Tumor grade

Prerequisites for effective cancer screening tests
There must be (1) a well-characterized and identifiable precursor lesion, and (2) enough lead time that it can be removed before it becomes invasive.
The best examples are the colonoscopy and pap smear cytology
Grading is the responsibility of ____
Grading is the responsibility of the pathologist
“Car on a cliff” metaphor
The grade represents the car’s speed; the stage represents the distance remaining to the cliff edge.
Both are relevant to the likelihood of being able to stop the car before it goes off the cliff.
intraoperative consultation
Often pathologists will give intraoperative consultations while the patient is still under anesthesia. Typically this involves frozen sectioning and quickly staining a biopsy sample obtained surgically.
For example, if a frozen section reveals tumor in a lymph node in a patient with an invasive carcinoma, the patient will likely receive more extensive surgery and/or systemic therapy.
anaplastic
Tumors of no apparent differentiated cell type
In such cases, it can be difficult even to determine whether an anaplastic tumor is of epithelial, mesenchymal, lymphoid or other origin, even with the use of immunohistochemical stains and electron microscopy.
The prefix of a tumor name refers to its ____
The prefix of a tumor name refers to its tissue of origin
Tumor stage
a measure of the extent of its spread, and involves three characteristics:
Takes into account much more than just microscopic analysis.

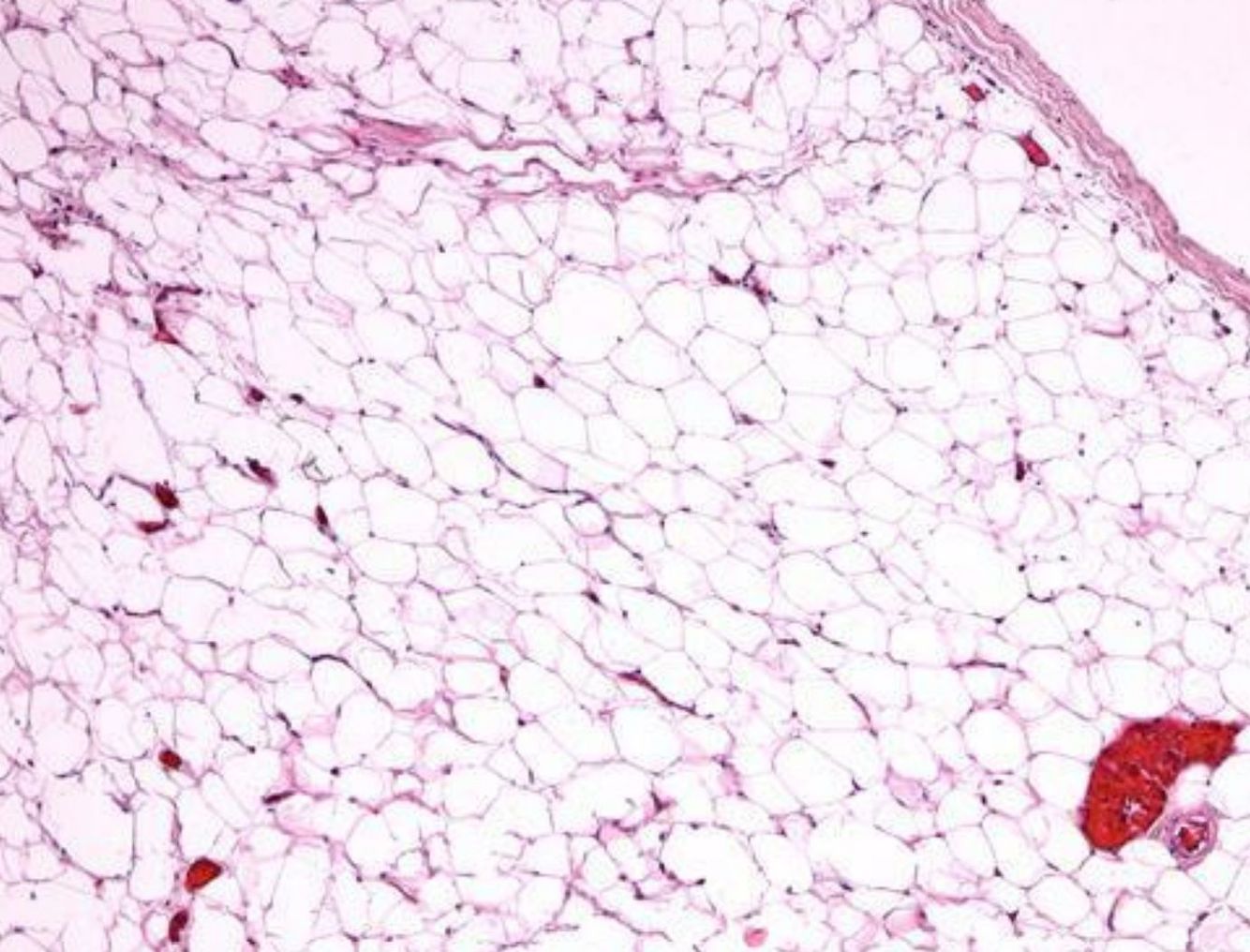
Lipoma
A benign tumor. Upon histological examination, the lipoma looks almost exactly like regular hyperplastic fat. There is little if any ongoing mitosis, no necrosis, and no hemorrhage.

