Clostridioides difficile מהו החיידק?
מה הגורמים שמסייעים לו לעשות זיהום?
מה התסמינים האופיניים וסיכויי ההישנות של המחלה?
איך נעשית האבחנה?
חיידק אנאירובי, גרהם חיובי. יכול לייצר נבגים וספורות שעמידים לתנאי סביבה קשים ומסוגלים להישאר לזמן ארוך. שכיח בבתי חולים, בתי אבות ובטבע.
המצב הכי נפוץ להתפתחות זיהום מקלוסטרידיום הוא שימוש באנטיביוטיקה+ הימצאות באזור עם הרבה נבגים. משך החשיפה הוא גם פרמטר חשוב. זיהום נוזוקומיאלי- נרכש בבתי חולים.
בילדים עד גיל שנתיים הסבירות לנשאות ללא מחלה היא גבוהה.
הטוקסינים של החיידק יכולים לגרום לפגיעה באפיתל של מערכת העיכול, לגרום לשלשול, חום, כאבי בטן, לויקוציטוזיס.
יכולה להיות חזקה של קלוסטרדיום ב15-30% מהחולים, יש זנים ספציפיים שגורמים לחזרה-
NAP1
אבחנה נעשית בעזרת ממצאים קליניים ומעבדתיים.
קליניים- שלשול של לפחות 3 פעמים ביום למשך יומיים לפחות
PCR או ELISA עי B או A מעבדתית- הימצאות טוקסין.
אפשר לאבחן גם עי צואה או סיגמואידוסקופיה/ קולונוסקופיה.

Pseudomembranous colitis מהו המצב?
clostridium difficile infection מצב מתקדם של
מאובחן ע״י אנדוסקופיה, אמנם יש סכנה בביצוע לניקוב המעי כי ממברנת המעי הגס פריכה.
רגישות הבדיקה נמוכה- תוצאה שלילית לא שוללת קלוסטרידיום.

clostridium difficile infection מה הטיפול ב?
טיפול אמפירי (לפני תוצאות המעבדה ולאחר האבחנה הקלינית):
טיפול מוכוון לקלוסטרידיום- בתמונה.

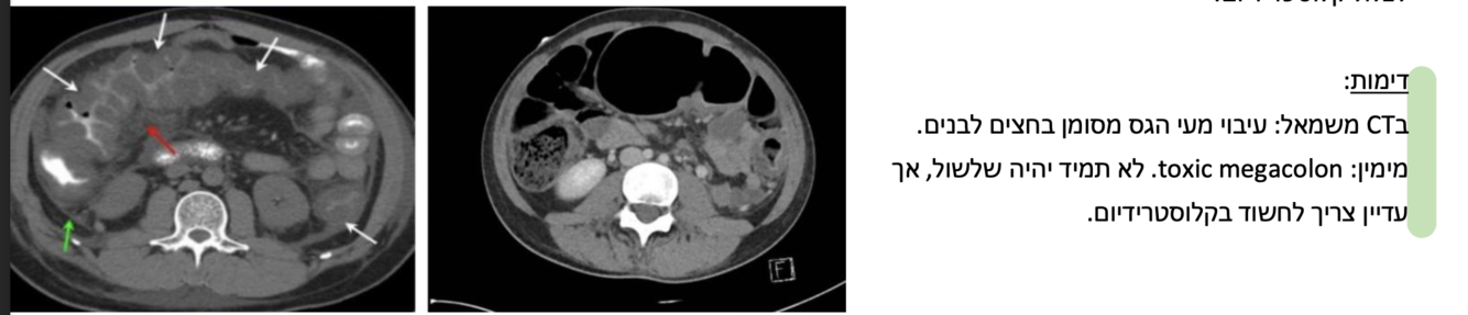
clostridium difficile infection מה הסיבוך העיקרי של?
Toxic megacolon- יכול להיגרם מהיתקעות תוכן במעי.
כאשר יש לויקוציטוזיס משמעותי (20,000+) לא מוסבר נחשוד בקלוסטרידיום ונטפל בהתאם כדי למנוע סיבוכים .

מהי קונטראינדיקציה לטיפול בקלוסטרודיום דיפיציל?
איך נמנעים מהמחלה?
