Random_13 Flashcards

(100 cards)

1
Q

L5/S1 spondylolytic spondylolisthesis with severe bilateral L5/S1 neuroforaminal stenosis and severe bilateral L5 nerve root impingement.

A

L5/S1 spondylolytic spondylolisthesis with severe bilateral L5/S1 neuroforaminal stenosis and severe bilateral L5 nerve root impingement.

How well did you know this?
1
Not at all
2
3
4
5
Perfectly
2
Q
  • Choroidal fissue is in continuation with the ambient fissure
  • It hugs the hippocampus
  • It contains choroid plexus and anterior choroidal artery
  • It connects to the temporal horn anteriorly and superiorly
A
  • Choroidal fissue is in continuation with the ambient fissure
  • It hugs the hippocampus
  • It contains choroid plexus and anterior choroidal artery
  • It connects to the temporal horn anteriorly and superiorly
How well did you know this?
1
Not at all
2
3
4
5
Perfectly
3
Q

Osseous excrecence

A

Osseous excrecence

How well did you know this?
1
Not at all
2
3
4
5
Perfectly
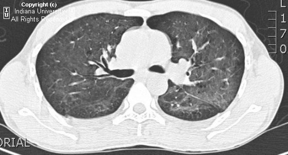
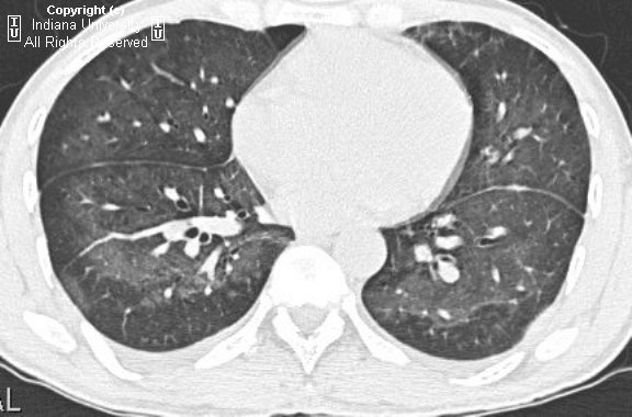
4
Q

PCP pneumonia

A
  • CXR - usually normal; may see subtle groundglass opacities
  • HRCT
    • Diffuse, symmetric ground-glass opacities are the dominant finding. There may be sparing of the subpleural lung in ~40% of the cases.
    • Thin walled cysts in the same distribution as the ground-glass opacities may be seen sometimes. These predispose the patient to pneumothorax.
    • Adenopathy and pleural effusions are rare. Consider other diagnoses in this case.
How well did you know this?
1
Not at all
2
3
4
5
Perfectly
5
Q

Choroidal fissure and temporal horn of the lateral ventricle are VERY close by, but they don’t communicate.

A

Choroidal fissure and temporal horn of the lateral ventricle are VERY close by, but they don’t communicate.

How well did you know this?
1
Not at all
2
3
4
5
Perfectly
6
Q

Uncal shift

vs

Uncal herniation

A
  • uncal shift - just shifted out
  • uncal herniation - bad - on coronal images, the uncus is on the other side of the tentorium! - blown pupil due to compression on the cisternal portion of the CNIII
    • death occurs when there is mass effect on the adjacent midbrain
How well did you know this?
1
Not at all
2
3
4
5
Perfectly
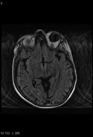
7
Q

Wernicke’s encephalopathy

A
  • Triad: confusion, ataxia, ophthalmoplegia
  • MRI:
    • T2 : symmetric increased T2 signal intensity in the
      • mamillary bodies
      • medial thalami
      • tectal plate
      • periaqueductal area
    • T1 C+ (Gd) : contrast enhancement can also be seen in the same regions, most commonly of the mamillary bodies.
How well did you know this?
1
Not at all
2
3
4
5
Perfectly
8
Q

“Luxury perfusion”