Malignant tumors are given the suffix -____ if they arise from an epithelial cell, and -____ if they arise from a mesenchymal cell.
Malignant tumors are given the suffix -carcinoma if they arise from an epithelial cell, and -sarcoma if they arise from a mesenchymal cell.
Most common male and female cancers
Male: Prostate
Female: Breast
neoplasm is malignant if:

Physiologic hyperplasia
divided into (1) hormonal hyperplasia (e.g. proliferation of the glandular epithelium of the female breast in puberty and pregnancy);
and (2) compensatory hyperplasia (hyperplasia that occurs when a portion of the tissue is removed or diseased).

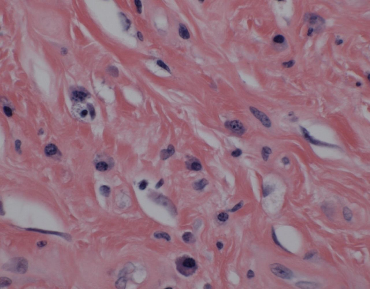
Liposarcoma
It is poorly circumscribed and infiltrates surrounding tissue (at upper left is a normal kidney encased by the tumor) and is heterogeneous, with hemorrhage and necrosis. On histological examination it is difficult to make out cell type, and hemorrhage and necrosis will often be seen (though not in this particular image)

Benign tumors usually have the suffix -____.
Benign tumors usually have the suffix -oma
Barrett’s esophagus
In chronic gastric reflux, the normal stratified squamous epithelium of the lower esophagus may undergo metaplastic transformation to gastric or intestine-type columnar epithelium.
This is a major risk factor for subsequent esophageal adenocarcinoma.
Not all benign lesions are _____.
Not all benign lesions are created equal.
Some technically benign lesions are precursors to cancer or are “premalignant.” They will progress to malignancy if not removed.
neoplasm is benign if:


Premalignant neoplasm seen on colonoscopy
For a single cell to generate a clinically detectable mass (109 cells, or 1 gram), it takes approximately ____ doublings. For this mass to become lethal (1012 cells, or 1 kilogram), it takes ____ additional doublings.
For a single cell to generate a clinically detectable mass (109 cells, or 1 gram), it takes approximately 30 doublings. For this mass to become lethal (1012 cells, or 1 kilogram), it takes only 10 additional doublings.
So, a tumor completes the majority of its life cycle before it is even clinically detected, let alone treated
desmoplastic
Tumors that generate a large amount of stroma, particularly fibroblasts and collagen
In habitual smokers, the normal pseudostratified ciliated columnar epithelial cells of the trachea and bronchi are replaced by ____.
in habitual smokers, the normal pseudostratified ciliated columnar epithelial cells of the trachea and bronchi are replaced by stratified squamous epithelial cells.
The grade of a tumor is a measure of its ____
The grade of a tumor is a measure of its degree of differentiation