoide
46
Tumor pulmonar que más frecuententemente se asienta sobre cicatrices pulmonares ( TBC )
Adenocarcinoma
47
Tumor pulmonar que más frecuententemente afecta a la pleura creando derrame pleural maligno
Adenocarcinoma
48
Qué subtipos de adenocarcinoma de pulmón tienen mejor y peor pronóstico
Leptídico ( mejor ) Micropapilar ( peor )
49
Qué deleción se encuentra en el microcitico
3p
50
Tumor primario con mejores tasas de éxito en la metastasectomía pulmonar
Osteosarcoma
51
Tumor pulmonar que más frecuententemente se relaciona con un sd PTH-like ( hipercalcemia i hipofosfatemia )
Ca epidermoide
51
Tumor pulmonar que más frecuententemente se relaciona con un sd PTH-like ( hipercalcemia i hipofosfatemia )
Ca epidermoide
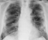
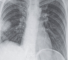
52
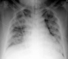
Qué signo radiológico aparece?
Signo de Golden ( atelectasia por obstrucción bronquio principal o lobar )
53
Dx extensión cancer pulmón
TAC toracoabdominopélvico N0 : Qx ( asumimos. ) o PET-TC ( conf ) excepto T. Hiliar/pancoast N1,2,3: Estudio mediastínico con: Mediastinoscopia/ EBUS ( paratraqueales D o subcarinales ) Mediastinostomía ( LSI, bronquio izq ) Toracoscopia ( aortopulmonares, paraesofagicas, derrame pl)
53
Dx extensión cancer pulmón
TAC toracoabdominopélvico N0 : Qx ( asumimos. ) o PET-TC ( conf ) excepto T. Hiliar/pancoast N1,2,3: Estudio mediastínico con Mediastinoscopia/ EBUS con Mediastinostomía o toracoscopia ( si aortoesofag..)
54
Dx histiológico cancer pulmon
Central: Fibrobroncoscópia + bx bronquial ( 3-4) Periférico: Fibro + bx transbronquial o transtorácica
55
T segun tamaño ca pulmón
T1: < 3cm T2: < 5 cm ( A 3-4cm B 4-5 cm ) T3: 5 - 7 cm T4: > 7 cm
56
T segun invasión ca pulmón
T1: nada T2: pleura visceral T3: Pleura parietal, pericardio parietal, n.frénico, paret tx, nod IPSILOBARS ( papa esquizofrénico ) T4: Diafragma, Mediastino, n.recurrente, sd cava sup, pericardi visceral i nod IPSILATERAL ( dime que los 4 recurristeis al cava )
57
T segun bronquio ca pulmón
T1: lobar y segmentario T2: principal/ atelectasia T3: - T4: carina, traquea
58
N ca pulmón
N0: no adenop N1: adenop hiliares o lobares IPSI N2: adenopat subcarinales o mediast IPSI N3: adenopat CL o extratx
59
M ca pulmon
M0: NO M1a: intratorácica ( implantación pleural, masa CL, derrames ) M1b: 1 metástasis extratx M1c: > 1 metástasis extratx ( SR, SNC )
60
Tto vena cava superior
Diuréticos CC Rt locoregional
61
Irresecabilidad cancer pulmón
IV IIIB IIIA N2 o T4 afectación organos nobles Microcítico >1
62
Criterios inoperabilidad pneumo
Enf graves incontrolables o MEG IAM < 3m o arritmia ventricular DLCO < 60%, HTP, PaCO2>45 irrev, CV<45 irrev FEVI <80% calcul postop ( gammagrafia perfusió ) Si < 30% o 800ml NO ( si 30-40% valorar )
63
Tto mutaciones Ca pulmón EGFR
Erlotinib/ Gefitinib
64
Tto mutaciones Ca pulmón ALK
Crizotinib / Alektinib ( bona perfusió SNC )
65
Tto mutaciones Ca pulmón braf
Dabrafenib, trametinib
66
Immunoterapia anti-PD1 en ca pulmón
>50%: Pembrulizumab/nivolumab ( NO QT ) 1-49%: Pembrulizumab/nivolumab + QT +- RT <1% : QT + RT + BEVALIZUMAB ( Si no epidermoide )
67
Tto microcitico pulmón
Muy inicial: Plantear QX+QT Localiz: QT + RT A LA VEZ ----- RT holocraneal Disemin: QT paliativa ----- RT holocraneal
68
Qué neoplasia benigna del pulmón puede provocar sd carcinoide ( rubor, hipotensión, fiebre )
Carcinoide bronquial
69
Tumor benigno pulmonar central, en no fumadores i < 40 años
Carcinoide bronquial
70
Qué células deriva el Carcinoide bronquial
Cel. Kulchitzky
71
Tumor pared torácica en capas de cebolla
Sarcoma ewing
72
Criterios de LIGHT
= EXSUDADO Proteinas pleura/séricas > 0,5 LDH pleura/sérico >0.6 LDH pleural > 2/3 LN suero
73
A qué orienta predominio linfocitos en liquido pleural?
