Chondrocalcinosis
https://dermnetnz.org/topics/alkaptonuria-and-ochronosis/

Hajdu-Cheney syndrome
Dr Máté Cs. Jánvári◉ and Dr Roma Patel et al.
Hajdu-Cheney syndrome is a very rare connective tissue disorder with only 50 cases reported in the literature 7.
Clinical presentation
It is mostly diagnosed in adulthood or adolescence with the presence of a positive family history. There has been no link between severity of disease and age of diagnosis 3. Clinical features include:
short stature; premature loss of dentition; short webbed neck
pseudoclubbing; shortening of digits; pain in digits
optical atrophy; optic disc oedema
hearing loss (conductive or sensorineural)
frontal and occipital headaches (due to basilar invagination)
craniofacial features: frontal bossing, widely spaced eyes, micrognathia, long philtrum, flat nasal bridge, coarse hair, low set ears and a low hairline
Pathology
It is associated with osteoporosis, bony deformities and acro-osteolysis. It follows an autosomal dominant inheritance but can also result from spontaneous de novo mutations.
Genetic markers
Diagnosis involves genetic testing searching for the truncating mutation in the terminal exon of NOTCH2 4.
Associations
congenital heart disease (VSD, ASD, PDA, Mitral regurgitation)
polycystic kidney disease
recurrent respiratory tract infections
Radiographic features
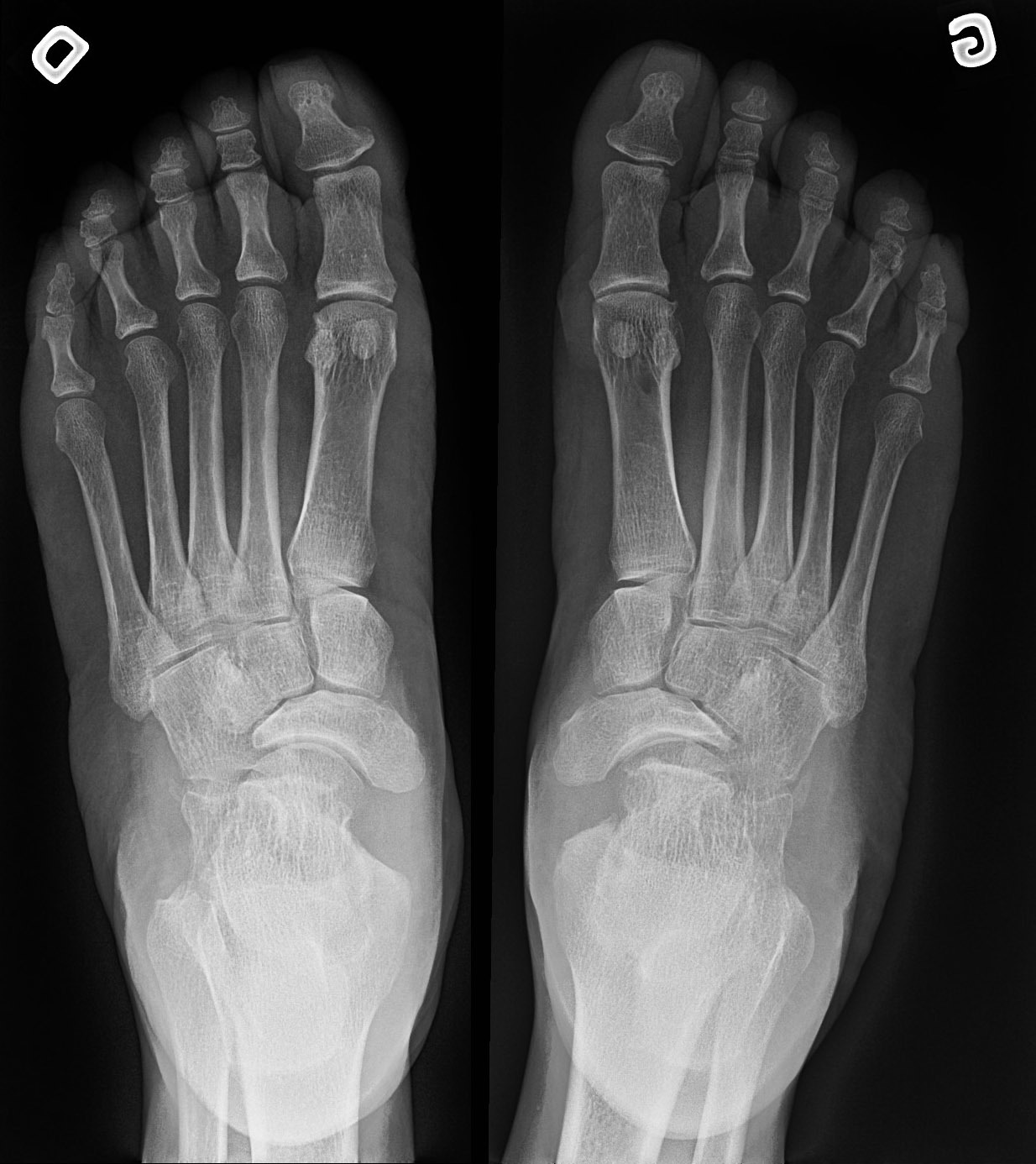
Hands and feet
acro-osteolysis
transverse band of osteolysis in distal phalanges is characteristic
distal to proximal osteolysis is also seen
Skull
bathrocephaly (bulging of squamous occipital bone)
delayed closure of sutures
thickening of the mastoids
aplasia of the frontal sinuses
J-shaped enlarged sella
dolichocephaly
platybasia with or without basilar invagination
Spine
kyphoscoliosis
spondylolisthesis
biconcave vertebrae
Maxillofacial
hypoplastic maxilla
malalignment of teeth
wide mandibular angle
Treatment and prognosis
Management is symptomatic and involves regular follow-up. Prevention of osteoporosis, vitamin D and bisphosphonates may also have a role 6.
History and etymology
First described by Nicholas Hajdu (1908–1987), Hungarian-English radiologist in 1948 as cranioskeletal dysplasia and later in 1965, by William D. Cheney (1899–1985), American radiologist as acro-osteolysis 1,2.
Differential diagnosis
These involve other causes of acro-osteolysis and can be differentiated radiologically 5. Amongst others, they include the following:
hyperparathyroidism
psoriasis
scleroderma
pyknodysostosis
Raynaud’s phenomenon
progeria

