Neuro Flashcards

(38 cards)

1
Q

What is the tx for myasthenia gravis?

A

pyridostigmine

How well did you know this?
1
Not at all
2
3
4
5
Perfectly
2
Q

What anticonvulsant med is known to cause hyponatremia?

A

oxcarbazepine

How well did you know this?
1
Not at all
2
3
4
5
Perfectly
3
Q

What is the genetic basis of Huntington disease? How is it inherited?

A

Genetic testing in individuals with HD will show expansion of the cytosine-adenine-guanine trinucleotide repeats in the HTT gene.

autosomal dominant-inherited

How well did you know this?
1
Not at all
2
3
4
5
Perfectly
4
Q

What 3 features characterize Huntington disease?

A

choreiform movements, dementia, and psychiatric disturbances

How well did you know this?
1
Not at all
2
3
4
5
Perfectly
5
Q

What type of tremor is likely to occur in a pt with cerebellum disfunction?

A

intention tremor

How well did you know this?
1
Not at all
2
3
4
5
Perfectly
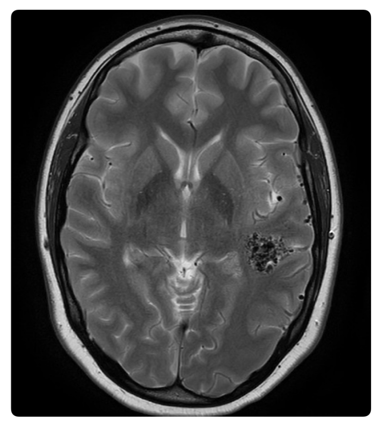
6
Q

What dx?

A

Arteriovenous malformations (AVMs

How well did you know this?
1
Not at all
2
3
4
5
Perfectly
7
Q

What is the tx for dyskinesia associated with parkinson’s?

A

reduce the dose of carbidopa-levodopa and add amantadine

How well did you know this?
1
Not at all
2
3
4
5
Perfectly
8
Q

When is the risk of rebleeding the highest after a cerebral aneurysm rupture?

A

in the first 24 hours

How well did you know this?
1
Not at all
2
3
4
5
Perfectly
9
Q

Where is the pain associated with trigeminal neuralgia most likely to be located?

A

Pain most often occurs in the maxillary (V2) and mandibular (V3) distributions of the trigeminal (V) nerve

How well did you know this?
1
Not at all
2
3
4
5
Perfectly
10
Q

What are the most common adverse effects of levetiracetam?

A

dizziness, fatigue, somnolence, and upper respiratory infection

How well did you know this?
1
Not at all
2
3
4
5
Perfectly
11
Q

What is the MOA of levetiracetam?

A

binds to the synaptic vesicle integral membrane protein 2A

How well did you know this?
1
Not at all
2
3
4
5
Perfectly
12
Q

Where is levetiracetam metabolized?

A

in the blood. There is no metabolism of levetiracetam in the liver

levetiracetam = Keppra

How well did you know this?
1
Not at all
2
3
4
5
Perfectly
13
Q

A 75-year-old woman is brought to your office by her daughter, who tells you that her mother has recently been exhibiting short-term memory loss and confusion over recent months. The patient’s medical history includes type 2 diabetes mellitus, hypertension, hypercholesterolemia, and osteoarthritis. She had a stroke last year and has residual mild hemiparesis. On cognitive testing, she is able to recall only one of three words, and all the numbers are on one side on the clock-drawing test. What type of dementia?

A

vascular dementia

has the risk factors: hyperlipidemia, HTN, diabetes

pts with hx of stroke are at an increased risk for vascular dementia

How well did you know this?
1
Not at all
2
3
4
5
Perfectly
14
Q

What test is the single most useful test in establishing the diagnosis of multiple sclerosis?

A

MRI

How well did you know this?
1
Not at all
2
3
4
5
Perfectly
15
Q

Describe how to perform bulbocavernous reflex

A

a healthcare provider will stimulate the penis or clitoris to elicit a contraction of the external anal sphincter, which can be observed or palpated

How well did you know this?
1
Not at all
2
3
4
5
Perfectly
16
Q

What medication is most likely to cause a dystonic reaction?

A

think haloperidol and other first gen antipyschotics

17
Q

What is the MC inherited neurologic disorder?

A

Charcot-Marie-Tooth disease

18
Q

What is the first line medication for idiopathic intracranial hypertension?

