Random 12 Flashcards

(100 cards)

1
Q
  1. capsular artery
  2. centripetal artery
  3. recurrent artery
  4. transmediastinal artery
  5. transmediastinal vein
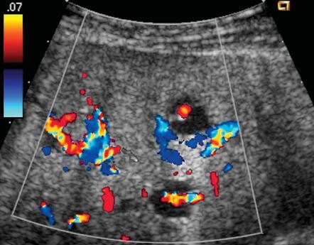
A
  • capsular artery
  • centripetal artery
  • recurrent artery
  • transmediastinal artery
  • transmediastinal vein
How well did you know this?
1
Not at all
2
3
4
5
Perfectly
2
Q

Caroli’s disease

A
  • central dot sign = cystic lesions with central solid components containing blood flow
  • complications
    • biliary stones
    • bild duct obstruction
    • cholangitis
    • liver abscess
    • hepatic fibrosis –> portal hypertension
    • cholangiocarcinoma
  • the kidneys may also be affected with a variety of cystic diseases
How well did you know this?
1
Not at all
2
3
4
5
Perfectly
3
Q

Longitudinal gray-scale and color Doppler views of the thumb in a patient with a palpable mass along the volar surface.

A
  • 2nd most common mass lesion in the hand (most common = ganglion cyst)
  • solid with internal vascularity
  • intimately associated with tendon sheath
  • a benign disorder of proliferative synovium arising from the tendon sheaths
  • histologically identical to PVNS
  • women > men
How well did you know this?
1
Not at all
2
3
4
5
Perfectly
4
Q

Gangrenous cholecystitis

A
  • focal mucosal ulceration
  • sloughed mucosal membranes
  • a focal bulge in the gallbladder wall.
    • This is likely due to the combined effects of progressive increase in intraluminal pressure and focal weakening of the gallbladder wall
  • patients will often have NEGATIVE Murphy’s sign
How well did you know this?
1
Not at all
2
3
4
5
Perfectly
5
Q

Tubular Ectasia of the Rete Testes

A
  • The rete testes are a complex collection of small tubules that are located in the mediastinum of the testis. Fluid from the seminiferous tubules drains into the rete testis and then exits the rete testis via the efferent ductules. The efferent ductules then converge into the head of the
    epididymis.
  • Tubular ectasia of the rete testes is believed to be caused by some degree of outflow obstruction of the seminiferous fluid. Perhaps this is the reason why it is frequently associated with testicular cysts and spermatoceles of the epididymal head. It is also more commonly seen in patients with a history of inguinal surgery, such as hernia repairs and vasectomies.
  • The key to making the diagnosis and distinguishing tubular ectasia of the rete testes from cystic testicular tumors is to note the bilateral involvement when present and to recognize the elongated shape on long-axis views of the testis.
How well did you know this?
1
Not at all
2
3
4
5
Perfectly
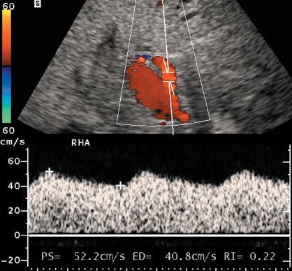
6
Q

Renal artery stenosis

A
  • 5% of total number of patients with HTN
  • criteria
    • PSV > 180-200cm/sec
    • Renal/aortic ratio > 3.0-3.5
How well did you know this?
1
Not at all
2
3
4
5
Perfectly
7
Q

Pleomorphic parotid adenoma

A
  • most common parotid neoplasm - parotid pleomorphic adenoma
  • women > men
    *
How well did you know this?
1
Not at all
2
3
4
5
Perfectly
8
Q

