ER- Part 2 Flashcards

(191 cards)

1
Q

What is a xanthochromia?

A

a yellow appearance of the CSF due to blood breakdown and release of bilirubin. Xanthochromia may take up to 12 hours to develop and remains present for several weeks

How well did you know this?
1
Not at all
2
3
4
5
Perfectly
1
Q

Define orthostatic hypotension?

A

drop in systolic blood pressure ≥ 20 mm Hg or a diastolic drop ≥ 10 mm Hg upon standing

How well did you know this?
1
Not at all
2
3
4
5
Perfectly
2
Q

How long does the pt have to be manic in order to qualify for a manic episode?

A

at least 1 week

How well did you know this?
1
Not at all
2
3
4
5
Perfectly
3
Q

Which pharmacologic treatment for bipolar disorder has a mortality benefit for patients?

A

lithium

How well did you know this?
1
Not at all
2
3
4
5
Perfectly
4
Q

What is the appropriate dosing of heparin in ST elevation myocardial infarction patients?

A

A 60 units/kg bolus (up to 4,000 units) followed by a 12 units/kg/hr infusion (up to 1,000 units/hr)

How well did you know this?
1
Not at all
2
3
4
5
Perfectly
5
Q

What DM meds are more likely to cause hypoglycemia?

A

insulin and sulfonylureas

sulfonylureas: glipizide, glyburide, chlorpropamide

How well did you know this?
1
Not at all
2
3
4
5
Perfectly
6
Q

Previously healthy pt with upper GI bleed, what is the most likely cause?

A

duodenal ulcer due to H pylori infection

How well did you know this?
1
Not at all
2
3
4
5
Perfectly
7
Q

What is the most appropriate test to diagnose a bile leak status post cholecystectomy?

A

HIDA scan

How well did you know this?
1
Not at all
2
3
4
5
Perfectly
8
Q

In a HIV pt with Pneumocystic Jirovecii, what is the deciding factor for when to give steroids in addition to _____ for treatment?

A

bactrim for everyone!!

PO2 less than 70mmHg or A-a gradient greater to or equal to 35

How well did you know this?
1
Not at all
2
3
4
5
Perfectly
9
Q

What is the tx for subacute thyroiditis? What is the hallmark PE finding?

A

NSAIDs

tenderness over the thyroid gland

How well did you know this?
1
Not at all
2
3
4
5
Perfectly
10
Q

What will thyroid studies reveal in subacute thyroiditis?

A

suppressed TSH and elevated T3 and T4

How well did you know this?
1
Not at all
2
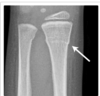
3
4
5
Perfectly
11
Q

What nerve courses around the fibular head? What deficit is common to see after a fibular head fx or casting material being applied too tight?

A

common peroneal nerve

-decreased sensation between the first and second toes
-lack of dorsiflexion and inversion of the ankle
-extension of the great toe

How well did you know this?
1
Not at all
2
3
4
5
Perfectly
12
Q

What are the common PE findings associated with HHS?

A

confused mental status, extreme dehydration, mildly ketotic, BC > 600

How well did you know this?
1
Not at all
2
3
4
5
Perfectly
13
Q

What drug is known to cause hypothyroidism in either therapeutic usage or overdose?

A

lithium

How well did you know this?
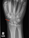
1
Not at all
2
3
4
5
Perfectly
14
Q

What type of hernia is most commonly associated with small bowel obstruction?

A

inguinal hernia

How well did you know this?
1
Not at all
2
3
4
5
Perfectly
15
Q

What technique may improve the chance of diagnosing a Lisfranc injury on plain radiograph?

A

Include weight-bearing (stress) views

How well did you know this?
1
Not at all
2
3
4
5
Perfectly
16
Q

What type of fx?

A

lisfranc injury

How well did you know this?
1
Not at all
2
3
4
5
Perfectly
17
Q

What will the CBC show in a kiddo with autoimmune hemolytic anemia? What is the tx?

A

anemia, some leukocytosis and normal platelet level

steroids

How well did you know this?
1
Not at all
2
3
4
5
Perfectly
18
Q

What organisms are most likely to lead to sepsis in a pt WITHOUT a spleen?

