Random_8 Flashcards

(100 cards)

1
Q

When to aspirate a breast cyst demonstrated on US

A
  • A cyst should be aspirated if there are internal echoes (ie. when it is unclear whether it is a cyst or solid) or if the patient seeks relief from symptoms.
  • Cysts get larger and smaller, come and go. –> Enlargement of a simple cyst is not in and of itself an indication for aspiration.
How well did you know this?
1
Not at all
2
3
4
5
Perfectly
2
Q

Good oral boards tip

A

Special Oral Boards Note: BEWARE of the case with more than one finding!

A good practice is to identify the obvious finding… “I see a 2cm round mass in the central breast”

and diligently search the rest of the breast tissue… “I am looking for any other finding.”

IF you don’t see anything else then… “I don’t see anything else, so we have a round mass with smooth margins in the…”

IF you see a second finding… “I also see a second finding which looks more suspicious. I’ll first describe the more suspicious area: a 1.5cm spiculated mass is present in the…”

How well did you know this?
1
Not at all
2
3
4
5
Perfectly
3
Q

There is no concept if intra- vs. extra-capsular rupture with saline implants, so there is no need to perform MRI for evaluation of saline implants. MRI is reserved for evaluation of silicone implant rupture

A

There is no concept if intra- vs. extra-capsular rupture with saline implants, so there is no need to perform MRI for evaluation of saline implants. MRI is reserved for evaluation of silicone implant rupture

How well did you know this?
1
Not at all
2
3
4
5
Perfectly
4
Q

Breast feeding patient noticing rapidly enlarging breast mass

A

Statistically, the most likely diagnosis of a well-defined hypoechoic mass with thin septations and a thin echogenic rim is a fibroadenoma. However, with the history of a rapidly enlarging palpable mass during pregnancy, this most likely represents (and was found to be) a lactating adenoma.

Lactating adenomas tend to be large well-defined lobulated masses with fibrotic septae which can appear as echogenic bands within the mass. They are benign, but are usually removed surgically because of their large size and rapid growth.

How well did you know this?
1
Not at all
2
3
4
5
Perfectly
5
Q

Breast mammogram screening guidelines

A
  • no recommendations for 40-49y/o
    • but if they do screening, then q1yr
  • screening for everyone 50-74y/o
    • q2yr
How well did you know this?
1
Not at all
2
3
4
5
Perfectly
6
Q

What additional views to get for

query architectural distortion?

A

Rolled biplane (CC/ML) spot compression views

How well did you know this?
1
Not at all
2
3
4
5
Perfectly
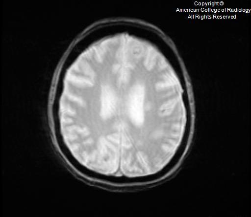
7
Q

DDx of restricted diffusion on brain MR

A
  • ischemia
  • abscess
  • empyema
  • epidermoid cyst
How well did you know this?
1
Not at all
2
3
4
5
Perfectly
8
Q

Configuration of cerebral lesiosn that demosntrate restricted diffusio

A
  • rounded, diffuse restriction –> infectious etiology - abscess or septic emboli
  • restriction only in the walls and projections of the lesion (not in its core)–> fungal abscesses
  • special with fungal (esp with aspergillosis infection/abscess): T2-hypointense zones and magnetic susceptibility within the wall of cerebral Aspergillus lesions can be attributed to a dense population of Aspergillus paramagnetic hyphal elements, especially iron and magnesium, which are essential for hyphal growth. It has also been postulated that this MR finding may correspond to hemorrhage in the capsular wall.
How well did you know this?
1
Not at all
2
3
4
5
Perfectly
9
Q

LATERAL lesion moves LOWER on true LATERAL projection on mammo

A

LATERAL lesion moves LOWER on true LATERAL projection on mammo

How well did you know this?
1
Not at all
2
3
4
5
Perfectly
10
Q

Cancers in younger women tend to be more aggressive, therefore need yearly screening in order to catch interval cancers

But stage by stage, the prognosis is the same, if not better

A

Cancers in younger women tend to be more aggressive, therefore need yearly screening in order to catch interval cancers

But stage by stage, the prognosis is the same, if not better

How well did you know this?
1
Not at all
2
3
4
5
Perfectly
11
Q

Screening for high risk patients

A
  • lifetime risk > 20% –> MRI screening
  • lifetime risk 15-20% –> may add U/S screening
How well did you know this?
1
Not at all
2
3
4
5
Perfectly
12
Q

What type of breast cancer can be barely detectable now but become a 5-cm mass 5 months later?

