Random 11 Flashcards

(100 cards)

1
Q

Whenever the fissure for the ligamentum venosum is seen, the portion of the liver seen anteriorly must be the lateral segment / segment II of the left lobe.

A

Whenever the fissure for the ligamentum venosum is seen, the portion of the liver seen anteriorly must be the lateral segment / segment II of the left lobe.

How well did you know this?
1
Not at all
2
3
4
5
Perfectly
2
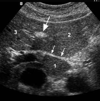
Q
A
  1. CBD
  2. RIGHT hepatic artery
  3. portal vein
  4. IVC
  5. right renal artery
  6. right diaphragmatic crus
  7. cystic duct insertion
How well did you know this?
1
Not at all
2
3
4
5
Perfectly
3
Q
A
  1. portal vein
  2. proper hepatic artery
  3. CBD
How well did you know this?
1
Not at all
2
3
4
5
Perfectly
4
Q
A

Transverse and longitudinal views of

the mediastinum of the testis

How well did you know this?
1
Not at all
2
3
4
5
Perfectly
5
Q
A
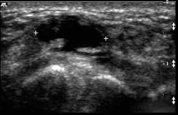
  1. head of epididymis - normally isoechoic to the testis
  2. body of epididymis - normally hypoechoic to the testis
How well did you know this?
1
Not at all
2
3
4
5
Perfectly
6
Q

6 scrotal layers

A
  1. skin
  2. dartos fascia
  3. external spermatic fascia
  4. cremasteric muscle
  5. internal spermatic fascia
  6. tunica vaginalis
  7. tunica albuginea - testicular capsule
    • infolding of tunica albuginea becomes mediastinum
How well did you know this?
1
Not at all
2
3
4
5
Perfectly
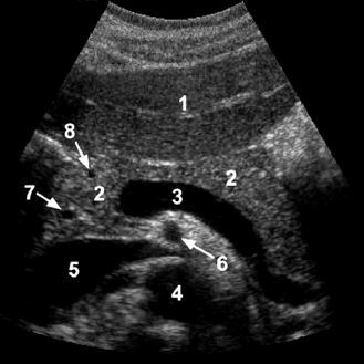
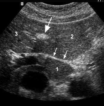
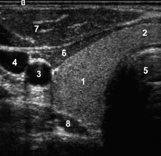
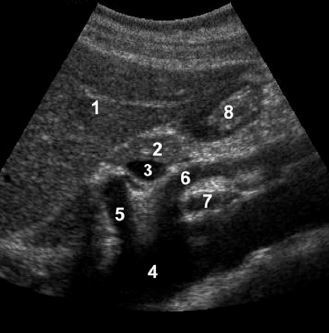
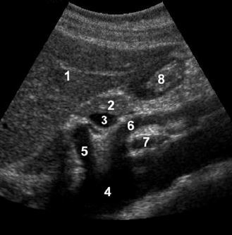
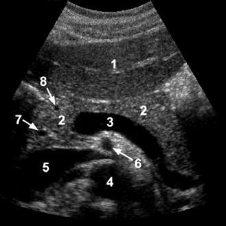
7
Q
A
  1. left lobe of liver
  2. pancreas
  3. porto-splenic confluence
  4. aorta
  5. IVC
  6. SMA
  7. CBD
  8. gastroduodenal artery

The CBD travels in the most posterior aspect of the
pancreas. In fact, it often appears immediately anterior
to the IVC. The gastroduodenal artery arises from the
common hepatic artery and descends along the anterior
aspect of the head of the pancreas. These two structures
often appear as two small anechoic dots on transverse
views of the pancreatic head.

How well did you know this?
1
Not at all
2
3
4
5
Perfectly
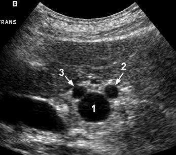
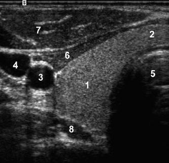
8
Q
A
  1. left lobe of liver
  2. pancreas
  3. splenic vein
  4. aorta
  5. celiac axis
  6. SMA
  7. left renal vein
  8. gastric antrum
How well did you know this?
1
Not at all
2
3
4
5
Perfectly
9
Q

Which is closer to the pancreas,

SMV or SMA?

