Henoch-Schonlein purpura
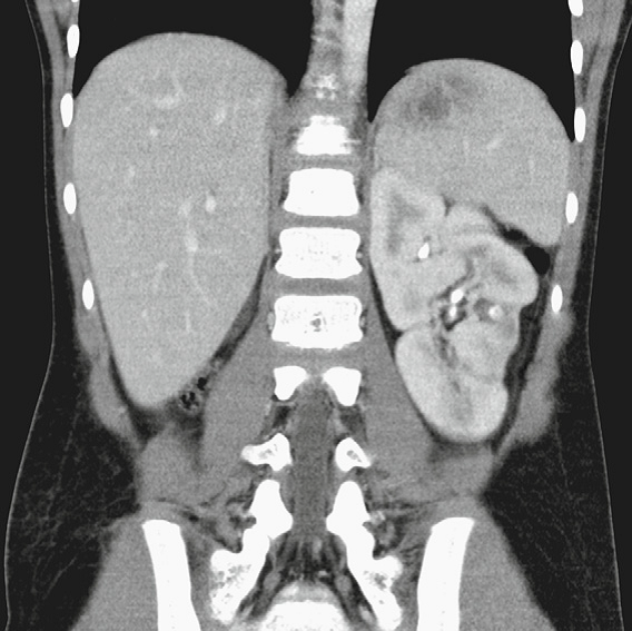
In Henoch-Schonlein purpura, some of the body’s small blood vessels become inflamed, which can cause bleeding in the skin, joints, abdomen and kidneys. HSP –> intussusception! (due to bowel wall bleed and thickening) - usually jejunal (as opposed to ileocecal) - usually long segments
Henoch-Schonlein purpura
Henoch-Schonlein purpura (HEN-awk SHURN-line PUR-pu-ruh)
Cholecystomy tube - you have to make sure cystic duct is patent – contrast HAS to transit all the way to the small bowel!!!
Cholecystomy tube - you have to make sure cystic duct is patent – contrast HAS to transit all the way to the small bowel!!!
After resolution of clinical symptoms and decreased output from the catheter (less than 10 cc per day), abscessogram should be performed to evaluate for residual collection prior to removal.
After resolution of clinical symptoms and decreased output from the catheter (less than 10 cc per day), abscessogram should be performed to evaluate for residual collection prior to removal.
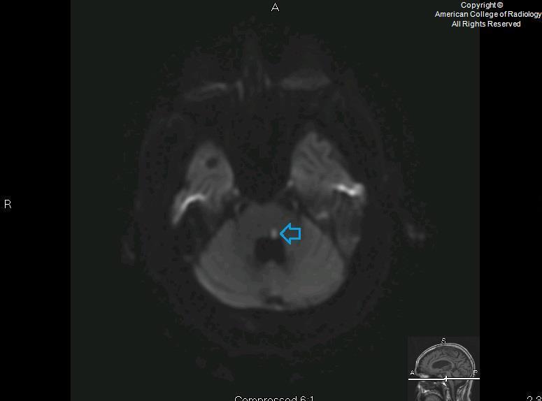
Facial colliculus syndrome


Hemangioendotheliomas tend to
spontaneously involute without therapy over a
course of months to years. Sequential ultrasounds
are often used to follow lesions and
most often demonstrate a progressive decrease
in size and an increase in degree of calcification.
Hemangioendotheliomas tend to
spontaneously involute without therapy over a
course of months to years.
Sequential ultrasounds
are often used to follow lesions and
most often demonstrate a progressive decrease
in size and an increase in degree of calcification.
the dark signal within the spleen (S), which is normal in
neonates. The spleen does not take on the typical high T2-
signal appearance until after the white pulp develops at several
weeks of age.
the dark signal within the spleen (S), which is normal in
neonates. The spleen does not take on the typical high T2-
signal appearance until after the white pulp develops at several
weeks of age.

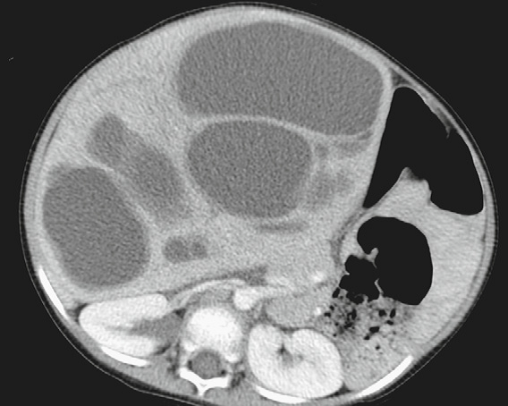
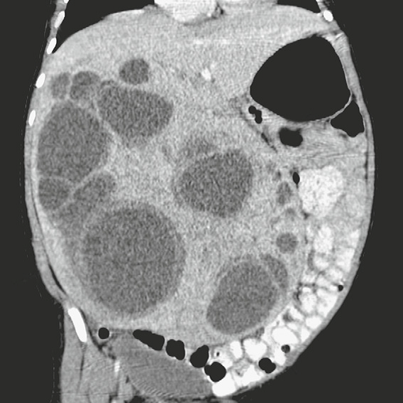
Mesenchymal Hamartoma of the Liver
Large, multilocular, cystic masses with thin internal septations


