Random_18 Flashcards

(100 cards)

1
Q

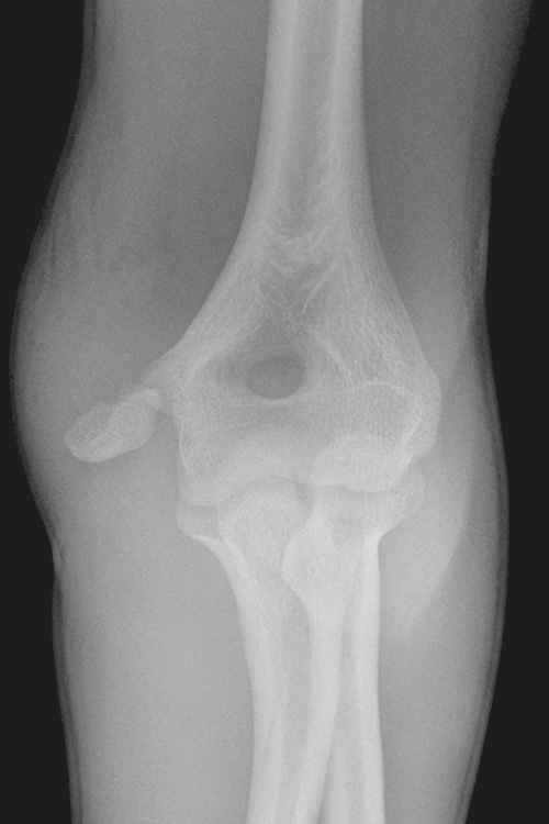
Little League elbow

A
  • avulsion frature of the medial epicondyle
How well did you know this?
1
Not at all
2
3
4
5
Perfectly
2
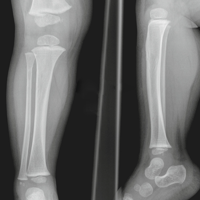
Q

Toddler’s fracture

A

Toddler’s fracture

  • When a child first begins to walk
  • A nondisplaced oblique or spiral fracture of the midshaft
    of the tibia
  • Most children present with failure to continue to walk or refusal to bear weight on that extremity
How well did you know this?
1
Not at all
2
3
4
5
Perfectly
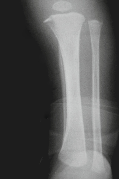
3
Q

Common sites for Toddler’s fracture

A

Common sites for Toddler’s fracture

  • tibial midshaft
  • proximal anterior tibia
  • calcaneus
  • cuboid
How well did you know this?
1
Not at all
2
3
4
5
Perfectly
4
Q

Pelvic muscle attachment

  • iliac crest
  • ASIS
  • AIIS
  • ischial apophysis
  • lessser trochanter
  • greater trochanter
A

Pelvic muscle attachment

  • iliac crest- abdominal wall muscles - external oblique, internal oblique, and transversalis abdominis
  • ASIS- sartorius
  • AIIS - rectus femoris
  • ischial apophysis - hamstring muscles = biceps femoris, gracilis, semimembranosus and semitendinosus
  • lessser trochanter - iliopsoas
  • greater trochanter - gluteus
How well did you know this?
1
Not at all
2
3
4
5
Perfectly
5
Q

Sinding-Larsen-Johansson syndrome

A

Sinding-Larsen-Johansson syndrome

Chronic avulsion of the proximal patellar tendon at its attachment to the patella

How well did you know this?
1
Not at all
2
3
4
5
Perfectly
6
Q

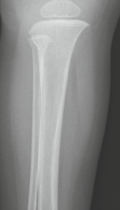
Osgood-Schlatter lesion

aka Tibial tuberosity avulsion

A

Osgood-Schlatter lesion

Chronic avulsive injury of the patellar tendon at its inferior attachment

Findings:

  • bony fragmentation of the tibial tubercle/tuberosity
  • thickening and indistinctness of distal patellar tendon
  • associated soft tissue swelling
How well did you know this?
1
Not at all
2
3
4
5
Perfectly
7
Q

When suspecting NAT, and initial skeletal survery is normal?

A

A repeat skeletal survey after approximately 2 weeks to look for
healing injuries not seen on the initial skeletal survey

How well did you know this?
1
Not at all
2
3
4
5
Perfectly
8
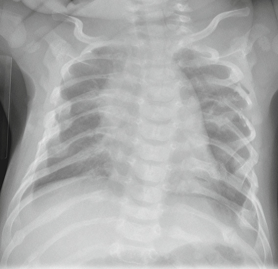
Q

Fractures specific for NAT

A

Fractures specific for NAT

  • posterior rib fractures
    • secondary to an adult squeezing an infant’s thorax
    • close to costovertebral joints
    • may be sutble prior to callus formation
  • metaphyseal corner fracture
    • extends through primary spongiosa of the metaphysis - the weakest portion
    • secondary to forceful pulling of an extremity
    • broken metaphyseal rim appears as a corner fracture triangular piece of bone when seen tangentially; or as a bucket-handle fracture when seen obliquely
  • scapula
  • spinous process
  • sternum
  • spiral long bone fractures in a nonambulatory child
  • multiple fractures of varying ages
How well did you know this?
1
Not at all
2
3
4
5
Perfectly
9
Q

NAT - metaphyseal corner fracture

A

NAT - metaphyseal bucket handle fracture

How well did you know this?
1
Not at all
2
3
4
5
Perfectly
10
Q

DDx for periosteal reaction in a newborn?

