Allen test
-Test done prior to radial artery access to confirm ulnar flow to the hand - pulse ox placed on middle finger while both ulnar and radial arteries are manually compressed - releasing ulnar artery should improve desaturation
risks of brachial artery access
anticoagulation parameters prior to arterial stick
PICC line: preferred location
National Kidney Foundation- Dialysis Outcome Quality initiative
RIJ > LIJ > REJ> LEJ - do not place PICCs in dialysis patients
ideal balloon dilation
10-20% over normal artery diameter
Embolization using coils
embolization using autologous blood clot
post-traumatic high flow priapism
embolization using PVA
-uterine fibroid embo (PVA or microspheres 500-1000 microns) - bronchial artery embo
rate of thrombosis in permanent IVC filters
10% within 5 years
Situations when you would place a suprarenal IVC filter
slow flow in HD graft? in fistula?
for fistula: < 600 cc/min for graft: < 500 cc/ min
dialysis associated steal syndrome (DASS)
cold, painful fingers/ pale hand during dialysis, relieved by manual compression of the fistula
What is included in MELD score?
What is included in Childs-Pugh score
SIR practice guideline for pre-procedure hold for procedures with moderate risk of bleeding (liver or lung biopsy, abscess drain, vertebroplasty, tunneled line placement)
maximum dose of lidocaine
4-5 mg /kg -7 mg/kg for lido with epi
branches of the internal iliac
anterior: umbilical (gives off superior vesicular), inferior vesicular, obturator, uterine, middle rectal, internal pudendal, inferior gluteal posterior: Iliolumbar, lateral sacral, Superior gluteal
Winslow Pathway
Corona Mortis
vascular connection between obturator and external iliac; vessel courses over superior pubic rim - can be injured in pelvic trauma or surgery
branches of subclavian artery
aortic aneurysm repair sizes
> 6 cm in chest > 5.5 cm if collagen vascular diseas > 5 cm in abdomen
which sinus is most commonly involved by sinus of valsalva aneurysm?

right cusp
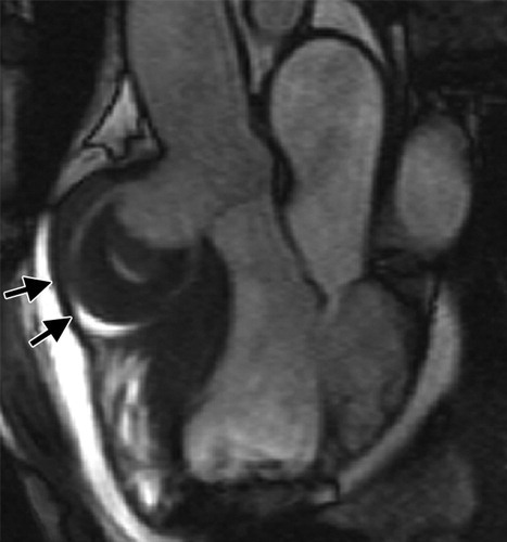
Figure 4a Nonruptured Valsalva sinus aneurysm in an 80-year-old man with chest pain and diaphoresis. (a, b) Oblique coronal (a) and oblique axial (b) balanced SSFP MR images show a 6.7-cm aneurysm (arrows) originating from the right coronary cusp and extending toward the right ventricle. (c, d) Axial contrast-enhanced ECG-gated CT images, obtained with soft-tissue window settings (c) and narrowed soft-tissue window settings (d), 3 days after patch repair, show a small leak of contrast material (arrowhead in d) extending into the aneurysm (arrows).
Abstract
Aneurysms of the Valsalva sinus (aortic sinus) can be congenital or acquired and are rare. They are more common among men than women and among Asians than other ethnic groups. Nonruptured aneurysms may be asymptomatic and incidentally discovered, or they may be symptomatic and manifest acutely with mass effect on adjacent cardiac structures. Ruptured Valsalva sinus aneurysms result in an aortocardiac shunt and may manifest as insidiously progressive congestive heart failure, severe acute chest pain with dyspnea, or, in extreme cases, cardiac arrest. Although both ruptured and nonruptured Valsalva sinus aneurysms may have potentially fatal complications, after treatment the prognosis is excellent. Thus, prompt and accurate diagnosis is critical. Most Valsalva sinus aneurysms are diagnosed on the basis of echocardiography, with or without angiography. However, both electrocardiographically gated computed tomography and magnetic resonance (MR) imaging can provide excellent anatomic depiction, and MR imaging can provide valuable functional information.
Introduction
Valsalva sinus aneurysms are rare and can be either congenital or acquired. Congenital aneurysms may result from localized weakness of the elastic lamina or an underlying deficiency of normal elastic tissue. Acquired aneurysms commonly are caused by infectious diseases such as bacterial endocarditis, syphilis, and tuberculosis; degenerative conditions such as atherosclerosis and cystic medial necrosis; and injury from deceleration trauma. Although rare, Valsalva sinus aneurysms are slightly more common in men and people of Asian descent than they are in other patient groups.
Carotid Doppler - normal PSV in ICA - normal ICA/CCA ratio - normal ICA end diastolic velocity - 50-69% stenosis - > 70% stenosis