Salivary gland neoplasms

A
  • 85% occur in parotid gland
  • The chance of malignancy increases
    as the size of the gland decreases
    • parotid gland < submandibular gland < sublingual gland
  • most common parotid neoplasm
    • pleomorphic adenoma - solid, homogeneous, hypoechoic
  • 2nd most common parotid neoplasm
    • Warthins tumor - heterogeneous hypoechoic mass with cystic components
How well did you know this?
1
Not at all
2
3
4
5
Perfectly
9
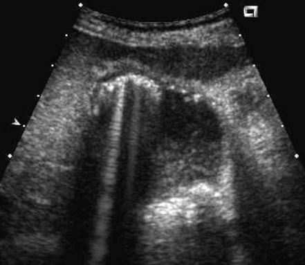
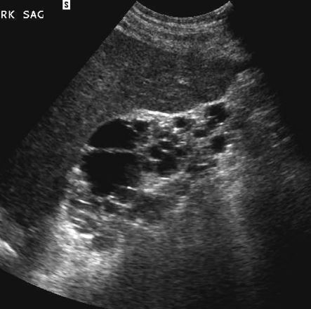
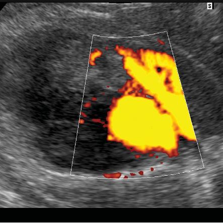
Q

The gray-scale view shows a complex fluid
collection arising from the right kidney. In addition,
there is a simple-appearing, round, cystic structure
within the otherwise complex collection. The
power Doppler view shows flow in the apparent
cyst. All of these findings are consistent with a
pseudoaneurysm and adjacent hematoma.

A
How well did you know this?
1
Not at all
2
3
4
5
Perfectly
10
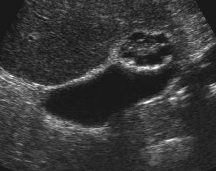
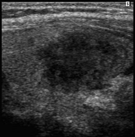
Q

Always put color Doppler on a “simple-appearing” cyst to make suer it is not something else!!!

A

Always put color Doppler on a “simple-appearing” cyst to make suer it is not something else!!!

How well did you know this?
1
Not at all
2
3
4
5
Perfectly
11
Q

DDx for “peritoneal masses” on US

A
  • peritoneal carcinomatosis
  • mesothelioma
  • endometriomas
  • splenosis
  • lymphadenopathy
How well did you know this?
1
Not at all
2
3
4
5
Perfectly
12
Q

Testicular epidermoid cyst

A
  • benign germ cell neoplasm
  • monodermal teratoma - only ectodermal components
  • appearance
    • well-marginated lesoins that are typically hypoechoic
    • hyperechoic rim with complete or partial rim of calcification
    • onion ring/peel appearance
How well did you know this?
1
Not at all
2
3
4
5
Perfectly
13
Q

Renal vein thrombosis

Slowly progressive thrombosis allows for the
development of venous collaterals, and incomplete
thrombosis allows for maintained venous outflow so
that effects on the kidney may be absent or minimal.
On the other hand, complete and rapid thrombosis
results in hemorrhagic infarction of the kidney.

A

Slowly progressive thrombosis allows for the
development of venous collaterals, and incomplete
thrombosis allows for maintained venous outflow so
that effects on the kidney may be absent or minimal.
On the other hand, complete and rapid thrombosis
results in hemorrhagic infarction of the kidney.

It is also important to realize that in native kidneys, arterial inflow may be affected only minimally. This likely is related to venous collaterals that develop and provide continued venous outflow despite venous thrombosis in the main renal vein. In transplants, collateral flow is not possible, so complete RVT results in marked alteration in the arterial signal. This usually produces a classic to-and-fro pattern with pandiastolic arterial flow reversal.