TBC TUMOR
74
Cuando se hace una toracocentesis en derrame paraneumónico
Si > 1cm en decúbito lateral
75
Criterios derrame complicado ( al menos 1 )
- Ph < 7,2 o glu < 60 mg - Tinción Gram + o pus franco - LDH > 1000 COLOCAR TUBO DRENAJE ENDOTX
76
Qué se usa en los derrames malignos que precisan toracocentesis evacuadoras repetidas?
Pleurodesis química ( talco o bleomicina )
77
Presencia de células LE en liquido pleural
LUPUS
78
Causas principales de derrame sanguinolento hematocrito < 50%
Neoplásico TEP Traumatico
79
tto hemotórax
< 350 ml nada > 350 ml tubo drenaje >1500ml en 24h toracotomía urgente
80
Tto quilotórax
Drenaje torácido + OCTREÓTIDO Dieta con ácidos grasos cadena media
81
Cuando hacemos Rx en inspiración y espiración máxima
Neumotórax
82
Complicación más frecuente NT espontáneo
Recidiva
83
Qué puede presentarse como el signo de la embarazada?
Tumores pleurales
84
Derrame pleural seroso de años de evolución que presenta lesiones nodulares
Mesotelioma
85
Manejo Neumotórax
86
Principales enfermedades que disminuyen el DLCO
Enfisema E. Intersticiales
87
Paciente joven, no fumador que presenta un EPOC por enfisema i alteraciones hepáticas
Déficit alfa1-antitripsina
88
Tipos de enfisema
1. Centroacinar : central en lobulos superiores ( bronquitis crónica y tabaco ) 2. Paraseptal: Distal en jovenes i neumotórax 3. Panacinar: Todo en lobulos inferiores y deficit alfa1-antitripsina
89
Tto déficit alfa1-antitripsina
Prolastina iv
90
Diferencias más importantes bronquitis crónica con enfisema
Bronquitis cronica: cianótico, muchas reagudizaciones, pero se encuentran mejor, aumento pco2 Rx engrosamiento pared, vascular y cardiomegalia Enfisema: Rosado, mucha disnea i disminución DLCO, se encuentran peor pero estan mejor. Rx atrapamiento aéreo con silueta cardíaca pequeña
91
Escala mMRC
Valora disnea para guiar tto Grado 0: Ejercicio intenso Grado 1: Subir cuesta o caminar deprisa Grado 2: No sigo paso personas, parar al caminar llano Grado 3: Parar cada 100 m Grado 4: Reposo
92
Tto que aumenta la supervivencia EPOC
1. DEJAR TABACO 2 O2 terapia 16h si se necesita 3. RHB 4. Qx enfisematoso
93
Cuando se necesita o2 terapia en EPOC
No fumador Bien tratado Estable!!!! ( no valorar si agudo ) Hipoxemia grave pO2 <55, pO2 55-60 + complicaciones ( HTP, hipercapnia )
94
Terapia de inicio EPOC segun GOLD
95
Fármacos más usados en tto EPOC
- Agonistas b2-adrenérgicos: Corta : SABA ( salbutamol, fenoterol, terbutalina ) Larga: LABA ( salmeterol, formoterol ) - Anticolinérgicos: reducen secreción bronquial Corta: Bromuro de ipratropio Larga: Bromuro de tiotropio y glicopirronio - Corticoides inhalados : budesonida, beclometasona, fluticasona - Macrólidos: azitromicina, eritromicina - Roflumilast
96
Tto mantenimiento EPOC
97
Cuando usamos azitromicina en EPOC?
Eosinófilos <100 y no fumadores
98
Cuando usamos roflumilast en EPOC?
