Quizzes Flashcards

(90 cards)

1
Q

It is wise to study anatomy alongside with physiology because __________.

A: physiology is only explainable in terms of underlying anatomy.

B: to understand anatomy requires complete understanding of physiology.

C: it makes for more efficient use of students’ and teachers’ time.

D: anatomy and physiology are practically the same thing.

A

A: physiology is only explainable in terms of underlying anatomy.

How well did you know this?
1
Not at all
2
3
4
5
Perfectly
2
Q

The coxal joint is most likely found in the __________ region of the body.

A: foot

B: hand

C: groin

D: hip

A

D: hip

How well did you know this?
1
Not at all
2
3
4
5
Perfectly
3
Q

The cytosol is best described as the…

A: semifluid substance in which organelles are suspended.

B: three-dimensional array of interconnected filaments.

C: area of the cell not occupied by the nucleus.

D: internal components of organelles.

A

A: semifluid substance in which organelles are suspended.

How well did you know this?
1
Not at all
2
3
4
5
Perfectly
4
Q

The structure of centrioles include __________.

A: actin

B: nucleic acids

C: primarily microtubules

D: polysaccharides

A

C: primarily microtubules

How well did you know this?
1
Not at all
2
3
4
5
Perfectly
5
Q

What is the plane of the section shown in the image?

A: intermediate

B: coronal

C: oblique

D: transverse

E: midsagittal

A

E: midsagittal

How well did you know this?
1
Not at all
2
3
4
5
Perfectly
6
Q

The patellar region is __________ to the coxal region and __________ to the sternal region.

A: proximal, superior

B: distal, inferior

C: inferior, distal

A

B: distal, inferior

How well did you know this?
1
Not at all
2
3
4
5
Perfectly
7
Q

Which of the following describes the plasma membrane?

A: a phospholipid bilayer surrounding the cell

B: a single-layered membrane that surrounds the nucleus of the cell

C: a double layer of protein enclosing the plasma

D: a membrane composed of tiny shelves of cristae

A

A: a phospholipid bilayer surrounding the cell

How well did you know this?
1
Not at all
2
3
4
5
Perfectly
8
Q

Replicate for cell division

A

D

How well did you know this?
1
Not at all
2
3
4
5
Perfectly
9
Q

The term pollux refers to the __________.

A: calf

B: fingers

C: great toe

D: thumb

A

D: thumb

How well did you know this?
1
Not at all
2
3
4
5
Perfectly
10
Q

Without these organelles a cell would be unable to detoxify toxins such as hydrogen peroxide (H2O2).

A: peroxisomes

B: vesicles

C: Golgi apparatus

D: nucleolus

A

A: peroxisomes

How well did you know this?
1
Not at all
2
3
4
5
Perfectly
11
Q

Which of the following is a function of the Golgi apparatus?

A: protein modification

B: digestion of organic matter inside the cell

C: drug detoxification

D: protein synthesis

A

A: protein modification

How well did you know this?
1
Not at all
2
3
4
5
Perfectly
11
Q

A in the image depicts __________ of the foot.

A: inversion

B: pronation

C: eversion

D: supination

E: circumduction

A

C: eversion

How well did you know this?
1
Not at all
2
3
4
5
Perfectly
12
Q

The major structural elements of the cytoskeleton are

A: the extracellular matrix and the cell wall

B: proteoglycans and cellulose microfibrils

C: the cytoplasm and cytosol

D: microtubules, microfilaments, and intermediate filaments

E: cleavage furrows and G-actin

A

D: microtubules, microfilaments, and intermediate filaments

How well did you know this?
1
Not at all
2
3
4
5
Perfectly
13
Q

In certain kinds of muscle cells, calcium ions are stored in __________.

A: the rough ER

B: the cytoplasm

C: both smooth and rough ER

D: the smooth ER

A

D: the smooth ER

How well did you know this?
1
Not at all
2
3
4
5
Perfectly
14
Q

Which of the following is an anatomical feature of a plasma membrane protein?

A: transport of water molecules

B: phospholipids bilayer with transmembrane channels

C: signal transduction

D: selective entry of substances into and out of the cell

A

B: phospholipids bilayer with transmembrane channels

How well did you know this?
1
Not at all
2
3
4
5
Perfectly
15
Q

Thoracic cavity

A

C

How well did you know this?
1
Not at all
2
3
4
5
Perfectly
16
Q

Mylein is the insulation the covers the axonal membranes of myelination neurons. Anatomically, the neuron plasma membrane is __________ to the myelin sheath.