A
  • gyriform enhancement of the cortex following infarct
  • usually a few days after the infarct
  • due to breakdown of blood-brain barrier
How well did you know this?
1
Not at all
2
3
4
5
Perfectly
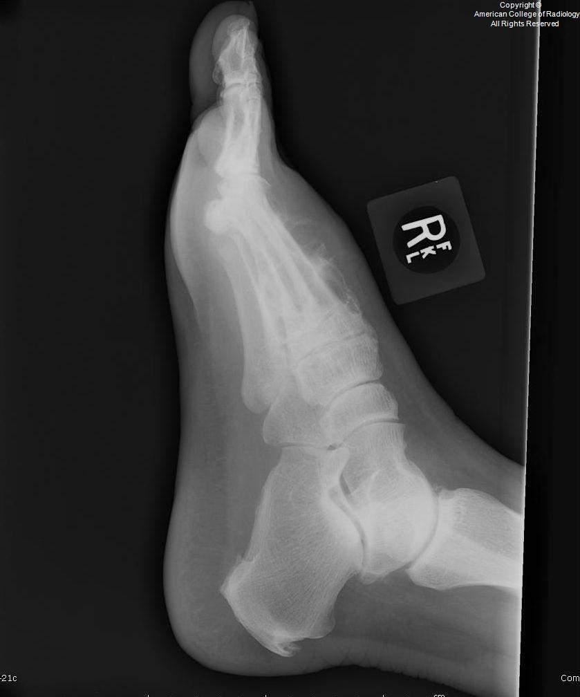
9
Q
A

Medulla foot

  • Medulla region in India
  • also called mycetoma
    • fungal (eumycetoma)
    • bacterial (actinomycetoma)
  • commonly seen in those who walk barefoot, such as agricultural workers
  • patients typically present with painless swelling and a draining sinus tracts. The purulent discharge typically contains colored “grains” representing clumps of the causative organism
    • Stage 0 – Soft-tissue swelling, which can become nodular and expansive.

Stage I – Extrinsic pressure on the bone causing bone displacement or scalloping. No bone involvement.

Stage II – Periosteal reaction or reactive sclerosis as a result of irritation of the bone surface by the causative organism.

Stage III – Bone erosion or cavitation as a result of penetration of the periosteum and cortex.

Stage IV – Joint involvement with longitudinal spread along a ray of metatarsal bone and phalanx.

Stage V – Horizontal spread limited to two rays of bone and confined to the hindfoot, midfoot, or forefoot.

Stage VI – Uncontrolled infection with multidirectional destruction

How well did you know this?
1
Not at all
2
3
4
5
Perfectly
10
Q

Dot-in-circle sign

A
  • This sign refers to the characteristic high intensity spherical lesions on both T1- and T2-weighted images with a tiny central focus of hypointensity, resulting in the “dot in circle.”
  • The high intensity spherical lesions are classically surrounded by a network of low intensity material.
  • High intensity spherical lesions represent granulomatous inflammation, and the low intensity tissue surrounding the round lesions relate to a fibrous matrix.
  • The tiny central focus of hypointensity correlates to the fungus ball or grains.
How well did you know this?
1
Not at all
2
3
4
5
Perfectly
11
Q

Cspine CT

Look for prevertebral soft tissue swelling SUPERIORLY!!!

A
How well did you know this?
1
Not at all
2
3
4
5
Perfectly
12
Q

Intact Transverse Ligament C1/2

A

Torn Transverse Ligament C1/2

How well did you know this?
1
Not at all
2
3
4
5
Perfectly
13
Q

Transverse Ligament

A
  • The transverse ligament of the atlas is a thick, strong band, which arches across the ring of the atlas, and retains the odontoid process in contact with the anterior arch.
  • In Jefferson’s fracture - C1 fracture
    • if transverse ligament is intact - stable - conservative management
    • if transverse ligament is disrupted - unstable fracture - surgical management
How well did you know this?
1
Not at all
2
3
4
5
Perfectly
14
Q
A
  • Radial tilt is measured on a lateral radiograph.
  • The radial tilt represents the angle between a line along the distal radial articular surface and the line perpendicular to the longitudinal axis of the radius at the joint margin.
  • The normal volar tilt averages 11degrees (2 - 20 degrees)
How well did you know this?
1
Not at all
2
3
4
5
Perfectly
15
Q