A

Lobular carcinoma

How well did you know this?
1
Not at all
2
3
4
5
Perfectly
13
Q

What features help confirm male gynecomastia?

A
  • Flame shaped fibrogladular tissues
  • Concave borders - lack of mass effect
How well did you know this?
1
Not at all
2
3
4
5
Perfectly
14
Q

From an epidemiologic standpoint, the most common fungal infections to cause brain abscesses are aspergillosis, candidiasis, and mucormycosis.

A

From an epidemiologic standpoint, the most common fungal infections to cause brain abscesses are

aspergillosis,

candidiasis,

and mucormycosis.

How well did you know this?
1
Not at all
2
3
4
5
Perfectly
15
Q

Cerebral aspergillosis

A
  • Cerebral aspergillosis is seen in approximately 10-20% cases of invasive aspergillosis.
  • The usual primary site of aspergillosis infection is the lungs and paranasal sinuses, since the route of transmission is via spore inhalation.
  • CNS involvement occurs via hematogenous spread from the lungs or direct invasion via the paranasal sinuses.
  • Invasive aspergillosis involving the CNS is rare but occurs with increased frequency in immunosuppressed individuals.
How well did you know this?
1
Not at all
2
3
4
5
Perfectly
16
Q

TB vs

Fungal vs

Pyogenic

cerebral abscesses

A
  • TB
    • TB meningitis way more common than TB abscess (tuberculoma)
    • tuberculoma
      • T2 hyper, with T2 hypo rim
      • NO retricted diffusion!
      • generally solitary
  • Pyogenic abscess
    • staph, strep, GNB
    • “light bulb bright” restricted diffusion
  • Fungal abscess
    • T2 hyper
    • may have some T2 hypointensity, due to microhemorrhage or Fe/Mg containing hyphae
    • mild restricted diffusion involving the rim or projections
How well did you know this?
1
Not at all
2
3
4
5
Perfectly
17
Q

What is normal post void residual volume?

A

<10%

or

< 50cc

How well did you know this?
1
Not at all
2
3
4
5
Perfectly
18
Q
A

Epididymis anatomy

  • A - head of epididymis
  • B - body of epididymis
  • C - tail of epididymis
  • D - vas deferens
How well did you know this?
1
Not at all
2
3
4
5
Perfectly
19
Q

Normal

  • cervical length
  • distance b/t placenta and cervix
A
  • normal cervical length > 2.5cm
  • normal distance b/t placenta and cervix > 2.0cm
How well did you know this?
1
Not at all
2
3
4
5
Perfectly
20
Q

Leiomyoma

A
  • a benign smooth muscle neoplasm
  • most common locations
    • uterus
    • esophagus
    • small bowel
  • leimyoma vs leiomyosarcoma
    • cytologic atypia
    • increased or atypical mitoses or necrosis
How well did you know this?
1
Not at all
2
3
4
5
Perfectly
21
Q

Layers of scrotum

from superficial tu deep

A
  • skin
  • dartos fascia
  • external spermatic fascia
  • cremaster muscle
  • internal spermatic fascia
  • parietal layer of tunica vaginalis.
How well did you know this?
1
Not at all
2
3
4
5
Perfectly
22
Q

Where does scrotal leiomyoma arise from?

A

Scrotal leiomyoma arises from the dartos muscle fascia, which is composed of smooth muscle fibers in a scattered arrangement forming a poorly defined muscle layer in the scrotum.

How well did you know this?
1
Not at all
2
3
4
5
Perfectly
23
Q

Incidence vs Prevalence of breast cancer

A
  • prevalence screening
    • number of women living with breast cancer at any given time
    • prevalence screening = 1st mammogram performed in previsouly unscreened women
    • rate = 6-10/1000 (higher than incidence screening)
  • incidence screening
    • number of new cases of breast cancer over a specific period
    • incidence rate = number /per100000ppl over 1 year
    • rate = 3/1000
How well did you know this?
1
Not at all
2
3
4
5
Perfectly
24
Q