FEVI<50% Bronquitis crónica
99
Cuando planteamos qx reducción volumen pulmonar enfisema
Enfisema heterogéneo con areas parenquima preservadas <75 años i FEVI <45% I DLCO >20%, disnea grave con tto, WT6 >140m
100
Tto agudización EPOC
( Ventilar x BOCA ) Ventilación mecánica ( si IR hipercápnica ) B : Boncodilatadores inhalados ( SABA, SAMA ) O: O2 si necesita C: Corticoides sistémicos VO A: ATB si PCR > 30 o cumple 2/3 F: +flema +fea +fatiga
101
Mejor predictor global de EPOC
Índice de BODE Bpdy mass index Obstruction Disnea Exercise ( test 6 min )
102
tto específico asma alérgico
- Cromonas - Antileucotrienos: montelukast OMALIZUMAB ( anti IgE ) MEPOLIZUMAB ( anti IL-5 )
103
tto específico asma intrinseco
Aumento de leucotrienos : Antileucotrienos ( montelukast )
104
Tríada Widal
( asma intrínseco en adultos ) ASMA POLIPOSIS NASAL INTOLERANCIA ASPIRINA
105
Algoritmo dx ASMA
FENO > 40
106
Tto escalonado ASMA
107
Tto asma embarazadas
Mal control de síntomas durante el embarazo pueden desencadenar complicaciones graves para el feto y la madre, por lo que las ventajas de tratar el asma superan los efectos secundarios potenciales del uso de medicación. BUDESONIDA (seguro ) --- si muy mal control ( + b2-agonistas )
108
Signos extrema gravedad crisis asmáticas
- Disnea muy intensa / cianosis - BC - BP - Hipotensión - Silencio auscultatorio - Disminución consciencia - Movimiento paradójico toracoabdominal INTUBACIÓN OROTRAQUEAL
109
Tto crisis asmática
b2 adrenérgicos acción corta inhalados Cortis sistémicos si mod/grave Anticolinérgicos si crisis muy grave
110
Como manejar hipoxemia y hipercapnia en la ventilación mecánica no invasiva
Hipercapnia: Aumentar IPAP Hipoxemia: Aumentar EPAP ( alveolos abiertos )
111
En qué patologias se usa la CPAP
SAHS EAP
111
En qué patologias se usa la CPAP
SAHS EAP
112
Como se ventila?
PRESIÓN POSITIVA EN INSPIRACIÓN I ESPIRACIÓN en inspi para disminuir el esfuerzo muscular +++ en espi para que no se colapsen los aleolos + ( más en inspi para que haya movimiento ventilatorio )
113
Abordaje Sd distrés respiratorio
- Ventilación protectora : Controlada por VOLUMEN 6ml/kg ( bajo ) Presión baja < 30 cm PEEP elevada 8-10 cm h2o Disminución O2 terapia - Maniobras reclutamiento : Subimos PEEP hasta encontrar mejor - Maniobras PRONO: ir cambiando zonas colapsadas mejorar ventilación - ECMO: Mb o2 extracorpórea veno-venosa
113
Abordaje Sd distrés respiratorio
- Ventilación protectora : Controlada por VOLUMEN 6ml/kg Presión baja < 30 cm PEEP elevada 8-10 cm h2o Disminución O2 terapia - Maniobras reclutamiento : Subimos PEEP hasta encontrar mejor - Maniobras PRONO: ir cambiando zonas colapsadas mejorar vent - ECMO: Mb o2 extracorpórea veno-venosa
114
A qué se relaciona el mesotelioma
Exposición asbesto o uralita
115
Dx mesotelioma
1º Toracocentesis y biopsia pleural ( no suficiente normalmente ) 2º Toracoscopia i pleuroscopia ( muestra histológica ) TC torácico ver extensión
116
Características de un SDRA
Hiperpermeabilidad alveolocapilar Infiltrados pulmonares difusos IRA PRESIÓN ENCLAVAMIENTO NORMAL
117
PaO2/ FiO2 SDRA
PaO2/ FiO2 previo a ventilación <200 PaO2/ FiO2 tras ventilación leve : 200-299 Mod: 100-199 Grave: <100
118
Qué patrón presenta ?
