Name Spleen variations
4

what is this syndrome?
Associations?
AKAs

Polysplenia syndrome
Polysplenia syndrome, also known as left isomerism, is a type of heterotaxy syndrome where there are multiple spleens congenitally as part of left-sided isomerism.
Epidemiology
The exact cause of polysplenia is unknown. However it is suggested that it is caused by various factors 10:
Pathology
Radiographic features
General
Other characteristic features include:
Associations
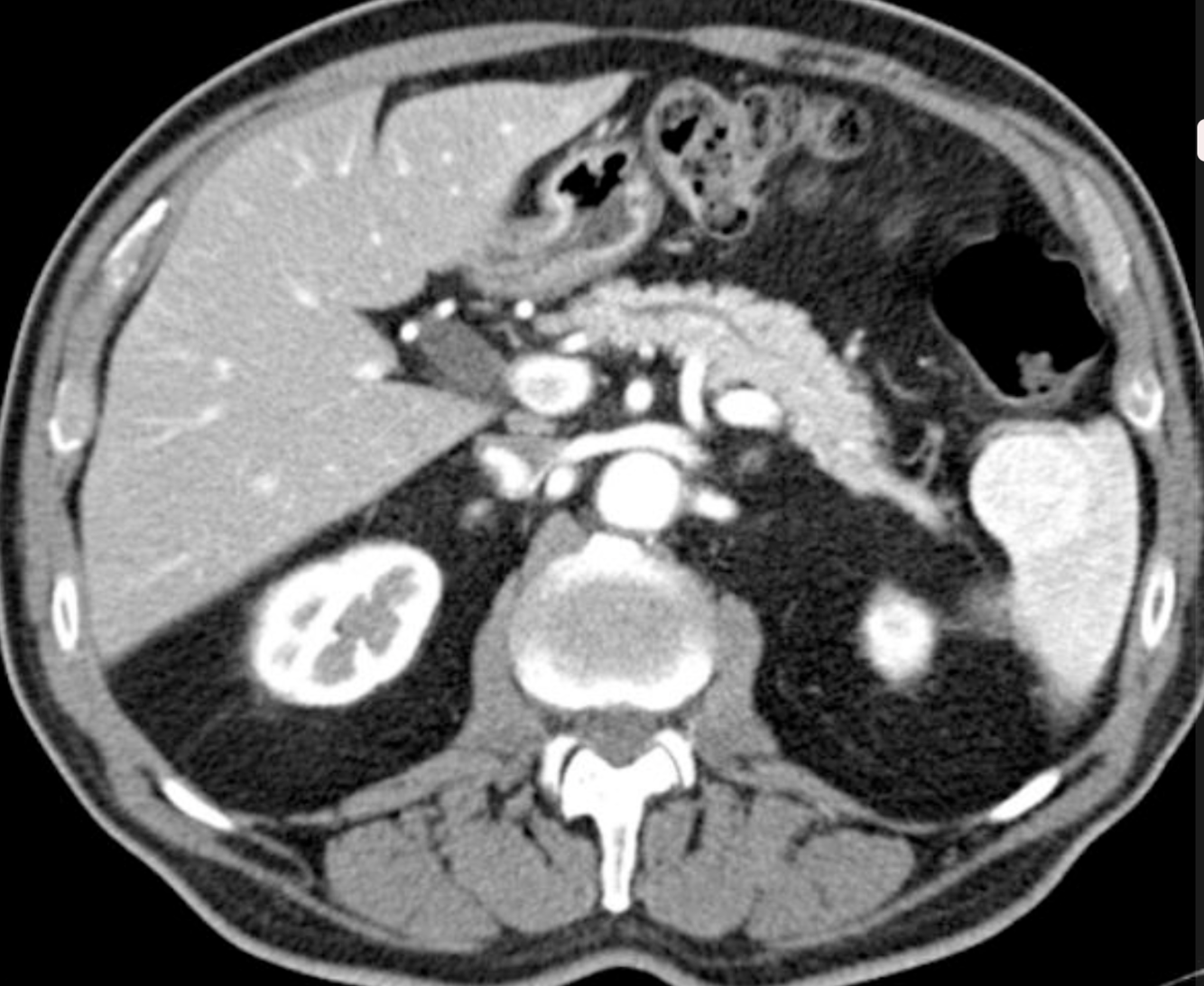
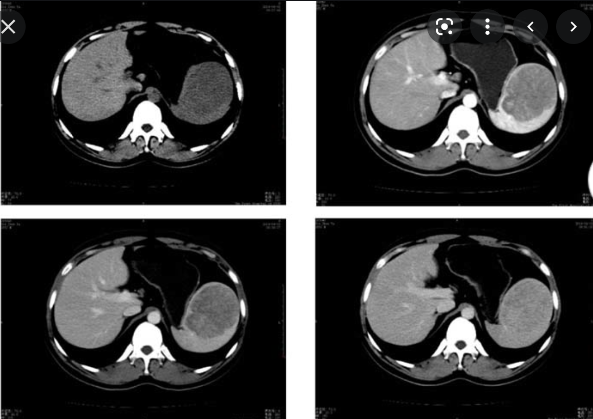
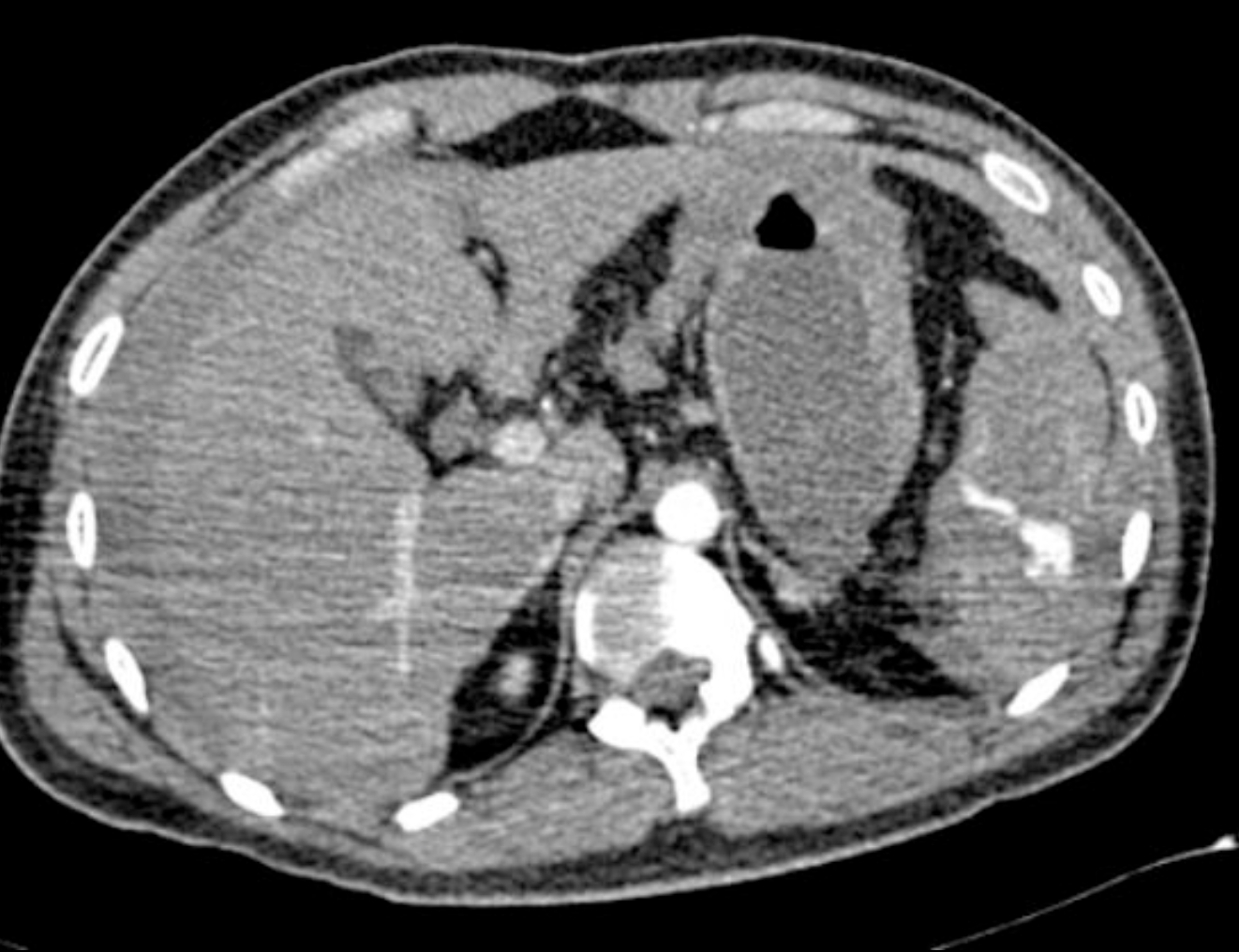
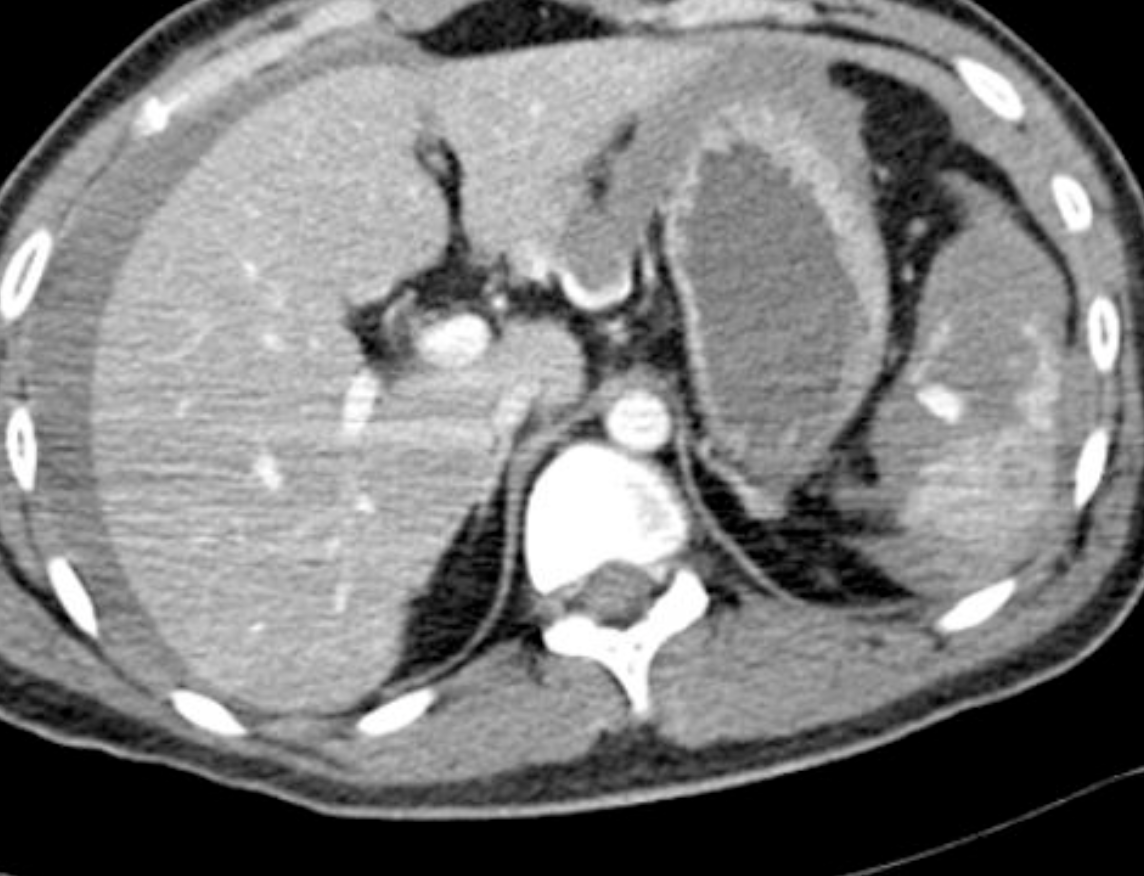
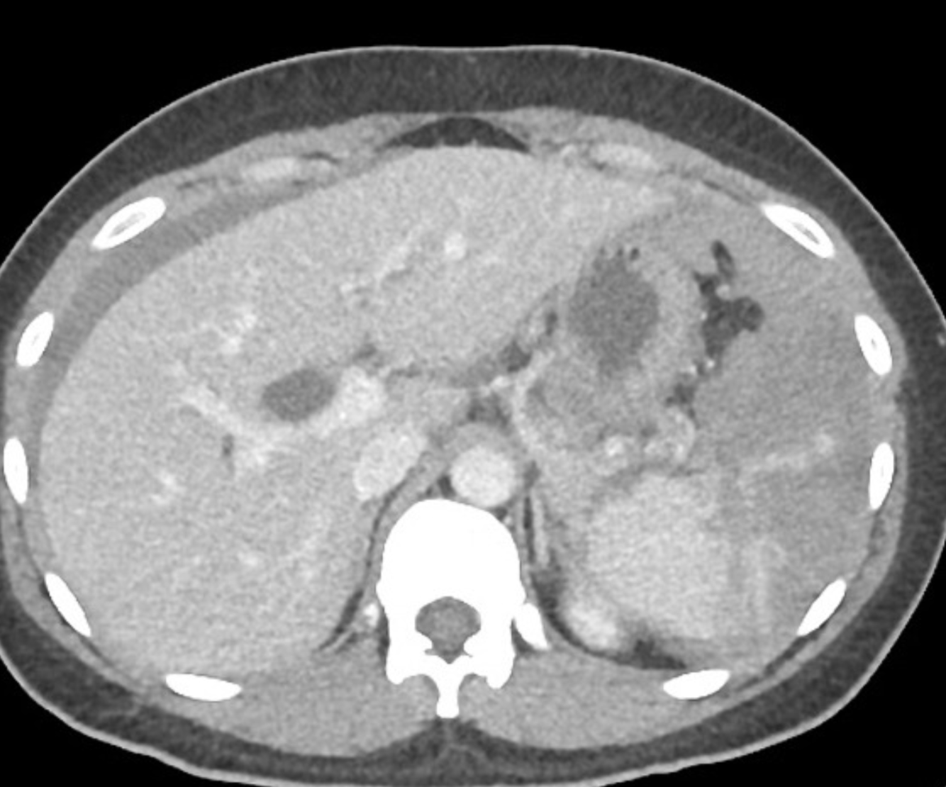
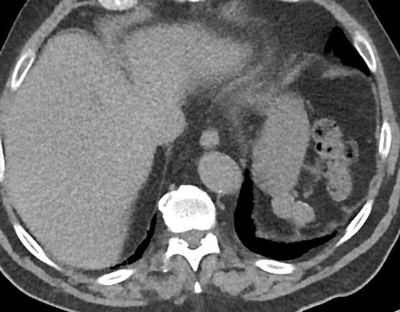
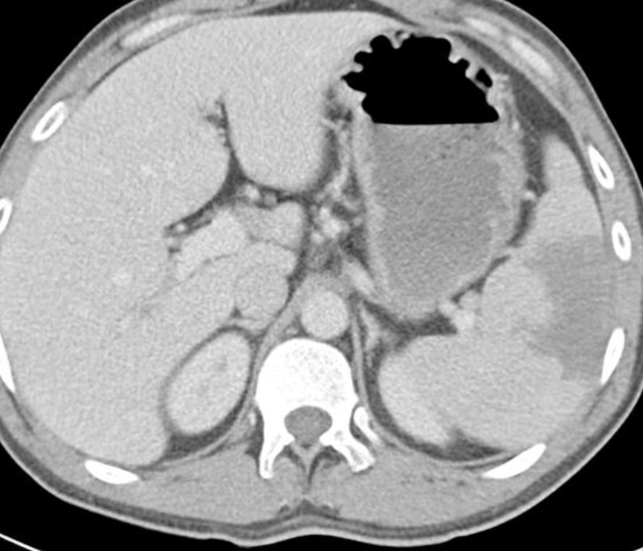
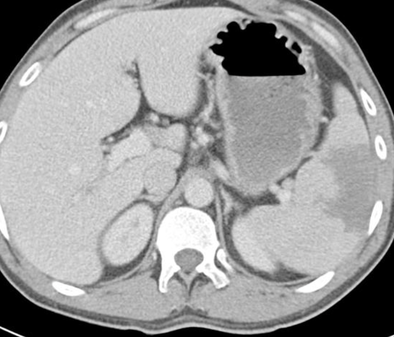
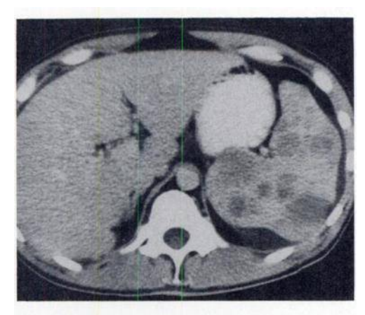
There is inversion of some abdominal structures (liver, spleen and stomach) with thoracic structures in normal position. Multiple splenules are seen on right hypochondrium. The study protocol was made for chest CT.
Case Discussion
Situs inversus partialis refers to any kind of incomplete organs inversion, like in this case. Malformations associations are more frequent in situs inversus partialis than in situs inversus totalis.
Polysplenia refers to multiple small accessory spleens.