Cerebral cavernomas

A
  • most often intra-axial, extra-axial cavernomas are very rare
  • exophytic cavernous malformations are most often asymptomatic; when they beome symptomatic, the most common symptom is focal neurological signs (as opposed to seizures)
  • cavernous malformations may develop after radiation therapy to the brain
  • high-resolution, SWI MRI is a 3-D, gradient echo (GRE) imaging technique based on blood oxygen level dependent (BOLD)-induced phase effects between venous blood and the adjacent brain parenchyma. It allows noninvasive visualization of small veins in the brain at higher spatial resolution and with greater detail than standard MRI, thus allowing enhanced visualization of deoxyhemoglobin within the intralesional tubular structures
  • size of a cavernous malformation did NOT affect rates of hemorrhage
How well did you know this?
1
Not at all
2
3
4
5
Perfectly
25
SWI vs GRE
High-resolution, SWI MRI is a 3-D, gradient echo (GRE) imaging technique based on blood oxygen level dependent (BOLD)-induced phase effects between venous blood and the adjacent brain parenchyma. It allows noninvasive visualization of small veins in the brain at higher spatial resolution and with greater detail than standard MRI, thus allowing enhanced visualization of deoxyhemoglobin within the intralesional tubular structures.
26
Cavernous malformation
* 80-90% of cerebral cavernous malformations are supratentorial. Of the remainder, some may arise exophytically from the brain stem where they may be mistaken for aneurysms, AVMs, or vascular metastases. * Cavernous malformations are catheter angiographically OCCULT. MRI is almost always diagnostic. T2\* GRE and SWI sequences are the current gold standard, as they can show smaller foci with blooming artifacts to better advantage than a T2-weighted sequence alone. * AVMs show "flow voids" secondary to rapid internal shunting and intra-voxel dephasing. Cavernous malformations do not show flow voids or pulsation artifacts
27
What is cavernous malformation commonly associated with?
DVA
28
Cavernoma vs AVM
Whereas AVMs show flow voids secondary to rapid internal shunting and intravoxel dephasing, cavernous malformations do not show flow voids or pulsation artifacts. AVM has intervening brain parenchyma, cavernoma does not
29
FNH
* 2nd most common benign hepatic neoplasm (most common benign hepatic neoplasm - hemangioma) * incidence 1-3% * U/S - homogeneous and isoechoic * CT - hyperdense on arterial phase, iso to hypodense on PV phase, and isodense on delayed phase; central scar enhances on delayed phase
30
Gastric diverticulum * 0.02% incidence * DDx * pancreatic pseudocyst * abdominal abscess * adrenal cyst * renal cyst * retroperitoneal lymphangioma
31
Mesenteric panniculitis
* inflammation of the adipose tissue of the mesentery * \> 50y/o * usually idiopathic * other causes * recent surgery, esp cholecystectomy or appendectomy * cholelithiasis * lymphoma * cirrhosis * AAA * peptic ulcer * gastric carcinoma * autoimmune dz * abdo trauma * can be chronic - 3 stages * degeneration of fat - mesenteric lipodystrophy - asymptomatic * inflamation - mesenteric panniculitis - can be associated with abdo pain, nausea, malaise and other symtoms * fobrisis - retractile mesenteritis - rare, can result in intestinal obstruction *
32
DDx for Misty Mesentery
* Mesenteric panniculitis Hypoalbuminemia Cirrhosis Lymphedema of the mesentery Pancreatitis Tuberculosis Hemorrhage Non-Hodgkin’s Lymphoma
33
Fixed bowel structure in the abdomen
* The fixed gastrointestinal structures in the abdomen are those that are secondarily retroperitoneal, or attached firmly to the posterior wall of the abdomen * Includes: * ligament of Treitz (which is the only fixed point of the small bowel beyond the duodenum) * ascending and descending colon (including the hepatic and splenic flexures) * rectum * The cecum is variable in its fixation (as it is mobile in many patients). The transverse colon and sigmoid colon are on mesenteries and are not fixed.
34
Prognosis of colloid cyst
* Most are asymptomatic - can be monitored by serial imaging, as 90% remain stable without enlargement * Rare complications: Acute hydrocephalus \>herniation\>death secondary to obstruction of Foramen of Monro * Classically presents as acute severe headache, reproduced by patient tilting head forward (Brun phenomenon)
35
Action if previously "known" fibroadenoma has grown in size in the interval?
Biopsy
36
What to do if seeing a lesion favored to represent a fibroadenoma on first mammogram (i.e., no previous for comarison)?
BI-RADS 3 followup in 6/12
37
Causes of denser breast on following mammo?
* pt has lost weight * less compression * hormone replacement Rx *
38
What to do if a women presents with a palpable mass?
* if \< 30(35) y/o --\> starts with U/S * if \> 30(35) y/o --\> starts with Mammo
39