Segond fracture
Sign
Fracture of what?
Associations
Segond fracture
Dr Subhan Iqbal◉ and Assoc Prof Frank Gaillard◉◈ et al.
Segond fracture is an avulsion fracture of the knee that involves the lateral aspect of the tibial plateau and is very frequently (~75% of cases) associated with disruption of the anterior cruciate ligament (ACL). On the frontal knee radiograph, it may be referred to as the lateral capsular sign.
Clinical presentation
Contrary to the more common causes of an ACL tear, which typically involve a valgus stress 3, a Segond fracture usually occurs as a result of internal rotation and varus stress 1,4. Typically these injuries are seen in two settings:
falls
sports: especially soccer, skiing, basketball and baseball 4,10
Pathology
Somewhat surprisingly, the exact cause of a Segond fracture continues to be contentious. The conventional teaching has been that it is the result of avulsion of the middle third of the lateral capsular ligaments 7. Other candidate structures include the iliotibial band and anterior oblique band of the fibular collateral ligament 3.
In 2017, the ALL expert group released a consensus paper 8 recognising the presence of the anterolateral ligament 9, and noted a constant attachment to the lateral meniscus. However, the ALL is inconsistently identified on MRI 7.
Radiographic features
Plain radiograph
The classical appearance of a Segond fracture is that of a curvilinear or elliptic bone fragment projected parallel to the lateral aspect of the tibial plateau. This has been referred to as the lateral capsular sign 1, which is best seen on the anteroposterior view of the knee.
MRI
MRI is essential in all cases of Segond fractures to identify internal derangement. Disruption of the ACL is the most common, however, there are additional frequently encountered injuries.
Associated injuries include 1,3:
ACL tear
most common associated injury
75-100% of cases 6
medial or lateral meniscal tear
66-75% of cases 6
posterior horn most common
avulsion of ACL from the tibial attachment: rare
avulsion of fibular attachment of the long head of biceps femoris
avulsion of the fibular collateral ligament
Treatment and prognosis
Although the fracture itself is small, the extensive ligamentous injury associated with it usually requires surgical intervention, to correct anterior rotational instability 4. Healing of the Segond fracture is associated with a particular bone excrescence arising below the lateral tibial plateau.
History and etymology
First described by Paul Ferdinand Segond, French surgeon (1851-1912) based on cadaveric experiments 1,2,4.
Differential diagnosis
Imaging differential considerations include:
arcuate sign: avulsion fracture of the head of the fibula 5
fragment orientated more horizontally

