מדוע מופיעה מחלת הקרוהן?
נטטיה גנטית+ רכיב סביבתי+ תגובה מופרעת
יש גנים רבים שחופפים גם לכוליטיס וגם לקרוהן, לכן אם לקרוב משפחה יש אחד יכול להיות שיהיה לצאצא אחד משניהם.
האתרים הפגועים בגנום קשורים לאינטראקציה בין המעי לבין חיידקי המעיים. אתרים שקשורים ליכולת של זיהוי אנטיגנים חיידקיים והצגתם למערכת החיסונית.
NOD2- למשל, מוטציה בגן
הוא חלבון שאחראי על חלבונים של חיידקים פתוגניים. מוטציה שכיבה ב20% מחולי הקרוהן. המוטציה גורמת לכך שלא ניתן לזהות חיידק- כך שגם לא תהיה הפעלה של מערכת החיסון וגם החיידק יוכל להשפיע פתולוגית.
עוד דוגמה- מוטציה במחסום הטייט ג׳נקשין שאמור למנוע מחיידקים לפרוץ את דופן המעי.
בנוסף לכך, יש תגובה חיסונית ללא רגולציה על מנגנון הדלקת.
איפה ועל מי הסביבה משפיעה במחלות מעיים דלקתיות?
משפיעה יותר על ילדים
בארצות צפוניות, מתועשות ונקיות.
איך עישון משפיע על קרוהן וקוליטיס כיבית?
קרוהן- העישון מחמיר את המחלה.
קוליטיס כיבית- העישון מקל את המחלה.
חיידקים ודלקת סיכום


איך אפשר להשפיע באופן פרמקולוגי על הדלקת שנוצרת בקרוהן או קוליטיס?
אפשר להשפיע על נדידת הלימפוציטים לרקמה. באנדותל המעי יש איטנגרינים ספציפיים ללימפוציטים שמיועדים למעיים. האינטגרין מורכב מיחידות
beta1/beta7 + alpha4
אם נעכב את האינטגרין נוכל לדכא את הדלקת במעיים ולא נפגע במערכת החיסונית הכללית. תרופה יותר חלשה אך יותר בטוחה.

מה הסביבה האופטימלית לנוכחות חיידקים אנטי דלקתיים?
צפופה, חקלאית, עם בעלי חיים וללא אנטיביוטיקה

מהם חומרים מתחלבים ואיך הם משפיעים על מחלות מעי דלקתיות?
חומר שגורם להתחלבות שכבת הריר של המעיים- מביא לכך שחיידקים יכולים להיכנס בקלות רבה יותר.
נמצא באוכל תעשייתי
P80 למשל
או קרבוקסי מתיל צלולוז

איך דיאטה עתירת שומן וסוכרים משפיעה על מחלות מעיים דלקתיות?
במחקר שעשו אל אי-קולי ראו שהחיידק נדבר יותר לרקמת המעיים בדיאטה כזו.
IBD למה יש שלשול ב?
מה הבדל באופי הדלקת בין קרוהן לקוליטיס כיבית?
יש שלשול כי הדופן של המטופל לא מסוגלת לספוג נוזלים, בנוסף לזאת הדופן עצמה מייצרת תגובה ציטוקינית עם זליגה רבה של נוזלים לתוך הדופן שנעשית עבה ובצקתית.
UC- דלקת שטחית, הדלקת מוגבלת לרירית, יש מעי עם כיבים ותפליטי פיברין, שלשול עם דם.
CD- דלקת עמוקה, מערבת את המוקוזה, למינה פרופריה, מוסקולריס וסרוזה (יכולה לחדור את כל שכבות הדופן)
בשניהם יש סיכון מוגבר לקרצינומה (שפוגעת בעיקר במוקוזה

