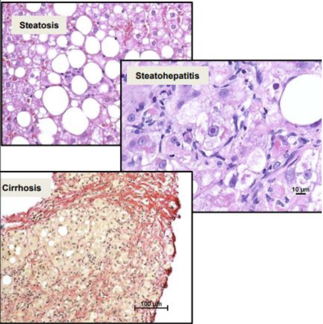
מהו הספקטרום הפתולוגי של מחלת כבד אלכוהולית?
ALD
הסננה שומנית של הכבד. נגע שפיר ויחסית הפיך
מפתחים גם רכיב דלקתי, הפטיטיס. הסננה דלקתית לעובי האוניות והתחלה של נקרוזיס של ההפטוציטים (בלונינג). יכול להתקדם לשחמת.
פיברוזיס באלכוהול בעל תבנית פרי-צלולרית.

אילו פקטורים משפיעים על מחלת כבד אלכוהולית?
גיל מבוגר, נשים, גורמים גנטיים ואפיגנטיים.
דפוסי שתיה ומשך, מצב תזונתי (הרבה חולים בתת תזונה), עישון, תרופות (יש כאלו עם אפקט סינרגטי עם אלכוהול, בפרט אקמול ומתוטרקסט), סמים, השמנת יתר ומחלות כבד אחרות.

מה נראה במעבדה של כבד אלכוהולי?
לרוב מעל פי 2 AST> ALT
MCV גבוה
ALP מוגבר הרבה יותר מGGT
פחות מפי 10 מהנורמל, כלומר פחות מ350 AST העליה ב
אם אנזימי הכבד באלפים- נחפש גורם נוסף שתורם לפגיעה בכבד אצל החולה.

מה הביטוי הקליני של שחמת כבד על רקע אלכוהולי?
הגדלת טחול וכבד, ירידה בסינתזת חלבונים, עליה בלחץ דם פורטלי, מיימת, אנצפלופתיה, דליות (עלולות לדמם). בשלבים מתקדמים צהבת ועליה באנזימים כולסטטיים.
מוארך PT ירידה בתאי דם לבנים וטסיות, אלבומין נמוך,

Acute alcoholic hepatitis מה ההגדרה ל?
מה הסימנים הקליניים?
מחלה אקוטית של הופעת צהבת עם/ בלי דהקומפנסציה (מיימת, אנצפלופתיה) תוך שימוש כרוני באלכוהול.
החולים יכולים לפתח סימני יל״ד פורטלי ופגיעה בתפקוד הסינתטי של הכבד מבלי שהתפתחה שחמת- מצב ייחודי.
קלינית מהשכיח לנדיר- עייפות, אנורקסיה, אובדן משקל, כאבי בטן, הקאות ובחילות, דימום במערכת העיכול.
בדיקה גופנית מהשכיח לנדיר- הגדלת כבד, צהבת, ספיידר המטומה, מיימת, אריתמה, חום, אנצפלופתיה, בצקת פריפרית, הגדלת טחול.

מהו הטיפול בהפטיטיס אלכוהולי?
הימנעות מוחלטת מאלכוהול, טיפול תזונתי (מאקרו ומיקרו נוטריינטים חסרים), חיפוש אקטיבי של זיהום)
מבחינה תרופתית:



באילו תנאים נותנים לאלכוהוליסטים כבד?
6 חודשי פיקחות. נותן חלון הזדמנויות לרה- קומפנסציה (המטופל יצליח אולי לשפר תפקודי כבד) ומוכיח שהמטופל יוכל להימנע משתיה.
