Classic exam findings in osteoarthritis
Flucytosine: MOA + use
Cause of heriditary spherocytosis
Mechanism/presentation of heriditary spherocytosis
Common histologic finding in squamous cell carcinoma of bladder
keratin pearls

Most common cause of squamous cell carcinoma of bladder (in world)
Final enzyme in purine salvage pathway
Presentation/mechanism of alkaptonuria
Brain abnormality associated with Patau syndrome
MOA of vasopressin @ V2 receptors
Methotrexate: MOA, uses
Cyclophosphamide: MOA, uses
Hep A: viral type, transmission, presenation, tx
Heart murmur in patient w/SLE ==> ?
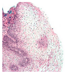
Common pathologic feature in lungs of smokers
Which of following types of epithelium not normally present in the lung, lines the bronchu shown in this image (hx: smoking)

A. pseudostratified columnar
B. simple squamous
C. stratified columnar
D. stratified squamous
E. transitional
D. stratified squamous
Treatment for depression w/safe cardiac profile
Characteristics of WAGR syndrome
Presentation/mechanism of polyarteritis nodosa
Acarbose: MOA, use, SE
Presentation of herniation of L5-S1 disc
Presentation of Vit D deficiency
Peripheral smear and lab results in DIC

Presentation of indirect inguinal hernia