Patrón panal de abeja subpleural ( " simetrico ") NIU ( FPI )
119
Qué patologias se hace transplante de pulmón
Enfisema Fibrosis pulmonar Fibrosis quística
120
Linfagioleiomiomatosis
121
ICC a punto de hacer EAP
122
Silicosis
123
NEC
124
Criterios dx fibrosis pulmonar idiopática
Patrón reticular Afectación subpleural y basal TCAR panal de abeja NO: vidrio esmerilado, micronodulos, quistes, mosaico, consolidación
125
Tto mantenimiento FPI
Antifibróticos: Pirfenidona, nintedanib Tto soporte Tx pulmonar
126
Hombre de 60 años con acropaquias, disnea progresiva y crepitantes bibasales SIN OTROS SINTOMAS
FPI
127
Qué neumonitis intersticial presenta un varón joven fumador que presenta macrófagos hiperpigmentados
NID ( descamativa )
128
Qué neumonitis intersticial presenta un paciente que no cumple todos los criterios de NIU y tiene colagenosis
NINE ( no especifica )
129
Qué neumonitis intersticial presenta un paciente con un cuadro linfoproliferativo y sd constitucional
NIL ( linfocitica )
130
Qué neumonitis intersticial presenta un paciente que parece que tiene un SDRA idiopático y muere en 2 meses
NIA ( aguda )
131
Qué neumonitis intersticial presenta un paciente que no responde a tto y presenta infiltrados parcheados migratorios
NOC ( organizada )
132
Paciente que ha sido expuesto a sepultación en arena y tiene este patrón
Silicosis aguda ( miliar )
133
Paciente con patrón reticular y nodulos en campos superiores y exposición al carbón
Antracosis
134
Qué indican las placas pleurales en campos inferiores y diafragma
Exposición al asbesto
135
En qué enfermedad intersticial el tabaco es un factor protector
Neumonitis por hipersensibilidad Sarcoidosis
136
Qué enfermedad intersticial está relacionada con la exposición al polvo de algodón
Bisinosis
137
Tipos neumonitis por hipersensibilidad
AGUDA: tos seca y meg brusco ( 4 h exp ) con infiltración basal difusa. Disminución DLCO CRÓNICA: Expectoración crónica con infiltrado reticulonodular apical
138
BAL neumonitis por hipersensibilidad
Linfocitos CD8/CD4 aumentado
139
Qué NO encontramos en la neumonitis por hipersensibilidad
Eosinofilia o IgE elevados
140
Etiología de neumonitis por hipersensibilidad
Exposición laboral : granjeros, pajaros, madera
141
Connectivopatía que más produce enfermedad intersticial
Esclerodermia
142
Paciente con AR y nódulos pulmonares y neumoconicosis
Sd Caplan
143
Antineoplásico con mayor toxicidad pulmonar
Bleomicina
144
Estadios sarcoidosis
I: ADP sin afectación parénquima II: ADP con afectación parénquima III: afectación parénquima sin ADP IV: fibrosis pulmonar
145
Sd heerfort ( sarcoidosis )
Fiebre Parotiditis Uveitis Paralisis facial
146
Sd Lofgren ( sarcoidosis )
Linfadenopatia Ojo = uveitis Fiebre GRandes articulaciones Eritema Nodoso
147
Afectaciones extratorácicas sarcoidosis frecuentes
Eritema nodoso, Lupus pernio Uveitis anterior Hipercalcuria Af higado Paralisis facial
148
Caracteristicas laboratorio sarcoidosis
CD4/CD8 > 3,5 Aumento ECA Hipergammaglobulinemia
149
Dx sarcoidosis
Bx transbronquial de GRANULOMA NO CASEIFICANTE
150
Afectación extrapulmonar más frecuente histiocitosis x
Quistes oseos solitarios
151
Diferencias histiocitosis x y linfangioleiomiomatosis
- Hombres fumadores / mujeres fértiles - Linfangiom puede tener quilotórax a parte de NT - SUP nodular / INF reticular - Cel langerhans / cel musculo liso
152
Tto linfangioleiomiomatosis
Sirolimus
153
Qué células encontramos en Histiocitosis x
Langerhans > 5%
154
En qué enfermedad intersticial encrontramos macrófagos PAS+
Proteinosis alveolar
155
Tto Proteinosis alveolar
Lavados pulmonares GM-CSF ( congénita ) Plasmaféresis i rituximab ( AI ) NO CC
156
TTO histiocitosis x
penicilamina
157
Enfermedades intersticiales que presentan patrón OBSTRUCTIVO
" SIN SAL " Sarcoidosis Istiocitosis x----REST NEC/NHC Silicosis a Linfangioleiomatosis --- REST
158
Qué enfermedades intersticiales se parecen o contrario a EAP
El NE - NI es un PRO aunque tenga EAP NEC ( contrario ) NIA ( similar ) Proteinosis alveolar ( similar )
159
Mujer de 40 años con asma que ha perdido peso en los últimos meses. Presenta eosinòfilos en sangre perfièrica y en la rx vemos
NEC Cortis al tto ( recaidas al retirar )
160
Paciente con febícula, hemoptisis y tapones mucosos marrones así como infiltrados parcheados. En el tc presenta:
Aspergilosis alérgica
161
Hombre de 40 años que presenta eosinofilia periférica > 6 meses i disfrunción multiorgánica.