How well did you know this?
1
Not at all
2
3
4
5
Perfectly
14
Q

Thyoid in a patient with neck pain

A

Dx: subacute thyroditis

If there is no neck pain, then think of cancer

How well did you know this?
1
Not at all
2
3
4
5
Perfectly
15
Q

Page kidney

A
  • subcapsular hematoma/fluid collection causes compression
  • elevated resistive index/RI
  • can lead to hypertension
How well did you know this?
1
Not at all
2
3
4
5
Perfectly
16
Q

What are the tendons passing behind the

medial malleolus

vs

lateral malleolus

A
  • passing behind medial malleolus
    • Tom-Dick-Harry
    • posterior tibial
    • flexor digitorium longus
    • flexor hallucis longus
  • passing behind lateral malleolus
    • peroneal longus
    • peroneal brevis
How well did you know this?
1
Not at all
2
3
4
5
Perfectly
17
Q

Adenomyomatosis

A
  • cholesterol crystals in the Rokitansky-Aschoff sinuses
  • bright comet-tail artifacts
  • due to a hyperplastic condition of the gb wall - characterized by small mucosal diverticula that protrude into a thickened layer of muscle - the mucosal diverticula are called Rokitansky-Aschoff sinuses
  • men = women
  • no malignant potential
  • involvement - diffuse, segmental, or focal
    • diffuse - may not be apparent
    • segmental - may have midwall involvement - hourglass appearance
    • focal - often fundal
How well did you know this?
1
Not at all
2
3
4
5
Perfectly
18
Q

Acquired cystic disease of the kidneys

A

NOTE: atrophic, echogenic kidneys!!!

vs inherited polycystic kidney disease!!!

How well did you know this?
1
Not at all
2
3
4
5
Perfectly
19
Q

Emphysematous cholecystitis

A
  • dirty shadow, ring down artifact
  • more common in men - diabetics, vascualr dz
  • surgical rx
How well did you know this?
1
Not at all
2
3
4
5
Perfectly
20
Q

Hashimoto thyroiditis

aka

Chronic autoimmune lymphocytic thyroiditis

A
  • most common cause of hypothyroidism in US
  • women > men
  • autoantibodies against thyroglobulin
  • associated with increased risk of thyroid lymphoma
How well did you know this?
1
Not at all
2
3
4
5
Perfectly
21
Q

The normal portal vein travels
deep to the hepatic artery. Periportal collaterals
travel anterior to the hepatic artery.

A

The normal portal vein travels
deep to the hepatic artery. Periportal collaterals
travel anterior to the hepatic artery.

How well did you know this?
1
Not at all
2
3
4
5
Perfectly
22
Q

Prominent renal papillary tips

A
  • differential diagnosis of nonshadowing soft tissue masses in the renal calyces
    • sloughed papillae
    • blood clots
    • fungus balls
    • TCC
    • malakoplakia
    • leukoplakia
    • cholesteatoma
    • prominent papillary tips
  • always seen with hydronephrosis
  • The normal renal pyramids are cone shaped, with the apex of the cone directed toward the calyx. The rounded
    apex, or papillary tip, protrudes into the calyx, producing the typical cuplike appearance seen on intravenous
    urograms. However, in the setting of hydronephrosis, the calyx may distend with urine, and the papillary tip can become surrounded by the urine in the calyceal fornices. When viewed in long axis, the morphology of the papillary tip is usually easily visible, and its origin is
    recognizable. When viewed in short axis, the papillary tip can simulate a pathologic filling defect in the collecting system. This pitfall is very unusual in native kidneys
    and slightly more common in renal transplants.
How well did you know this?
1
Not at all
2
3
4
5
Perfectly
23
Q

Focal testicular atrophy

A
  • Focal hypoechoic striations and bandlike regions radiating from the periphery of the testis toward the mediastinum.
  • Due to focal tubular atrophy and fibrosis
    *
How well did you know this?
1
Not at all
2
3
4
5
Perfectly
24
Q