Wandering Spleen
Wandering spleen is a rare condition in which the spleen migrates from its usual anatomical position, commonly to the lower abdomen or pelvis.
Epidemiology
Wandering spleen is rare, with a reported incidence of <0.5%.
Diagnosis is most commonly made between ages 20 and 40 years and is more common in multiparous women 1,6.
Clinical presentation
Wandering spleen can be an elusive diagnosis as its presentation is greatly variable and intermittent torsion can cause non-specific signs and symptoms.
It can present as an asymptomatic or painful abdominal mass, intermittent abdominal pain, or as an acute abdomen (e.g. bowel obstruction, acute pancreatitis) 3,4,6.
Pathology
The abnormal mobility of the spleen is caused by an abnormality of its suspensory ligaments. There may be a congenital absence or underdevelopment of these ligaments, or an acquired laxity of the ligaments caused by various conditions, such as pregnancy or diseases causing splenomegaly. Due to these abnormal ligaments a long vascular pedicle may form, containing the splenic vessels, predisposing the spleen to torsion and consequently splenic infarction 4.
Aetiology
There are various causes, mostly related to the splenomegaly.
sickle cell disease
heterotaxy syndrome
lymphoproliferative disease
trauma
mononucleosis
Radiographic features
The often non-specific clinical presentation of wandering spleen makes radiological evaluation invaluable in its diagnosis. Performing the radiological investigations in different positions allows identification of the wandering spleen’s inclination to wander.
Plain radiograph
A wandering spleen is not frequently diagnosed on plain film radiography, but findings on abdominal x-ray may include 3,6:
absence of splenic shadow in the left upper quadrant
space-occupying soft tissue mass in abnormal location
distended bowel loops