Pattern of breast glandular tissue involution?
medial to lateral posterior to anterior
40
3 vessel view
* from right to left * SVC * ascending aorta * PA * normal configuration * V shaped * trachea is right to the aorta * if U shaped configuration * trachea is left to th aorta * right sided aortic arch
41
what percentage of nodules identified on CXR are not within the lungs?
20%
42
Frontal AP pelvis xray how do you differentiate anterior from posterior acetabular walls?
POSTERIOR acetabular walls are more lateral!!!
43
What to say about scrotal mass that is extra-testicular in location?
Extra-testicular scrotal mass is almost always benign!!!
44
Inflammatory breast carcinoma
* 1-6% of all breast cancers * average onset: 45-54 years. This is slightly younger than that for other invasive breast carcinomas * Pathologic diagnosis -- the presence of tumor emboli within dilated dermal lymphatics and a surrounding lymphocytic reaction in the dermis * Biopsy * punch skin biopsy, and/or * core needle bx of mass * breast MR - extent of disase and monitor treatment response * Rx * chemo --\> mastectomy --\> radiation +/- hormone Rx
45
Crossed Cerebellar Diaschisis
* CCD is defined as a functional matched metabolic depression or decreased blood flow and oxygen extraction in the cerebellar hemisphere contralateral to a focal supratentorial lesion. * The underlying mechanism of CCD is disruption of the supratentorial portion of the *_corticopontocerebellar tract_* secondary to damaged excitatory corticopontine projections, which is most commonly seen with large MCA territory infarctions. * Although most commonly seen with infarction, CCD is seen with other etiologies such as brain tumors, spinocerebellar degeneration, Alzheimer’s disease, and epilepsy. * Most CCD studies have not shown anatomic changes such as cerebellar atrophy particularly when caused by ischemia; however, crossed cerebellar atrophy on MRI has been noted in patients with longstanding intractable seizures and large areas of cerebral atrophy.
46
Good sayings... "targeted ultrasound of the region of interest" "increased in conspicuity" "persists on spot compression views" "but no sonographic correlate"
Good sayings... ## Footnote "targeted ultrasound of the region of interest" "increased in conspicuity" "persists on spot compression views" "but no sonographic correlate"
47
Whats the usage of rolled views?
1. to localize the lesion depending how the lesion moves * e.g., lateral lesion would move lower on true lateral projection (LLL) 2. to help differentiate true lesion from merely overlapping breast tissues * e.g., apparent density may disappear on rolled views
48
What's the following up scheme for a BIRADS 3 lesion?
1. at 6 months 2. at 1 year 3. at 2 years 4. if thats stable, back to routine screening
49
What does it mean when you see a solid breast lesion on US with lobulated margins but don't shadow?
It maybe fibroadenoma but it also maybe a HIGH-GRADE IDC such as medullary, or mucinous subtypes - high grade and therefore no desmoplastic reaction
50
Male breast cancer makes up what percentage of all breast cancers?
1%
51
Persistent sciatic artery
* Abnormally enlarged internal iliac artery on DSA should raise the question of collateralization in the setting of peripheral arterial disease as well as the rare anatomic variant of a PSA. * PSA results from abnormal embryogenesis with the embryologic axial artery remaining the dominant vessel to the lower extremity rather than the external iliac circulation taking over through the SFA. * Clinical concerns are for the complication of aneurysm formation with resulting thrombosis and embolization. * The sciatic artery persists in approximately 0.05% of the population.
52
Telltale triangle sign of pneumoperitoneum
Telltale triangle sign of pneumoperitoneum
53
Radiographic findings of NF-1
* bizarre kyphoscoliosis * scalloped vertebrae * hypoplastic pedicles * enlarged neuroforamina * ribbon ribs * multiple nerve sheath tumors * plexiform neurofibromas * dural ectasia * lateral meningoceles * fibromuscular dysplasia * vascular stenosis * intracranial aneurysms * moyamoya
54
How do you tell which is the L4 transverse process?
L4 TP flares up!!
55
What BIRADS to assign to a lesion you think that's focal fat necrosis?
BIRADS-3 6/12 follow up
56
Saying "An attempt will be made to obtain prior mammograms and an addendum will be issued/submitted if there are received."
Saying ## Footnote "An attempt will be made to obtain prior mammograms and an addendum will be issued/submitted if there are received."
57
Good saying: " the patient has a palpable area of concern lateral to..., over which a BB has been placed."
Good saying: ## Footnote " the patient has a palpable area of concern lateral to..., over which a BB has been placed."
58
Good saying: "Further assessment of any palpable concern needs to be based on clinical findings."