A

DDx for periosteal reaction in a newborn?

  • physiologic growth
  • TORCH infections and syphilis, rubella
  • prostaglandin Rx (congenital heart dz)
  • Caffey dz (infantile corticle hyperostosis)
  • neuroblastoma metastasis
  • abuse
How well did you know this?
1
Not at all
2
3
4
5
Perfectly
11
Q
A

Congenital rubella - celery stalking

  • bony changes are present in 50% of cases
  • irregular fraying of metaphyses of long bones
  • generalized lucencies
  • alternating longitudinal dark and light bands of density - celery stalking
How well did you know this?
1
Not at all
2
3
4
5
Perfectly
12
Q
A

Congenital syphilis

  • bony changes occur in 95% of patients
  • periosteal reaction in long bones
  • nonspecific metaphyseal lucent bands
  • Wimberger corner sign - most specific finding of syphilis
    • irregular lucency of medial proximal tibial metaphysis
How well did you know this?
1
Not at all
2
3
4
5
Perfectly
13
Q
A

Caffey Disease

aka Infantile Cortical Hyperostosis

  • idiopathic syndrome
  • occurs during the first few months of life
  • self-limited
  • irritability, fever, periosteal rxn on radiographs, and soft tissue swelling over areas of periosteal rxn
  • bones commonly involved
    • mandible
    • clavicle
    • ribs
    • humerus
    • ulna
    • femur
    • scapula
    • radius
  • findings
    • periosteal new bone formation
    • sclerosis
    • adjacent soft tissue swelling
How well did you know this?
1
Not at all
2
3
4
5
Perfectly
14
Q

DDx of a permeative bone lesion in a child based on age

  • < 5y/o
  • > 5y/o
A

DDx of a permeative bone lesion in a child based on age

  • < 5 year old
    • osteomyelitis
    • LCH
    • metastatic neuroblastoma
  • > 5 year old
    • Ewing sarcoma
    • lymphoma/leukemia
    • osteomyelitis
    • LCH
How well did you know this?
1
Not at all
2
3
4
5
Perfectly
15
Q

Acute osteomyelitis in children

  • most cases are hematogenous in origin
  • many pts have a recent hx of URTI or AOM
  • most common cause - staphylococcus aureus
    • sickle cell dz - Salmonella
  • most common location - metaphysis
    • rich and slow moving blood supply
    • femur, tibia, humerus
  • osteomyelitis is one of the lesions that can cross the physis.
  • earliest radiographic findings - displacement or obliteration of fat planes adjacent to a metaphysis
  • bony changes may not be present until 10 days after onset
    • poorly defined lucencies in a metaphyseal region
    • periosteal new bone formation
    • sclerotic if chronic OM
A
How well did you know this?
1
Not at all
2
3
4
5
Perfectly
16
Q

Chondroblastomas are rare benign cartilaginous neoplasms that characteristically arise in the epiphysis or apophysis of a long bone in young patients

A

Chondroblastomas* are rare benign cartilaginous neoplasms that characteristically arise in the *epiphysis or apophysis of a long bone in young patients

How well did you know this?
1
Not at all
2
3
4
5
Perfectly
17
Q

Ewing sarcoma

  • most common age - 2nd decade
  • aggressive, small round blue cell tumor (PNET)
  • most common sites: femur > pelvis > tibia
A
How well did you know this?
1
Not at all
2
3
4
5
Perfectly
18
Q

Most common metastatic disease to bones

A

Most common bony metastases in children

  • secondary to small round blue cells
  • neuroblastoma
  • leukemia/lymphoma
How well did you know this?
1
Not at all
2
3
4
5
Perfectly
19
Q

DDx for focal sclerotic lesions in children

A

DDx for focal sclerotic lesions in children

  • chronic osteomyelitis
  • osteoid osteoma
  • stress fracture
  • osteosarcoma
How well did you know this?
1
Not at all
2
3
4
5
Perfectly
20
Q

Most common sites of stress fractures in children

A

Most common sites of stress fractures in children

Tibia > fibula > metatarsals > calcaneus

How well did you know this?
1
Not at all
2
3
4
5
Perfectly
21
Q

Osteosarcoma

= Osteogenic sarcoma

Most common primary bone malignancy of childhood

A

It is important to image the entire length of the long bone involved by the tumor because osteosarcoma can occasionally have discontinuous bone involvement (skip lesions), and identification of such skip lesions affects surgical planning.

How well did you know this?
1
Not at all
2
3
4
5
Perfectly
22
Q
A

Radiograph in child with leukemia shows irregular,
lucent metaphyseal band (leukemic line; arrows) involving the
distal tibia.

How well did you know this?
1
Not at all
2
3
4
5
Perfectly
23
Q
A

Osteoid osteoma in an 11-year-old girl.
A, Radiograph shows increased sclerosis of intertrochanteric
region of the right femur. Within this area of sclerosis is a
round central lucency (arrows) containing a central punctate
density.

There is associated joint effusion identified by asymmetric
widening of the right joint space (arrowheads).

B, CT scan shows dense nidus (arrow) within central lucency and surrounding sclerosis.

