Candida
Candida albicans generals
Worldwide distribution • Natural Habitat
• Endogenous infections due to:
• Malnutrition
Candida albicans- virulence factors
Candida albicans
—————“Sour crop”
—————-Corrugated yellow‐gray necrotic pseudomembrane

Candida albicans
candida albicans dx
Candida albicans
• Laboratory Diagnosis
• Microscopy
——————–Thin‐walled,oval,buddingyeastcells+/‐(pseudo)hyphae ———-“Germ tube” formation is characteristic
• Isolation and Identification
———- Colonies visible in 24‐72 hours
————- API‐yeast‐Ident- smell like beer
Cryptococcus
>30 species
Cryptococcus neoformans is the only significant
animal (and human) pathogen
Spherical to oval, thin‐walled, budding yeast
Cells are surrounded by a large mucoid polysaccharide capsule
Daughter cells are single and connected to parent by narrow neck
• D: C. neoformans var. neoformans (Worldwide; soil/dust)
Cryptococcus Serotypes
Cryptococcus neoformans
• Natural habitat
• Yeasts are concentrated in pigeon feces (rich in creatinine)
Cryptococcus neoformans pathogenesis and virulence factors
Cryptococcus neoformans- CATS WITH UPPER RESPIRATORY DISEASE
Pathogenesis
• Virulence is mainly associated with the large capsule
• Capsule is diminished in high salt/sugar concentration environments
———- Spores may be aerosolized
Productionofcapsuleinitiatedintissues
Anti‐phagocytic
Immunosuppressive
• Other virulence factors: • Phenoloxidase
ocular/cutaneous infections
• Dogs:Respiratorytractinfections,someocular/cutaneous manifestations
Cattle:Mastitis(rare)
Horses:Nasalgranulomas
Koalas:Respiratorytractinfections,CNSinvolvement
Humans:Similartocats

Cryptococcus neoformans
C. neoformans- dx
Cryptococcus neoformans
Streak as for bacteria, 48 hours – 2 weeks
Aerobic, 37°C (other Crypto. species will not tolerate 37°C)
Smooth, moist, shiny colonies; white to yellowish
Mucoid growth with age
Capsule is less pronounced from culture
Melanin is produced on birdseed agar
• Immunologicalandmoleculardiagnosticsexist
Malassezia generals
Malassezia
20 species
Commensal organisms on oily areas of skin and
ears of dogs/cats
• Malassezia pachydermatis is the most significant species in animals
• Otitis externa
• Seborrheic dermatitis
Malassezia pachydermatis
pathogenesis and dx
Malassezia pachydermatis
• Pathogenesis
Predisposing factors
• Immunosuppression
• Allergic dermatitis
• Hairyand/or pendulous ears
• Virulence factors
•Zymogen(activates complement, damages keratinocytes, inflammation/pruritis)
• Proteases(damageearcanalmucosa)
Lipases(adjust the sebum consistency to a more favorable environment for yeast)- why it can live in ears
• Leads to more sebaceous secretions
Laboratory diagnosis
Dimorphic Fungi
Sporothrix, Blastomyces, Coccidioides, Histoplasma
Dimorphic Fungi growth forms
Sporothrix schenkii
• Site of Lesions
• Subcutaneous nodules, Lymphocutaneous ulcerations
• Lymphatics (especially horses)

Sporothrix schenkii

Sporothrix schenkii
Sporothrix schenkii morphology
37°C Culture- CIGAR SHAPED
Cytology

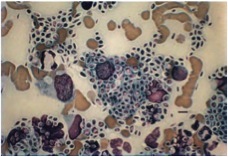
Sporothrix schenkii
Plentiful yeast seen with methylene blue stain (especially samples from cats)
Disease Patterns of S. schenkii
Infectious process follows subcutaneous lymph channels with suppurative ulcers at intervals
• Epidemiology of S. schenkii
Typically acquired from the non‐living environment- mechanical transmission
• Zoonotic transmission from cats to humans occurs
Laboratory Diagnosis of S. schenkii
Direct examination of exudates
May be difficult to distinguish from Histoplasma or Cryptococcus
Culture
Immunological tests (AGID, latex agglutination)
Molecular Tests (PCR)
Treatment of S. schenkii
Sodium or Potassium Iodides
Amphotericin B, flucytosine (disseminated forms)
Ketoconazole, itraconazole
Terbinafine (cutaneous forms)
No vaccines available
Blastomyces dermatitidis
• Hosts
• Dogs, cats, horses, humans