Sd hipereosinofílico ( puede infiltrar al corazón, 1a causa muerte )
162
Tto Sd hipereosinofílico
CC + hidroxiurea
163
Joven 22 a que acude por dolor torácico inespecífico. Hipofonesis generalizada
Neumotórax a tensión
164
Manejo del TEP post tto
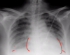
165
Dx TEP
166
Tto TEP
167
Signos tipicos TEP en RX
Joroba de hampton S. Westermark ( hiperclaridad ) Amputación hiliar
168
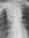
Qué signo vemos
Joroba de hampton
169
Como se valora la somnolencia?
Escala de Epworth ( 0-24 ) > 10 excesiva somnolencia
170
Dx i tto Sd apnea del sueño
Polisomnografia nocturna ( SAOS > 15 ) Reducir sobrepeso y evitar alcohol y sedantes CPAP ( si IAH > 30 apneas/h )
171
Patogenia SAOS
Atonia muscular en fases profundas del sueño que aumenta la resistencia del paso del aire y colapsa la faringe. Esto da lugar a un breve despertar ( arousal ) que mantiene paciente en fase I y II del sueño que NO REPARA ---> somnolencia diurna
172
Complicaciones SAOS
HTA, HTP, Policitemia, Arritmias nocturnas ( riesgo muerte súbita )
173
Dx i tto SAOS
1. IAH > 15/h 2. IAH >5/h + excesiva somnolencia día, sueño no reparador, menos calidad vida tt: Reducir sobrepeso y evitar alcohol y sedantes, dormir en decubito lateral CPAP ( si IAH > 15 apneas/h ) si excesiva somnolencia, alteracion calidad vida, HTA
174
PAS +
WHIPPLE Dèficit alfa-1- antitripsina Proteinoisis alveolar GM focal y segmentaria Nefropatia cadenas ligeras Porfiria cutanea tarda Demencia cuerpos lewi Aspergillus T. granulosa ovario
175
TTO HTP
176
Afectación rx segun lesión
177
En qué dos patologias es útil la RX AP en inspiración y espiración
En el neumotórax mínimo y la aspiración de cuerpo extraño
178
Qué enfermedad intersitical cursa con un cociente cd4/cd8 disminuido (por exceso de CD8)
Neumonia de hipersensibilidad
179
Cuando realizamos mediastinoscopia en el estudio extensión de un tumor?
CUANDO ES RESECABLE!! N0 pero T. hiliar o T. pancoast N1 , N2, N3
180
Estudio extensión derrame pleural de un tumor?
Citologia ( si + dx ) si - Bx pleural guiada eco ( si + dx ) si - Toracoscopia
181
Paciente joven con fiebre alta, mialgias, tos con expectoración escasa blanquecina y rinorrea. Se decide alta a domicilio y acude de nuevo con intenso trabajo respiratorio y bajo nivel de conciencia. En la exploración muestra saturación 80% que no remonta con oxigenoterapia, crepitantes bilaterales, TA 84/62 y FC 136.
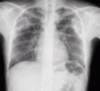
Imagen de infiltrado alveolar perihiliar bilateral que en esta situación hay que sospechar distrés respiratorio
182
Criterios clínicos de gravedad en asma crónico
- Trabajo respiratorio intenso - Disnea no completa palabras - Taquicardia o taquipnea extremas - Presencia de sibilancias muy intensas - Ausencia completa de sibilancias (silencio auscultatorio) - Normocapnia y ausenica de alcalosis respiratoria
183
Paciente de 74 años, diabético y con antecedentes de tuberculosis pulmonar a los 20 años con importante desestructuración parenquimatosa residual en el pulmón izquierdo. Refiere haber tomado prednisona oral en 6 ocasiones. Aumento de la tos y en ocasiones expectoración hemoptoica.