A

The organisms that most commonly lead to sepsis in asplenic patients include:

Streptococcus pneumoniae
Neisseria meningitidis
Haemophilus influenzae

How well did you know this?
1
Not at all
2
3
4
5
Perfectly
19
Q

What is the cavernosal blood gas analysis reveal in an ischemic (low-flow) priapism?

A
How well did you know this?
1
Not at all
2
3
4
5
Perfectly
20
Q

What is the tx for an ischemic (low-flow) priapism?

A

corporal aspiration with intracavernosal phenylephrine

How well did you know this?
1
Not at all
2
3
4
5
Perfectly
21
Q

What is the most common presentation of Hodgkin lymphoma in a 17-year-old boy?

A

painless cervical lymphadenopathy

How well did you know this?
1
Not at all
2
3
4
5
Perfectly
22
Q

What is the classic PE finding in hepatic encephalopathy?

A

asterixis: alternating flexion and extension at the wrist when the wrist is held in extension

How well did you know this?
1
Not at all
2
3
4
5
Perfectly
23
Q

What is the tx of choice for hepatic encephalopathy?

A

lactulose and rifaximin

How well did you know this?
1
Not at all
2
3
4
5
Perfectly
24
What PE maneuver has the highest SENSITIVITY for sciatica?
straight leg raise
25
What PE maneuver has the highest SPECIFICITY for sciatica?
crossed straight leg raise
26
What is the first line vasopressor used in shock?
norepinephrine
27
What are the indications for head CT b4 LP?
28
What CSF findings are consistent with bacterial menigitis?
Often the fluid will appear cloudy or purulent. The CSF glucose in bacterial meningitis is < 40% of the serum glucose. The white blood cell count will typically be > 1,000 cells/µL with a predominance of polymorphonucleocytes (PMNs). an elevated opening pressure increased protein level.
29
What CSF findings are consistent with fungal meningitis?
cloudy cell count is typically lower in the range of 10–1,000 cells/µL with a predominance of lymphocytes instead of PMNs
30
What CSF findings are consistent with a viral meningitis?
CSF should be clear in appearance with a normal to slightly elevated opening pressure, a white blood cell count of 25–2,000 cells/µL with a predominance of lymphocytes, elevated protein level, and CSF glucose > 60% of the serum glucose
31
What is the antibiotic regimen of choice if an open fracture is deemed to be large (> 10 cm) or very contaminated?
First-generation cephalosporin and gentamicin.
32
What is the criteria for a left bundle branch block?
he criteria for left bundle branch block are QRS duration ≥ 0.13 sec in women or ≥ 0.14 sec in men lead V1 QS or rS, mid-QRS notching or slurring in two of the leads I, aVL, V1, V2, V5, or V6.
33
What dx?
left bundle branch block
34
What are 4 causes of a left bundle branch block?
Myocardial ischemia and myocardial infarction or myocarditis but most often it is caused by the degeneration of the conduction system with age.
35
Which finding on chest radiograph is most commonly associated with reactivation of latent pulmonary tuberculosis?
apical-posterior upper lobe infiltrate
36
What drug class is chlordiazepoxide?
bzd
37
What is the MC type of acute mesentric ischemia?
arterial embolism
38
What is a quick and easy test to help diagnosis mesenteric ischemia?
serum lactate
39
What dx?
hypertrophic cardiomyopathy ECG findings: -large amplitude QRS complexes - deep narrow Q waves in the inferior or lateral leads or both mimicking inferior or lateral MI - Tall R waves in leads V1-2 that mimic posterior MI or right ventricular hypertrophy
40
Hypertensive emergency with acute pulmonary edema what is the anti-HTN medication of choice?
nitrates
41
What artery is most commonly affected in a knee dislocation?
popliteal artery
42
What nerve is most commonly injured in a knee dislocation?
peroneal nerve
43
Characteristic findings of _______ on plain radiographs include periosteal reaction, periosteal elevation, and lytic lesions or sclerosis.
osteomyelitis
44
______ is the MC cause of osteomyelitis in children
staph aureus
45
What dx?
Mobitz type I
46
What is the next step in hemodynamic management in patients unresponsive to vasopressors?
intra-aortic balloon pump
47
What 2 medications should you use in cardiogenic shock with a systolic BP less than 90?
dobutamine and norepinephrine
48
What vessel is most commonly implicated in posterior epistaxis?
sphenopalatine artery
49
Which part of the scaphoid is most commonly fractured?