HA thrombosis following liver transplant

A
  • Significant hepatic artery stenosis and hepatic artery thrombosis with collateral flow can be detected with Doppler scanning by noting a blunted arterial waveform distal to the stenosis. Blunting can be quantified in several ways.
  • The easiest is by measuring the resistive index. If the resistive index is less than 0.4, the waveform should be considered severely blunted, and a diagnosis of hepatic artery stenosis or thrombosis should be made.
  • In this case, the left hepatic artery serves as a collateral receiving blood from the left gastric artery
  • Since the bile ducts are dependent on hepatic arterial supply, arterial thrombosis causes biliary ischemia and can produce strictures or complete necrosis of the ducts.
How well did you know this?
1
Not at all
2
3
4
5
Perfectly
25
What to check for when you are worried about hydronephrosis urinary obstruction ureteric stone?
Ureteral jets Ureteral jets become abnormal before the renal RI
26
Normal RI of hepatic artery in transplant liver Normal RI of intrerenal artery
* normal RI in hepatic artery in transplant liver \>0.4 * if RI \< 0.4, proximal HA stenosis/thrombosis * normal RI in ntra-renal artery 0.5-0.7
27
Hepatic spectral waveforms of hepatic vein and portal vein
* Inversion of the systolic peak indicates the presence of tricuspid regurgitation. * Recall that there should be antegrade flow out of the liver at all times except during right atrial contraction. In fact, the antegrade flow is divided into a systolic component, which is usually larger, and a diastolic component, which is usually smaller. In this case, there is only one antegrade component (below the baseline). * In the normal liver, the portal venous system is isolated from the right atrial pulsations by the hepatic parenchyma. Therefore, the normal portal venous waveform is only minimally pulsatile. However, when the sinusoids become congested, the right atrial pulsations can be transmitted to the portal vein, and the portal vein waveform becomes abnormally pulsatile. Since some degree of portal vein pulsatility is normal, especially in otherwise healthy thin patients, the point at which a pulsatile portal vein should be called abnormal is not precisely defined. However, if the maximum velocity drops below zero, then right-side heart dysfunction should be considered.
28
In most extrarenal situations, infection causes an associated hyperemia. The kidneys are one of the few organs that respond to infection with a decrease in bloodflow.
In most extrarenal situations, infection causes an associated hyperemia. The kidneys are one of the few organs that respond to infection with a *_decrease_* in bloodflow.
29
Urethral diverticulum
* most female urethral diverticulae develop from an infected paraurethral gland that erodes into the urethra and maintains a persistent patent neck between the urethra and the cavity. * Because these lesions do not contain elements of the urethral wall, they are really pseudodiverticulae.
30
Arterial supply to bile ducts
The bile ducts possess an arterial plexus on their surface which is supplied from below by ascending marginal vessels derived from the postero-superior pancreaticoduodenal artery. These marginal vessels end above in the right hepatic artery or its branches. The right and left hepatic ductal systems are supplied by the right and left hepatic arteries and their sectoral or segmental branches. The right and left hepatic arteries communicate freely via the hilar plate arterial plexus. This collateral system allows the blood supply to the right hepatic duct to be maintained after ligation of the right hepatic artery and interruption of the common hepatic duct or excision of the confluence.
31
Normal portal vein velocity vs Normal portal vein velocity following TIPS
Normal portal vein velocity = 15-40 cm/sec vs Normal portal vein velocity following TIPS \> 30 cm/sec
32
Normal flow velocity within TIPS