Asplenia syndrome
AKA
Epidemiology
Associations
gastrointestinal
genitourinary
vascular
Clinical presentation
Pathology
Radiographic features

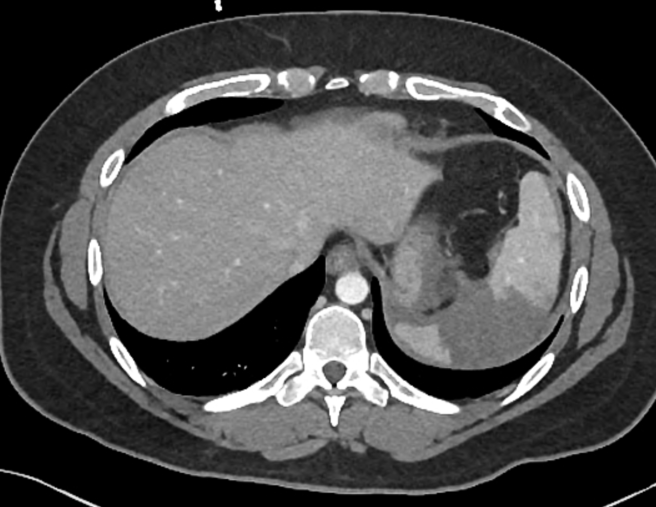
What are the common causes of Splenomegaly
what disease is demonstrated?

what is this?

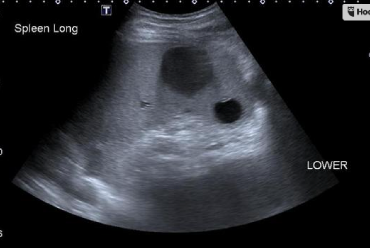
Note that most (~80%) simple-appearing cystic splenic lesions represent secondary cysts or pseudocysts (see Differential diagnosis section below).
In practice, both primary and secondary cysts are often described simply as “splenic cyst” for the sake of simplicity, as often the specific aetiology is not evident.
Epidemiology
They are thought to account for 20% of benign non-parasitic cysts of the spleen 5,8. There may be an increased female predilection.
DDx for a Splenic Cyst

asssociations of this finding

Associations

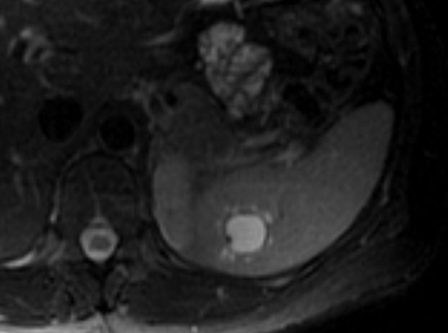
Splenic Hemangioma

Splenic haemangiomas, also known as splenic venous malformations, splenic cavernous malformations, or splenic slow flow venous malformations, while being rare lesions, are considered the second commonest focal lesion involving the spleen after simple splenic cysts 5,12 and the most common primary benign neoplasm of the spleen 6. They are usually found incidentally and have imaging appearances similar to hepatic haemangiomas.