מה ההבדל במיקום המחלון בין קוליטיס כיבית לקרוהן?
תמיד מתחילה ברקטום, פוגעת רק במעי הגס UC
Proctitis- דלקת רק ברקטום
Distal colitis- דלקת בקולון השמאלי
Pancolitis- מערב את כל המעי הגס
קרוהן יכולה להיות בכל מקום, ב75% מהאנשים נראה מעורבות של הטרמינל איליום
לפי המעורבות של המעי נוכל להבין את ההסתמנות הקלינית. למשל אדם עם פרוקטיטיס לא יתלונן על כאבי בטן, אדם עם דיסטל קוליטיס יתלונן על כאבי בטן שמאל, אדם עם דלקת בטרמינל איליום יתלונן על כאבים בבטן ימנית תחתונה.
אם יש דלקת במעי הדק זה לא קוליטיס כיבית! למעט קצת באקלאש.

UC מה התסמינים של?
מה מהלך המחלה?
לרוב המחלה מתבטאת בהתקפים ולא בנוכחות פעילה תמידית.
Colectomy מתי עושים?
רלוונטי בעיקר לקוליטיס?
הצורך לעבור כריתה עולה בשנים הראשונות למחלה, בייחוד אם היא פרוקסימלית לכפל הטחול* במעי הגס. לאחר הכריתה צריך לחיות עם סטומה/ חיבור של המעי הדק לפי הטבעת.
*splenic flexure
אם לא כורתים- המעי מאבד את הפריסטלטיקה ומתמלא בחומרי דלקת וגם. כל אלו גורמים לו להתרחב ונוצר סיבוך
Toxic megacolon של קוליטיס בשם
בנוסף לאלו הדופן של המעי המתרחב הופכת לדקה ולבסוף נוצרת פרפורציה, דליפה של צואה לחלל הבטן מה שמביא למצב חירום עם סיכויי תמותה של מעל 60%.

מה המאפיינים הפתולוגיים של מחלת הקרוהן? מה הסימפטומים?
כיבים עמוקים שיכולים ליצור פיסטולות, הכיבים נוטים לדמם וליצור אבצס. קרוהן היא מחלה פאצ׳ית יש איזורים חולים לצד איזורים בריאים.
ככל שהמעי יותר חולה תהיה יותר סבירות לשלשול. יכולים להיות גם סימפטומים של דלקת- טכיקרדיה, חום, ירידה במשקל וחוסר תאבון.
עם הזמן הנזק מצטבר, למרות שההתקפים הולכים ובאים.
אחרי 10 שנים יש 75% סיכוי לניתוח עקב היצרות שגרמה לחסימה או פיסטולות שיצרו אבצס או נגע פתולוגי עם איברים אחרים שגורם ליציאה של צואה מהנרתיק/ שופכה
נראה מורפולוגית אודם, טשטוש של כלי דם לאור בצקת של הרירית, רירית בצקתית שלא סופגת אוכל ובנוסף מדיאטורים דלקתיים, אפטות.