Flow velocity in the TIPS should be rapid. In our experience, the normal range for stent velocity is 90 to 190 cm/sec. Higher and lower velocities should both raise the suspicion of a stenosis. In this case, The power Doppler view shows incomplete color fill-in of the stent due to hypoechoic tissue along the wall of the stent. The portal vein waveform shows an abnormally low velocity in the main portal vein (\<30 cm/sec). The stent waveforms show an elevated velocity in the mid stent (\>190 cm/sec) and a discrepancy of velocities in the proximal and in the mid stent (velocity difference of \>100 cm/sec is abnormal).
33
Renal vein thrombosis
* to-and-fro pattern * pandiastolic flow reversal * DDx for this pattern of flow in renal transplant * renal vein thrombosis * severe vascular rejection * tense subcapsular hematoma * look for lack of venous flow in the hilum * Unlike native kidneys, there are no venous collaterals in a transplant, so renal vein thrombosis is much more likely to produce infarction. Therefore, this complication is considered a surgical emergency and requires rapid diagnosis.
34
Killian-Jamieson diverticulum
Killian-Jamieson diverticulum * KJD results from an outpouching of the esophagus into the Killian-Jamieson space _caudal to the cricopharyngeus_ and lateral to the longitudinal esophageal ligament. The location often results in misdiagnosis as a Zenker diverticulum or thyroid nodule. * Zenker's diverticulum - a false diverticulum containing mucosa and submucosa that originates on the posterior wall of the pharyngoesophageal segment as a midline outpouching in Killian dehiscence. Killian dehiscence is the triangular space between the thyropharyngeal portion of the inferior constrictor and the cricopharyngeus muscle. This portion of the pharynx is weak and prone to Zenker diverticula formation. Radiographically, a Zenker diverticulum appears as a sac lying _posterior_ to the cervical esophagus on lateral images and in the midline on frontal images _rostral to the cricopharyngeus_. The sac shown on the esophagram is anterolateral to the esophagus.
35
Where does external jugular vein drain into?
The external jugular vein drains into the subclavian vein lateral to the junction of the subclavian vein and the internal jugular vein.
36
Normal AC and CC joint intervals
* AC = 5mm * CC = 11mm
37
What to think about when you see high parietal cortical infarct and white matter changes?
Watershed infarct Underlying seveve carotid stenosis maybe superimposed hypotension
38
Lisfranc ligament diagonally connects the 1st (medial) cuneiform with the base of the 2nd metatarsal
Lisfranc ligament diagonally connects the 1st (medial) cuneiform with the base of the 2nd metatarsal
39
BANE of my existence
BANE of my existence
40
Pelvic muscle attachments associated avulsion injuries
41
Cardiovascular complications of polycystic kidney disease
* cerebral aneurysm - SAH * aortic aneurysm * aortic dissection * carotid dissection * pericardial cyst * mitral valve prolapse / insufficiency
42
7 up coke down
43
Morphine What does morphine do to your biliary ducts and gallbladder?
* Morphine constricts sphincter of Oddi * biliary duct dilatation * gallbladder distention
44
The anal sphincter is comprised of three layers: ## Footnote * Internal sphincter: continuance of the circular smooth muscle of the rectum, involuntary and contracted during rest, relaxes at defecation. * Intersphincteric space. •External sphincter: voluntary striated muscle, divided in three layers that function as one unit. These three layers are continuous cranially with the puborectal muscle and levator ani (figure). .
45
The puborectal muscle has its origin on both sides of the pubic symphysis, forming a 'sling' around the anorectum. ## Footnote .
46
DDx for hyperdense liver on unenhanced CT
* hemochromatosis * Wilson's disease * amiodarone Rx * glycogen storage disease
47
Lesser vs Greater Wing of the sphenoid
* B - lesser wing * C - greater wing
48
PRES can bleed (20%) can enhance but will NEVER show restricted diffusion!!!
PRES can bleed (20%) can enhance but will NEVER show restricted diffusion!!!
49