How well did you know this?
1
Not at all
2
3
4
5
Perfectly
24
Q

Differentiate

multiple hereditary exostosis or osteochondroma

vs

supracondylar process

A

Osteochondroma - point away from the joint

Supracondylar process - point towards the joint

How well did you know this?
1
Not at all
2
3
4
5
Perfectly
25
Malignant potential * multiple hereditary exostosis * Ollier disease * Muffucci syndrome NO malignant potential * McCune-Albright syndrome
26
PET has limited sensitivity for which tumors?
PET has limited sensitivity for which tumors? * HCC * prostatic carcinoma
27
Pre-pneumonectomy pulmonary function assessment
Pre-pneumonectomy pulmonary function assessment * Routine PFTs * If pre-op FEV1\>2L -- no further w/u necessary * If pre-op FEV1\<2L * --\> Quantitative lung perfusion study * % x total FEV1 * minimum acceptable predicted postoperative FEV1 is *_800 ml_*
28
Since the male breast lacks lobules, invasive lobular carcinoma is very unlikely in male patients.
Since the male breast lacks lobules, invasive *_lobular_* carcinoma is very unlikely in male patients.
29
The pterion is the region where the frontal, parietal, temporal, and sphenoid join together. It is located on the side of the skull, just behind the temple.
The asterion is where three cranial bones meet: ## Footnote Parietal bone, Occipital bone, and Mastoid portion of the Temporal bone.
30
Medullary thyroid carcinoma
Medullary thyroid carcinoma * Medullary thyroid carcinoma is a rare type of thyroid cancer that arises from the parafollicular C cells and accounts for 5–10% of thyroid malignancies. * Parafollicular C cells originate from neural crest cells and mainly secrete calcitonin. * Medullary thyroid carcinoma can occur in sporadic and hereditary forms. Approximately 25% of medullary thyroid carcinomas are seen with pheochromocytoma and parathyroid tumors in the multiple endocrine neoplasia syndromes (MEN 2A and MEN 2B). * Metastatic liver lesions from medullary carcinoma are hypervascular and show arterial enhancement and may have a targetoid appearance in venous phase on contrast-enhanced MRI
31
Classification of extremity shortening
Classification of extremity shortening * rhizomelic * proximal shortening - humerus and femur etc * achondroplasia & thanatophoric dwarfism * mesomelic * middle narrowing - radius-ulna, tibia-fibula * rare * acromelic * distal shortening * asphyxiating thoracic dystrophy (Jeune syndrome) * chondroectodermal dysplasia (Ellis-van Creveld syndrome)
32
Trident acetabulum
DDx for trident acetabulum * Jeune syndrome (asphyxiating thoracic syndrome) * Ellis-van Creveld syndrome * thanatophoric dysplasia Legend: A - achondroplasia -horozontal acetabuli (decreased acetabular angles) and short iliac bones rounded tops - tombstone iliac bones = achondroplasia B - trident acetabulum = Jeune syndrome (asphyxiating thoracic syndrome); if trident acetabulum + telephone receiver femur = thanatophoric dysplasia
33
Achondroplasia
Achondroplasia * autosomal dominant - homozygous - lethal; heterozygous - clinical manifestations * craniofacial disprportion * small skull base, small foramen magnum - brainstem compression * vertebral bodies short in AP dimension, tall discs, short pedicles, and interpedicular distances narrower in the more inferior lumbar spine - prone to spinal stenosis * shortened long bones with metaphyseal flaring * iliac bones are short in height and acetabular roof is horizontal * tombstone appearance
34
A: Achondroplasia - interpedicular distances become narrower inferiorly B: Thanatophoric dysplasia - vertebral bodies demonsrate platyspondyly. Short ribs wih narrow AP diameter of the chest and protuberant abdomen
35
36
Mucopolysaccharidoses
Mucopolysaccharidoses * The vertebral bodies are oval in shape and often have an anterior beak in the anterior cortex. * midportion of the vertebral bodies in Morquio syndrome * inferior portion in Hurler syndrome. * Beaking is most prominent in the lumbar vertebral bodies. * There can be focal kyphosis (gibbous deformity). * The clavicles and ribs are commonly thickened. * The ribs are narrower posteromedially, giving them a ‘‘canoe-paddle’’ appearance. * The appearance of the pelvis is essentially opposite of that in achondroplasia. The iliac wings are tall and flared and the acetabuli are shallow (increased acetabular angles). * femoral heads are dysplastic, and femoral necks are gracile and demonstrate coxa valga (loss of angle between the neck and the the shaft of the femur). * hands have a characteristic appearance that includes proximal tapering of the metatarsal bones
37
Renal artery aneurysm
Renal artery aneurysm * Classification of aneurysms * True aneurysm * most common cause - atherosclerosis * other causes - Ehlers-Danlos syndrome, Marfan's dz, polyarteritis nodosa, fibromuscular dysplasia * False aneurysm * traumatic or iatrogenic * Almost always *_extraparenchymal_* in location, but may rarely be cortically based if a small tertiary or higher order renal artery branch is involved. * Unenhanced CT shows a mass-like lesion with *_internal high attenuation*_ (blood clots). There may or may not be _*peripheral calcification_* depending on the age of the aneurysm; chronic aneurysms tend to calcify. * Enhanced CT shows variable contrast blush within the sac. Contrast may blush brightly if there is no thrombus, or may dissect within the interstices of the thrombus. In addition, there may be peripheral cortical hypoenhancement if there is infarction of the artery. * Rx: * Up to 2 cm in size: Usually followed by imaging on annual or biannual basis. * Greater than 2 cm in size: Surgery is recommended with aneurysmectomy.
