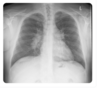
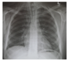
CXR demonstrates bilateral hilar adenopathy
Bx reveals noncaseating granulomas
What is the dx?
sarcoidosis
What is the difference between transudate and exudate pleural effusions?
What is Cor Pulmonale?
impaired RV function or structure due to pulmonary hypertension from hypoexemia or lung dz
think COPD
What is a Westermark sign of CXR? What dx?
radiographic finding on chest X-ray characterized by a focal area of oligemia (decreased pulmonary vascularity) distal to a pulmonary arterial occlusion.
This sign appears as a region of increased lucency (relative radiolucency) in the lung field, reflecting reduced blood flow secondary to obstruction of a pulmonary artery or its branches
PE
_______ is associated with meconium aspiration syndrome in the newborn
persistent pulmonary hypertension
What CXR findings are associated as the classic pattern of Pneumocystic jirovecii PNA?
diffuse interstitial infiltrates
Where is the consolidation associated with TB typically found in the lungs?
usually in the UPPER lobes
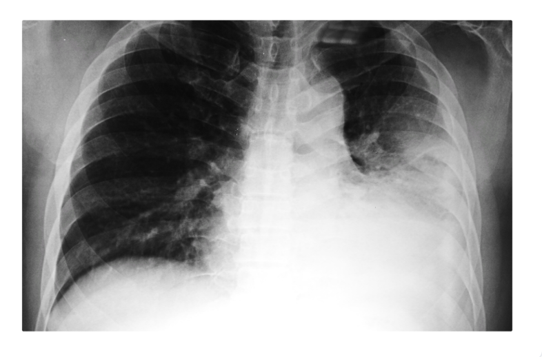
What dx?
parapneumonic effusion
What types of cells produce surfactant?
type II pneumocytes
What is the drug class and brand name for montelukast?
leukotriene receptor antagonist
singulair
What dx is consistent with these thoracentesis results?
empyema
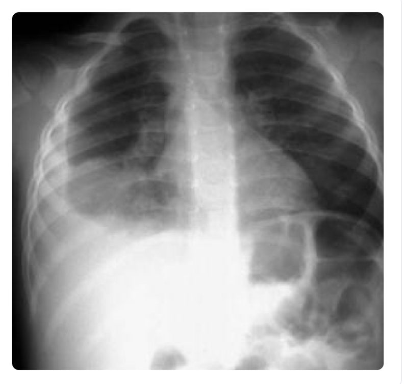
This CXR and scenario of a women who did not finish abx due to recent PNA. What dx?
empyema
______ is associated with catamenial pneumothorax?
endometriosis
Which of the following tuberculosis medications is known to cause peripheral neuropathy and should be supplemented with pyridoxine (vitamin B6)?
isoniazid
What kind of precautions are needed if you suspect TB?
airborne precautions
Where are most aspirated foreign bodies located?
right main bronchus
PE is suspected but pt has an elevated creatinine, what is the best diagnostic test?
V/Q scan
What are the 3 causes of a transudative pleural effusions?
CHF
hepatic hydrothorax (pleural effusion that is caused by liver dz)
nephrotic syndrome
What is the MC pulm side effect of amiodarone?
chronic interstitial pneumonitis
need annual CXR
aspiration PNA due to alcohol, what pathogens?
anaerobic bacteria
Peptostreptococcus
Fusobacterium nucleatum
Bacteroides
What will TB look like on CXR?
TB can look like a variety of things on CXR with varied abnormalities
Which TB drug is likely to cause optic neuritis?
ethambutol
What pathogen is commonly associated with recurrent pulm infections in pts with CF?
pseudomonas
_______ is classically associated with causing postinfluenza bacterial PNA. What stain and shape?
staph aureus
gram + cocci in clusters