What are the Causes of Extraperitoneal Bladder rupture?

What is the cause?
What isn’t this a/w
What are 3 complications?

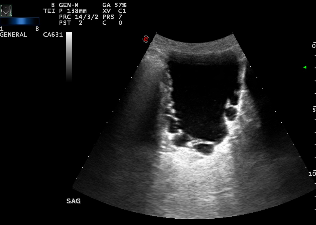
Acquired diverticulum in bladder outlet obstruction
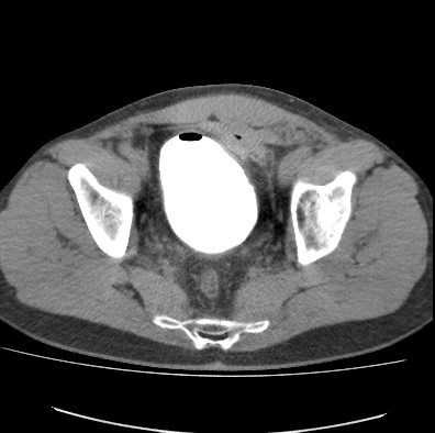
Case courtesy of Dr Prat Matifoll, Radiopaedia.org, rID: 30578
What is the location of Extraperitoneal Bladder rupture?
Location
What are the imaging features of Extraperitoneal Bladder rupture?
Imaging
What are the causes of Intraperitoneal Bladder rupture?
Intraperitoneal, 45%
Cause
What is the typical location of an intraperitoneal bladder rupture?
Location
What are the imaging features of an intraperitoneal bladder rupture?
Imaging
Contrast extravasation into paracolic gutters
Urine ascites
Presentation
Cerebral palsy patient with blunt abdominal trauma and haematuria.

Postvoid film shows a flame-shaped density adjacent to lateral walls of bladder representing extra-peritoneal contrast from a bladder rupture.
Case courtesy of Dr Ali Nourian, Radiopaedia.org, rID: 27806
Name the radiologic findings of extraperitoneal bladder rupture in VCUG?
A:
1- Pear-shaped bladder
2- Flame-shaped contrast extravasation into perivesical fat best seen on postvoid films
3- Paralytic ileus
https://radiopaedia.org/cases/bladder-rupture-5

Q: What is the most common type of bladder injury? hide answer
A: Extraperitoneal rupture is the most common type of bladder injury
What is the classification system of bladder injury?
Classification of Bladder Injury
https://pubs.rsna.org/doi/full/10.1148/rg.2018170125

Re Bladder injury, What should preceed cystogram if there is suspicion of urethral injury?
Retrograde urethrogram
Should precede cystogram if there is suspicion of urethral injury such as blood at meatus, “high-riding” prostate, or inability to void
https://www.amboss.com/us/knowledge/Genitourinary_trauma/

What is this procedure?
What percent of bladder ruptures are evident on post-void radiographs?

Cystogram
https://www.verywellhealth.com/cystogram-uses-side-effects-procedure-results-4173214

What Type of examination is this?

CT cystogram
Case courtesy of Dr Roberto Schubert, Radiopaedia.org, rID: 14924
What is this proceedure?
What is the indication?
What complication is seen here?

Cystostomy
Indication
• Bladder outlet obstruction
Abstract :
Patients with long-term suprapubic cystostomy can rarely develop squamous cell carcinoma (SCC) of the suprapubic cystostomy tract. In addition to the few reported cases in the literature, this paper reports a case of suprapubic cystostomy SCC in an 88-year-old man without bladder involvement. Vigilance about any abnormal lesion at the site of suprapubic cystostomy is important among health providers and patients for early detection of SCC.
https://www.google.com/url?sa=i&url=https%3A%2F%2Fgo.gale.com%2Fps%2Fi.do%3Fid%3DGALE%257CA551963159%26sid%3DgoogleScholar%26v%3D2.1%26it%3Dr%26linkaccess%3Dabs%26issn%3D2090696X%26p%3DAONE%26sw%3Dw&psig=AOvVaw3m3RiR7HgwGcuIHBBvu-7G&ust=1639441041914000&source=images&cd=vfe&ved=0CAwQjhxqFwoTCNi1oaXA3_QCFQAAAAAdAAAAABAD
What is the proceedure for a cystostomy?
Technique

What comprises the posterior urethra?
Posterior urethra = prostatic + membranous portions

What comprises the anterior Urethra?
• Anterior urethra = bulbous and penile portions

What is this?


What does the membranous urethra demarcate?
Membranous urethra demarcates urogenital diaphragm;

What is the membranous urethra radiographically defined as?
radiographically defined as the portion between the distal verumontanum and the cone of bulbous urethra
Where do the bulbourethral glands drain into?
What are they AKA?
Cowper glands in urogenital diaphragm; ducts empty into proximal bulbous urethra

What are the labeled structures?

A. Utricle
B. Prostatic urethra
Utricle: müllerian duct remnant; blind-ending pouch in midline
https://caps.nationwidechildrens.org/radiology/atlas/Urethra_Atlas/Prostatic_utricle.html
The prostatic utricle is a small, epithelium-lined diverticulum of the prostatic urethra. It is located in the verumontanum between the two openings of the ejaculatory ducts and extends backward and slightly upward for a very short distance within the medial lobe of the prostate.
It is a normal anatomic variant representing the remnant of the fused caudal ends of the Müllerian ducts, and thus is the homolog of the female vagina and uterine cervix.
When there is deficient secretion or resistance to Müllerian inhibitory factor (MIF), there is failure of normal fusion of the urogenital folds resulting in hypospadius. Hypospadius has the most common association with the prostatic utricle, with an estimated incidence of 14-47%. In the absence of other Müllerian duct derivatives (fallopian tubes, uterus and upper vagina), hypospadius and utricular enlargement are not indicative of an intersex condition. The increasing severity of the hypospadius correlates with increasing size of the utricle. A utricle not uncommon in prune-belly syndrome, and may be seen in patients with imperforate anus and recto-urethral fistula, and in patients with Down syndrome.
The prostatic utricle distends with urine during voiding and then passively drains. Poor emptying leads to urine retention and stasis. Stone formation may result from obstruction. Patients present clinically with chronic urinary tract infection, hematuria, urethral discharge, epididymitis and voiding dysfunction.
The normal prostatic utricle is occasionally seen as an incidental finding on routine VCUG as a tiny diverticulum of a few millimeters in length or on rare occasions measuring up to 1 cm or more. A large prostatic utricle is more often associated with male hypospadius. VCUG and retrograde urethrography (RUG) define the utricular size and its origin from the prostatic urethra. Occasionally a prostatic utricle is bifid, reflecting the bifid nature of its precursors, namely the paired Müllerian ducts. In patients with a large prostatic utricle, direct catheterization of the bladder during VCUG may be difficult secondary to preferential passage into the utricle. Facilitation of catheter placement into the bladder can be accomplished with use of a Coude’ catheter with the tip directed anteriorly, direct perineal pressure and/or insertion of a finger in the rectum with upward pressure during catheter placement.
Differential Diagnosis