Articular-sided rotator cuff tear
Dr Ammar Haouimi◉ and Dr Joachim Feger◉ et al.
Articular-sided rotator cuff tears are referred to as partial-thickness rotator cuff tears extending from the articular side into the rotator cuff.
Epidemiology
Articular-sided rotator cuff tears commonly occur in athletes with overhead activity 1.
They are more common than bursal-sided tears and most common in overhead athletes 4, but according to cadaver studies less common than intra-substance tears in the general population 5.
Risk factors
throwing sports
overhead sport activity
Pathology
Aetiology
Internal impingement is thought to have a significant role in the occurrence of a partial articular-sided rotator cuff tear and another extrinsic factor is glenohumeral instability. Intrinsic factors include the relative hypovascularity of the distal parts of tendon and the footprint and a decreased overall strength in relation to the bursal side, due to a more random fibre orientation 4,5. In addition trauma either as a single event or repetitive microtrauma is also thought to have a role in the development of articular sided tears 4,5.
Variants
an articular-sided rim rent tear or articular-sided tendon avulsion of the footprint, most commonly the tendon insertion of the supraspinatus tendon is called PASTA lesion.
a partial articular-sided rim rent tear, extending into the tendon substance is called PAINT lesion (partial articular tear with intratendinous extension)
Location
PASTA lesions are most commonly found in the anterior supraspinatus tendon 3
Radiographic features
Ultrasound
focal hypoechoic or anechoic defect of the rotator cuff, extending from the articular side into the tendon substance
MRI
focal non-transmural articular-sided defect of fluid signal intensity of the rotator cuff on fat-saturated T2- weighted or intermediate-weighted images with intact residual fibres
MR/CT arthrography
MR arthrography is preferred over CT arthrography since it is also able to depict bursal-sided or intrasubstance tears 2.
MR and CT arthrography can depict articular-sided tears with intraarticular contrast extending into the tear. The ABER (abduction and external rotation) position is particularly useful to demonstrate intratendinous extensions or PAINT lesion because the tendon fibres become loose when the muscles relax and the contrast fills the delaminated space 1.
Treatment and prognosis
Partial-articular sided tears can be initially treated conservatively for 2-3 months, especially if symptoms are minor or even asymptomatic and include cessation of throwing activities, physical therapy with the focus on rotator cuff strengthening and range of motion 4.
Surgery is indicated for patients, who failed conservative treatment and younger patients with a single acute injury and include debridement and repair the latter especially in larger tears, where more than 75% of the tendon diameter is affected 4,5. PAINT lesions might need more extensive debridement 4 or can be treated with non-absorbable mattress sutures 6.
See also
rotator cuff tear
full-thickness rotator cuff tear
partial-thickness rotator cuff tear
bursal-sided rotator cuff tear
intrasubstance tear
AboutBlogGo ad-free
SEARCH
Rim rent tear of rotator cuff
Dr Joachim Feger◉ and Dr Yuranga Weerakkody◉ et al.
A rim rent tear of the rotator cuff, also known as partial articular surface tendon avulsion (PASTA), is a specific subtype of partial-thickness rotator cuff tear that involves the articular surface footprint at the site of tendon attachment into the greater tubercle 2. This sort of tear is relatively common and also can involve the infraspinatus tendon 3.
History and etymology
The term “rim-rent” was first used by E A Codman in 1934 3-4.
Name this appearance and ddx