What is this?


what are the most common metastases to the spleen?
what is the most common malignancy of the spleen?
lymphoma. Metastases are less common.

Splenic lymphoma, also termed as lymphomatous involvement of the spleen, represents the most common malignancy to involve the spleen. They are commonly secondary, rarely being primary (referred as primary splenic lymphoma).
This article focuses on the location-specific primary and secondary lymphomas involving the spleen, for a broader and systemic discussion, please refer to the main article on lymphoma.
Epidemiology
The spleen is involved in about 30% of all Hodgkin lymphoma and 30-40% of patients with systemic non-Hodgkin lymphoma (NHL) 2,4. The primary splenic lymphoma is rarer, representing about 2% of all lymphomas 2.
Clinical presentation
Lymphoma can often present with B symptoms (fever, night sweats and weight loss 3), please refer to the main article for further discussion in the systemic presentation.
Both primary and secondary splenic lymphoma may cause left upper quadrant pain 3.
Pathology
Primary splenic lymphomas are in general due to diffuse large B-cell lymphoma (DLBCL) 4. Please refer to the main article on lymphoma for further discussion in the secondary involvement of the spleen.

“Gray weather, Grande Jatte” by Georges Seurat, painted 1888.
Case Discussion
Innumerable small punctate contrast extravasations in a traumatised spleen following motor vehicle accident. This angiographic appearance is often termed ‘Seurat spleen’ because of a likeness to the artwork of French impressionist Georges Seurat (1859 - 1891) who used a pointillistic technique to create an image out of tiny dots. Proximal splenic artery embolisation with coil was performed in this patient who went on to make an uneventful recovery from their splenic trauma.

What is the grading system for splenic Trauma?

what grade trauma is this?

Grade I splenic trauma
Moderate volume of free intraperitoneal fluid, particularly around the spleen which has a small hypodense and superficial cleft posteriorly, suspicious for grade I laceration.
Patchy fat stranding and fluid is seen within the small bowel mesentery, in the region of mesenteric vessels. Small foci of higher density are seen within the fat stranding, immediately adjacent to vessels and suspicious for venous bleeding. The bowel loops themselves show no gross abnormality and there is no free gas.
Lap belt subcutaneous bruising overlies the epicentre of the mesenteric abnormality.
Case Discussion
Injuries demonstrated in this case:
mesenteric tear with (probable) active venous bleeding
grade 1 splenic laceration
What grade Splenic injury is this?

Grade II splenic Trauma
A hypodense laceration involves the posterior aspect of the spleen with intrasplenic haematoma. Right iliopsoas haematoma is noted from a fracture of the posterior right ilium and right side of sacral promontory. Mild free intraperitoneal fluid, mild bilateral basal pleural effusion and green stick fracture of left superior pubic ramus are also noted.
Diagnosis: Grade II splenic injury from blunt abdominal trauma
What grade Splenic injury is this?

There is an intraparenchymal haematoma/laceration measuring > 5 cm which extends to the splenic hilum. Further splenic laceration noted inferiorly. Trace of perisplenic haematoma and free fluid in the pelvis. The overall appearances are in keeping with a grade 3 splenic injury in accordance with the American Association for the Surgery of Trauma (AAST) splenic injury grading.
No bone fractures or injury to other organs. Chest was clear.

What grade Splenic injury is this?

Grade V spleen injury
Annotated images showing the active contrast extravastation from the splenic hilum on both arterial and portal venous phases.
Case Discussion
The spleen is ‘shattered’ into pieces, with active contrast extravasation at the splenic hilum, which extends across the midline towards the hepatic hilum.
High attenuation fluid in the upper abdomen and pelvis in keeping with haemoperitoneum.
This is the highest grade splenic injury (grade 5).
The patient proceeded to an emergency splenectomy, which confirmed the above, including 1.5 litres of blood in the peritoneum, and a bleeding vessel at the splenic hilum.
The concomitant left renal laceration managed conservatively.
Life lesson: motorbikes and alcohol are not sensible friends.

