What is a Rathke Cleft Cysts?
AKA?
Where is it found?
T1 and T2 features?
Pathognomic sign?
What is the dx?
What are 5 causes?

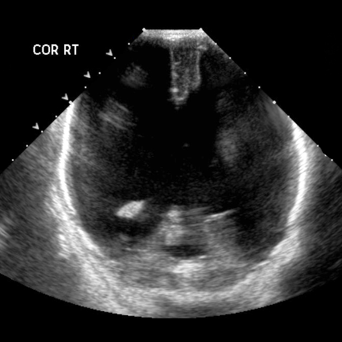
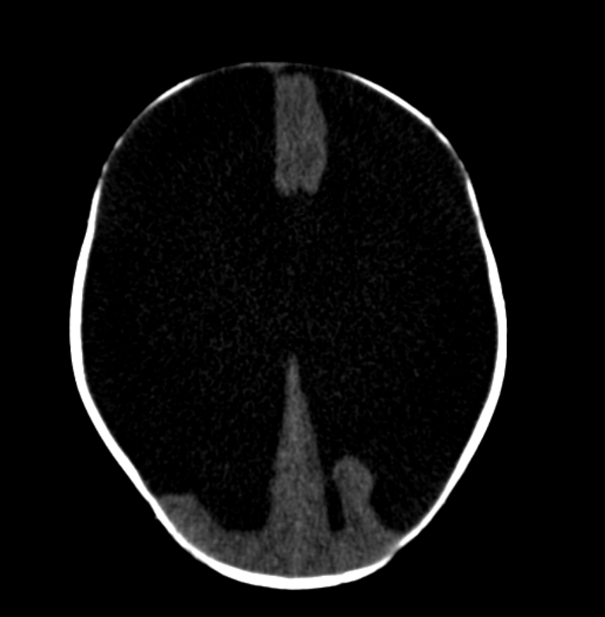
Hydraencephaly
Hydranencephaly is a rare encephalopathy that occurs in-utero. It is characterised by destruction of the cerebral hemispheres which are transformed into a membranous sac containing cerebrospinal fluid and the remnants of cortex and white matter 1. Porencephaly is considered a less severe degree of the same pathology 10
Five aetiologies have been described:
Case Discussion
There is marked enlargement of fluid spaces with little if any overlying cerebral parenchyma except for the posterior fossa and para medial location along the falx.
The posterior fossa structures are inferiorly displaced and the fourth ventricle is not well seen. Higher cuts demonstrate marked cerebral destruction of both cerebral hemispheres predominately in the distribution mid cerebral arteries with minimal residual tissue identified both anteriorly and posteriorly. The anterior fontanelle is bulging.
This case demonstrates typical CT and ultrasound appearances of hydranencephaly, which is in almost all cases not compatible with significant post natal survival.
https://radiopaedia.org/cases/hydranencephaly-1?lang=us

What is this?

Uterus
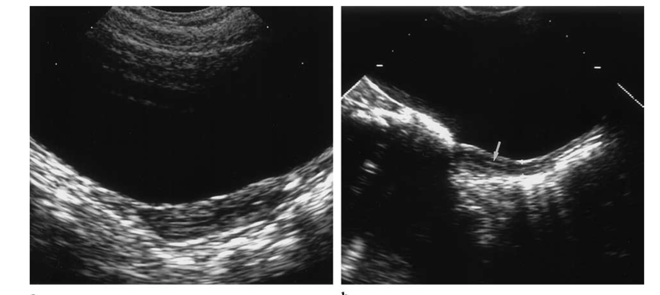
What are US prepubertal features of the Uterus
The prepubertal uterus has a tubular configuration (AP cervix equal to AP fundus) or sometimes a spade shape (AP cervix larger than AP fundus).
The endometrium is normally not apparent; however, high-frequency transducers can demonstrate the central lining.
The length is 2.5–4 cm; the thickness does not exceed 10 mm.
https: //pubs.rsna.org/doi/pdf/10.1148/radiographics.21.6.g01nv041393
* Figure 2. Prepubertal uterus. (a) Longitudinal US scan obtained in a 5-year-old girl shows a tubular uterus; the anteroposterior diameter is 6 mm. (b) Longitudinal US scan obtained in a 6-year-old girl shows the endometrial lin- ing as a thin echogenic line (arrow).*
Three facts about Crossed Renal Ectopia
What is the incidence of Congenital diaphragmatic hernia (CDH)?
What is the mortality rate?
What is the most reliable predictor of post natal survival?
What are the clinical symptoms?
What are 3 associated anomalies?
What is this?
What sequence should you ask for?
What is it associated with clinically?