Jaccoud arthropathy is a deforming non-erosive arthropathy characterised by ulnar deviation of the second to fifth fingers with metacarpophalangeal joint subluxation.
Clinical presentation
Jaccoud arthropathy is characterised by marked ulnar subluxation and deviation at the metacarpophalangeal joints that is correctable or reducible with physical manipulation 7.
Pathology
It was traditionally described as occurring post-rheumatic fever. It is also seen in association with systemic lupus erythematosus (SLE) and other rheumatic and non-rheumatic conditions including psoriatic arthritis, inflammatory bowel disease and malignancy 5. It is thought to be related to ligamentous laxity 7.
Location
Typically affects the metacarpophalangeal joints but can also affect the proximal interphalangeal joints of the hands, wrists and knees 2.
Radiographic features
Plain radiograph
hand radiographs typically show marked ulnar subluxation and deviation at the metacarpophalangeal joints
absence of erosions is a notable feature, although occasionally “hook” erosions may be observed, which are similar to those seen in SLE and ankylosing spondylitis 6
evidence of muscle (soft tissue) atrophy also may be present
History and etymology
It is named after F S Jaccoud, a French physician, who described the entity in 1869 3.
Differential diagnosis
On imaging, possible considerations include:
rheumatoid arthritis: presence of erosions is a key distinction
Name this appearance and DDx



Morquio syndrome
Dr Mostafa El-Feky and Dr Basab Bhattacharya et al.
Morquio syndrome (in older literature it is sometimes called Morquio-Brailsford syndrome) is an autosomal recessive mucopolysaccharidosis (MPS) type IV.
Epidemiology
Incidence estimated at ~1:40,000.
Clinical presentation
Many cases present at ~2 years of age and have normal intelligence. Clinical features:
severe dwarfism (<4 foot)
joint laxity
corneal opacification/clouding
lymphadenopathy
progressive deafness
spinal kyphoscoliosis
prominent mandible and lower face
short neck
Pathology
It results from an excess of keratan sulphate due to a deficit in its degradation pathway. Keratan sulphate accumulates in various tissues inclusive of cartilage, the nucleus pulposus of the intervertebral disks and corneas.
Radiographic features
Plain radiograph / CT
Axial manifestations
platyspondyly
hypoplasia of odontoid peg
atlantoaxial subluxation
os odontoideum
anterior central vertebral body beaking
round vertebral bodies
coxa valga
goblet shaped flared iliac wings, increased acetabular angles and constricted iliac bone base
Calvarial manifestations
hypertelorism
dolichocephaly
Peripheral musculoskeletal manifestations
metaphyseal flaring in long bones
multiple epiphyseal centres
wide metacarpals with proximal pointing, irregular carpal bones
short and wide tubular bones
pointed proximal metacarpals of index to little finger
flattened femoral epiphyses; risk of lateral subluxation and dislocation
coxa valga
genu valgum
Thoracic manifestations
anterior sternal bowing, increased AP chest diameter, wide ribs
Echocardiography
late-onset aortic regurgitation
Treatment and Prognosis
Life expectancy ranges between 30-40 years. The most common cause of death is cervical myelopathy from C2 abnormality. Patients are also particularly vulnerable to respiratory infection.
History and etymology
Named after Luis Morquio, an Uruguayan paediatrician (1867-1935) 5. James Brailsford (1889-1961) 6 a renowned British radiologist made an important contribution to the understanding of the radiographic appearances of this condition.