What grade Splenic injury is this?

Extensive splenic lacerations extending to the hilum with areas of devascularisation. No evidence of active bleeding or pseudo-aneurysm. There is extensive haemoperitoneum throughout the abdominopelvic cavity. Cholecystectomy clips are noted along with extrahepatic and first order intrahepatic duct dilatation. Liver is uninjured. Adrenal glands, kidneys and pancreas are uninjured. Bowel is unremarkable. Lung bases are clear. No bony injury identified.
Conclusion:
AAST grade IV splenic injury with extensive haemoperitoneum.
Case Discussion
Further history obtained (after the CT) revealed a fall from 1.5 metres. Patient proceeded to successful splenic embolisation.
what nuc med scan can be used to diagnose this condition?

Splenosis is one type of ectopic splenic tissue (the other being accessory spleen). It is an acquired condition and is defined as autoimplantation of one or more focal deposits of splenic tissue in various compartments of the body.
Abdominal splenosis is seen after abdominal trauma or surgery (e.g. splenectomy). It results from seeding of the peritoneal cavity with splenic tissue which recruits local blood supply. The ectopic splenic foci are typically small, sessile (as they grow on serosal/peritoneal surfaces) and multiple. They may grow over time to become quite sizeable. If located only intrahepatically, they can cause serious diagnostic problems.
A similar process occurring in the thorax is called thoracic splenosis. It is rare and presents as multiple pleurally-based nodules in the left hemithorax. It typically occurs following blunt trauma causing a combination of splenic injury and left diaphragmatic rupture 4.
They are benign*, their greatest importance being the need to distinguish them from more sinister pathology.
*they are benign, but any pathology that can develop in the normal spleen can also arise within the splenic tissue foci
Radiographic features
CT
They are typically rounded or sessile nodules, and have density and enhancing characteristics similar to the rest of the spleen, or expected density of the spleen if there has been a splenectomy.
MRI
Signal characteristics are similar to normal spleen 2
T1: hypointense
T2: hyperintense
T1 C+ (Gd): heterogeneous enhancement
Nuclear medicine
Tc-99m sulfur colloid scan
The diagnosis can be confirmed with Tc-99m sulfur colloid scan which will demonstrate increased uptake as long as the splenunculus is at least 2 cm in diameter; improved sensitivity with hybrid imaging (SPECT-CT) is possible 7.
When Tc-99m sulfur colloid fails to confirm the presence of splenic tissue, Tc-99m-tagged heat-damaged RBC scan (Tc-99m-DRBC) with autologous erythrocytes remains the gold-standard of imaging, being capable of specifically proving splenic tissue 6,8.
Differential diagnosis
Splenosis should not be confused with polysplenia or accessory spleens (splenunculi), which are congenital in origin and retain arterial supply from the splenic artery. They are also composed of normal splenic tissue. Depending on their location they may appear to be arising from various organs, and thus mimic malignancy.
The differential diagnosis for soft tissue nodules includes
peritoneal metastases
enlarged lymph nodes (abdominal lymphadenopathy)
endometriosis
Tc-99m-tagged heat-damaged RBC scan (Tc-99m-DRBC) with autologous erythrocytes shows accumulation in the abdominal cavity, consistent with intra-abdominal splenosis.
Case Discussion
Main concern for intra-abdominal lesions found on CT scan was for metastatic disease. Using heat treated RBC confirmed the functioning splenosis at the various abdominal sites.