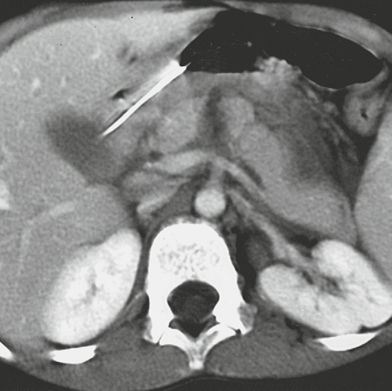
Traumatic pancreatic transection
Fluid (arrowhead) between the pancreas and splenic vein,
a sensitive finding of pancreatic injury.
Pseudomembranous colitis

Acute GVHD of bowel

Immunosuppression related Lymphoproliferative disorders are lymphomalike diseases related to an uncontrolled proliferation
of cells infected by the Ebstein-Barr virus in an immunocompromised host.
PTLD - EBV-related
In older cystic fibrosis patients
“distal intestinal obstruction syndrome”
“meconium ileus” equivalent
In older cystic fibrosis patients
“distal intestinal obstruction syndrome”
“meconium ileus” equivalent
When to image children following UTI?
When to image children following UTI?
Goal of imaging children after UTI?
Imaging studies for a child with UTI?
The left and right kidneys
should normally be within 1 cm of each other.
If there is a discrepancy of more than 1 cm, an
underlying abnormality should be suspected.
The left and right kidneys should normally be within 1 cm of each other. If there is a discrepancy of more than 1 cm, an underlying abnormality should be suspected.
Techniques for voiding cystourethrogram (VCUG)
Classic testicular microlithiasis is defined as five or more echogenic foci per view in either or both testes,
and
limited testicular microlithiasis defined as one or more echogenic foci that do not satisfy the criteria for classic testicular microlithiasis.
Classic testicular microlithiasis is defined as five or more echogenic foci per view in either or both testes,
and
limited testicular microlithiasis defined as one or more echogenic foci that do not satisfy the criteria for classic testicular microlithiasis.
External anal sphincter - leavator ani muscle
Internal anal sphincter - circular muscle of the anal canal
External anal sphincter - leavator ani muscle
Internal anal sphincter - circular muscle of the anal canal
GI lipoma/lipomatosis

GI lipoma/lipomatosis
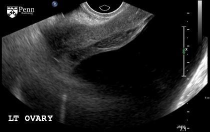
Peritoneal inclusion cyst

Peritoneal inclusion cyst
Imaging features
Ovary may lie in center of cyst, suspended by thin adhesions, like a spider in a web.
Ovary may be eccentrically located within the cyst, adherent to the cyst wall.
Ovary may lie within the cyst wall.
Adjacent ovary will be normal in appearance, though may be slightly distorted due to mass effect.
No enhancing components will be identified on contrast-enhanced CT or MRI; the adjacent normal ovary should not be confused with a mural nodule.
Low-resistance flow may be detected in septations on Doppler flow ultrasonography due to small vessels traversing the mesothelial tissue in the cyst walls.
DDx


In pediatric patients in whom there is clinical difficulty in distinguishing an upper from a lower UTI, cortical scintigraphy using dimercaptosuccinic acid (DMSA) has been advocated as being the most sensitive test. In the case of pyelonephritis, this study demonstrates single or multiple areas of lack of renal uptake of the radiotracer. These areas tend to be triangular and peripheral.
In pediatric patients in whom there is clinical difficulty in distinguishing an upper from a lower UTI, cortical scintigraphy using dimercaptosuccinic acid (DMSA) has been advocated as being the most sensitive test. In the case of pyelonephritis, this study demonstrates single or multiple areas of lack of renal uptake of the radiotracer. These areas tend to be triangular and peripheral.
Renal scarring (cortical thinning)
vs
Fetal lobulation
The loss of renal cortical substance as seen by ultrasound, most commonly at one of the renal poles, is suggestive of the diagnosis.
This should not be confused with fetal lobulation (also known as an interrenicular septum, a normal variant.
In pyelonephrotic scarring, the indentations of the renal contour
tend to overlie the renal calyces, whereas in fetal lobulation, the indentations are between renal calyces.