what are the 3 dx criteria for this condition


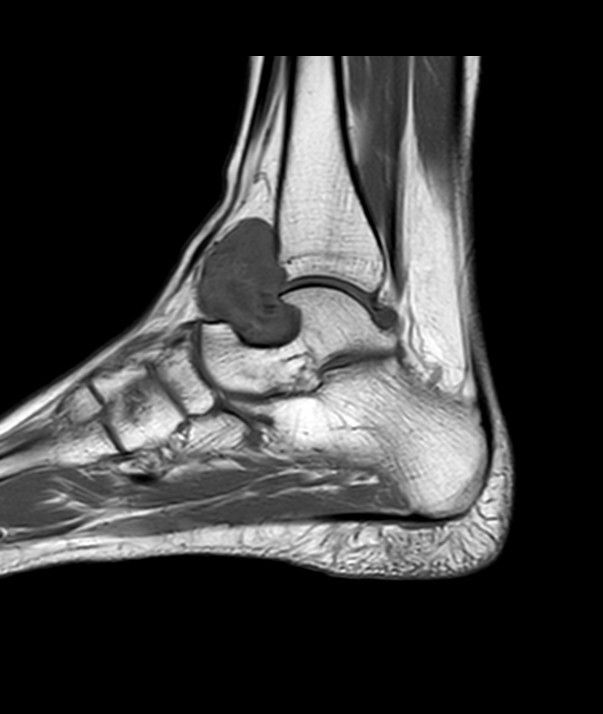
Tenosynovial giant cell tumour

Tenosynovial giant cell tumour
Findings: A well-defined soft tissue mass lesion measuring 3.0 x 3.0 x 5.0 cm is seen just anterior to the right ankle joint. This lesion has heterogeneous T1 and T2 signal intensity and well-defined outer margins showing smooth pressure erosions on the talar neck and distal anterior tibia. No fat component, haemorrhage, or calcifications are seen in it. The lesion shows significant enhancement in the post-contrast study and central degeneration. No bone marrow oedema is seen in the underlying bones. No abnormal ankle joint effusion is seen. The supporting ligaments of the ankle are preserved.
Tenosynovial giant cell tumours are usually benign lesions that arise from the tendon sheath. It is unclear whether these lesions represent neoplasms or merely reactive masses. On imaging, these lesions are commonly demonstrated as localised, solitary, subcutaneous soft tissue nodules, with low T1 and T2 signal and moderate enhancement.
Terminology
Tenosynovial giant cell tumour is the term used in the latest (2013) World Health Organisation classification 10,11. They have previously been known as giant cell tumours of the tendon sheath (GCTTS), pigmented villonodular tumour of the tendon sheath (PVNTS), extra-articular pigmented villonodular tumour of the tendon sheath or localised or focal nodular synovitis 11.
Epidemiology
Typically, they present in the 3rd to 5th decades and have a slight female predilection with an F:M ratio of 1.5-2.1:1 4. They are the second most common soft tissue mass of the hand and wrist.
Clinical presentation
Clinically these masses generally present in the hand (although they are found elsewhere also) as localised swelling with or without pain. They are slow-growing.
Pathology
Tenosynovial giant cell tumours can cause pressure erosion of adjacent bone, or rarely can invade the bone mimicking an intraosseous lesion 8.
Macroscopic appearance
Tenosynovial giant cell tumours have been divided macroscopically into localised or diffuse forms and appear as rubbery multinodular masses that are well circumscribed. They have an enveloping fibrous capsule, and the transected surface of the specimen is variably coloured depending on the relative proportions of fibrous tissue, haemosiderin, and pigmented foam cells 2.
Histology
The tumour is histologically identical to pigmented villonodular synovitis (PVNS) and is composed of fibroblasts and multinucleated giant cells, foamy histiocytes, and inflammatory cells on a background fibrous matrix 1,2.
Radiographic features
Plain radiograph
As these masses arise from tendons, commonly of the hand, they may cause pressure erosions on the underlying bone in 10-20% of cases. More commonly these masses arise from the palmar tendons. The mass itself is of soft tissue density. Periosteal reaction and calcification are uncommon 4,5.
Ultrasound
Ultrasound is useful as it allows not only the characterisation of the lesion but also is able to demonstrate the relationship with the adjacent tendon. On the dynamic scan, there is free movement of the tendon within the lesion. Typically they appear as:
associated with the volar surface of the digits
does not move with flexion or extension of adjacent tendons
usually homogeneously hypoechoic, although some heterogeneity may be seen in echotexture in a minority of cases 1
most will have some internal vascularity
MRI
Not surprisingly, given the histological similarity to PVNS, giant cell tumours of the tendon sheaths also share the same finding on MRI, mainly on account of haemosiderin accumulation.
Signal characteristics
T1: low signal
T2: low signal
T1 C+ (Gd): often show moderate enhancement 6
GE: low and may demonstrate blooming
Treatment and prognosis
Tenosynovial giant cell tumours are usually benign and local surgical excision usually suffices, with local recurrence (seen in 10-20% of cases) requiring more extensive surgery with or without radiotherapy being uncommon 1. Locally aggressive and malignant tenosynovial giant cell tumours can occur 11. Metastases can occur, most commonly to lymph nodes and lung 4.
Differential diagnosis
General imaging differential considerations include:
ganglion cyst
cystic component
attached to underlying joint capsule or tendon sheath 7
if previously ruptured may appear similar 1
pigmented villonodular synovitis (PVNS)
histologically identical
involves larger joints
desmoid tumour
fibroma of the tendon sheath
overlapping imaging features
no susceptibility artifact on gradient echo sequences
histologically diagnosis often needed 11
fibrosarcoma
rheumatoid arthritis nodules
If in the hand consider:
glomangioma: has high T2 signal on MRI