FMD

Fibromuscular dysplasia

A
  • Intimal FMD - 5%
    • concentric ring-like stenosis
    • long segment of tubular stenosis
  • Meidal FMD - 90-95%
    • medial fibroplasia - 70%
      • “beaded”
    • medial hyperplasia
    • preimedial fibroplasia
  • Adventitial FMD - <1%

Complications

  • renal artery stenosis and hypertension
  • renal artery aneurysm - may be complicated by aneurysmal rupture in pregnancy
  • dissection and thrombosis
How well did you know this?
1
Not at all
2
3
4
5
Perfectly
16
Q

Extracapsular silicone implant rupture

A

Silicone can be seen in breast tissue or lymph nodes after extracapsular rupture.

Classic ultrasound finding of extracapsular rupture is

  • “snowstorm” appearance of echogenic scatter in the tissue adjacent to implant.
  • “dirty shadow” posteriorly
How well did you know this?
1
Not at all
2
3
4
5
Perfectly
17
Q

Where is Zenker’s diverticulum typically located?

A

  • posteriorly
  • above the cricopharyngeus muscle
  • at C5-C6 level

How well did you know this?
1
Not at all
2
3
4
5
Perfectly
18
Q

DDx for asymmetric breast density

A
  1. Inflammatory cancer
  2. Mastitis
  3. Trauma
  4. Invasive cancer (lobular)
How well did you know this?
1
Not at all
2
3
4
5
Perfectly
19
Q

CT dose

Rotation time doubled, mA one half

A
  • rotation time S double
  • mA half
  • mAs same
How well did you know this?
1
Not at all
2
3
4
5
Perfectly
20
Q

Increase ptich

causes

Increased noise

A

Increase ptich

causes

Increased noise

How well did you know this?
1
Not at all
2
3
4
5
Perfectly
21
Q

Osteopetrosis

A

Sandwish vertebrae

How well did you know this?
1
Not at all
2
3
4
5
Perfectly
22
Q

Dermatomyositis

A

Sheet-like calcifications

How well did you know this?
1
Not at all
2
3
4
5
Perfectly
23
Q

Maissoneuve fracture

Note the spelling!!!

A

Maissoneuve fracture

How well did you know this?
1
Not at all
2
3
4
5
Perfectly
24
Q

Which surface (articular or bursal) is more commonly involved?

A

Which surface (articular or bursal) is more commonly involved?

articular surface!!!

