Placenta previa presentation and sx
Abruptio placentae definition, sx, risk factors
Tx of neonatal respiratory distress syndrome
Drug of choice for TB prophylaxis (+MOA)
Common drugs in combination tx for TB (+MOA)
Macrolides: MOA + e.g.
Vancomycin: MOA + common use
Presentation and cause of waterhouse-friderichsen syndrome
Mass effects of neoplasm at pyloric zone
Pathologic consequences of giardia infections

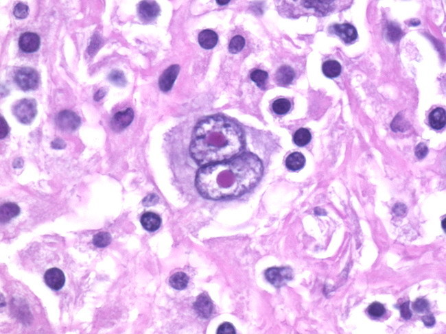
Characteristics of Reed-sternberg cells

Pathologic characteristics of Lymphocyte-rich Hodgkin lymphoma
Presentation/pathologic characteristics of Kartagener’s syndrome
Presentation of Immune Thrombocytopenic Purpura
Common chemotherapeutic agents associated with cardiotoxicity (+MOA)
Doxorubicin: MOA
MOA = intercalating DNA
Tx of bulimia
Presentation of bulimia
Hydralazine: MOA/use/SE
Treatment for refractory Parkinson’s (not responsive to medication)

Lab results in metabolic alkalosis
Common causes of metabolic alkalosis
Presentation of interruption of posterior inferior cerebellar artery
Low alpha-fetoprotein (AFP) on prenatal triple triple screen ==> dx?