What structure causes pathogenicty of gram - bacteria?

Name structures & fxns

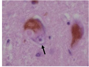
Major pathologic findings in Parkinson’s

Open angle vs. closed angle glaucoma
Epinephrine use in glaucoma
Diffuse breast pain, multiple bilateral masses @ upper outer quadrants of breast ==> Dx?
Histologic changes in fibrocystic disease
TGF-beta role in inflammation
Interferon-gamma source/fxn
Complications of inguinal surgery
MLF lesion consequences
Amiodarone toxicity sx
Common causes of disseminated intravascular coagulation
Mechanism of disseminated intravascular coagulation
Tx for carcinoid tumor
octreotide = somatostatin analog
5-HIAA in urine ==> Dx?
Complications of carcinoid tumors
Tricuspid regurgitation murmur
child/teen w/ recurrent pneumonia + bronchiectasis + low weight + intermittent diarrhea ==> Dx?
Cystic fibrosis
Common cause of pneumonia in CF + tx
Conversion disorder =
Dxn of Vit K
Vit K-dependent clotting factors