A
  • SMV is immediately adjacent to the head and uncinate process of the pancreas; SMV is to the right
  • SMA is separated from the pancreas by a ring of echogenic fibrofatty tissue; SMA is to the left
How well did you know this?
1
Not at all
2
3
4
5
Perfectly
10
Q

Grading of hydronephrosis

A
  • Grade 0 - normal sonogram
  • Grade 1 - minimal separation of the central echogenic renal sinus
  • Grade 2 - obvious distention of the renal collecting system
  • Grade 3 - marked distention of the renal collecting system with cortical thinning
How well did you know this?
1
Not at all
2
3
4
5
Perfectly
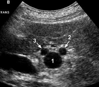
11
Q
A
  1. caudate lobe
  2. segment II/III
  3. segment IV
  • large arrow - ligament teres
  • small arrow - ligamentum venosum
How well did you know this?
1
Not at all
2
3
4
5
Perfectly
12
Q

DDx for focal decreased echogenicity in a tendon

A
  • tendinitis
  • partial tear
  • anisotropy
How well did you know this?
1
Not at all
2
3
4
5
Perfectly
13
Q
A
  1. rotator cuff
  2. cartilage
  3. humeral head
  4. anatomic neck
  5. greater tuberosity
  6. subdeltoid bursa
  7. deltoid muscle
  8. biceps tendon

The intra-articular portion of the biceps tendon
separates the subscapularis and the supraspinatus.

How well did you know this?
1
Not at all
2
3
4
5
Perfectly
14
Q

The caudate lobe drains into the vena cava via
small veins that are separate from the three main
hepatic veins. The caudate veins can function as
collaterals in patients with Budd–Chiari syndrome.

A

The caudate lobe drains into the vena cava via
small veins that are separate from the three main
hepatic veins. The caudate veins can function as
collaterals in patients with Budd–Chiari syndrome.

How well did you know this?
1
Not at all
2
3
4
5
Perfectly
15
Q
A
  1. right thyroid lobe
  2. thyroid isthmus
  3. carotid
  4. IJV
  5. trachea shadow
  6. strap muscles
  7. sternocleidomastoid muscle
  8. longus coli muscle

The thyroid is more echogenic than the overlying strap muscles and the sternocleidomastoid muscles.

How well did you know this?
1
Not at all
2
3
4
5
Perfectly
16
Q
A
  1. thyroid
  2. strap muscles
  3. sternocleidomastoid muscle
  4. cartilage rings of trachea

Normal parathyroid glands are too small to be seen on US.

How well did you know this?
1
Not at all
2
3
4
5
Perfectly
17
Q

What muscles contribute to the Achilles tendon?

In what part of the tendon does rupture normall occur?

A
  • The gastrocnemius and soleus muscles form the Achilles tendon
  • Complete Achilles tendon tears usually occur 2-6 cm proximal to its insertion
How well did you know this?
1
Not at all
2
3
4
5
Perfectly
18
Q

DDx for testicular hyperemia

A
  • orchitis
  • shortly following detorsion
How well did you know this?
1
Not at all
2
3
4
5
Perfectly
19
Q

How to clinically differentiate testicular tumor from focal orchitis?