* Chloroma (aka granulocytic sarcoma or extramedullary myeloblastoma) is a rare solid tumor composed of primitive granulocytic precursor cells. * Initially named "chloroma" in 1853 due to greenish color of typical forms, caused by high levels of myeloperoxidase in the immature tumor cells. Renamed "granulocytic sarcoma" in 1966, as not all tumor cells are green. * Chloromas have been observed in patients with acute myeloid leukemia (AML), chronic myelogenous leukemia (CML), and other myeloproliferative disorders. * Chloromas occur in 2.5% to 9.1% of AML patients and are five times less common in CML patients. * Location is highly variable, and lesions are often multiple at presentation. Preferentially involve orbits and subcutaneous tissues, but have been described in lymph nodes, paranasal sinuses, bone, spine, pleural and peritoneal cavities, central nervous system, breasts, thyroid, salivary glands, small bowel, lungs, and pelvic organs. * In the chest, chloroma most commonly involves the mediastinum; less commonly involves the lungs, pleura, pericardium, and hila. * Commonly manifests as smooth, well-circumscribed, soft-tissue density masses with variable, typically mild enhancement. * Pleural disease is often associated with pleural effusion. * Protean pulmonary parenchymal manifestations include focal alveolar consolidation, prominent interstitial septal lines, and pulmonary nodules. * Lesions often respond rapidly (often resolving within three months) to radiation therapy or to systemic chemotherapy.
50
CISS sequence
(CISS) This gradient echo sequence is a stimulated T2 echo. Two TrueFISP sequences are acquired with differing RF pulses and than combined for strong T2 Weighted high resolution 3D images. These TrueFISP sequences are normally affected by dark phase dispersion bands, which are caused by patient induced local field inhomogeneities and made prominent by the relatively long TR used. The different excitation pulse regimes offset these bands in the 2 sequences. Combining the images results in a picture free of banding. The image combination is performed automatically after data collection, adding some time to the reconstruction process. The advantage of the 3D CISS sequence is its combination of high signal levels and extremely high spatial resolution. Used for, e.g. inner ear, cranial nerves and cerebellum. See also Steady State Free Precession.
51
Types of odontoid process fracture
52
Hepatic angiosarcoma
* Although primary hepatic angiosarcoma represents only 2% of primary liver tumors, it is the most common malignant mesenchymal tumor of the liver. * The imaging features of hepatic angiosarcoma vary. It may present as multiple nodules, a dominant mass, or as a diffusely infiltrating lesion. * Hepatic angiosarcoma may mimic metastases or benign hemangioma. * RF: arsenic, thorium dioxide (Thorotrast), and polyvinyl chloride. Most tumors arise in the absence of such exposures. * most common in males aged 50–70 * Hepatic angiosarcoma is typically hyperechoic on ultrasound
53
Sinding-Larsen-Johansoon disease vs Patellar sleeve fractures vs Osgood-Schlatter disease
* Sinding-Larsen-Johansson disease (SLJ) affects the proximal end of the patellar tendon as it inserts into the inferior pole of the patella, and represents a chronic traction injury of the immature osteotendinous junction. * Patellar sleeve fracture - same age group; avulsion of inferior pole cartilage often with small fracture fragement * Osgood-Schlatter disease - chronic fatigue injury due to repeated microtrauma to involving the patellar ligament insertion onto the tibial tuberosity.
54
Tubal ring sign
The tubal ring sign is one of the ultrasound signs of a tubal ectopic. It comprises of an echogenic ring which surrounds an unruptured ectopic pregnancy. It is said to be 95% specific.
55
What to think about when you see hyperdense gallbladder and hyperdense bowel lumen without oral contrast?
Vicarious IV contrast excretion through the gallbladder and into the bowel lumen!!!
56
Prominent periventricular spaces can be seen in association with atrophy
Prominent periventricular spaces can be seen in association with atrophy
57
Spin echo will give you flow void artifact while RAGE/gradient echo does not give you flow void artifact
Spin echo will give you flow void artifact while RAGE/gradient echo does not give you flow void artifact
58
DDx for sellar/suprasellar lesions