EVALUATION OF PRENATALLY
DIAGNOSED HYDRONEPHROSIS
The controversy revolves around the timing of the ultrasound evaluation. In neonates, there is a relative state of dehydration
that occurs after the first 24 hours of life. Reports have shown that this relative state of dehydration can lead to underestimation or nondetection of hydronephrosis by ultrasound. Therefore, it is recommended that the postnatal evaluation of prenatally diagnosed hydronephrosis be performed during the first 24 hours of life or after 1 week of age.
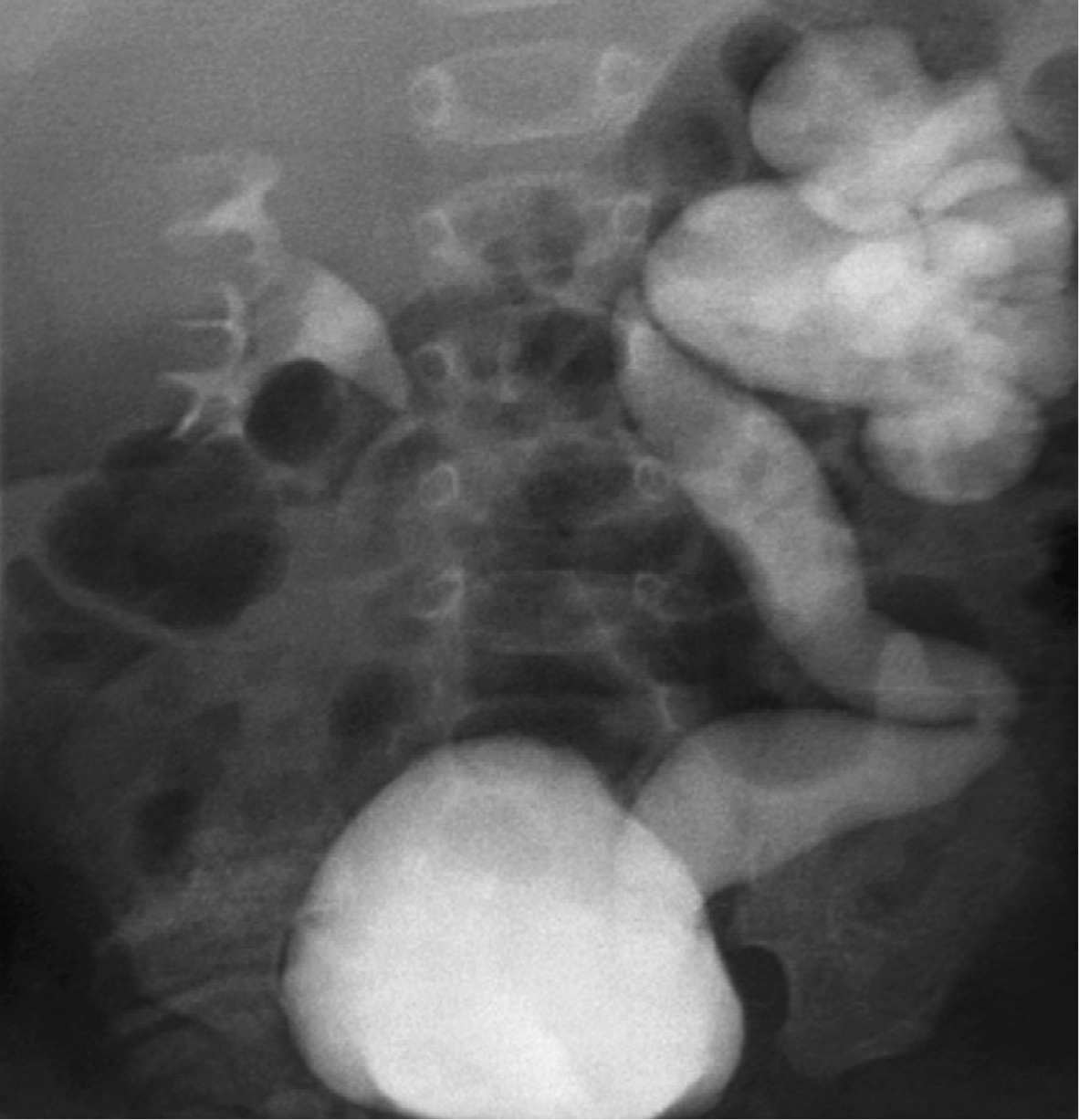
Vesicoureteral Reflux Grading
Most low-grade VUR resolves sponta- neously by the age of 5 to 6 years unless there is an underlying anatomic abnormality.

Vesicoureteral reflux grading
Figure example:
Right side - Grade 2
Left side - Grade 5