Band Heterotopia
Ask for:
Case courtesy of Dr Ian Craven, Radiopaedia.org, rID: 78613

What is the modality of choice for DDH and why?
3 types of Pulmonary Hypoplasia
What is the rule for assessing Splenomegally in paediatric patients?
Max splenic size (cm)
What is the Hilgenreiner line?
The Perkins line and Shenton arc on radiography. Anteroposterior radiograph in a 2-year-old girl with left developmental dysplasia of the hip. The Perkins line is drawn perpendicular to the Hilgenreiner line (H line) and intersects the lateral acetabular rim. The Shenton arc is formed by the medial cortex of the femoral neck and the inferior cortex of the superior pubic ramus (dotted lines). The normal right hip shows the femoral head confined to the inferomedial quadrant and a continuous Shenton arc. The abnormal left hip shows the dislocated femoral head within the superolateral quadrant and a discontinuous Shenton arc
https://www.researchgate.net/figure/The-Perkins-line-and-Shenton-arc-on-radiography-Anteroposterior-radiograph-in-a_fig10_337009090

What is Laryngomalacia?
Clinical symptoms?
When does it occur?
How do you diagnose it?

Etiology: congenital cartilage abnormality in larynx
Imaging: dynamic partial supraglottic collapse of the larynx during breathing
https://pediatricimaging.org/diseases/laryngomalacia/
Which has normal Pulmonary Blood flow on CXR?
(Paeds tute 10.9.20)
Co-arctation
What is a Craniopharyngioma?

Wolffian Duct
Name the following vascular rings.

LCH Extraskeleta manifestations
Pulmonary Involvement
alveolar disease (exudate of histiocytes)
interstitial pattern (upper lobe pred)
CNS
meningeal involvement
pituitary
RES organs
Liver, spleen, LNS
12 Paediatric Soft tissue tumours

CHARGE SYNDROME
Which gene?
What are the main characteristics?
CHARGE syndrome is a phenotype associated with CHD7 gene mutation originally defined by a constellation of congenital anomalies:
According to updated diagnostic criteria, the most defining features are the 4 C’s:
CHARGE syndrome. Axial CT image in a 6-day-old boy (a) shows bilateral bony and membranous choanal atresia with a thickened vomer and medial deviation of the lateral nasal walls at the level of the choanae (black arrows). There are secretions layering within the nasal cavities (*). Axial T2-weighted MRI at 4 days of age (same patient) (b) shows bilateral colobomas (arrowheads). Coronal T2weighted MRI (c) shows that the olfactory apparatus is absent on the right, but intact on the left (curved arrow). Axial CISS (constructive interference in steady state) image (c) shows bilateral absent semicircular canals and hypoplastic vestibules (white arrows). There is also bilateral cochlear nerve aperture and internal auditory canal stenosis
https://www.researchgate.net/figure/CHARGE-syndrome-Axial-CT-image-in-a-6-day-old-boy-a-shows-bilateral-bony-and_fig8_270650182

Causes of nephrocalcinosis
Cortical: “COAG”
Medullary:
-year-old male presents with hematuria. An MRI scan was performed. Axial and coronal T2-weighted images are shown.

There is a polypoid mass in the bladder. The grape-like appearance is characteristic of the botryoid type of rhabdomyosarcoma. Rhabdomyosarcomas are the most common malignant bladder masses in the pediatric population.
Paragangliomas of the bladder may have a similar appearance with a macrolobulated appearance and T2-hyperintense signal, but they are more often seen in patients ages 30 to 60. Hemangiomas are often seen in the setting of other vascular malformations and are similar in appearance to hemangiomas seen elsewhere. Cystitis glandularis may present as nodules on a background of diffuse bladder wall thickening. Bladder neurofibromas are rare and may demonstrate a target appearance on T2-weighted imaging, with central low signal and peripheral high signal.
Epiglottitis

Tracheal stenosis
Three types:
Rathke Cleft Cysts