38
Hilgenreiner line = a line drawn through the bilateral triradiate car- tilages, touching the inferior medial aspect of each acetabulum. A second line (acetabular roof line) = drawn connecting the inferior medial and superolateral aspects of the acetabulum, outlining the acetabular roof Between the above 2 lines = actabular angle * normally \< 30 degrees at birth * decreases to 22 degrees at 1 y/o * note: acetabular angle and alpha angle are complementary angles (acetabular angle + alpha angle = 90 degrees; alpha angle should \> 60 degrees, acetabular angle should \< 30 degrees) Vertical line of Perkins = perpendicular to Hilgenreiner line and traverses the superolateral corner of the acetabulum * When the femoral head is ossified and visible, it should lie medial to the Perkins line Shenton arc = continuous smooth arch connecting the medial cortex of the proximal metaphysis of the femur and the inferior edge of the superior pubic ramus. * In DDH and dislocation, the arc is discontinuous Figure: Developmental dysplasia of the hip on the right. The femoral heads are not yet ossified. The right metaphysis is displaced lat- erally compared to the Perkins line, and the Shenton arc is not continuous. The acetabular angle is greater than 30 degrees.
39
Alpha angle = between lines drawn along the straight part of the iliac bone and the acetabular roof. Normally, the alpha angle is greater than 60 degrees (55 degrees in newborns).
Alpha angle = between lines drawn along the straight part of the iliac bone and the acetabular roof. Normally, the alpha angle is greater than 60 degrees (55 degrees in newborns). With a shallow acetabulum, this angle is decreased. a normally developed acetabular roof. The femoral head is bisected by the vertical line drawn along the iliac crest, denoting a nondislocated femoral head.
40
Normal. The alpha angle is 66 degrees, denoting a normally developed acetabular roof. The femoral head is bisected by the vertical line drawn along the iliac crest, denoting a nondislocated femoral head.
Immature acetabulum without dislocated femoral head. The acetabulum is shallow and has an alpha angle of 48 degrees. The femoral head is not dislocated.
41
Poorly developed acetabulum and dislocated femoral head. The acetabulum is very shallow and has a small alpha angle. The femoral head (H) is lateral to the iliac line, indicating that it is completely dislocated from the acetabulum.
42
DDx for * abormally increased acetabular angle * DDH * neuromuscular disorder, e.g., cerebral palsy * abnormally decreased acetabular angle * Down syndrome * skeletal dysplasias, e.g., achondroplasia
DDx for abormally increased acetabular angle * DDH * neuromuscular disorder abnormally decreased acetabular angle * Down syndrome * skeletal dysplasias, e.g., achondroplasia
43
Typical age for: ## Footnote Slipped capital femoral epiphysis Legg-Calve-Perthes disease
Typical age for: * Slipped capital femoral epiphysis * 12-15 y/o * Legg-Calve-Perthes disease * 5-8 y/o
44
## Footnote Proximal focal femoral deficiency shown on radio- graph as hypoplastic right femur. Note elevated position of right knee compared to left.
45
DDx of hip pain in children
DDx of hip pain in children * septic arthritis * osteomyelitis * SCFE * Legg-Calve-Perthes disease * toxic synovitis * JRA * LCH * Ewing sarcoma * Osteosarcoma * Osteoid osteoma
46
Legg-Calve-Perthes disease A, Radiograph of the left hip, with frog-leg positioning, shows crescentic subchondral lucency (arrow), consistent with necrosis. The femoral epiphysis is irregular and sclerotic and shows loss of height compared to the normal left femoral head. B, T1-weighted coronal MR image shows loss of the normal fatty signal in the right femoral epiphysis (arrow). There is also mild loss of height.
47
Legg-Calve-Perthes disease Bone scintigraphy with pinhole collimation of both hips shows absent uptake (arrows) in the left femoral epi- physis, consistent with an avascular necrosis. Note normal uptake on right.
## Footnote Legg-Calve-Perthes disease Chronic changes in a node-fragmented, shortened capital femoral epiphysis with metaphyseal ‘‘cyst’’ (arrowhead). Note widening of femoral head and neck (coxa magna; arrows). There has been left surgical acetabular reconstruction to create acetabular coverage of the enlarged left femoral head.
48
## Footnote Slipped capital femoral epiphysis (SCFE) is an idiopathic Salter type 1 fracture SCFE is typically treated with pin fixation to prevent further slippage, but the epiphysis is not moved back to its normal position. Potential complications of SCFE include avascular necrosis of the femoral head and chondrolysis. Figure: Slipped capital femoral epiphysis in a 12-year-old child with hip pain. A, Frontal, *_neutrally positioned_* radiograph shows asymmetric widening and indistinctness of the physis (arrows) of the left proximal femur. B, Radiograph with *_frog-leg lateral positioning_* shows posterior displacement of the epiphysis in relation to the physis. A line drawn along the lateral cortex of the metaphysis does not bisect the left epiphysis, whereas a similar line on the normal right side does.
## Footnote Slipped capital femoral epiphysis. Radiograph shows complete slip of left epiphysis (E) in relation to left metaphysis (M).
49
Rickets. Radiograph of bilateral knees shows metaphyseal cupping, fraying, and irregularity.