How well did you know this?
1
Not at all
2
3
4
5
Perfectly
25
1. Anterior greater tuberosity cysts associated with tears 2. Posterior cysts incidental
1. Anterior greater tuberosity cysts associated with tears 2. Posterior cysts incidental
26
DDx for decreased thyroid uptake 1. Subacute thyroiditis 2. Ectopic thyroid hormone production (eg struma ovarii) 3. Factitious thyrotoxicosis 4. Previous thyroid surgery 5. Congenitally absent thyroid gland 6. Expanded iodine pool 7. Antithyroid medications
DDx for decreased thyroid uptake ## Footnote 1. Subacute thyroiditis 2. Ectopic thyroid hormone production (eg struma ovarii) 3. Factitious thyrotoxicosis 4. Previous thyroid surgery 5. Congenitally absent thyroid gland 6. Expanded iodine pool 7. Antithyroid medications
27
Tracer for HIDA
* HIDA - Tc Hepato Iminodiacetic Acid (HIDA/Lidofenin) is the old term * Currently used agents are * PIPIDA - Tc Paraisopropyl Iminodiacetic Acid * DISIDA - Tc Diisopropylacetanilido Iminodiacetic Acid
28
Dx? * If child is 2-3 y/o? * If child is 4-8 y/o?
Meyer dysplasia Dysplasia epiphysealis capitis femoris * affects the paediatric hip. * considered more of *_a normal hip developmental variation_* rather than a true dysplasia. * bilateral in ~ 50% of cases * 2 - 3 years of age * male predominance * usually asymptomatic * Xray * the affected epiphysis is smaller in size * there are often multiple nuclei of ossification, giving the epiphysis a "morulated" appearance * these then tend to fuse at ~ 5 years of age * DDx: AVN (Legg-Calve-Perthes disease) * 4-8 years of age * AVN * symptomatic - painful hips
29
Tidbits
Tidbits
30
* Perforated and extra-uterine IUD needs to be removed to prevent complications such as bowel perforation * Ectopic pregnancies are less likely in patients with IUDs compared to patients without IUDs; however, in the setting of pregnancy and a properly positioned IUD, ectopic pregnancies are more likely than intrauterine pregnancies.
Perforated and extra-uterine IUD needs to be removed to prevent complications such as bowel perforation Ectopic pregnancies are less likely in patients with IUDs compared to patients without IUDs (b/c overall pregnancy rate is lower); however, in the setting of pregnancy and a properly positioned IUD, ectopic pregnancies are more likely than intrauterine pregnancies.
31
Skull base connections Anterior to posterior: * pterygopalatine fossa * vidian canal * carotid canal
32
Cordoma vs Chondrosarcoma
* Cordoma * enhances progressively * may have mild restricted diffusion * Chondrosarcoma * enhances immediately * no restricted diffusion
33
Meningioma vs Schwannoma
* meningioma * intermediate T2 signal * schwannoma * high T2 signal
34
CN2 - 6 portions - surrounded by dura - affected by meningioma (not Schwann cells or schwannoma) - you can never have have meningioma involving the intracranial cn2 / chiasm
CN2 - 6 portions ## Footnote - surrounded by dura - affected by meningioma (not Schwann cells or schwannoma) - you can never have have meningioma involving the intracranial cn2 / chiasm
35
CN 7 - wrap around the nucleus of cn6 - baby bum - cisternal - IAC - labyrinth - geniculate ganglion (vidian nerve) - horizontal tympanic - mastoid - extratemporal - cn7 is normal to show enhancement after ganglion segment
- wrap around the nucleus of cn6 - baby bum - cisternal - IAC - labyrinth - geniculate ganglion (vidian nerve) - horizontal tympanic - mastoid - extratemporal - cn7 is normal to show enhancement after ganglion segment
36
CN11 ## Footnote - cervical 1-5 - foramen magnum - pars vascularis - SCM and trapezius
CN11 ## Footnote - cervical nerve roots 1-5 - foramen magnum - pars vascularis - SCM and trapezius
37
Tennis elbow - common extensor tendinitis laterally - most commonly injuried - extensor carpi radialis brevis
Tennis elbow - common extensor tendinitis laterally - most commonly injuried - extensor carpi radialis brevis
38
Throwing injury ## Footnote - valgus injury - ulnar collateral ligament at elbow - UCL tear - T sign - contrast extravasate out extending ino supra recess and down the arm - UCL laxity - medial condylitis - ulnar neuritis - ulnar stress fracture - posreromedial impingement - olecranon osteophytes, trochlea chondral injury, loose bodies - tommy John Sx