A
  • testicular tumor - non-tender, palpable
  • focal orchitis - tender, non-palpable
How well did you know this?
1
Not at all
2
3
4
5
Perfectly
20
Q

Location of thyroglossal duct cyst

A
  • tract of the thyroglossal duct extends from foramen cecum (base of the tongue) –> hyoid bone –> thyroid isthmus –> pyramidal lobe
  • 15% - at the level of hyoid bone, midline
  • 65% - just below the hyoid bone, midline
  • 20% - suprahyoid, tend to be off midline
  • unlike cysts elsewhere, thyroglossal duct cysts are usually not anechoic
    • low-level internal echoes
    • due to hemorrhage, infection, crystals, or proteinaceous material
How well did you know this?
1
Not at all
2
3
4
5
Perfectly
21
Q
A
  • non-parenchymal structures, such as extremities and bowel
  • very narrow and sharply pointed systolic peak, rapid systolic deceleratio into diastole, and little, if any, late diastolic flow
  • short phase of diastolic reversal is due to elastic recoild of the artery
  • RI = PS-ED/PS close to 1 for high resistance
How well did you know this?
1
Not at all
2
3
4
5
Perfectly
22
Q
A

Ganglion cyst

  • most common cause of palpable cysts in the wrist and hand
  • most common in young women
  • most common location - dorsal wrist, superficial to the scapholunate joint
    • less common - volar wrist around flexor carpi radialis tendon or radial artery; along the flexor tendon sheaths of the fingers; arise from IP joint, usually due to degenerative OA
  • containing very thick, gelatinous liquid
How well did you know this?
1
Not at all
2
3
4
5
Perfectly
23
Q
A