waist
50
What are the 3 clinical features of Meniere disease? What type of nystagmus?
episodic vertigo, sensorineural hearing loss, and tinnitus Horizontal or rotational nystagmus
51
What is the underlying cause of Meniere disease?
Most often caused by too much inner ear endolymph and increased pressure within the inner ear
52
What is the underlying cause of BPPV?
BPPV is most commonly attributed to calcium debris within the posterior semicircular canal but may also occur in the lateral and anterior semicircular canals
53
X-ray findings of a distended large bowel loop that points toward the right upper quadrant, along with a paucity of gas in the rectum. What dx should you be thinking of? What is the first line tx?
sigmoid volvulus sigmoidoscopy
54
What are 3 risk factors for sigmoid volvulus?
advanced age, immobility and chronic constipation
55
Name this sign on xray? What dx?
coffee-bean sign : The apex of the dilated loop is directed toward the right upper quadrant Sigmoid volvulus
56
What dx? What is the tx?
Wolff-Parkinson- White syndrome, antidromic AV reentrant tachycardia (AVRT) procainamide
57
Where is the accessory pathway of WPW usually found?
most commonly the left lateral aspect of the atrioventricular (AV) ring,
58
What is the EKG finding associated with WPW?
include a shortened PR interval with slurring of the QR or R segment of the QRS complex, better known as the delta wave
59
What dx? What tx?
supraventricular tachycardia (SVT) The ECG will show a regular, fast, narrow complex tachycardia with absent P waves. stable pts: vagal maneuvers unstable/unsuccessful: adenosine
60
In what patient population should you use adenosine with extreme caution?
Those with heart transplants due to prolonged drug effect.
61
What dx? What tx?
ventricular fibrillation epinephrine
62
What is the tx for a black widow spider bite that presents with rigid abdomen and stable vitals?
IV lorazepam
63
Christmas disease is another name for _______
hemophilia B
64
What is the mode of inheritance for both hemophilia A and B?
X-linked recessive. For this reason, the vast majority of patients with hemophilia are male
65
What is the Lhermitte sign?
which presents with electrical pain that radiates down the neck and spine when the head is flexed
66
What laboratory value will be decreased (aside from hemoglobin or hematocrit) in an acute episode of hemolytic anemia?
The haptoglobin level as it scavenges free hemoglobin released by lysed red blood cells.
67
What dx? What is likely to be in the pt's recent hx? What is the likely rate?
accelerated idioventricular rhythm, pts are usually asymptomatic recent MI with reperfusion rate: between 60-100
68
What is the most common reason sinus node dysfunction occurs?
Age and replacement of the sinoatrial node with fibrous tissue.
69
What dx? What should you do next?
ventricular fibrillation defibrillation
70
What is the physiologic process responsible for the fourth heart sound heard in patients with advanced aortic stenosis?
atrial contraction against a noncompliant left ventricle
71
aortic dissection presentation with stable vitals, what is the next step?
CT angiography then emergent surgery consult once dx is made
72
What is the commonly first reported symptom of aortic stenosis?
dyspnea
73
What is the most specific finding for myocardial ischemia on exercise stress test?
2 mm downsloping ST-segment depression
74
What dx? symptomatic, what is the tx?
sinus bradycardia atropine
75
While performing a routine physical examination, a provider notices a distinct decrease in the strength of the patient’s radial pulse during inspiration. What is the finding called? What are some associated dxs (name 7)?
Pulsus paradoxus: the drop is more than 10 mm Hg cardiac tamponade, constrictive pericarditis, chronic sleep apnea, croup, and obstructive lung disease, PE, vena cava thrombus
76
What are the s/s of an anticholinergic toxidrome? What is the antidote?
hyperthermia, mydriasis and AMS physostigmine
77
What is the classic triad of Henoch-Schönlein purpura (HSP? What is the tx?
palpable purpura, abdominal pain and arthritis usually with preceding upper URI supportive care
78
What test should you order if you suspect Addison's dz? What will the labs show in a pt with Addison's dz?
morning adrenocorticotropic hormone (ACTH) stimulation test show decreased cortisol level and increased ACTH level