Subchondral insufficiency fracture of the knee
Dr Yuranga Weerakkody◉ and Assoc Prof Frank Gaillard◉◈ et al.
Subchondral insufficiency fracture of the knee (SIF/SIFK) are stress fractures in the femoral condyles or tibial plateau that occur in the absence of acute trauma, typically affecting older adults.
Terminology
The entity subsumes that previously known as spontaneous osteonecrosis of the knee (SONK/SPONK) or Ahlbäck disease. Recognising that spontaneous osteonecrosis of the knee was a misnomer and actually represents a subchondral insufficiency fracture that progressed to subchondral collapse with secondary osteonecrosis, the Society of Skeletal Radiology Subchondral Bone Nomenclature Committee recommended that “subchondral insufficiency fracture” be the preferred term 17.
Epidemiology
Subchondral insufficiency fracture of the knee is seen more frequently in women (M:F 1:3) and affects older patients, typically over the age of 55.
Clinical presentation
Patients often recall an acute onset of severe pain without significant trauma.
Pathology
By definition, secondary osteonecrosis of the knee occurs secondary to an insult. Subchondral insufficiency fracture of the knee is not thought to be caused by bone death but instead by osteoporosis and insufficiency fractures, with histopathologically proven origins in weakened trabeculae and applied microtraumatic forces 6,13.
Radiographic features
It is almost always unilateral, usually affects the medial femoral condyle (but can occasionally involve the tibial plateau 9) and is often associated with a meniscal tear.
Plain radiograph
In the later stages features seen include:
flattening of the medial femoral condyle
subchondral radiolucent focus
complicating subchondral fracture with periosteal reaction
MRI
Features can vary depending on the stage and are best characterised on T2-weighted and proton density-weighted sequences. The following criteria apply to lesions without overlying cartilage abnormalities:
subchondral bone plate fracture 13
in the weight-bearing area of the involved condyle
subtle flattening or a focal depressive deformity
an irregular, discontinuous hypointense line in the subarticular marrow, representing callus and granulation tissue
there may be a fluid-filled cleft within the subchondral bone plate (poor prognostic factor) 13
excavated defect of the articular surface (advanced cases)
focal subchondral area of low signal intensity subjacent to the subchondral bone plate representing local ischaemia (considered most important in early lesions and a specific MRI finding 12)
this area shows no enhancement on post-contrast; if it is thicker than 4 mm or longer than 14 mm, the lesion may be irreversible and may evolve into irreparable epiphyseal collapse and articular destruction
appears as a thickened subchondral bone plate, which represents a fracture with callus and granulation tissue and secondary osteonecrosis in the subarticular region 13
ill-defined bone marrow oedema and a lack of peripheral low signal intensity rim as seen in osteonecrosis and bone infarcts
Associated features that may predict prognosis include:
associated meniscal tear and degree of extrusion
chondrosis severity
Treatment and prognosis
Prognosis varies from complete recovery to total joint collapse 2. Treatment can either be operative or non-operative, with initial treatment often conservative and consisting of analgesia and protected weight bearing. Subchondral hypointense fracture lines tend to resolve with conservative therapy. In more advanced cases, subchondroplasty (where a bone substitute is injected) may be considered.
Differential diagnosis
Possible considerations include:
osteochondritis dissecans of the knee
subchondral stress/fatigue fracture: overuse injuries in patients without associated risk factors 17
History and etymology
It was first systematically described by Ahlbäck in 1968 2.