Acute Appendicitis

How well did you know this?
1
Not at all
2
3
4
5
Perfectly
24
Q

DDx for multiple hypoechoic liver lesions

A

DDx for multiple hypoechoic liver lesions

  • metastases
  • lymphoma
  • multifocal HCC
  • FNH, adenomas
  • abscesses
  • sarcoidosis
How well did you know this?
1
Not at all
2
3
4
5
Perfectly
25
Testicular cysts
* when an intratesticular lesion meet criteria for a simple cyst, it requires no further evaluation * 10% prevalence * more common in elderly men * often occur near the mediastinum * associated with tubular ectasia of the rete testes - both conditions may be caused by outflow obstruction of the seminal fluid
26
Doppler Aliasing Artifact
* aliasing is due to a basic principle of sampling theory = a periodic phenomenon must be sampled at twice its own frequency to be accurately reproduced * increase Doppler scale --\> decrease aliasing * decrease probe frequency --\> decrease aliasing * the frequency shift is proportional to the transmitted frequency * scan at a larger Doppler angle --\> decrease aliasing
27
Post-vasectomy epididymal enlargement
* most frequently visualized in the epididymal body * causes of obstruction * vasectomy * trauma * infection
28
Indications for thyroid biopsy
Indications for thyroid biopsy * nodules \> 1.5cm * solid and hypoechoic * irregular margins * thick halo * microcalcifications
29
Junctional parenchymal defect
Junctional parenchymal defect * 20% of patients * more common on the right * triangular-shaped defect along the anterior renal surface at the junction of upper and middle third * communicating with renal sinus fat
30
Testicular seminoma
* homogeneous, hypoechoic, hypervascular mass - typical for a seminoma * DDx * seminoma * infarct * contusion * hematoma * focal orchitis * focal atrophy * sarcoid * primary tseticular tumors are the most common malignancy in young adults * most common - germ cell tumors * most common - seminoma
31
Kasabach-Merritt Syndrome
Kasabach-Merritt Syndrome Platelet sequestration and destruction by hemangiomas - extremely rare cause of thrombocytopenia
32
Hemangiomas can change over time, even during real time scanning!
Hemangiomas will occasionally change in appearance over time. Typically, they will convert from hyperechoic to hypoechoic. Rarely, they will change echogenicity over a matter of minutes or even seconds. No other hepatic mass has been observed to have this behavior.
33
Exact location of a Baker's cyst
Baker’s cysts occur in the medial aspect of the posterior knee. The cyst arises from fluid accumulation in the bursa between the medial head of the gastrocnemius and the semimembranosus tendon.
34
Upper limit of normal for peripheral intrahepatic ducts is 2mm
Upper limit of normal for peripheral intrahepatic ducts is 2mm
35
US appearance gallstones vs sludge ball vs polyp
* gallstone - echgoenic, mobile, shadowing * sludge ball - echogenic, mobile, non-shadowing * polyp - echogenic, non-mobile, non-shadowing
36
Epididymal cystic lesion
* spermatocele - more common * epididymal cyst - contains serous fluid
37
Pathogenesis of alcohol pancreatitis
Alcohol causes precipitation of proteins that obstruct the ducts, and gallstones produce obstruction when they pass through the bile duct and lodge at the ampulla.
38
Varicocele
Varicoceles are dilated veins of the pampiniform plexus. They are almost always caused by incompetent valves within the internal spermatic vein. Normal peritesticular veins should be less than 2 or 3 mm in diameter. In my experience, they seldom exceed 2 mm. On color Doppler scanning, venous flow in varicoceles is generally too slow to be detected with the patient at rest. Sometimes, this slow flow is apparent on gray-scale imaging. With a Valsalva maneuver, there is augmented retrograde flow in the varicocele that is readily detectable on color Doppler imaging. This augmented flow usually lasts longer than 1 second.
39
Postcatheterization Pseudoaneurysm
Postcatheterization Pseudoaneurysm * The waveform exhibits pandiastolic flow reversal. The normal triphasic pattern has only a short period of flow reversal in early diastole. * "To-and-fro" waveform comes from the neck of a pseudoaneurysm and reflects flow into the aneurysm during systole and flow out of the aneurysm during diastole. * Color Doppler - "yin-yang" appearance * With grayscale imaging - often possible to see the collection expand during systole and contract during diastole. * DDx - hematoma, abscess, adenopathy, and hernia. * Rx - ultrasound-guided thrombin injection.
40
Replaced right hepatic artery
* Normally right hepatic artery runs anterior to the portal vein * If there is an artery runs b/t the PV and IVC, it is most likely to be an anomalous right hepatic artery arising from the SMA * Incidence of replaced or accessory right hepatic artery = 20%
41
Column o Bertin
