Croup: - age? - cause?
6 months - 3 years - parainfluenza
Epiglottitis - age? - cause? - cause of death?
3.5 years old, also teens - H. influenzae - asphyxiation from aryepiglottic flods
exudative tracheitis: - age? - cause?
most common soft tissue mass in trachea
subglottic hemangioma
PHACES syndrome
retropharyngeal soft tissues: normal thickness
6 mm at C2 22 mm at C6
Infantile vs. congenital hemangiomas
neonatal pneumonia -GBS vs. non GBS
Neonatal pneumonia
Dr Daniel J Bell◉ and Dr Aditya Shetty et al.
Neonatal pneumonia refers to inflammatory changes of the respiratory system caused by neonatal infection.
Epidemiology
It is one of the leading causes of significant morbidity and mortality in developing countries. Neonatal pneumonia accounts for 10% of global child mortality. At the time of writing it is thought to account for 750,000 to 1.2 million neonatal deaths annually 5.
Risk factors
Exposure to these organisms occurs in the following cases:
rupture of membranes more than 6 hours before delivery
prolonged and complicated labours
premature infants
immune disorder
Clinical presentation
Neutropenia with temperature instability.
Signs and symptoms include:
tachypnoea
chest recession
apnoea
respiratory distress
cough (absent in two-thirds of the cases) 7
Pathology
Aetiology
Occurs with transplacental spread. Aspiration of infected amniotic fluid after prolonged rupture of membranes or during delivery.
Agents
Maternal systemic infection:
rubella
cytomegalovirus
Treponema pallidum
Listeria monocytogenes
tuberculosis
HIV
COVID-19
Most commonly isolated bacteria include:
Streptococci (group A and B)
Staphylococcus aureus
E. coli
Klebsiella
Proteus spp.
Classification
early onset
occurs in the first week of life and as an intrauterine pneumonia
often caused by group B streptococcus or gram negative bacteria
late onset
occurs in subsequent three weeks
often caused by gram positive bacteria
Radiographic features
Plain radiograph
Broad and wide spectrum of abnormalities varying from a normal chest, localised or diffuse alveolar densities, reticular opacities and features similar to respiratory distress syndrome.
The most frequent and characteristic alveolar pattern is dense bilateral air space filling process with numerous air bronchograms.
Complications of respiratory therapy like interstitial emphysema, pneumomediastinum and pneumothorax may also be identified.
Treatment and prognosis
Management usually comprises a similar strategy to neonatal sepsis with antimicrobial therapy. The risk of mortality is heavily reliant on birth weight and age of onset; low birth weight 8 and early onset 6,7 being associated with more fatality.
Differential diagnosis
respiratory distress syndrome
granular densities with air bronchograms
usually no associated pleural effusion
transient tachypnoea of the newborn (TTN)
serial radiographs help differentiate TTN from pneumonia as pneumonia would persist beyond 1-2 days which is the usual duration of TTN
See also
neonatal respiratory distress (causes)
Quiz questions
PIE - timeline - buzzword - treatment - warning sign for? - what is a mimic?
classic appearance for papillomatosis
multiple lung nodules with cavitation - 2% risk for squamous cell cancer
pleuropulmonary blastoma - typical location - calcification? - rib invasion?
most common mass in masticator space of kid
rhabdomyosarcoma
most common extra-ocular, intra-orbital malignancy in children
rhabdomyosarcoma
most common benign orbital mass in child
dermoid
differential for high lung volumes in neonate
differential for low to normal lung volumes in neonate
Transient tachypnea - risk factors - time course -radiographic appearance
risks of surfactant replacement therapy? - was does it mimic
Thymic rebound
pulmonary slings - associations

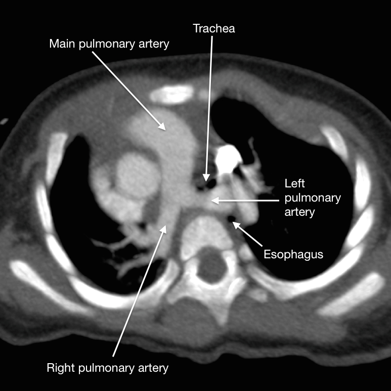
Aberrant left pulmonary artery
Dr Mostafa El-Feky◉ and Dr Hani Makky Al Salam et al.
Aberrant left pulmonary artery, also known as pulmonary sling, represents an anatomical variant characterised by the left pulmonary artery arising from the right pulmonary artery and passing above the right main bronchus and in between the trachea and oesophagus to reach the left lung. It may lead to compression and focal stenosis of the trachea.
Epidemiology
Associations
Other anomalies that can be associated with aberrant left pulmonary artery are:
head and neck
absent thyroid isthmus
thoracic
complete tracheal rings
tracheal stenosis
single lobed left lung
bilobed right lung
congenital lobar overinflation 5
abdominopelvic
imperforate anus
Hirschsprung disease
intestinal malrotation
agenesis of left kidney and ureter
agenesis of gallbladder
musculoskeletal
fusion of third and fourth lumbar vertebrae
diaphragmatic hernia
Clinical presentation
Respiratory distress predominates over oesophageal symptoms, usually presenting early in the neonatal period.
Pathology
Pathogenesis
Aberrant left pulmonary arteries are thought to arise from a failure of formation of the 6th aortic arch. They have an anomalous origin from the posterior wall of the right pulmonary artery before coursing to the left lung passing posterior to the trachea and anterior to the oesophagus.
The term “sling” is best used when the proximal portion of the anomalous vessel impinges on the right main bronchus and causes air trapping of the entire right lung, or right middle or lower lobes.
The second type of aberrant left pulmonary artery, which often is fatal, is associated with long-segment tracheal stenosis. This kind of tracheal stenosis is due to complete tracheal rings.
Radiographic features
Plain radiograph
Conventional radiographs obtained in neonates at birth may show fetal fluid retention or air, with a mediastinal shift usually to the left side.
In adults, a left-sided deviation of the trachea and an anterior bowing of the right main stem bronchus may be seen. In cases of ring sling complex, radiographs often show an absence of unilateral pulmonary aeration.
Fluoroscopy
In most instances, the barium oesophagogram characteristically shows a mass between the trachea and the oesophagus just above the level of the carina, usually seen as an anterior indentation over the oesophagus.
CT/MRI
The main bronchi have horizontal courses (i.e. low T-shaped carina), and vascular anatomy is normally well delineated on CT or MR angiography. Atelectasis may be seen in the upper lobes.
Treatment and prognosis
Repositioning of the artery usually reverses compression, particularly when the underlying tracheobronchial tree is normal.
The mortality rate is high in patients requiring tracheal reconstruction because the stenosis is primary and not due to the vessel.
The success of reconstructive procedures in the rigid trachea can be studied by using three-dimensional CT techniques such as virtual bronchoscopy.
Practical points
it is the only vascular ring to pass between the trachea and oesophagus
it compresses the trachea posteriorly and causes anterior impression over the oesophagus on lateral radiographs
Ladd’s procedure
Pyloric stenosis - age range - criteria - clinical sign
differential for long microcolon
intussusception - time frame - size criteria - classic lead points