A: deep

B: proximal

C: distal

D: inferior

E: inferior and deep

A

A: deep

How well did you know this?
1
Not at all
2
3
4
5
Perfectly
17
Q

The axial region is __________ to the cubital region.

A: distal

B: superior

C: inferior

D: proximal

A

D: proximal

How well did you know this?
1
Not at all
2
3
4
5
Perfectly
17
Q

The orbital region is __________ to the occipital region.

A: ventral

B: dorsal

C: superficial

D: caudal

A

A: ventral

How well did you know this?
1
Not at all
2
3
4
5
Perfectly
18
Q

In which body cavities are the lungs located?

A: pericardial, ventral, and thoracic

B: pleural, dorsal, and abdominal

C: pleural, ventral, and thoracic

D: mediastinal, thoracic, and ventral

A

C: pleural, ventral, and thoracic

How well did you know this?
1
Not at all
2
3
4
5
Perfectly
19
Q

Simple cuboidal epithelium

A

B

How well did you know this?
1
Not at all
2
3
4
5
Perfectly
20
Q

A many-layered epithelium with cuboidal basal cells and flat cells at its surface would be classified as __________.

A: transitional

B: simple cuboidal

C: simple squamous

D: stratified squamous

A

D: stratified squamous

How well did you know this?
1
Not at all
2
3
4
5
Perfectly
21
Q

The study of tissue structure and function is called:

A: physiology.

B: plasticity.

C: histology.

D: differentiation.

E: remodeling.

A

C: histology.

How well did you know this?
1
Not at all
2
3
4
5
Perfectly
21
Q

Where in the body would you most likely find the tissue shown below?

A: attached to the femur (thigh bone)