Column of Bertin
42
Normal portal vein waveform
Normal portal vein waveform * normal portal vein velocity - 15-30 cm/sec * Although the liver is very close to the heart, the hepatic parenchyma and its sinusoidal network effectively isolate the portal vein from the pressure fluctuations in the right heart. For this reason, the portal vein waveform is much less pulsatile than other centrally located veins. However, the normal portal vein waveform usually does have some gentle pulsatility related to the cardiac cycle. * A good rule of thumb is that minimum flow velocities should not drop all the way to the baseline and certainly not below baseline.
43
5-layer gut signature
1. inner hyperechoic layer - interface reflection b/t luminal contents and superficial mucosa 2. inner hypoechoic layer - deep mucosa and muscularis mucosa 3. middle hyperechoic layer - submucosa 4. outer hypoechoic layer - muscularis propria 5. out hyperechoic layer - serosa/adventitia
44
* A transverse temporal bone fracture extends at a right angle to the long axis of the petrous pyramid. It tends to course through the internal auditory canal and cochlea predisposing the patient to facial and auditory nerve damage that may result in facial palsy and sensorineural hearing loss. The ossicular chain is typically not affected. * A longitudinal fracture is the most common type (80%) of temporal bone fractures. The fracture line runs parallel to the long axis of the petrous pyramid. It tends to course through the tympanic membrane and middle ear cavity predisposing the patient to ossicular chain disruption and conductive hearing loss.
* A transverse temporal bone fracture extends at a right angle to the long axis of the petrous pyramid. It tends to course through the internal auditory canal and cochlea predisposing the patient to facial and auditory nerve damage that may result in facial palsy and sensorineural hearing loss. The ossicular chain is typically not affected. * A longitudinal fracture is the most common type (80%) of temporal bone fractures. The fracture line runs parallel to the long axis of the petrous pyramid. It tends to course through the tympanic membrane and middle ear cavity predisposing the patient to ossicular chain disruption and conductive hearing loss.
45
Which is the most common site for post-traumatic ossicular chain disruption? Incudostapedial joint separation
The incus is the least stable ossicle because of its weak attachments to the malleus and stapes with the incudostapedial joint being the most common site of traumatic separation (82%). The malleus is anchored by the tensor tympani muscle and its tendon while the stapes is fastened by the stapedius muscle and its tendon, making dislocations of the malleus and stapes a rare occurrence. Fractures of the stapes crura are also uncommon.
46
"This can also be re-assessed at the time of follow up US."
"This can also be re-assessed at the time of follow up US."
47
DDx for
* porcelain gallbladder - clean shadow * emphysematous cholecystitis - dirty shadow * as well as ring down artifact * only gas can give you ring down artifact! (maybe metal also) * can be differentiated with AXR or CT
48
Porcelain gallbladder vs A gallbladder full of stones
When the calcification is diffuse and thick, the superficial wall of the gallbladder is seen as a bright, curvilinear reflector with an associated shadow. Because of extensive attenuation of the sound pulse, the back wall is not visible when the calcification is thick. If the calcification is thin, enough sound may penetrate the superficial wall in order to image part of or even the entire back wall. Such is the case in this patient. The ability to see the back wall is important because that excludes a gallbladder full of stones from the differential diagnosis.
49
DDx for polypoid nonshadowing lesion in the gallbladder?
* gallbladder polyp * gallbladder cancer * tumerfactive sludge * pus * blood clots can use Doppler flow to distinguish
50
Mangement for gallbladder polyps
* \<5mm - ignore * 5-10mm - follow up * \>10mm - cholecystectomy
51
Cholesterol polyps
* usually pedunculated * most common gallbladder polyp * enlarged papillary fronds filled with lipid-laden macrophages - a form of gallbladder cholesterolosis * "ball on the wall" sign * does *_not_* appear to be associated with an increased incidence of cholesterol stones
52
What cancer has the greatest propensity to metastasize to the gallbladder?
Melanoma
53
Mirror artifact
* air in the lung base and air in the trachea acts as an acoustic mirror
54
What parameters to look at for significant carotid stenosis?
* PSV \> 125cm/s * can be confounded by other factors * high baseline PSV may be due to contralateral ICA or CCA occlusion * low baseline PSV may be due to aortic stenosis or a second more proximal stenosis * ICA/CCA \> 2
55
