מהי ההגדרה לאנצפליטיס?
דלקת ברקמת המח.
כשתהיה מעורבות של הקורטקס יש ביטוי של רמת הכרה לא תקינה, פרכוסים, סימנים פוקאליים.
רק ב40% נזהה את המחולל, לרוב ויראלי.
מה הפתוגנזה של אנצפליטיס?
דרך CNS חדירה ישירה של הוירוס ל
ADEM acute disseminated encephalomyelitis נקרא גם

איך נדע להבדיל בין אנצפלופתיה לבין אנצפליטיס ויראלי?
CRP, חום, לויקוציטוזיס, תאים בסי.אס.אף

מהן האתיולוגיות השכיחות לזיהומי CNS?
אנצפליטיס
מה נראה בבדיקה הנוירולוגית בכל אחד מהגורמים?
נפוץ בילדים מתחת לשנה ובמבוגרים 65+,
מעורבות אונה טמפורלית פרונטלית (אפזיה, פגיעה בזיכרון, שינויים התנהגותיים)
מחלת הפה והטלפיים.
מעורבות גרעיני בסיס, נראה כמו פרקינסון
מעורבות של הצרבלום
תזכורת- תגובה אימונית של הגוף נגד החומר הלבן לאחר זיהום
מעורבות חומר לבן

CNS מהו הטיפול בזיהומי?
אנצפליטיס
HSV- נותנים טיפול מיידי באציקלוויר לפני תשובות ודאיות כי הוא יותר מסוכן
ADEM- סטרואידים, נוגנדים, פלסמה פרזיס.
CNS בהקשר של זיהום ב HSV
איזו סוגים יש ואיך נדבקים?
CSF מהם הסימנים שנראה ב?
מה נראה קלינית?
מה הטיפול?
נראה חלבון מוגבר, לימפוציטים, סוכר תקין CSF ב
נראה החל מירידה במצב ההכרה ועד קומה ופרכוסים. חשוב לאבחן מוקדם ולטפל בגלל פרוגנוזה גרועה שמחמירה ככל שממתינים.
טיפול- אציקלויר תוך ורידי ל-3 שבועות שבסופם חוזרים על ניקור מותני לראות שהפיסיאר שלילי.
בילודים יש סיכוי לחזרה של המחלה ולכן מקבל טיפול פרופילקטי עד גיל חצי שנה.
CNS בהקשר של זיהום ב Enterovirus
מה הביטוי הקליני
מה הטיפול
איך מאבחנים
מנינגיטיס אספטי (חולה במצב טוב) ובמדוכאי חיסון מנינגואנצפיליס (מעורבות עצבים קרניאליים, חולה מבולבל, ירידה במצב ההכרה.
טיפול- לרוב עובר לבד. לעיתים ניקור מותני משחרר לחץ וגורם לשיפור בסימני המחלה.
אבחנה- פיסיאר מהסיאסאף.
CNS בהקשר של זיהום ב West Nile Virus
איך נדבקים? מה היבטוי הנוירולוגי?
מה נראה בהדמיה?
CSF מהם הסימנים שנראה ב?
מה נראה קלינית?
מה הטיפול?
עוברת דרך יתושים, ביטוי נוירולוגי נדיר, החולים לרוב הם מבוגרים עם מחלות רקע (סכרת, יל״ד, דיכוי חיסוני). ביטוי קליני יכול להיות מגוון- מנינגיטיס, אנצפליטיס, מחלת דמוית פוליו.
התאוששות יכולה להיות איטית,
בהדמיה נראה תמונה דמוית פרקינסון- מעורבות של הגרעינים הבזאליים.
IgM בודקים CSF עושים סרולוגיה מה
אין טיפול, יש תמותה והתאוששות איטית

כלבת-
מתי נראה מחלה? מה הביטוי הקליני?
איזה טיפול יש?
איך מאבחנים?
מחלה נדירה, חשד במקרים של חשיפה מתאימה. ביטוי קליני רחב, דגירה ממושכת.
אין ריפוי, רק טיפול תומך, אפשר לקחת חיסונים לפני נסיעה לאיזורים אנדמיים
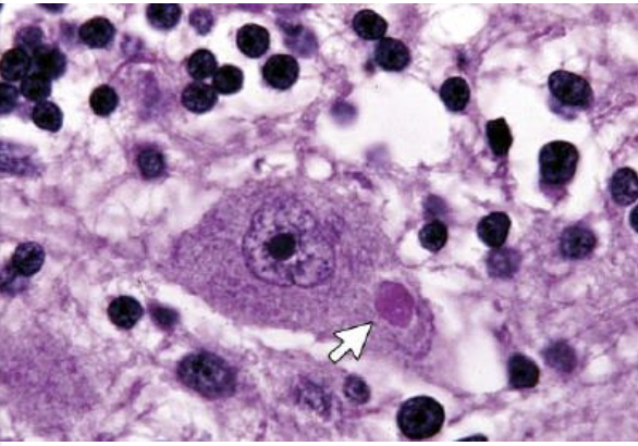
קשה לעשות אבחנה, צריך לדגום את העורף, העור והמח. בתאי הפורקינייה ניתן לראות גופיפי הסגר של הוירוס (במצב כזה כבר מאוחר מדי).
אפשר גם לעשות פיסיאר מהרוק ומנוזל עמוד השדרה.

אילו מחוללים נוספים פחות שכיחים יכולים לגרום לאנצפליטיס?
CNS זיהום ב