50
Types of scoliosis
Types of scoliosis * idiopathic scoliosis * most common * S-shaped * upper (thoracic) curvature convex to the right * congenital scoliosis * due to abnormal vertebral segmentation * associated with more abrupt short-segment curves than idiopathic cases * neuromuscular scoliosis * due to neurologic impairment or muscular dystrophy * C-shaped
51
Management of scoliosis
Management of scoliosis * Curves less than 7 degrees are considered normal. * Curves less than 25 degrees are often treated by applying an external brace. * Rapidly progressive curves or curves greater than 40 degrees are typically treated surgically.
52
Typical radiographic appearance of JRA of the knee
* joint effusion * epiphyseal overgrowth * widening of the intercondylar notch * accelerated bone maturation
53
Typical radiographic appearance of JRA involving the cervical spine
Ankylosis of the apophyseal joints
54
## Footnote Juvenile rheumatoid arthritis of knee. Sagittal, con- trast-enhanced, T1-weighted MR image shows markedly enhanced and thickened synovium. There is an associated joint effusion.
55
## Footnote Juvenile rheumatoid arthritis: radiographic findings in several patients. A, Radiograph of the hands shows marked narrowing of intercarpal joints, erosions of several carpal bones (arrowheads), and narrowing of the third metacarpophalangeal joints (arrows). The findings are bilateral and symmetric.
56
Still disease
Still disease * acute form of JRA * fever, rash, hepatosplenomegaly and LAD * skeletal involvement is rare in these children
57
## Footnote Hemophilia. A, Radiograph of the bilateral knees shows severe joint irregularity, joint-space narrowing, and widening of the intracondylar notch. B, Radiographs of elbow show irregularity and narrowing of the joint space and overgrowth of radial head (R).
## Footnote Hemophilia. T2-weighted, sagittal MRI through the radial-capitellar joint shows markedly thickened and low- signal synovium (arrows), consistent with hemosiderin deposi- tion. There is associated irregularity of the capitellar joint surface.
58
Pseudotumor secondary to hemophilia
## Footnote Recurrent hematoma formation can also lead to the forma- tion of pseudotumors, which usually occur in the soft tissues but can cause pressure necrosis and lucency of adjacent bone.
59
Associated findings of Sickle Cell Dz
* cortical thinning * trabecular coarsening * bony remodeling * skull - hair-on-end appearance * bone infarcts * fish spine * cardiomegaly * splenomegaly or splenic infarct or autosplenectomy * gallstones * extramedullary hematopoiesis * osteomyelitis
60
Radial dysplasia. Radiograph of upper extremity shows absent radius and short dysplastic ulna in a patient with Fanconi anemia. The thumb is also absent.
61
Blount disease Radiograph demonstrates bowing of the tibia in association with irregularity and fragmentation of the medial tibial metaphysis
62
Neurofibromatosis. Lateral radiograph of tibia and fibula shows marked anterior bowing and patchy sclerosis of the tibia. There is a pseudoarthrosis of the fibula (arrow).
MSK manifestations of NF-1 ## Footnote The bones may demonstrate overgrowth, bowing, areas of sclerosis, and numerous cortical defects. Characteristic findings include pseudoarthrosis formation, commonly within the tibia, and twisted-appearing (ribbonlike) ribs. The vertebral bodies may demonstrate posterior scalloping due to either dural ectasia or multiple neurofibromas. There is often kyphoscoliosis.
63
Venous malformation - phlebolith Lymphatic malformation - fluid-fluid levels
64
Venous malformation of the thigh. A, Axial T2-weighted MR image shows serpentine areas of high signal within the musculature throughout the right thigh. B, Axial contrastenhanced T1-weighted MR image shows the serpentine areas to enhance diffusely with contrast, consistent with slowmoving venous blood. C, Photograph of cutaneous manifestations of venous malformation in the forearm in another patient.Note purplish, raised skin lesions.
65
High-flow vascular malformation of the right shoulder. A, Coronal T1-weighted image shows tubular flow voids (arrows) in subcutaneous tissues of shoulder. There is no associated solid, soft-tissue mass. B, Sagittal T2-weighted image shows flow voids with surrounding high-signal edema (arrows). C, Frontal arteriogram after injection of the arch shows a tangle of arterial structures over the right shoulder, documenting arteriovenous malformation.
66
Dermatomyositis: ## Footnote imaging findings in multiple children. A, Axial T2-weighted image through the thigh shows marked abnormally increased signal throughout the anterior and posterior musculature of the thigh. Normally, the muscles are low in signal on this sequence. B, Chest radiograph shows calcifications (arrows) diffusely within the subcutaneous tissues. C, Axial CT image shows heterogeneous calcifications in the subcutaneous tissues of the lower pelvis and upper thigh.
67
Soft Tissue Malignancies Primary malignancies of the soft tissues are uncommon in children. MRI is the imaging modality of choice for evaluating soft tissue masses. The likely diagnosis is related to the patient’s age. * In infants, fibrosarcoma is the most common soft tissue malignancy * rhabdomyosarcoma is the most common in older children. * Other potential malignancies * primitive neuroectodermal tumors * synovial sarcomas - tend to occur around joints and are notoriously and deceptively benign-appearing on imaging studies, with smooth, well-defined borders.