How to differentiate acute vs chronic hematomas?
* Hyperacute - anechoic * Acute - hyperechoic * Subacute - complex cystic, partially liquefied
56
Pancreatic tail is positioned below the splenic vein, as the splenic vein exits the splenic hilum. Pancreatic tail is usually immediately anterior to the upper pole of the left kidney.
Pancreatic tail is positioned below the splenic vein, as the splenic vein exits the splenic hilum. Pancreatic tail is usually immediately anterior to the upper pole of the left kidney.
57
DDx for multifocal splenic lesions
* metastases * lymphoma * sarcoidosis * abscesses * infarcts
58
Vertebral artery
This abnormality is caused by stenosis of the subclavian artery prior to the origin of the vertebral artery.
59
Morton's neuroma
Morton's neuroma * arise from plantar branch of the digital nerves * most often located in the 2nd and 3rd webspaces of the foot at the level of the metatarsal heads * more common in women * due to perineural fibrosis, likely related to repetitive trauma * pain and paresthesias with walking and marked tenderness to direct palpation * hypoechoic masses
60
DDx for calcifed liver masses
* metastases\* (most common) - colorectal carcinoma most common primary, ovarian, gastric, RCC * infectious/inflammatory - granulomatous disease (TB, histo), echinococcus, healed pyogenic or amebic abscess * primary liver neoplasm - fibrolamellar HCC with calcification in the central scar
61
Chronic calcific pancreatitis is caused by alcohol abuse, not by gallstones.
Chronic calcific pancreatitis is a complication of prolonged alcohol abuse. It is believed that alcohol predisposes to the precipitation of proteins in the side branches of the pancreatic duct. These proteins attract calcium carbonate and form stones that obstruct the peripheral side branches, resulting in an inflammatory response that causes parenchymal damage and, ultimately, periductal fibrosis. Side branch strictures and ectasia result from the scarring and from the intraductal concretions. With more advanced disease, the main pancreatic duct becomes involved, with alternating strictures and dilatation.
62
Up to one-third of patients with chronic pancreatitis have a focal inflammatory mass in the pancreas. These masses are usually located in the pancreatic head and may cause dilatation of the common bile duct and the pancreatic duct. Therefore, they can be difficult to distinguish from pancreatic carcinoma. The presence of calcifications strongly supports the diagnosis of chronic pancreatitis. When calcifications are absent and especially when the mass is hypoechoic, ERCP and biopsy should be considered to further evaluate for possible.
Up to one-third of patients with chronic pancreatitis have a focal inflammatory mass in the pancreas. These masses are usually located in the pancreatic head and may cause dilatation of the common bile duct and the pancreatic duct. Therefore, they can be difficult to distinguish from pancreatic carcinoma. The presence of calcifications strongly supports the diagnosis of chronic pancreatitis. When calcifications are absent and especially when the mass is hypoechoic, ERCP and biopsy should be considered to further evaluate for possible.
63
Tenosynovitis An effusion with thickening and increased vascularity of the tendon sheath around the tendon.
64
Papillary thyroid cancer Psammoma bodies (microcalcifications)
Papillary thyroid cancer Psammoma bodies (microcalcifications)
65
* Cysts of the tunica albuginea are entities distinct from intratesticular cysts. * Typically, they are very firm on physical examination and often are first recognized by the patient. * Since they arise from the tunica albuginea, they are always located at the periphery of the testis. * Although they occur in a range of sizes, they are most often less than 5 mm in diameter.
66
The role of percutaneous biopsy is limited in diagnosing solid renal lesions. Most solid lesions will be rescted regardless. Except:
* if there is a prior history of lymphoma * or if there is history of another primary tumor likely metastasizing to the kidneys
67
Medullary renal cancer is associated with
Sickle cell disease
68
Hydatid cyst can have macroscopic fat in them maybe due to communication with biliary ducts
Hydatid cyst can have macroscopic fat in them maybe due to communication with biliary ducts
69
Which side of the SI joints does sacroilitis starts to occur?
ILIAC side!!! anteroinferior side of SI joints and Iliac side!
70
Isolated gastric varices, what to think about?
Splenic vein thrombosis
71
Most common cerebral arterial aneursym?
* AComm - 30% * ICA at the PComm origin - 25% * MCA bifurcation - 20% * ICA bifurcation - 7.5% * Vertebrobasilar - 10%
72
Upper limits of the yolk sac size
6mm
73
Normal thickness of thymic tissue
Age \< 20 years should not exceed 1.8 cm in maximum transverse (short axis) thickness. If exceed this measurements? Thymic hyperplasia.
