DDx for terminal ileal tumor
Carcinoid tumor
Buzz word for small bowel lymphoma
NOTE: adenocarcinoma of the sb often causes obstruction!
When you see a large mass in the abdomen that you don’t know where it is arising from
Groove pancreatitis
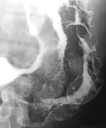
Dx for proximal stomach fold thickening?

Menetrier’s disease

Thorotrast

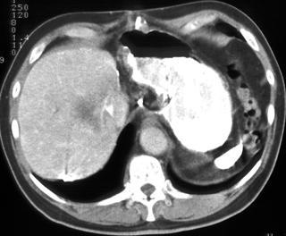
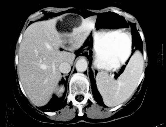
DDx for splenic auto-infarction
Splenic/hepatic calcifications
Space of Retzius
Urachus
Giant fibroepithelial esophageal polyp
Appearance of sclerosing cholangitis
Blood supply to the bile ducts
Bile ducts solely rely on hepatic arteris
Primary biliary cirrhosis
PBC
Appearance of hepatic abscess
usually has ill-defined margins with perilesional edema
Biliary cystadenoma

How to confirm gossypiboma?
Order an X-ray to confirm
Involucrum
Sequestrum
Cloacae formation

Brodie abscess
A Brodie abscess is a subacute osteomyelitis, which may persist for years before converting to a frank osteomyelitis. Classically, this may present after conversion as a draining abscess extending from the tibia out through the shin.
Last place for bone marrow conversion from red marrow to yellow marrow in the tibia?
Proximal metaphysis
What is most important history to get when reporting MSK MR, besides patient’s presenting symptoms?
Previous surgery or not?
To quality meniscal tear
Grading system for meniscal tear