Soft tissue malignancies in children Uncommon. MRI is modality of choice * infants = fibrosarcoma * older children = rhabdomyosarcoma * PNET * synovial sarcoma - can be deceptively benign-appearing with smooth, well-defined borders
68
Aggressive fibromatosis ## Footnote Figure: Aggressive fibromatosis of the fifth toe. Axial T2-weighted image shows nonspecific, heterogeneous highsignal, intramuscular soft tissue mass (M). Note the deformity of the adjacent fifth phalanx (arrow).
Aggressive fibromatosis * A fibroproliferative disorder that is locally aggressive but does not metastasize. * Older children * On MRI - *_high-signal on T2_*-weighted images despite their fibrous nature * After resection, there is a tendency to recurrence along the proximal margin of the resection
69
Post-traumatic fat necrosis * most common location - anterior shin (anterior to tibia) * characteristic linear T2 hyperintensity
Posttraumatic fat necrosis. ## Footnote Axial, T2-weighted MRI of the knee, obtained because of palpable soft tissue mass on physical examination, shows linear area of increased signal (arrow) immediately anterior to the anterior surface of the tibia. There is no associated soft tissue mass. Position and appearance are characteristic of posttraumatic fat necrosis.
70
Fibromatosis colli in a 1-month-old child with a right neck mass and a head tilt to the left. Longitudinal ultrasound of the right (R) and left (L) sternocleidomastoid muscles shows the right muscle to be of abnormal thickness and increased echogenicity.
71
Upper vs lower airway thoracic inlet is division
Upper vs lower airway thoracic inlet is division * upper airway obstruction - stridor * lower airway obstruction - wheezing
72
Croup ## Footnote Figure: Croup. A, Frontal radiograph showing symmetric subglottic narrowing with loss of normal shouldering. The narrowing extends more inferiorly than the piriform sinuses. B, Lateral radiograph showing subglottic narrowing. Note normal-appearing epiglottis.
## Footnote With croup, there is loss of the normal shoulders (lateral convexities) of the subglottic trachea secondary to symmetric subglottic edema. Normally, the subglottic trachea appears rounded, with ‘‘shoulders’’ that are convex outward. In croup, the subglottic trachea becomes long and thin, with the narrow portion extending more inferiorly than the level of the pyriform sinuses. Figure: Normal frontal radiograph of the airway. The subglottic airway demonstrates rounded shoulders (white arrows) that are convex outward. Note the appearance and location of the pyriform recess (black arrow on right pyriform recess).
73
Epiglottitis. ## Footnote A, Lateral radiograph showing marked thickening of the epiglottis (arrows). B, Axial CT image showing low-attenuation swelling of the C-shaped epiglottis (arrows). A CT scan was obtained because of an associated neck abscess. Anesthesiology and otolaryngology were present for CT to manage airway. C, Sagittal reconstructed CT image shows markedly swollen epiglottis (arrows) and aryepiglottic folds.
Normal epiglottis. Lateral radiograph showing thick-appearing epiglottis (arrow). Incidentally, note appearance of enlarged adenoid tonsils (A).
74
Exudative tracheitis. Lateral radiograph showing irregular plaquelike filling defects and airway wall irregularities (arrows) within trachea. Again, note the normal appearance of the nonthickened epiglottis in this patient.
75
Delinquent
de·lin·quent (typically of a young person or that person's behavior) showing or characterized by a tendency to commit crime, particularly minor crime.
76
Giant cell tumor of tendon sheath
Giant cell tumor of tendon sheath / GCTTS * usually benign * may represent neoplasm or reactive mass * aka pigmented villonodular tumor of tendon sheath (PVNTS) * most often occur in hands * X-ray - 10-20% bony erosions, calcifications uncommon * U/S - homogeneously hypoechoic * MRI - similar to PVNS due to hemosiderin accumulation; T1 low and T2 low * Rx - local excision * DDx * ganglion cyst * PVNS * desmoid tumor * fibroma * fibrosarcoma
77
## Footnote Retropharyngeal abscess. A, Lateral radiograph showing marked thickening of the retropharyngeal soft tissues (arrows), which are wider than the adjacent vertebral bodies. Note the anterior convexity of soft tissues. B, Contrast-enhanced CT shows a low attenuation region with enhancing rim (A), suggestive of a drainable abscess.
78
## Footnote Retropharyngeal cellulitis. A, Lateral radiograph showing increased thickness of the retropharyngeal soft tis- sues (arrows). B and C, Contrast-enhanced CT in axial (B) and sagittal (C) planes showing low attenuation edema (C) in retropharyngeal soft tissues. There is no focal collection with enhancing rim to suggest drainable fluid.
79
Double aortic arch ## Footnote Figure: Sequential axial CT images showing right and left arches (arrowheads) sur- rounding a small compressed trachea (arrow). The arches rejoin to form the descending aorta posteriorly. The right arch is only slightly larger than the left.
Double aortic arch * Determining the dominant arch is one of the goals of performing cross-sectional imaging. * Typically, the right arch is dominant, both larger and positioned more superiorly. In such cases, the left arch is ligated by performing a left thoracotomy. * When the left arch is dominant, a right thoracotomy is performed and the right arch ligated.
80