74
How does blood flow within a recanalized umbilical vein?
The umbilical vein travels inferior to the liver along the deep aspect of the abdominal wall toward the umbilicus. It eventually connects to the inferior epigastric veins, which then drain into the femoral– iliac system. In some cases, the umbilical vein turns superiorly to communicate with the superior epigastric veins and the internal mammary veins. The umbilical vein normally exits the liver and travels along the anterior abdominal wall toward the umbilicus. As it leaves the liver, it ramifies into paraumbilical veins.
75
Parathyroid adenomas are almost always medial to the carotid artery. A nodule seen lateral to the carotid is much more likely to be a lymph node. The incidence of ectopic parathyroid nodules is approximately 10%.
Parathyroid adenomas are almost always medial to the carotid artery. A nodule seen lateral to the carotid is much more likely to be a lymph node. The incidence of ectopic parathyroid nodules is approximately 10%.
76
Based on the results of the North American Symptomatic Carotid Endarterectomy Trial study, patients with neurologic symptoms benefit from carotid endarterectomy if the diameter stenosis (determined from a carotid arteriogram) is _70% or greater_.
\> 50% stenosis - \> 125cm/s \> 70% stenosis - \> 230cm/s
77
Hepatic target lesions Hyperechoic centrally and hypoechoic peripheral rim DDx
DDx for hepatic target lesions Hyperechoic centrally with hypoechoic peripheral rim DDx * metastases * HCC * lymphoma * abscess The hypoechoic rim represents viable tumor. In fact, when performing percutaneous biopsy of these lesions, the highest yield is from the hypoechoic rim.
78
Ring down artifact causes
Causes of ring down artifact * gas bubbles - msot common * metal (cholecystectomy clips) If a complex fluid collection gives ring down artifact - abscess containg gas locules If echogenic gallbladder wall gives shadowing and ring down - emphysematous cholecystitis If ring down in the gallbladder fossa following cholecystectomy - surgical clips
79
WES - wall echo shadow vs porcelain gallbladder
WES - thin hypoechoic wall superficially
80
Hepatic abscesses can appear as solid lesions on US Look for target lesion appearance and relative posterior acoustic enhancement
Hepatic abscesses can appear as solid lesions on US Look for target lesion appearance and relative posterior acoustic enhancement
81
Normal hepatic vein waveform
Normal hepatic vein waveform ## Footnote During right atrial contraction there is a short period during which the blood flow in the hepatic vein actually reverses and heads back into the liver. This is seen as the short phase of flow above the baseline. As the right atrium relaxes (corresponding to ventricular systole), blood flow rapidly exits the liver and enters the atrium, producing flow below the baseline. As the atrium starts to fill up, the flow out of the liver slows, and the waveform starts to approach the baseline. Then the tricuspid valve opens (at the beginning of ventricular diastole), and the right atrium starts to decompress into the right ventricle. This leads to another period of rapid outflow from the liver into the right atrium, resulting in a second pulse of flow below the baseline. Finally, the right atrium starts to contract again, and the process repeats itself. The end result is a triphasic pattern with one retrograde pulse above the baseline (during atrial contraction) and two antegrade pulses below the baseline. The first antegrade pulse is usually the largest and occurs during ventricular systole. The second antegrade pulse is usually smaller and occurs during ventricular diastole.
82
Thallium vs Sestamibi Cardiac SPECT/CT
* Thallium - taken up by cells via the Na/K ATPase pump (85% first pass extraction fraction) and is cleared predominantly by the kidneys * Sestamibi - lipophilic cationic agent, taken up by cells via passive diffusion (concentrated in the mitochondria) and cleared via the hepatobiliary route. Hence, in addition to the normal biodistribution of the radiotracer, there is also visualization of liver, gallbladder, and bowel
83
Replaced left hepatic artery
The left hepatic artery occasionally arises from the left gastric artery. In such cases, it enters the liver through the fissure for the ligamentum venosum.
84
How to reduce Doppler aliasing ## Footnote Aliasing is a well-known artifact that occurs when the Doppler sampling rate (i.e., the pulse repetition frequency or PRF) is less than twice the Doppler frequency shift.
How to reduce Doppler aliasing * increase Doppler angle (to closer to 90 degrees) * increase Doppler scale * increase pulse repetition frequency * decrease transmitted frequency
85
Is portal venous flow reversal more common in right portal vein or left portal vein