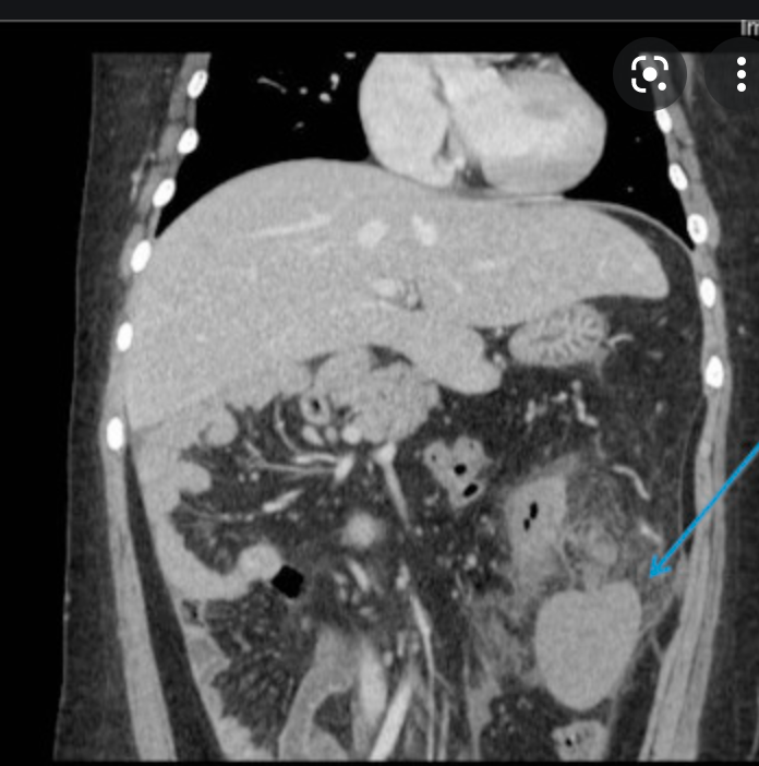
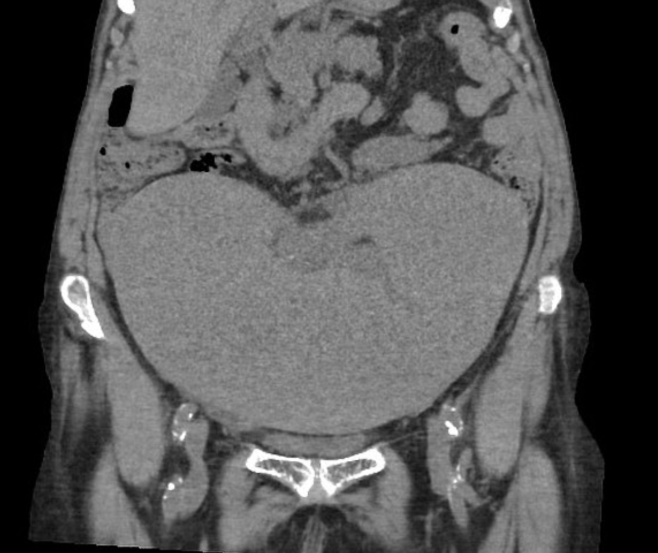
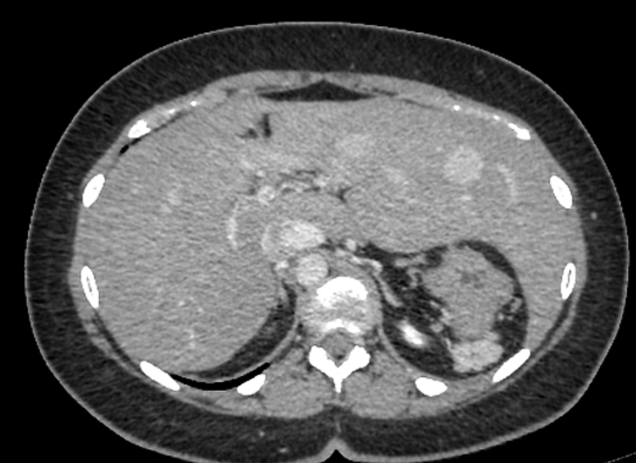
What are the causes of this condition?

The liver is at the upper limit of normal in size and her main portal vein is enlarged measuring 17 mm in diameter. The splenic vein is also enlarged. Focal fatty change is again demonstrated. No focal lesions. The remainder of the upper abdominal solid viscera are unremarkable, with no other infarcts identified. No lymph node enlargement and no focal osseous lesion.
Conclusion
Splenic infarcts is confirmed and presumably accounts of the patient’s presentation. The cause of the patient’s splenomegaly is uncertain, although the main portal vein and splenic vein do appear enlarged as does the liver raising the possibility of portal hypertension. Incidental adrenal adenoma.
Case Discussion
This case highlights the need to remember the differential of regional pain when assessing CT KUB for nephrolithiasis.

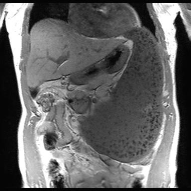
what are the complications of this condition?

splenic infarct complications
Complications
Some complications are encountered, more frequently in patients with an embolic aetiology. These include:
HIV and spleen related pathology