Pulmonary sling ## Footnote Figure: A, Frontal radiograph showing asymmetric aeration of the lungs, often seen in pulmonary sling but rarely in other causes of extrinsic tracheal compression. B, CT showing anomalous origin of left pulmonary artery (arrows) from the right pulmonary artery rather than from the main pulmonary artery (M). The pulmonary sling wraps around and compresses the trachea (small low-attenuation area) as it passes into the left hemithorax. Note the enteric tube in the esophagus (arrowhead), posterior to the sling.
Pulmonary sling * the left pulmonary artery arises from the right pulmonary artery rather than from the main pulmonary artery and passes between the trachea and esophagus as it courses toward the left lung. * ONLY vascular anomaly to cross b/t trachea and esophagus --\> compression of posterior trachea and anterior esophagus is characteristic * ONLY vascular anomaly that is associated with asymmetric lung inflation on CXR * associated with congenital heart disease, anomalous right bronchus, and complete tracheal rings Fugure: Complete tracheal rings. CT shows the very small caliber and rounded appearance (arrow) of the midtrachea.
81
## Footnote Right-sided aortic arch with aberrant left subclavian artery and associated airway compression. A, Frontal radiograph showing trachea deviated leftward, with soft tissue impression in the rightward aspect of the trachea, consistent with right aortic arch. B, Lateral radiograph showing trachea (arrow) to be bowed anteriorly and to be compressed. C, CT showing right-sided aortic arch with aberrant left subclavian artery (arrow). The trachea is not compressed at this level. D, CT at more inferior level showing compression of right main bronchus (arrow) secondary to midline position of descending aorta (D), associated with descending aorta starting on right superiorly and crossing over to left more inferiorly. Abnormal stacking leads to airway compression.
Right aortic arch with an aberrant left subclavian artery (RAA-ALSCA) * Airway compression typically occurs when there is a persistent ductus ligament completing the ring. * Often, there is dilatation of the subclavian artery at the origin from the right aorta (called a Kommerell diverticulum), which can contribute to airway compression. * Descending aorta may lie in the midline, immediately anterior to the vertebral bodies, if the descending aorta passes from right to left as it descends. This midline descending aorta can contribute to airway com- pression as the result of the abnormal stacking of anatomic structures in the limited space between the sternum and vertebral bodies.
82
Innominate artery compression syndrome Figure: CT shows innominate artery (I) compressing the trachea (arrow). The trachea is oblong. Normally, the trachea is round at this level.
Innominate artery compression syndrome * The innominate artery passes immediately ante- rior to the trachea just inferior to the level of the thoracic inlet. In infants, in whom the innom- inate artery arises more to the left than in adults and in whom the mediastinum is crowded by the relatively large thymus, there can be narrowing of the trachea at this level. * Spectrum from normal to severe narrowing * Symptoms decrease with time as the child grows, and surgical therapy is reserved for cases in which symptoms are severe * Lateral CXR: ​indentation of the anterior aspect of the trachea at or just below the thoracic inlet
83
Most common pediatric tracheal soft tissue mass
Tracheal hemangioma * most commonly occur in the subglottic region * often associated with facial hemangioma * CXR - asymmetric subglottic narrowing * DDX * tracheal papilloma * tracheal granuloma
84
Enlarged adenoid tonsils
Enlarged adenoid tonsils * If AP diameter \> 12mm * commonly grow back quickly
85
Figure: Meconium aspiration syndrome. Newborn chest radiograph shows normal to large lung volumes, increased peri- hilar markings, and bilateral, coarse, ropy markings. Note right pleural effusion (arrow).
Meconium aspiration syndrome * term or post-mature neonates * usually occur secondary to stress - intrapartum or intrauterine, due to hypoxia etc * mechanism * meconium obstructs small airways * meconium causes chemical pneumonitis * CXR * hyperinflation (high lung volumes) * asymmetric lung densities - ropy appearance * perihilar distribution * alternating areas of hyperinflation and atelectasis * air-block --\> pneumothorax (20-40%)
86
Figure: Transient tachypnea of the newborn. Newborn chest radiograph shows normal lung volumes, cardiomegaly, indistinct pulmonary vascularity, and fluid in the minor fissure (arrow). Within 24 hours the patient was asymptomatic.
Transient tachypnea of the newborn * due to delayed clearance of fetal lung fluid * causes * c section * maternal diabetes * maternal sedation * hallmark - benign cause * develops @ 6 hours * peaks @ 1 day * resolves by 2-3 days * CXR * findings similar to pulmonary edema * airspace opacification * interstitial markings * prominent and indistinct pulmonary vasculature * fluid in fissures * pleural effusions * cardiomegaly
87
Figure: Neonatal pneumonia. Newborn chest radiograph shows large lung volumes and coarse, bilateral perihilar markings.
Neonatal pneumonia * CXR * With the exception of b-hemolytic streptococcal pneumonia * hyperinflation * patchy, asymmetric perihilar densities * pleural effusions * may be indistinguishable from meconium aspiration syndrome Figure: Neonatal pneumonia. Newborn chest radiograph shows large lung volumes and coarse, bilateral perihilar mark- ings. Note right pleural effusion (arrow). Also note umbilical venous catheter with tip into right atrium. Tip should be at the junction of the right atrium and inferior vena cava.