B: lining the trachea

C: in a tendon

D: in the walls of the intestines

E: in the lumen of an artery or vein

A

D: in the walls of the intestines

How well did you know this?
1
Not at all
2
3
4
5
Perfectly
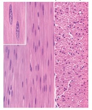
22
Close examination of an organ shows a lining of several layers of cells. The layers do not contain any blood vessels, and one surface of the cells faces the internal cavity of the organ. This tissue is probably... A: fat tissue. B: epithelium. C: neural tissue. D: muscle tissue. E: connective tissue.
B: epithelium.
23
Provides tensile strength with the ability to absorb compressive shock.
C
24
The tissue lining the mouth, organs of the digestive system, and inner surfaces of the lungs is classified as: A: epithelial. B: muscle. C: connective and nervous. D: connective. E: nervous.
A: epithelial.
25
Microscopic examination of a tissue shows an open framework of fibers with a large fluid of ground substance and elastic fibers. This tissue would most likely have come from the A: tissue that separates skin from underlying muscle. B: bony socket of eye. C: inner wall of blood vessel. D: muscle. E: larynx.
A: tissue that separates skin from underlying muscle.
26
Functions of connective tissue include A: All of the answers are correct B: establishing a structural framework for the body C: providing protection for delicate organs D: transporting fluids and dissolved materials E: storing energy reserves
A: All of the answers are correct
26
Referring to Figure 3.1, which letter represents the cytosol?
A
26
Fibroblasts that secrete collagen-rich matrix are the main cell type in this tissue. A: blood B: fat C: loose connective tissue D: bone E: cartilage
C: loose connective tissue
27
Forms tendons and ligaments
B
28
Referring to Figure 3.1, which letter represents the apical membrane?
B
29
In the image above, what histological stain is responsible for "A"? A: It is impossible to determine B: hemaglobin C: hematoxylin D: eosin E: hematoxylin and eosin
D: eosin
30
Which type of connective tissue serves as the universal packing material between other tissues? A: reticular connective tissue B: hyaline cartilage C: areolar connective tissue D: adipose
C: areolar connective tissue
31
Referring to Figure 3.1, which letter represents the basolateral membrane?
E
32
Supports and protects, stores Ca
D
33
It is important to distinguish different types of tissues that appear on a single histological preparation. In the image below, what type of tissue is represented by "C"? A: nervous B: connective C: epithelial D: muscle
B: connective
34
The left pectoral region would be _____________ to the left brachial and sternal regions.
intermediate
35
There are two __________ contusions to the right crural and femoral regions on the patient.
ipsilateral
36
The gluteal region is __________ to the inguinal region.
posterior
37
The epidermis of your right antebrachial region is __________ and __________ to the underlying bones of the same region.
superficial // superior
38
This organelle is responsible for the conversion of molecules to ATP. A: Peroxisome B: Mitochondrion C: Lysosome D: Smooth ER E: Nucleolus
B: Mitochondrion
39
New ribosomal components are made here. A: Peroxisome B: Mitochondrion C: Lysosome D: Smooth ER E: Nucleolus
E: Nucleolus
40
Chemical conversion of toxic substances (like H2O2) into harmless substance occurs here. A: Peroxisome B: Mitochondrion C: Lysosome D: Smooth ER E: Nucleolus
D: Smooth ER
41
These structures are the sites of protein synthesis. A: cilia B: cytosol C: chromatin D: ribosomes E: smooth ER
D: ribosomes
42
New lipid synthesis would happen in the __________ while modification of secreted proteins happens in the __________. A: peroxisome + rough ER B: mitochondrion + centriole C: lysosome + nucleus D: smooth ER + golgi apparatus
D: smooth ER + golgi apparatus
43
A cell is treated with a chemical that stops the functioning of centrioles. You would expect a cell to have less of an ability to __________. A: make new proteins B: undergo mitosis C: move D: detoxify drugs
B: undergo mitosis
44
A newly manufactured protein that will be secreted by the cell is synthesized. Before being placed in a secretory vesicle for export, the protein would have been in the cells' __________. A: nucleus B: ribosomes C: smooth ER D: nucleolus E: golgi apparatus
E: golgi apparatus
45
The basic unit of life is __________. A: the atom B: the cell C: energy D: molecules
B: the cell
46
This macromolecule of life could could not be made if a cell did not have a source of monosaccharides. A: carbohydrates B: nucleic acids C: lipids D: proteins
A: carbohydrates
47
The plasma membrane typically contains which of the macromolecules of life listed below? A: carbohydrates B: proteins C: lipids D: all of the above E: none of the above
D: all of the above
48
Different amounts and arrangements of subcellular organelles and structures in cells result in __________. A: different organelles B: different cell types C: different people D: different molecules
B: different cell types
49
Maintaining cell structure and shape is the function of the cell's __________. A: mitochondria B: nuclear pore C: cytoskeleton D: peroxisomes
C: cytoskeleton
50
In the hierarchy of organization of life, the level before organelles is __________. A: cells B: macromolecules C: atoms D: molecules E: tissues
B: macromolecules
51
A ciliated version of pseudostratified columnar epithelium containing mucus-secreting goblet cells __________. A: is found in some of the larger glands B: aids in digestion C: is more durable than all other epithelia D: lines most of the respiratory tract
D: lines most of the respiratory tract
52
What are the three main components of connective tissue? A: collagen, elastin, and reticular fibers B: ground substance, fibers, and cells C: alveoli, fibrous capsule, and secretory cells D: fibroblasts, chondroblasts, and osteoblasts
B: ground substance, fibers, and cells
53
The plane of section that is shown in the figure. A: midsagittal B: frontal C: transverse D: anterior E: intermediate
C: transverse
54
Which vertebra does NOT have a body? A: last cervical B: last lumbar C: atlas D: axis
C: atlas
55
Which of the following is NOT a function of the skeletal system? A: production of blood cells (hematopoiesis) B: communication C: support D: storage of minerals
B: communication
56