79
What is acute chest syndrome caused by?
caused by pulmonary micro vaso-occlusion either due to bone marrow necrosis, fat emboli, or triggers such as infection or inflammatory airway disease. It can lead to rapid respiratory decompensation and death. In adults, it is defined as the presence of a new consolidation on chest x-ray study in the setting of acute respiratory symptoms in those with a history of sickle cell disease. It is caused by bone marrow necrosis, fat emboli, or both. This patient will need to be hospitalized for incentive spirometry, antibiotic therapy, and monitoring.
80
______ is a medical condition that needs to be ruled out as a medical source of a pt's bipolar symptoms
hyperthyroidism check TSH and free thyroxine levels (T4)
81
What effect does hypercalcemia have on the EKG?
shortened QT interval think hyperPTH or malignancy
82
What finding? What vit/min/electrolyte?
shortened QT interval hypercalcemia
83
What effect does hypomagnesemia have on EKGs?
prolonged QT interval
84
acute limb ischemia, what medical management?
unfractionated heparin and emergency surgery consultation
85
What setting is nitrazine paper used in? The paper turns blue, what does that mean?
to test amniotic fluid in the setting of PPROM turns blue in the presence of amniotic fluid (alkaline)
86
What is the tx for tumor lysis syndrome? What is it usually due to? What electrolyte disturbances?
aggressive IV hydration 3-7 days after initiating chemo hyperkalemia, hyperphosphatemia, hyperuricemia, and hypocalcemia.
87
What dx? What electrolyte disturbance?
prolonged QT syndrome, hypokalemia, and hypomagnesemia
88
What dx? Pt is symptomatic, what tx?
supraventricular tachycardia (SVT) fast, regular rhythm with a narrow QRS complex. tx: vagal maneuvers first then adenosine
89
Describe supraventricular tachycardia (SVT) EKG findings? What is the underlying pathphys?
fast, regular rhythm with a narrow QRS complex with retrograde P waves (P waves may be buried within or seen immediately before or after each QRS complex) Most cases of SVT result from sustained reentry occurring WITHIN the atrioventricular node
90
What does a retrograde P wave mean?
P waves may be buried within or seen immediately before or after each QRS complex
91
What is the mechanism of action of adenosine?
Atrioventricular nodal conduction blockade.
92
HTN in adults older than 60, what is the goal BP?
less than 150/90
93
HTN in adults younger than 60, what is goal BP?
less than 140/90
94
Where can the S3 heart sound (if present) be heard the best?
S3 is a dull, low-pitched sound best heard with the bell placed over the cardiac apex with the patient lying in the left lateral decubitus position. occurs in early diastole
95
dilation of _______ is often associated with bicuspid aortic valve
dilation of the ascending aorta
96
What is the Hamman sign? What dx?
A mediastinal crunch, also known as Hamman sign or Hamman's crunch, describes a crackling sound that may be heard when auscultating the lungs in patients with esophageal rupture. Boerhaave syndrome
97
fatigue, headache, tinnitus, gastritis, early satiety, dizziness, claudication and aquagenic pruritus. What dx should you think of? What lab will be elevated?
polycythemia vera increased hematocrit over 49% in men and over 48% in women
98
What is diabetes insipidus caused by?
Diabetes insipidus is inappropriate secretion or utilization of antidiuretic hormone (ADH). The result is excessive free water excretion in urine. Urine is therefore significantly dilute. Decreased urine osmolality
99
What does the BP need to drop to in preeclampsia? What medication could be used?
systolic less than 160 within 60 minutes labetolol, hydralazine or nifedipine magnesium sulfate as well for seizure prophylaxis
100
______ should always be given with Isoniazid to prevent neuropathy
Vitamin B6 (pyridoxine)
101
What are the 4 medications used to treat TB?
rifampin and isoniazid for 6 mo with pyrazinamide and ethambutol being added in for the first two months Vit B6 with isoniazid
102
What murmur is associated with aortic dissection?
aortic regurg diastolic decrescendo murmur located over the right sternal border.
103
What dx?
Paroxysmal supraventricular tachycardia is a narrow QRS complex tachycardia that abruptly begins and ends and maintains a regular ventricular response