Aspergiloma
184
Dónde desemboca el conducto torácico
En el tronco braquiocefálico venoso izquierdo
185
Qué sospechamos en paciente con neumonias de repetición en el mismo lóbulo
Lesion endobronquial
186
Qué enfermedades cursan con eosinofilia periférica?
La aspergilosis broncopulmonar alérgica (ABPA), el síndrome de Churg Strauss y la Neumonia Eosinofila crónica (NEC) y la Neumonia Eosinofila aguda (NEA)
187
Espirometria paciente con ELA
Disminución capacidad pulmonar total, aumento volumen residual y disminución presión inspiratoria y espiratoria máxima.
188
Causa más frecuente de hipertensión pulmonar en un bronquítico crónico
Hipoxia alveolar
189
Crecimiento de la arteria pulmonar (se aprecia una convexidad en la llamada ventana aortopulmonar, que debiera ser cóncava) que sugiere una HTP Debe confirmarse con un estudio hemodinámico mediante cateterismo derecho. Cuando se han descartado otras causas, establece hipertensión pulmonar primaria por exclusión. Afecta a mujeres jóvenes, tiene mal pronóstico y, suele acarrear una demora diagnóstica de unos 2-3 años tto oxígeno continuo domiciliario y la realización de un test de vasorreactividad pulmonar. Si +: calcioantagionistas (diltiazem) Si - : inhibidores de la fosfodiesterasa (sildenafilo, tadalifo) + antagonistas de la endotelina (bosentán, ambrisentán) + análogos de las prostaglandinas (teprostinil) si mala respuesta. Si la situación funcional se deteriora, prostaglandinas iv como puente al trasplante cardiopulmonar
190
Sd paraneoplasicos tumor pulmonar
- El adenocarcinoma se asocia a osteoartropatía hipertrófica - El carcinoma epidermoide se asocia a hipercalcemia por PTHrp - El anaplásico se asocia a ginecomastia. Los 3 “no microcíticos” se asocian a acropaquias. - El resto de cuadros paraneoplásicos son más prevalentes en el carcinoma microcítico; SIADH, la hipopotasemia por Cushing agresivo, y el síndrome miasteniforme de Eaton-Lambert
191
La presencia de esterilidad, bronquiectasias y sinusitis tiene que sugerirte
- La fibrosis quística - El síndrome de Young ( adultos ) - La discinesia ciliar primaria o sd kartagener ( situs inversus!! )
192
Mujer joven sin factores de riesgo cardiovascular ingresada por una crisis asmática con dolor de inicio súbito irradiado al cuello y crepitación cuello a la palpación
Neumomediastino por rotura de alveolos sanos por la hiperinsuflación debida a la crisis asmática
193
Hamartoma Es un tumor derivado de tejido pulmonar normal, que suele debutar en mayores de 60 años, de localización periférica. Suele ser silente. No precisa tratamiento. Radiográficamente presenta una imagen patognomónica que es la “calcificación en palomita de maíz”
194
Arteria de Adamkiewicz
Se localiza en el mediastino posterior y se trata de la más importante de las arterias radiculares que irrigan la médula espinal
195
Masas mediastínicas en cada compartimento
Anterior: 1- Timo 2- Tiroides 3- Teratoma y otros celulas germinales. 4- Linfoma ( a nivel anterior, medio o posterior). Medio: 1- Quistes 2- Hernia Morgani. 3- Linfoma. Posterior: 1-Nervios periféricos: Neurofibroma. 2-Ganglios simpáticos: Ganglioneuroma, neuroblastoma 3-Paraganglios: Paraganglioma, Feocromocitoma. 4-Linfomas. 5-Esófago. 6-Quistes entéricos. 7-Hernia de Bochdaleck. 8-Quiste pancreático. 9-Hematocele extramedular. 10-Meningocele
196
Paciente con afectación del estado general y fiebre + BRADICARDIA
Este fenómeno se denomina bradicardia relativa y es típico de las neumonías por Legionella pneumophila. Otras manifestaciones típicas son la hiponatremia, la elevación de la CPK, diarrea, fiebre alta (>40ºC)