* pituitary adenoma * hypoenhancement relative to pituitary * Rathke's cleft cyst * no enhancement * craniopharyngioma * larger; rarely purely intracystic * cystic and calcifications * meningioma * metastasis * aneurysm * hamartoma of the hypothalamus * most common locations is the floor of the third ventricle * no enhancement
59
DDx for CP angle masses
SAME * schwannoma - vestibular, facial, trigeminal * aneurysm, arachnoid cyst * meningioma, metastasis * epidermoid cyst, ependymoma
60
Posterior wall of the acetabulum should always be lateral to the anterior wall of the acetabulum AND they shouldn't intersect
1. POSTERIOR wall of the acetabulum 2. ANTERIOR wall of the acetabulum 3. roof of the acetabulum 4. tear drop 5. ilioischial line - posterior column 6. iliopectineal line - anterior column
61
Dysembryoplastic neuroepithelial tumours (DNET)
* slow growing, benign tumor * arise from cortical or deep gray matter * arise from secondary germinal layers and are frequently associated with cortical dysplasia * most common location - temporal lobe * CT * hypodense * no enhancement * calcification 20-40% * scalloping of inner table of the skull * MR * T1 hypo * T2 high - "bubbly appearance" * DWI - no restriction * T1 post gad - may show enhancement
62
When reading lumbar spine for degenerative disease
* spinal canal - 3 zones * central zone * lateral recesses x 2 * neuroforamina x 2 * when you don't see the nerve root --\> must be severe compression * prominent epidural fat/epidural lipomatosis can cause central canal stenosis! * look for concave contour of the thecal sac for mass effect
63
Haglund deformity
* Haglund syndrome is an important cause of retrocalcaneal pain that is manifested by a triad of features: * a prominent bursal projection of the posterosuperior calcaneus (the Haglund deformity), * retrocalcaneal bursitis, * Achilles insertional tendinopathy.
64
Haglund syndrome is an important cause of retrocalcaneal pain that is manifested by a triad of features: a prominent bursal projection of the posterosuperior calcaneus (the Haglund deformity), retrocalcaneal bursitis, and Achilles insertional tendinopathy.
It has been proposed that the bony Haglund deformity contributes to impingement of the retrocalcaneal bursa and the distal Achilles tendon. A soft-tissue prominence is often observed at the posterior heel and has been designated the “pump bump,” owing its name to the classic association of Haglund syndrome with rigid, closed-heel shoes.
65
Normal hepatic artery RI
0.55-0.7
66
Normal hepatic artery waveform a-s-v-d
a - atrial kick - retrograde flow s - ventricular systole - rapid atrial filling; largest trough for antegrade flow v - tricuspid valve close - back to baseline d - ventricular diastole - rapid atrial emptying; second largest trough for antegrade flow
67
How do you differentiate tricuspid regurgitation from right heart failue?
* Tricuspid regurgitation * regurg during ventricular systole * s wave won't be as deep as d wave * Right heart failure * s wave is still the deepest * a wave very tall
68
Laminated appearance of chronic blood products
Only occurs in giant, partially thrombosed aneurysm
69
White matter lesions in the corpus callosum is very atypical for small vessel ischemic disease Consider demyelination
White matter lesions in the corpus callosum is very atypical for small vessel ischemic disease Consider demyelination and vasculitis
70
Hinged knee prosthesis
71
How to find the hippocampus on coronal image?
At the same level as the anterior pons choroidal fissure superiorly temporal horn laterally
72
Elster's rule for the size of the pituitary 6,8,10,12
Height of the pituitary gland * 6mm - infants and children * 8mm - men and postmenopausal women * 10mm - women in childbearing age * 12mm - women in late pregnancy or postpartum
73
74
Drainage of superiro and inferior petrosal sinuses
* Superior petrosal sinus - transverse sinus * Inferior petrosal sinus - IJV
75
Upper limit of a pineal gland?
1cm
76
Risk factors for ovarian vein thrombosis
* pregnancy * PID * gynecological surgery * gynecological malignancy
77
When you see a lesion arising from the adrenal gland what is something you want to rule out??? knee-jerk lesion needs to be ruled out???