- valgus injury - ulnar collateral ligament at elbow - UCL tear - T sign - contrast extravasate out extending ino supra recess and down the arm - UCL laxity - medial condylitis - ulnar neuritis - ulnar stress fracture - posreromedial impingement - olecranon osteophytes, trochlear chondral injury, loose bodies - Tommy John Sx - surgical graft of the UCL
39
Ulnar nerve - overuse neuritis - direct injury - ulnar neuropraxia - cubital tunnel syndrome
Ulnar nerve ## Footnote - overuse neuritis - direct injury - ulnar neuropraxia - cubital tunnel syndrome
40
A supra-acetabular fossa also known as pseudodefect of acetabular cartilage
A supra-acetabular fossa also known as pseudodefect of acetabular cartilage * is an antatomic variant whereby a focal defect is evident within the subchondral bone of the acetabular roof * no associated bone marrow edema, cartilage damage or anything * It is seen in as many as 10% of hips * typically located at the 12 o'clock position both in the coronal and sagittal planes.
41
Weigert-Meyer law the upper pole moiety ureter drains infero-medial to the normal lower moiety ureter. Upper obstructs Lower refluxes
Weigert-Meyer law the upper pole moiety ureter drains infero-medial to the normal lower moiety ureter. Upper obstructs Lower refluxes
42
Autoimmune pancreatitis has characteristic hypodense capsule
Autoimmune pancreatitis has characteristic hypodense capsule
43
Most common benign salivary gland tumor?
Benign mixed tumor (BMT) AKA pleomorphic adenoma * May undergo malignant degeneration - carcinoma ex-pleomorphic
44
Unilateral cystic renal disease - unilateral - non-progressive - non-heritable - do not cause hypertension
Unilateral cystic renal disease - unilateral - non-progressive - non-heritable - do not cause hypertension
45
Achalasia * primary - Auerbach plexus * secondary * Chagas' disease * carcinoma * scleroderma * stricture
Achalasia ## Footnote primary - Auerbach plexus secondary Chagas' disease carcinoma scleroderma stricture
46
Indications for CABG * - left main dz * - triple vessel dz * - 1 or 2 vessel dz involving proximal LAD * - refractory symptoms
Indications for CABG ## Footnote - left main dz - triple vessel dz - 1 or 2 vessel dz involving proximal LAD - refractory symptoms
47
What to think about in patients with fever and CN6 nerve palsy?
Sphenoid sinus? extending into the cavernou sinus and maybe cavernous sinus thrombosis leading to CN palsy
48
Differences in T2 signal intensity of central scar in FNH vs Fibrolamellar HCC
* FNH - central scar is T2 HYPERintense * Fibrolamellar HCC - central scar is T2 HYPOintense
49
Always look for phleboliths for underlying vascular lesions
Always look for phleboliths for underlying vascular lesions
50
51
CMR appearance of Fabry disease
* symmetric myocardial hypertrophy * LGE in midwall in an inferolateral basal distribution
52
Amyloidosis on CMR
Subendothelial LGE
53
Wall-Off Necrosis of the pancreas It is imperative for the radiologist to recognize the CT findings that suggest a diagnosis of WON versus pancreatic pseudocyst and communicate this to the referring physician. CT findings that favor a diagnosis of WON include a thick-walled intra- or extrapancreatic collection containing heterogenous nonliquid (often fat) attenuation debris, pancreatic deformity, and absence of dilatation of the main pancreatic duct.
Wall-Off Necrosis of the pancreas ## Footnote It is imperative for the radiologist to recognize the CT findings that suggest a diagnosis of WON versus pancreatic pseudocyst and communicate this to the referring physician. CT findings that favor a diagnosis of WON include a thick-walled intra- or extrapancreatic collection containing heterogenous nonliquid (often fat) attenuation debris, pancreatic deformity, and absence of dilatation of the main pancreatic duct.
54
Renal stent is difficutl to see on ultrasound without hydronephrosis
Renal stent is difficutl to see on ultrasound without hydronephrosis
55
Malaria --\> Hemolysis --\> Pigment gallstones
Malaria --\> Hemolysis --\> Pigment gallstones
56
Rx for vesicoureteric reflux
STING procedure Endoscopic techniques with subureteric injection of bulking agents, also known as STING (Subureteral Teflon INjection)
57
Shape of Cafe-au-lait spots in McCune Albright syndrome vs Neurofribromatosis
* McCune-Albright Syndrome - coast of Maine * Neurofibromatosis - coast of California
58
McCune Albright Syndrome vs Mazabraud Syndrome