Right portal vein A common portal systemic collateral in patients with portal hypertension is the recanalized umbilical vein, which is supplied by the left portal vein. A common finding in these patients is reversed right portal flow that crosses the portal bifurcation and contributes to antegrade left portal flow and ultimately to flow into the umbilical vein. Thus, flow reversal is more common in the right portal vein.
86
When you see a lesion with "vascular flow" on *_color Doppler_*, what do you do?
Confirm vascularity with *_spectural Doppler_*
87
Islet vs adenocarcinoma which one is more likely to contain calcifications?
Islet cell tumors are more likely to contain calcifications
88
Resistive Index (RI) vs Pulsatility Index (PI)
RI = (PSV-EDV)/PSV PI = (PSV-EDV)/mean velocity
89
Testicular microlithiasis
* calcifications within the seminiferous tubules * usually bilateral * controversial re: whether predisposes to cancer - can recommend annual US followup * classification * classic: \> 5 microliths/view * limited: \< 5 microliths
90
Multilocular cystic nephroma
* a benign renal neoplasm. * consists of multiple cystic spaces that do not communicate with each other or with the renal collecting system. The cysts are epithelium lined and separated by fibrous septations. The lesion is usually well encapsulated. * demographics: * young boys (typically 3 months to 4 years of age) * adult women (older than age 30 years) * surgical resection due to overlapping appearance with cystic RCC
91
Significance of this finding?
Spectral broadening * can be a sign of disordered or turbulent blood flow * but can be typical of small parenchymal vessels * This difference is at least partially related to the relative size of the vessel and the size of the sample volume. In a small vessel, the slow flow at the edge of the vessel wall and the faster flow in the center of the lumen are being sampled simultaneously. In a larger vessel, only the faster flow in the center is being sampled. In addition to large sample volumes, high Doppler gain and high power outputs can also produce spectral broadening in normal vessels.
92
Tiisue Harmonic Imaging THI
With current harmonic imaging technology, only the second harmonic, which is twice the fundamental frequency, is used. In this case, the image was created by transmitting at 1.6 MHz and analyzing the 3.2-MHz harmonic signal after the 1.6-MHz echoes were filtered out. Because the harmonic signal is a higher frequency, axial resolution improves with harmonic imaging. Additionally, the harmonics allow for better focusing, which also improves lateral resolution.
93
What does this indicate?
* in the proper clincial setting, it indicates a proximal arterial stenosis *
94
GIST
* 10-30% malignant * C-KIT positive * may have cystic necrosis, hemorrhage, calcifications * the tumors grow in an exophytic fashion and this can make if difficult to determine where the lesion arises. This growth pattern is particularly true of large lesions. Therefore, it is important to include GIST in the differential diagnosis of large intra-abdominal masses that do not arise from a defined solid organ.
95
* Palpable intratesticular masses are usually malignant * Palpable extratesticular masses are usually benign * Most common benign intratesticular neoplasm - stromal tumor (such as Leydig cell tumors) * Most common palpable extratesticular lesion - spermatocele
* Palpable intratesticular masses are usually malignant * Palpable extratesticular masses are usually benign * Most common benign intratesticular neoplasm - stromal tumor (such as Leydig cell tumors) * Most common palpable extratesticular lesion - spermatocele * Most common extratesticular scrotal neoplasm - adenomatoid tumor
96
Adenomatoid tumor
* benign * most common location - epididymis * homogeneous and small; may be hypo-, iso-, or hyper-echoic to the testis * DDx * inflammatory mass * post-inflammatory scar * sperm granuloma
97
Bladder diverticulum * Which population? * Complications? * Further imaging?
Bladder diverticulum * more common in older male (BPH) * complicatiosn - stasis, stone, infection, cancer * further imaging - often associated with bladder outlet obstruction, therefore post void residual is indicated
98
Thyroid follicular adenoma/carcinoma
* solid, homogeneous * features: a thin, uniform, hypoechoic halo surrounding the tumor
99
FNH * a collection of vessels arranged in a spokewheel configuration. * Central calcification suggests the diagnosis of fibrolamellar hepatocellular carcinoma and would prompt a more aggressive approach. * NM study - sulfur colloid scan - Due to the concentration of Kupffer cells, approximately 60% of FNHs are either more intense or isointense to adjacent liver.
100
Peyronie's disease Peyronie’s disease is fibrosis of the tunica albuginea of the corpora cavernosa.