Adrenal metastasis
78
Relationship b/t choroid and retina?
79
Most common cause of sciatic nerve injury
Hip arthroplasty
80
The nerve exits the sciatic notch and runs anterior (deep) to piriformis. It then lies posterior (superficial) to the short external rotators (superior gemellus, inferior gemellus and obturator internus). It then runs down the posterior leg where it breaks into its three main divisions at the level of the mid thigh. The terminal branches are the common peroneal and tibial nerve.
The nerve exits the sciatic notch and runs anterior (deep) to piriformis. It then lies posterior (superficial) to the short external rotators (superior gemellus, inferior gemellus and obturator internus). It then runs down the posterior leg where it breaks into its three main divisions at the level of the mid thigh. The terminal branches are the common peroneal and tibial nerve.
81
CHARGE Syndrome
* Coloboma * Heart disease * Choana Atresia * Retarded growth and development * Genital anomalies * deformed Ears or deafness
82
Most common cause of pituitary infundibular thickening in children?
Langerhan cell histiocytosis
83
Erdheim-Chester Disease
* symmetric osteoblastic changes in the long bones * lipid-laiden histiocytes and giant cells in bones and visceral organs * suprasellar and sellar involvement
84
How do you differentiate edema from radiation gliosis?
Edema has POSITIVE mass effect Radiation gliosis has NEGATIVE mass effect
85
"... encroaching but not impinging/compressing the nerve roots"
"... encroaching but not impinging/compressing the nerve roots"
86
DVA caput medusa normal variant no clinical significance if not associated with cavernoma
DVA caput medusa normal variant no clinical significance if not associated with cavernoma
87
What to think about in a patient with malignancy on chemo and radiation who develops new neurological symptoms
* brain metastasis * dural sinus thrombosis * atypical infectiosn * viral: herpes encephalitis * fungal * PRES * due to chemo
88
What's the upper limits of CSF opening pressure? i.e., above which you can diagnose intracranial HTN
\> 18 mmHg
89
Sequence of brain myelination
* inferior to superior * posterior to anterior * myelination: T1 hyper, and T2 hypo * at birth - posterior limb of internal capsule; cerebellar white matter * 10 months - splenium of corpus callosum * 2 years - adult pattern
90
2 most common cause of diabetes insipidus in children loss of posterior pituitary bright spot?
* germinoma * langerhan's histiocytosis
91
Kallman syndrome
* lack of olfactory bulbs - anosmia * panhypopituitism
92
Leukodystrophy
* Alexander disease - frontal lobe predominant * Metachromatic leukodystrophy - tigroid pattern (black lines radiating from ventricles to the cortex) * Krabbe disease - optic nerve enlargement
93
Anterior pituitary is always big and bright in newborns
Anterior pituitary is always big and bright in newborns
94
Infant or newborn with torticollis
Fibromatosis colli
95
Thyroglossal duct cyst
* usually above or at hyoid bone * if infrahyoid, often paramedian in location * make sure there is normal thyroid gland, so that you don't take out the thyroglossal duct cyst without any thyroid tissue left
96
Ranula
* retention cyst of the sublingual gland * medial border - geniohyoid and geniglossus * lateral - mylohyoid * "diving ranula" - when the ranula transgresses from the sublingual to the submandibular space through the mylohyoid muscle
97
Mylohyoid
* sling-like muscle * separates the sublingual from submandibular spaces
98
Branchial cleft cysts
* 1st branchial cleft cyst * adjacent to the external auditory canal * 2nd brachial cleft cyst * anterior and medial to the sternocleidomastoid muscle * notch sign - extension b/t the ECA and ICA * 3rd/4th branchial cleft cyst * piriform sinus * can lead to thyroiditis due to fistulous connection
99
DDx for sclerotic/lytic lesions of the mandible
* osteomyelitis * osteonecrosis * radiation induced * bisphosphonate related * metastasis * primary lesion *
100
Area postrema
* floor of the 4th ventricle * posteroinferior aspect of the 4th ventricle * posterior to the medulla * lack of BBB - chemoreceptor - controls vomiting