* McCune Albright Syndrome * cafe-au-lait spot * polyostotic fibrous dysplasia * endocrinopathy - precocious puberty * Mazabraud Syndrome * polyostotic fibrous dysplasia * intramuscular myxomas
59
Fibrous dysplasia esp. Polyostotic FD in McCune-Albright Syndrome Fractures of the femoral neck tend to result in a varus deformity known as a "Shepherd Crook.” Leg-length discrepancies are common. Malignant transformation of fibrous dysplasia is rare and commonly believed to be radiation-induced with osteosarcoma, fibrosarcoma, chondrosarcoma.
Fibrous dysplasia esp. Polyostotic FD in McCune-Albright Syndrome Fractures of the femoral neck tend to result in a varus deformity known as a "Shepherd Crook.” Leg-length discrepancies are common. Malignant transformation of fibrous dysplasia is rare and commonly believed to be radiation-induced with osteosarcoma, fibrosarcoma, chondrosarcoma.
60
Its very uncommon to have DVT in children If you see one, ask for history such as line insertion or coagulopathy
Its very uncommon to have DVT in children If you see one, ask for history such as line insertion or coagulopathy
61
SMA syndrome
* Vascular compression of the third portion of duodenum between the aorta and superior mesenteric artery * primarily attributed to loss of the intervening mesenteric fat pad (most commonly from weight loss). * SMA is an unusual cause of proximal gastrointestinal obstruction. * Imaging findings of SMA syndrome include * abrupt cutoff of the third portion of the duodenum with proximal dilatation * aortomesenteric angle of \<25° (measured on sagittal plane) * aortomesenteric distance of \<8 mm * partial relief of obstruction may be demonstrated using fluoroscopy by turning the patient prone.
62
Median arcuate ligament syndrome vs SMA syndrome vs Nutcracker sydnrome
* median arcuate ligament syndrome * compression of celiac artery * SMA syndrome * loss of intervening mesenteric fat pad due to weight loss * compression of 3rd portion of duodenum * leads to stomach and duodenal obstruction * aortomesenteric angle \< 25 * aortomesenteric distance \< 8mm * nutcracker syndrome * compression of the left renal vein by the SMA
63
64
Development of sinuses Born with ME Go to School Frontal after
* at birth - Maxillary sinus and Ethmoid sinus * go to school - Sphenoid sinus * frontal sinuses develop later
65
Wormian bones Wormian bones, also known as intra sutural bones,[1] are extra bone pieces that occur within a suture in the cranium. These are irregular isolated bones that appear in addition to the usual centers of ossification of the cranium and, although unusual, are not rare.[2] They occur most frequently in the course of the lambdoid suture, which is more "tortuous" than other sutures. They are also occasionally seen within the sagittal and coronal sutures
PORK CHOP ## Footnote Pycnodysostosis Osteogenesis imperfecta Rickets "Kinky-hair" Menke's syndrome Cleidocranial dysostosis Hypoparathyroidism and hypophosphatasia Otopalatodigital syndrome Primary acro-osteolysis Down's syndrome
66
Types of cholangiocarcinoma Based on location Based on growth pattern
* based on location * peripheral * hilar\* * extrahepatic * based on growth pattern * peripheral mass forming * periductal infiltrating\* * intraductal polypoid
67
Liver masses T2 brightness Cyst \> Hemangioma \> Malignant lesions
Liver masses T2 brightness Cyst \> Hemangioma \> Malignant lesions
68
Liver cluster sign
Pyogenic abscess
69
Most common liver abscess etiology worldwide
Entamoeba Histolytica
70
What type of RCC do VHL patients get? What type of RCC do Birt Hogg Dube pts get?
VHL --\> Clear cell RCC (as opposed to papillary RCC) BHD --\> chromophobe RCC (cutaneous folliculomas)
71
Which enzyme is implicated in paragangliomas?
Succinate dehydrogenase
72
NF-1 hyperintense white matter lesions
Vacuolization of myelin increases in the 1st decade then subsides
73
NF-2 MISME
NF-2 - MISME * Multiple inherited Schwannomas * Meningiomas * Ependymomas
74
Lynch syndrome
* colon cancer * ovarian cancer * endometrial cancer
75
Cowden syndrome
* Lhemitte Duclos disease - cerebellum * thyroid cancer * breast cancer
76
Most common cardiac mass? Most common cardiac tumor? Most common primary cardiac tumor? Most common primary cardiac malignancy?
* most common cardiac mass - thrombus * most common cardiac tumor - metastasis * most common primary cardiac tumor - myxoma * most common primary cardiac malignancy - angiosarcoma