Skeletal remains are discovered at an archeological site. XRs of the femur show evidence of a thin epiphyseal plate. This bone likely belonged to which of the following? A: 25yo female B: 60yr male C: 18yo male D: 8yo female
C: 18yo male
57
Yellow bone marrow contains a large percentage of __________. A: fat B: perforating fibers C: blood-forming cells D: elastic tissue
A: fat
58
The superior nasal concha is part of which bone? A: maxilla B: sphenoid C: vomer D: ethmoid
D: ethmoid
59
The structure of bone tissue fits the function. Which of the following bone tissues is adapted to support weight and withstand torsion stresses? A: compact bone B: trabecular bone C: spongy bone D: irregular bone
A: compact bone
60
Which part of the vertebral column receives the most stress by bearing most of the weight of the body? A: the sacrum B: the lumbar region C: the cervical region D: the sacral promontory
B: the lumbar region
61
A fracture in the shaft of the bone would be a break in the _________. A: diaphysis B: metaphysis C: articular cartilage D: epiphysis
A: diaphysis
62
Which of the following is a bone marking described as a round or oval opening through a bone? A: epicondyle B: fossa C: meatus D: ramus E: foramen
E: foramen
63
Which of the following is the correct classification of vertebrae, from the skull to the pelvis? A: sacral, coccygeal, lumbar, thoracic, cervical B: cervical, thoracic, lumbar, sacral, coccygeal C: coccygeal, thoracic, lumbar, sacral, cervical D: cervical, thoracic, lumbar, coccygeal, sacral
B: cervical, thoracic, lumbar, sacral, coccygeal
64
Which of the bones of the skull would you also refer to as a cheekbone? A: the temporal bone B: the zygomatic bone C: the parietal bone D: the occipital bone
B: the zygomatic bone
65
Damage to "X" in the figure would likely cause a disruption of __________. A: blood flow to the brain B: blood flow from the brain C: hormone function D: vision E: hearing
E: hearing
66
What is the structure "A" in the figure above? A: transverse process B: lamina C: vertebral arch D: pedicle E: superior articular facet
B: lamina
67
The hypothalamus is a region of the brain controlling many aspects of the endocrine system. It works closely with the pituitary gland. The hypothalamus is directly superior to the pituitary gland and is therefore __________. A: superior to the sella turcica B: inferior to the cribriform plate C: the only region of the brain that is outside the skull D: superior to the crista galli
A: superior to the sella turcica
68
The term diploë refers to the __________. A: two types of marrow found within most bones B: internal layer of spongy bone in flat bones C: double-layered nature of the connective tissue covering the bone D: fact that most bones are formed of two types of bone tissue
B: internal layer of spongy bone in flat bones
69
How many bones make up the adult skull? A: 12 B: 5 C: 7 D; 22
D: 22
70
Which of the following are NOT part of the appendicular skeleton? A: shoulder B: hip C: skull D: upper limb
C: skull
71
What would move through structure "I" in the figure? A: spinal nerves B: carotid artery C: cerebrospinal fluid D: sound E: jugular vein
B: carotid artery
72
When looking at the range of motion of the various sections of the vertebral column, the __________ has the most flexibility. A: lumbar spine B: cervical spine C: thoracic spine D: sacral spine
B: cervical spine
73
The term central nervous system refers to the _______. A: peripheral and spinal nerves B: brain and spinal cord C: brain, spinal cord, and peripheral nerves D: spinal cord and spinal nerves
B: brain and spinal cord
74
The part of a neuron that conducts impulses away from its cell body is called a(n) _______. A: Schwann cell B: dendrite C: axon D: neurolemma
C: axon
75
Saltatory conduction is made possible by _______. A: large nerve fibers B: a synapse C: the myelin sheath D: random transmission of nerve impulses
B: a synapse
76
Collections of nerve cell bodies inside the CNS are called _______. A: tracts or ganglia B: tracts C: ganglia D: nuclei E: nerves
D: nuclei
77
Which of the following is NOT a function of the autonomic nervous system (ANS)? A: innervation of cardiac muscle B: innervation of glands C: innervation of skeletal muscle D: innervation of smooth muscle of the digestive tract
C: innervation of skeletal muscle
78
Interneurons in the CNS act to _______. A: link neurons to myelinating cells B: speed up synaptic transmission C: generate CSF (cerebrospinal fluid) D: link afferent stimuli to efferent responses
D: link afferent stimuli to efferent responses
79
Oligodendrocytes are to _______ as Schwann cells are to _______. A: CNS; PNS B: myelination; action potentials C: axons; soma D: white matter; grey matter
A: CNS; PNS
80
These nervous system structures are ONLY found in the PNS. A: nerves B: nuclei C: brain and spinal cord D: both A + B E: none of the above
A: nerves
81
Select the correct statement regarding synapses. A: Cells with gap junctions use chemical synapses B: Neurotransmitter receptors are located on the axons terminals of cells C: The synaptic cleft prevents an impulse from being transmitted directly from one neuron to another D: The release of neurotransmitter molecules gives cells the property of being electrically couples
C: The synaptic cleft prevents an impulse from being transmitted directly from one neuron to another
82
Which one of the following describes of a nervous signal in the nervous system? A: synapse B: axon C: action potential D: stimulus E: depolarization
C: action potential
83
The elevated ridges of tissue on the surface of the cerebral hemisphere are known as _______ while the shallow grooves are termed _______. A: ganglia; gyri B: gyri; sulci C: receptors; effectors D: sulci; gyri E: tracts; ganglia
B: gyri, sulci
84
Which of the following effects is characteristic of the parasympathetic nervous system? A: decrease urine output B: decreases activity off the digestive system C: decreases heart rate D: increases metabolic rate E: stimulates sweat glands to product perspiration
C: decreases heart rate
85
Which one of the following represents the correct sequence from outmost to innermost layers of the meninges? A: dura mater, pia mater, arachnoid mater B: arachnoid mater, dura mater, pia mater C: dura mater, arachnoid mater, pia mater D: pia mater, arachnoid mater, dura mater E: pia mater, dura mater, arachnoid mater
C: dura mater, arachnoid mater, pia mater