E4: Urinary System Flashcards

(23 cards)

1
Q

Is the urinary system peritoneal or retroperitoneal?

A

Retroperitoneal - aka it is behind the abdominal cavity

How well did you know this?
1
Not at all
2
3
4
5
Perfectly
2
Q

Which kidney is slightly higher than its counterpart?

A

Left

How well did you know this?
1
Not at all
2
3
4
5
Perfectly
3
Q

T/F

Each kidney is covered by a fibrous capsule.

A

True

How well did you know this?
1
Not at all
2
3
4
5
Perfectly
4
Q

What is the flow of urine through the kidney?

A

renal pyramid – minor calyx – major calyx – renal pelvis – ureter

How well did you know this?
1
Not at all
2
3
4
5
Perfectly
5
Q

Label the kidney!

A

1: renal cortex
2: renal medulla
3: major calyx
4: papilla of pyramid
5: renal pelvis
6: minor calyx
7: ureter
8: renal pyramid in renal medulla
9: renal column
10: fibrous capsule

How well did you know this?
1
Not at all
2
3
4
5
Perfectly
6
Q

Arterial blood flow through kidneys

A

Rabbits Steal Ideal Apples Containing…
renal artery – segmental artery – interlobular artery – arcuate artery – cortical radiate artery

How well did you know this?
1
Not at all
2
3
4
5
Perfectly
7
Q

Venous blood flow through kidneys

A

CAIR
cortical radiate vein – arcuate vein – interlobar vein – renal veins

How well did you know this?
1
Not at all
2
3
4
5
Perfectly
8
Q

Nerve supply for kidneys

A

Renal plexus

How well did you know this?
1
Not at all
2
3
4
5
Perfectly
9
Q

What is the blood flow through the nephron?

A

…A Great Eccentric Peptide…
afferent arteriole – glomerulus – efferent arteriole – peritubular capillaries

How well did you know this?
1
Not at all
2
3
4
5
Perfectly
10
Q

Does afferent bring blood in or take blood out?

A

Blood in

How well did you know this?
1
Not at all
2
3
4
5
Perfectly
11
Q

Does efferent bring blood in or take blood out?

A

Blood out

How well did you know this?
1
Not at all
2
3
4
5
Perfectly
12
Q

What is the structural unit that forms urine?

A

Nephron

How well did you know this?
1
Not at all
2
3
4
5
Perfectly
13
Q

What are the two parts of the nephron?

A

Renal corpuscle
Renal tubule

How well did you know this?
1
Not at all
2
3
4
5
Perfectly
14
Q

Are most nephrons cortical or juxtamedullary?

A

Cortical

How well did you know this?
1
Not at all
2
3
4
5
Perfectly
15
Q

What makes up the renal corpuscle?

A

Glomerulus
Glomerular (Bowman’s) capsule

How well did you know this?
1
Not at all
2
3
4
5
Perfectly
16
Q

What makes up renal tubule and collecting duct?

A

Proximal convoluted tubule
Nephron loop
Distal convoluted tubule
Collecting duct

17
Q

In the nephron loop, which limb is thin and made of simple squamous epithelium?

A

Descending limb

18
Q

In the nephron loop, which limb is thick and made of cuboidal or columnar epithelium?

A

Ascending limb

19
Q

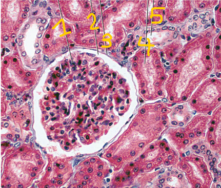
Label the renal cortical tissue!

A

1: glomerulus
2: glomerular capsular space
3: squamous epithelium of parietal layer of glomerular capsule
4: proximal convoluted tubule (fuzzy due to long microvilli)
5: distal convoluted tubule (clear lumen)

20
Q

Where does concentrated urine form?

21
Q

What serves as the nephrons colander that can hold cells back?

A

Foot processes of podocytes within renal corpuscle

22
Q

Three processes involved in urine formation

A

Glomerular filtration
Tubular reabsorption
Tubular secretion

23
Q

Blood flow through kidneys

A

Rabbits steal ideal apples containing a great eccentric peptide!

Renal artery
Segmental artery
Interlobular artery
Arcuate artery
Cortical radiate artery
Afferent arteriole
Glomerulus
Efferent arteriole
Peritubular capillaries
Cortical radiate vein
Arcuate vein
Interlobular vein
Renal vein