88
Figure: Surfactant-deficient disease responding to surfactant therapy. A, Radiograph shortly after birth shows low lung volumes, confluent densities, and prominent air bronchograms. Note the umbilical venous catheter (arrow) with tip in intrahe- patic intravenous catheter. B, Radiograph obtained immediately following surfactant administration shows increased lung volumes and decreased lung opacities. The umbilical venous catheter was removed in the interim. Note the umbilical arterial catheter (arrow) in ‘‘low’’-type position, with tip at L4.
Surfactant Deficient Disease aka Respiratory Distress Syndrome aka Hyaline Membrane Disease * premature infants (50% affected) * #1 cause of death in live newborns * type 2 pneumocytes * CXR * LOW lung volumes * bilateral granular opacities that represent collapsed alveoli * prominent air bronchograms (large bronchi do not collapse) * if severe, diffuse lung opacity * *_a normal CXR at 6 hours excludes surfactant deficient disease_*
89
Most common type of pneumonia in neonates
GBS pneumonia * LOW lung volumes * bilateral granular opacities * identical findings to surfactant deficient disease * pleural effusions * help differentiate GBS pneumonia from SDD * pleural effusion is very uncommon in SDD * pleural effusion is very common in GBS pneumonia
90
91
Esophageal intubation in a 6-day-old girl. ## Footnote Chest radiograph obtained after reintubation shows the endotracheal tube overlying the expected location of the midtrachea. However, there are low lung volumes, gas within the esophagus (arrows), and multiple air-filled and distended bowel loops.
92
Page kidney
“Page Kidney” in which the compression of the kidney by the subscapular hematoma may result in ischemia, renin release, and renin-dependent hypertension
93
most common type of congenital heart disease
L to R shunts specifically, VSD
94
Peripherally Inserted Central Catheters in Children / PICC
PICC in children * small caliber (2F - 3F) * can be very difficult to see on CXR, must be filled with contrast to be visualized * position of the tip *_MUST be at the mid SVC_* * due to the small-caliber lines, if they are placed in the RA, can cause perforation, pericardial temponade and death!!
95
Pulmonary interstitial emphysema ## Footnote Chest radiograph shows asymmetric bubblelike lucencies within the left upper lobe consistent with PIE. Note left pneumothorax (arrow) and right upper lobe collapse (RUL).
Pulmonary interstitial emphysema * marked increase in alveolar pressure --\> alveolar perforation --\> air escapes into adjacent interstitium and lymphatics * CXR * bubblelike or linear lucencies * focal or diffuse * PIE serves as a warning sign for other impending air-block complications * pneumothorax * pneumomediastinum * pneumopericardium * may prompt caregivers to switch from conventional to high-frequency oscillation * differentiating bubbly lucencies due to PIE from BPD * 1st week of life - PIE * older than 2 weeks - BPD
96
DDx for acute diffuse pulmonary consolidation ## Footnote Patent ductus arteriosus (PDA) leading to congestive heart failure in a 1-week-old premature neonate. A, Prior to development of PDA, radiograph shows normal-sized heart and clear lungs; B, After development of PDA, radiograph shows cardiac enlargement and bilateral lung consolidation.
DDx for acute diffuse pulmonary opacification in neonates * blood/pus/water/cells * development of patent ductus arteriosus * pulmonary hemorrhage (surfactant therapy is a risk factor) * worsening surfactant deficiency (during first few days of life) * diffuse microatelectasis (artifact) (expiratory view) * pneumonia Figure: Expiratory chest radiograph mimicking heart failure in infant. A, Initial radiograph shows prominent size of cardiothymic silhouette, indistinctness of pulmonary vascularity, and low lung volumes. B, Repeat radiograph obtained immediately after A shows clear lungs and normal heart size.
97
Bronchopulmonary dysplasia aka Chronic lung disease of prematurity Figure: Bronchopulmonary dysplasia in a premature neonatal girl. A, Chest radiograph at 14 days of life shows persistent bilateral lung opacities. B, Chest radiograph at 20 days of life shows coarsening of the lung markings. C, Chest radiograph at 28 days of life shows increased coarse lung markings and development of diffuse bubblelike lucencies.
Bronchopulmonary dysplasia / BPD * most common chronic lung disease of infancy * result from a combination of * mechanical ventilation * oxygen toxicity * stages: * at the end of 2nd week of life - hazy density throughout the lungs * next weeks to months - combination of coarse lung markings, bubblelike lucencies, and asymmetric aeration * eventually, focal lucencies, coarse reticular densities, and bandlike opacities * many completely resolve clinically and radiographically
98
Wilson-Mikity syndrome
Development of BPD in the absence of mechanical ventilation.
99
DDx for a focal lucent chest leion in a newborn
DDx for a focal lucent chest lesion in a newborn * congenital lobar emphysema * congenital pulmonary airway malformation/CPAM * cogenital diaphragmatic hernia * pulmonary interstitial emphysema
100
DDx for a focal solid chest lesion in a newborn
DDx for a focal solid chest lesion in a newborn * sequestration * bronchogenic cyst * CPAM