A

acetazolamide

19
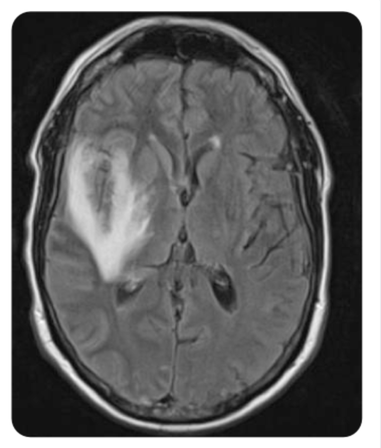
Q

MRI of the brain with contrast is the best radiologic study, and classic findings include a ring-enhancing mass with central necrosis and surrounding edema. What dx?

A

glioblastomas

20
Q

Which of the following laboratory abnormalities is most likely to be seen in a patient receiving mannitol for increased intracranial pressure?

A

increased osmolar gap

As a hyperosmotic agent, mannitol increases plasma osmolality, drawing water from the extravascular space into the intravascular compartment. This reduces brain tissue volume and ICP, improving cerebral perfusion. Mannitol also has a role in the management of acute angle-closure glaucoma by lowering intraocular pressure through a similar osmotic effect

21
Q

What dx?

Pt has abnormal brain function. may have a prodrome of flu-like illness. Symptoms often include headache, fever, change in behavior, and speech abnormalities. Seizures can also develop.

A

Encephalitis (swelling most likely in the temporal lobe as shown by brain MRI)

22
Q

What is encephalitis most commonly caused by?

A

viral infection

aka think HSV. “pt had a cold sore a few days prior”

23
Q

What CSF finding suggests encephalitis?

A

lymphocytic pleocytosis (increased WBCs)
increased RBCs
increased protein
normal glucose

24
Q

What 3 medications are considered first line for Alzheimer disease? What is the drug class?

A

rivastigmine

galantamine

donepezil

Cholinesterase inhibitors

25
What are the scoring ranging for the Montreal Cognitive Assessment? When should you start medication?
26–30: Normal cognitive function. 18–25: Mild Cognitive Impairment (MCI). 10–17: Moderate Cognitive Impairment. < 10: Severe Cognitive Impairment start meds at mild cognitive impairment score of 25 or less
26
What is the imaging study of choice for suspected causes of central vertigo?
MRI with angiography A noncontrast head CT is a reasonable SCREENING test with suspected central vertigo (and is most appropriate to evaluate for potential intracranial hemorrhage). Secondary to the fact that it does NOT permit adequate visualization of the cerebellum
27
Basilar skull fractures can involve any of the five bones that make up the base of the skull, most commonly involving the ______ bone.
5 bones are: ethmoid sphenoid occipital frontal paired temporal bones
28
What are 3 classic SE associated with phenytoin?
diplopia, gingival hyperplasia and hirsutism
29
Pt presents because of persistent HA and change in personality of the last 2 months. Neuroimaging studies show a 5 cm, ill defined mass in the left parietal white matter. A ring-like zone of contrast enhancement is seen on the T1 weighted MRI images, surrounded by extensive edema appreciated on T2 weighted images. What dx?
glioblastoma multiforme
30
Along which artery distribution are brain abscesses associated with bacteremia commonly located?
middle cerebral artery
31
What is the most common cause of an intracranial neoplasm?
metastases
32
Neuro condition that usually presents with urinary incontinence, impaired cognition, and gait disturbance?
Normal pressure hydrocephalus (NPH)
33
You suspect an unresponsive patient has psychogenic coma. You decide to proceed with caloric testing and instill cold fluid into the left ear. What do you expect to see on eye movements if the patient has no brain stem abnormality?
RIGHT fastbeating nystagmus
34
Which of the following anticonvulsant medications prevents seizures by blocking neuronal sodium channels to prolong the refractory period and inhibit action potential propagation?
carbamazepine
35
Define anterior cord syndrome. What neck movement is it associated with?
Anterior cord syndrome involves significant impairment of motor function, pain, and temperature sensation below the level of the injury while preserving the sensory functions of the posterior columns such as proprioception, vibration, and some aspects of light touch. Traumatic mechanisms such as cervical hyperflexion
36
What cranial nerve palsy is most likely to be present with a subarachnoid hemorrhage?
cranial nerve III palsy Cranial nerve III is the oculomotor nerve, which can become compressed when a cerebral aneurysm is present at the junction of the internal carotid artery and posterior communicating artery, causing a unilateral strict downward gaze, ptosis, anisocoria, and blurred vision
37
Describe a patient with Brown-Sequard syndrome?
ipsilateral loss of motor strength, vibratory sensation and proprioception with contralateral loss of pain and temperature sensation below the level of injury
38