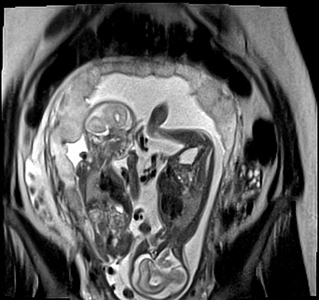
Multifetal pregnancy
Placental Unit in Multifetal pregnancy
Multifetal pregnancy
USS approach
MULTIFETAL PREGNANCY COMPLICATIONS
Twin twin transfusion
US Features
CONDITIONS ASSOCIATED WITH DEMISE OF A TWIN
Types of Placenta Formation
Placenta accreta spectum
Placenta previa
Vasa praevia
presence of abnormal fetal vessels in the amniotic membranes that run close to or cross the internal os.
The abnormal fetal vessels connect:
velementous cord insertion within the main body of the placenta
portions of a bilobed placent
placenta with succenturiate lobe.
A/W: low lying placenta, rupture
Two vessel cord
1% incidence
1 umbilical artery
50% a/w cardiac and renal anomalies
increased risk of IUGR
nucal cord
USS features of Absent Corpus Callosum
Associations:
What is this and what causes it.
Which structures are absent and which are present?
Hydraencephaly
near total abscence of the cerebrum with intract cranial vault, thalamus and brain stem.
Secondary to occlusion of the ICAs.
V - View

Dr Mostafa El-Feky◉ and Dr Mohamed Refaey et al.
Twin to twin transfusion syndrome (TTTS) is a potential complication that can occur in a monochorionic (either MCDA or MCMA) twin pregnancy.
Epidemiology
This complication can occur in ~10% (range 15-25%) of monochorionic pregnancies giving an estimated prevalence of ~1:2000 of all pregnancies.
Clinical presentation
Marked abdominal distension has been described as a clinical feature.
Pathology
TTTS results from unbalanced vascular (arteriovenous and arterioarterial) anastomoses in the placenta - that is, placental circulation is directed predominantly towards one twin and away from the other.
The resultant hypovolaemia and hypoperfusion in one twin and hypervolaemia and hypertension in the other create a cascade of hormonal changes including the renin-angiotensin system. This in turn leads to chronic tubulopathy and oliguria in the hypovolaemic (donor) twin with consequent oligohydramnios, and polyuria and consequent polyhydramnios in the hypervolaemic (recipient) twin.
Staging
The extent of the syndrome can be staged according to severity. One method proposed by Quintero et al. is as 3:
stage I: oligohydramnios/polyhydramnios
stage II: bladder not visible in donor twin
stage III: abnormal Dopplers in either twin
stage IV: hydrops fetalis in either twin*
stage V: in-utero demise of either twin
*almost always in the recipient; rarely in the donor if there is coexistent TAPS - see below.
Variants
Twin anaemia-polycythaemia sequence (TAPS) is a relatively recently described subset of TTTS, which is discussed separately.
Radiographic features
Antenatal ultrasound
Monochorionicity is a prerequisite at any stage of gestation.
Growth discordance is often but not invariably present, and does not contribute to diagnostic criteria.
First trimester
The following findings on a first-trimester ultrasound of a monochorionic pregnancy have been associated with increased risk of developing TTTS, although predictive value remains poor 8:
NT discordance: 20% or more
CRL discordance: 10% or more
ductus venosus reversed a-wave
folding of the inter-twin membrane as an early sign due to a disparity in amniotic fluid volumes (amniotic fluid discordance)
Second and third trimesters
Features that may be noted individually in each twin include:
recipient twin
polyhydramnios (deepest vertical pocket (DVP) >8 cm)
large or constantly cycling urinary bladder
features of cardiac overload
fetal hydrops
fetal cardiomegaly
in certain cases, fetal echocardiography may also show AV valve incompetence
Doppler abnormalities - predominantly venous
donor twin
oligohydramnios (DVP <2 cm), which may result in the twin appearing pinned to the side of the gestational sac: “stuck twin”
small or non-visualised urinary bladder
Doppler abnormalities - predominantly umbilical artery +/- venous
evidence of fetal anaemia
Doppler
absent or reversed diastolic flow in the umbilical artery is an indication of worsening twin-to-twin transfusion syndrome
abnormal ductus venosus waveform pattern suggests the possibility of cardiac diastolic dysfunction
Treatment and prognosis
Serial sonographic monitoring is common practice. In an uncomplicated monochorionic twin pregnancy, TTTS screening should start from 16 weeks gestation with assessment fetal growth, DVPs and umbilical arterial pulsatility index (UA-PI) performed every two weeks. Detailed morphology ultrasound is routine at 20 weeks. Additional fetal middle cerebral arterial-peak systolic velocity (MCA-PSV) is recommended from 22 weeks.
Untreated, TTTS generally carries a poor prognosis, with up to 90% perinatal mortality 8. Laser coagulation of the chorionic plate is the treatment of choice and significantly improves the prognosis for both twins - although both morbidity and mortality remain considerably higher than in non-TTTS monochorionic pregnancies.
Other management options include:
conservative management with surveillance for Quintero stage 1 TTT
serial amnioreduction, where laser treatment is not available 8
Differential diagnosis
General imaging differential considerations include:
other causes of oligohydramnios and/or polyhydramnios, for example related to fetal structural anomalies
isolated placental insufficiency in one of the twins
will not produce polyhydramnios in opposite twin