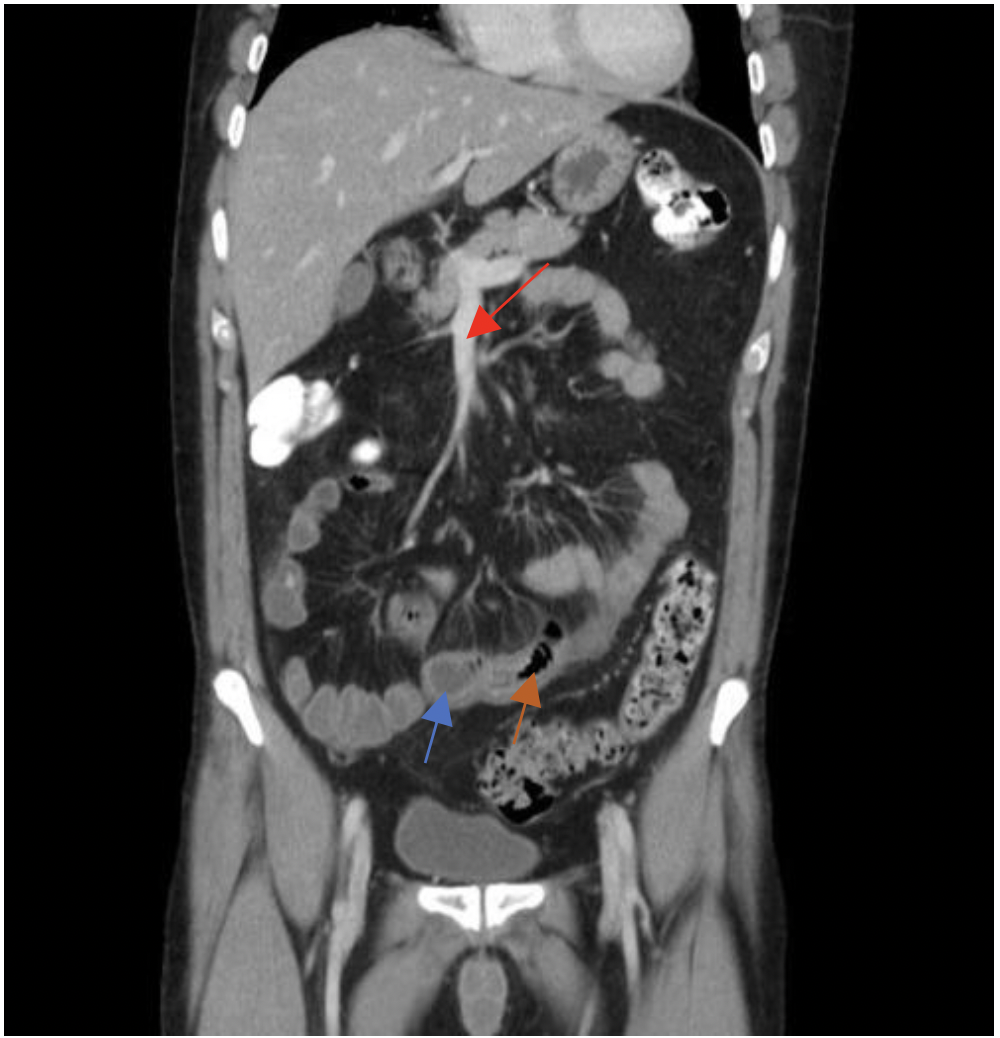
של חולה קרוהן MRI בתמונה
מה החצים מסמלים?

גדושים SMA חץ אדום- הענפים של ה
חץ כחול- דופן המעי עבה ומלאה מים
חץ כתום- כיבים
בנוסף ניתן לראות קשריות לימפה נפוחות שמעידות על דלקת (?)

שנגרמת כתוצאה מקרוהן perianal disease מהי?
התמונות הן עוד פריטי מידע שצריך לדעת ולא קשורות לשאלות

אם הכיב מתחיל ברקטום ומעמיק הדלקת יכולה לחדור את הספינקטר הפנימי והחיצוני ולבסוף יהיה פתל מפריש מוגלה באיזור פי הטבעת. אפשר לנסות לטפל ולהסיר את האבצס אבל יש סיכון לפגיעה בספינקטר האנאלי ונכות שתגרום לאיבוד שליטה על היציאות.

IDB אילו סימנים מחשידים ל
IBD קרוב משפחה עם
סימנים דלקתיים כמו ירידה במשקל/ דם ביציאות
אנמיה ולויקוציטוזיס
כל אלו מחלישים את הסיכוי למעי רגיז ומעלים את הסיכוי למחלת מעיים דלקתית
איזה מרקר מרכזי של דלקת נמצא בקורלציה לדלקת במעיים?
Calprotectin
נמצא בציטוזול של תאי דם לבנים, לא יופיע במעי רגיז/ אי סבילות ללקטוז/ ג׳יארדיה
יופיע בסלמונלה/ קרוהן/ קוליטיס כיבית.
כלומר המרקר מבדיל בין מצב אינפלמטורי ללא, אבל לא יבדיל בין מצב של זיהום ללא.