ABC

AO Spine TLICS Classificaiton


HADD ddx
Causes of Bilateral Distal clavicular osteolysis
PPP-ACRHS



Posterior Dislocation
Dr Henry Knipe◉◈ and Radswiki◉ et al.
The trough line sign is a sign of posterior shoulder dislocation on AP shoulder radiograph.
Pathology
In a posterior dislocation, the anterior aspect of the humeral head becomes impacted against the posterior glenoid rim. With sufficient force, this causes a compression fracture on the anterior aspect of the humeral head. This compression fracture is analogous to the Hill-Sachs compression fracture seen with anterior shoulder dislocation of the glenohumeral joint.
Radiographic features
Plain radiograph
Frontal radiographs reveal two nearly parallel lines in the superomedial aspect of the humeral head.

Essex-Lopresti fracture-dislocation
Intra-articular radial head fracture with a large joint effusion (sail sign), with dorsal dislocation of the ulna at the distal radioulnar joint (DRUJ).
Dr Henry Knipe◉◈ and Assoc Prof Frank Gaillard◉◈ et al.
Essex-Lopresti fracture-dislocation is characterised by a fracture of the radial head, dislocation of the distal radioulnar joint and rupture of the antebrachial interosseous membrane 3.
Epidemiology
As little as 20% of Essex-Lopresti fracture-dislocations are recognised at the time of initial presentation 6.
Clinical presentation
The injury occurs due to the compressive force of trauma transmitted down the forearm through the proximal and distal radioulnar joints and the interosseous membrane 3,4. This usually occurs from a fall or high energy trauma with the elbow extended 4. As a result, there is axial and longitudinal loading that causes pain and instability. The distal radioulnar joint injury may be missed, leading to permanent wrist pain and stiffness or instability. Radiocapitellar impingement due to longitudinal instability may cause lateral elbow pain 4.
Classification
The proposed classification of Essex-Lopresti fracture-dislocation is based on the severity of radial head fracture 5.
type I: large fragments
type II: comminuted
type III: chronic injury with proximal migration of the radial head
Pathology
Rupture of the interosseous membrane results in perturbed transmission of force from the radius to the ulna 7. If not recognised acutely, chronic instability and proximal migration of the radius results in ulna abutment with increased force transmission across the ulnocarpal joint 4.
Radiographic features
Initial radiographs may be unremarkable for Essex-Lopresti fracture-dislocations 6.
Treatment and prognosis
There have been historically poor outcomes in the treatment of longitudinal forearm instability which is particularly complex in the chronic setting 3. The low incidence, late presentations and heterogeneity in study samples presented in the literature preclude researchers reaching safe conclusions and planning of clinical studies 3. A recent study found that radial head replacement with the reconstruction of the interosseous membranes and central band restores radioulnar displacement and ulna forces to near normal 3.
The proposed treatment may be based on the classification type 5.
type I: open reduction and internal fixation
type II: radial head excision and prosthetic replacement
type III: radial head replacement and ulnar shortening osteotomy
History and etymology
It is named after Peter Gordon Essex-Lopresti (1916-1951), a trauma surgeon at Birmingham accident hospital, England 2.


DDx of Enthesopathy
What is the Enthesis?
imaging features xray and uss


4 stages of progression of Pagets

Sclerotic Mets