104
What is a super common side effect of adenosine?
facial flushing
105
What dx?
first degree heart block PR interval will be > 200 msec
106
What dx?
hyperkalemia
107
What is the MOA of furosemide in the setting of hyperkalemia?
decrease total body potassium stores by increasing potassium excretion
108
What is the reversal for heparin and Lovenox?
protamine
109
What is the treatment for an acute asthma exacerbation?
SABA and corticosteroids
110
What EKG results would indicate right ventricle involvement in an inferior stemi?
ST elevation in lead V1 and ST elevation in lead III that is greater than ST elevation in lead II.
111
What dx?
inferior stemi with right ventricle involvement due to
112
What dx?
HCM deep, narrow Q waves in the lateral leads (I, aVL, V4-V6). deep T-wave inversions in the precordial leads (V2-V6).
113
What is the tx for alcohol withdrawal? What is the MOA of action?
BZD BZD stimulate GABA receptors thereby
114
What dx? What is the tx?
premature ventricular contractions (PVCs) BB
115
What is the tx for rapid atrial fibrillation in the WPW syndrome?
procainamide
116
What diagnostic test is most sensitive in detecting valvular vegetations?
TEE
117
What dx?
a fib
118
What is Heyde syndrome?
Aortic stenosis and gastrointestinal bleeding from gastrointestinal angiodysplasia.
119
What ABI value indicates >50% stenosis?
120
What is the drug class and MOA for colesevelam?
a bile acid sequestrant decreases cholesterol absorption by forming insoluble complexes of bile acids that can then be eliminated through feces.
121
What EKG change can be seen with pts taking antipsychotics?
prolonged QT interval that can turn into torsades de pointes
122
What dx?
second-degree heart block mobitz type II
123
What bacteria is commonly associated with Guillain-Barre syndrome? What is first line tx?
Campylobacter jejuni Plasmapheresis and intravenous immune globulin are the first-line treatments
124
bird/batting dropping in caves with respiratory symptoms, what dx? What tx?
acute pulmonary histoplasmosis (central and eastern US) itraconazole
125
What dx? What tx?
afib with rapid ventricular response BB or non-CCB (diltiazem or verapamil)
126
What is the pathophys behind why rhadbo causes acute renal failure?
Renal failure in rhabdomyolysis is caused by obstruction of tubules by myoglobin that is released as a result of tissue damage.
127
What dx?
third degree heart block
128
What EKG conditions are considered severe lyme carditis? What is the tx?
symptomatic, second- or third-degree AV block OR first-degree AV block with a PR interval ≥300 ms IV ceftriaxone
129
What EKG changes are considered mild/moderate lyme cariditis? What is the tx?
asymptomatic with first-degree AV block and a PR interval < 300 ms (normal is 200ms or 5 small boxes) doxy
130
What is pulsus paradoxus defined as? Commonly seen in what 3 conditions?
fall in systolic BP of >10mmHg during inspiration cardiac tamponade, COPD, severe asthma
131
What is pulsus alternans? What condition is it associated with?
occurs most commonly with heart failure and is described as an alternation of one strong beat followed by a beat of decreased amplitude during palpation of peripheral pulses.
132
What is the MC risk factor for the development of an AAA?
older age
133
What is the MC type of hip dislocation?
posterior
134
What is the position you are likely to find a pt in with a posterior hip dislocation?
limb shortened, hip flexed and foot is internal rotated
135
What finding? What dx?
bamboo spine ankylosing spondylitis.
136
What are some extra-articular comorbities associated with ankylosing spondylitis?
anterior uveitis, psoriasis, and inflammatory bowel disease
137
What dx? What is the pathophys?
mallet finger characterized by a closed disruption of the distal extensor apparatus, often occurring when there is sudden, forceful flexion of an extended finger, such as when struck by a ball.
138
______ is a cause of secondary osteoporosis in female
steroid use
139
positive anti-cyclic citrullinated peptide antibody. What dx?
Rheumatoid arthritis
140
what is the tx of acute pulmonary edema?
vasodilators and IV furosemide BiPAP as adjunct
141
What type of fracture?
scaphoid fracture
142
What is the most frequently fractured carpal bone?
scaphoid fracture
143
What is the MC type of knee dislocation?
anterior
144
What type of fracture?