77
PRES 15% can have hemorrhage 15% can enhance
PRES 15% can have hemorrhage 15% can enhance
78
Flagyl CNS toxicity
Flagyl CNS toxicity * inferior colliculus * dentate nucleus * splenium
79
Septo-optic dysplasia
* absent septum pellucidum * optic nerve/chiasm hypoplasia * pituitary hypoplasia * truncated infundibulum * posterior pituitary ectopia
80
Location of IMA relative to IMV
IMA is *_lateral_* to IMV
81
Coronary artery bypass graft types
* LIMA and RIMA the best * saphenous vein graft * intimal hyperplasia * low long term patency * radial artery graft * prone to spasm
82
Crista terminalis
the division b/t the smooth and rough parts of the RA
83
What to do with painless lacrimal masses?
Biopsy Always biopsy painless lacrimal masses
84
Bilateral painless lacrimal masses DDx
* sarcoidosis * lymphoma * Sjogren's
85
Involvement of the Tolosa Hunt Syndrome
* orbital apex * superior orbital fissure * cavernous sinus
86
IgG4 related entities
* orbital inflammation * pancreatitis * Reidel thyroiditis * cholangitis
87
DDx for large orbits/large eyes
* high myopia * nearsighted * long eyes * weakness in the sclera --\> staphyloma (focal bulge) * elongated * buphthalmos * infants * congenital glaucoma * large eye/large cornea/large anterior chamber * uniformly large (round)
88
DDx for small eyes/anophthalmia/microphthalmia
* colobomatous microphthalmia * defect along the embryonic fissure * uvea can collapse out * decreased intra-ocular pressure --\> small eyes * PHPV * phthisis bulbi * shrunken calcified non-seeing eye
89
Coloboma vs Staphyloma
* Coloboma * defect in the sclera * congenital * *_inferior_* globe * associated with small eyes * Staphyloma * weakening of the sclera * focal bulge * acquired * *_posterior_* globe * associated with large eyes (myopia)
90
Things to look for in ocular trauma
* presence of foreign body * if present - OR within 6 hours * if absent - OR next day * evidence of globe rupture * anterior chamber * lens * pre-existing Marfan syndrome * dislocation * traumatic cataract * fluid enters the lens * *_decreased density_* than normal protein * posterior chamber rupture
91
Leukocoria
* loss of normal red reflex * most common cause - retinoblastoma * other causes * PHPV * Coat's disease
92
Retinoblastoma
Retinoblastoma * most common peds intraocular tumor * calcification * high nuclear/cytoplasm ratio * high T1 low T2 * enhancement * look for the contralateral eye * look for optic nerve involvement * intracranial PNET's in regions: * pineal * suprasellar * parasellar
93
Persistent Hyperplastic Primary Vitreous PHPV
PHPV * 2nd most common cause of leukocoria (behind retinoblastoma) * persistence of primary vitreous extending along retina to lens in the Cloquet's canal * microphthalmia * hemorrhagic retinal detachment * retrolental soft tissue * no calcificatios
94
Coats disease
* primary retinal telangiectasia * subretinal lipoproteinaceous effusion * hyper on T1, hypo T2
95
Most common intraocular malignancy in adults?
Choroidal melanoma
96
Dacrocystitis vs Dacroadenitis
* Dacrocystitis * inflammation of the lacrimal duct * *_pre-septal_* * Dacroadenitis * inflammation of lacrimal gland itself * *_post-septal_*
97
Pre-septal cellulitis vs Post-septal cellulitis
* different venous drainage * post septal cellulitis drains into the cavernous sinus --\> may lead to cavernous sinus thrombosis!
98
Most common intra-ocular tumor in children Most common intra-orbital tumor in children Most common intra-ocular malignancy in adults Most comon intraorbital mass in adults
* most common intra-ocular tumor in children - retinoblastoma * most common intra-orbital tumor in children - rhabdomyosarcoma * most common intra-ocular malignancy in adults - choroidal melanoma * most common intra-orbital mass in adults - cavernous malformation/hemangioma
99
Vascular lesions of the orbit
Vascular lesions of the orbit * venolymphatic malformation * hemangioma - infantile vs congenital * cavernous malformation
100
Orbital infection spectrum
preseptal cellulitis (due to abrasions/trauma) --\> postseptal cellulitis (due to sinusitis - mostly ethmoid, trauma) --\> subperiosteal abscess --\> orbital cellulitis --\> cavernous sinus thrombosis * proptosis * ophthalmoplegia * enlarged extraocular muscles * enlarged/thrombosed superior ophthalmic veins * mycotic aneurysm of the cavernous ICA