greenstick fracture
145
What type of fracture?
torus (buckle) fracture
146
What type of fracture? What should you instantly think next?
corner (bucket handle) fracture highly specific for non-accidental trauma
147
What is a common nonoperative fracture in adults?
radial head fracture
148
What is a dimple sign? What does it indicate? What should you do next?
The presence of a transverse groove at the medial knee joint line posterolateral knee dislocation immediate open reduction!!! Closed reduction is not possible because the medial femoral condyle is buttonholed through the medial capsule and the medial collateral ligament is invaginated into the joint.
149
Proximal weakness of the hip flexors and the deltoids bilaterally with elevated aldolase and creatine kinase. What dx? What is the tx?
polymyositis prednisone
150
What antibody is associated with polymyositis?
Anti-Jo-1 autoantibodies
151
What are the characteristic findings associated with dermatomyositis?
Proximal muscle weakness and evidence of muscle inflammation are characteristic findings of dermatomyositis.
152
Kiddo with sickle cell, reticulocyte count of 0.4%, fever, fatigue. What should you be thinking?
aplastic crisis most commonly caused the parvovirus B19
153
What are the 3 types of a definitive airway?
154
What rare complication can develop in patients on metformin who receive iodinated contrast?
severe lactic acidosis
155
What is the abx of choice for suppurative parotitis?
amp/sulbactam
156
What 3 organisms in pts without a SPLEEN are most likely to cause sepsis?
Streptococcus pneumoniae Neisseria meningitidis Haemophilus influenzae all are encapsulated organisms
157
What are the 2 MC risk factors for placental abruption?
previous hx of abruption hypertension
158
What type of dysrhythmia can be triggered by PVCs?
ventricular tachycardia
159
What is the criteria for nonsustained ventricular tachycardia?
having 3 or more PVCs in a row
160
Which class of medications is the most common cause of drug-induced immune hemolytic anemia?
cephalosporins
161
What ECG finding has the highest likelihood ratio for the diagnosis of heart failure?
atrial fibrillation
162
What is the criteria for a RIGHT BBB?
163
What dx?
right BBB
164
What dx?
left BBB
165
What is Evans syndrome?
Evans syndrome is an autoimmune disorder characterized by the simultaneous or sequential occurrence of immune thrombocytopenia and autoimmune hemolytic anemia, sometimes with neutropenia.
166
What dx? What tx?
narrow complex irregular tachycardia that is consistent with atrial fibrillation with rapid ventricular response BB or CCB
167
When ____ or _____ are present along with URI symptoms should make you think of a VIRAL vs bacterial cause
rhinorrhea and conjunctivitis
168
What medication is an acceptable alternative to amiodarone in refractory ventricular fibrillation?
lidocaine
169
What is the best timing for a radiograph of the nose after a facial injury?
There is no need for a radiograph acutely. It is recommended to wait 3-4 days after the swelling has decreased.
170
What dx?
ventricular fibrillation
171
In which leads do you need more than 1 mm to call it a STEMI?
V2-V3
172
Ordering Heparin, what lab needs to be ordered to monitor?
PTT
173
What is the MC cause of pericarditis?
coxsackievirus
174
What medication cannot be used if the pt uses cocaine?
beta blockers
175
What is the MC cause of cardiac arrest in children?
respiratory arrest
176
What is the MC pathogen that causes epiglottitis?
HIB
177
What abx for epiglottitis?
cefotaxime PLUS vanc
178
What is the MC pathogen for croup?
parainfluenza virus
179
Bilateral burst fx of C1 is called ______
jefferson's fracture, it is unstable
180
Which vit dif can cause a seizure?
B6, pyridoxine
181
What is the arrow pointing at? What 2 conditions will you see them?
Osborn J wave hypothermia hypercalcemia
182
Which type of fat pad is normal?
anterior is OKAY
183
What type of fracture?
clay shoveler's fracture
184
What bone is fractured?
scaphoid fracture
185
iron overdose can cause _____ that can be misdiagnosed as ______
hyperglycemia DKA
186
What is the MC knee fracture?
tibial plateau
187
What is the earliest EKG finding in hypokalemia?
prominent U Wave
188
What abx class can cause QT prolongation and lead to Torsades?
azithromycin
189
Abx of choice for apsiration pna?
amp/sulbactam- in pt augmentin- out pt
190