Good saying: ## Footnote "Further assessment of any palpable concern needs to be based on clinical findings."
59
``` # Define: fall through ```
Fall through - fail utterly; collapse; "The project foundered".
60
Dongle
A device that is connected to a computer to allow access to wireless broadband or use of protected software.
61
sine qua non
bi yao tiao jian
62
Tuberous Sclerosis / TS
* cortical tubers * subpendymal nodules * subpendymal giant astrocytomas
63
Entities that can lead to PMF progressive massive fibrosis
* sarcoidosis * silicosis * CWP * berylliosis * talcosis
64
Bile duct hamartoma is also called?
von Meyenburg complex
65
Pick your brain vs Eat your brains
Pick your brain vs Eat your brains
66
Volumen
VoLumen® is a low density barium sulfate contrast agent especially designed for MDCT (multi-detector row CT) and PET/CT exams to mark the bowel. .Volumen is useful for CT studies of the small bowel and mesenteric vessels. It is low dose barium at 0.1% w/v, 0.1% w/w barium sulfate suspension. VoLumen is a dilute barium sulfate suspension and has a flavoring agent. It contains sorbitol to reduce water absorption and gum to increase viscosity. These ingredients theoretically result in better bowel distention than water. Because it contains Sorbitol some patiente Will experience diarrhea when used. Patients should be warned about this before leaving the Radiology department. Usually either 2 or 3 premixed volumes are given (450 ml each) and the patient Needs to drink it over a 30 minute period. Each bottle should be drunk over 10 minute period. When All 3 are drunk (at 30 minutes) the CT study is done promptly using IV contrast material often as a CT Enterography study with CT Angiography.
67
Most common malignancy to involve the mesentery?
Lymphoma * may encase or displace mesenteric vessels - sandwich sign * mildly enhancing
68
Nutcracker syndrome
* Nutcracker syndrome refers to symptomatic renal disease resulting from the compression of the left renal vein between the abdominal aorta and the superior mesenteric artery. * The most common abnormality on contrast-enhanced CT is compression of the left renal vein by 50% or more, and unilateral enlargement and edema of the left kidney may be present. The presence and extent of collateral vessel formation should be documented. * Patients with mild symptoms may be treated conservatively. However, surgical and endovascular therapies may be employed in the setting of persistent or massive hematuria.
69
Most common carpal dislocation?
Perilunate dislocation
70
Talc granulomatosis * IV drug user * Talc granulomatosis is confirmed by the presence of birefringent crystals in a histologic specimen on polarized light microscopy * 4 types of pulmonary disease secondary to talc exposure have been defined: * talcosilicosis - occupational exposure and inhalation of dust, which contains talc as well as silica or asbestos * talcoasbestosis - occupational exposure and inhalation of dust, which contains talc as well as silica or asbestos * talcosis - associated with the inhalation of pure talc * talc granulomatosis - occurs in intravenous drug abusers who inject tablets intended for oral use *
71
HASTE vs BLADE
* both are T2 weighted * HASTE - alf-Fourier acquisition single-shot turbo spin-echo * BLADE - proprietary name for periodically rotated overlapping parallel lines with enhanced reconstruction (PROPELLER) in MR systems from Siemens Healthcare - different way of filling the K space - not line-by-line, but radially * Essentially though * HASTE - super fast aquisition * BLADE - T2 fat sat!!
72
Pancreas divisum
* embryologically: * dorsal - pancreatic body and tail - *_accessary duct of Santorini_* draining into minor papilla * ventral - eventually becomes head and uncinate process - *_main duct of Wirsung_* draining major papilla * usually the accessary duct and main duct fuse, and both drain into the major papilla * if the accessary duct remains patent, and has no communication with the main duct, and drains separately into the minor papilla - crossing over the CBD into the duodenal - T sign -- pancreas divisum * increased risk of pancreatitis
73
Best MR sequene to detect pathology such as lymph nodes?
* DWI * or T2 weighted
74
What is VIBE
Essentially, VIBE is T1 fat sat
75
Whats the T2 TE time that has the power to differentiate?
* TE = 120msec * If still super bright - cyst * If not as bright - hemangioma, HCC, mets, etc
76
What liver lesions * invade or occlude portal or hepatic veins? * displace hepatic vessels? * run through hepatic vessels?
What liver lesions * invade or occlude portal or hepatic veins? * HCC * abscess * displace hepatic vessels? * metastasis * run through hepatic vessels? * lymphoma * cholangiocarcinoma
77
How would biliary hamartomas look on US? aka von Meyenburg complexes
* echogenic if small * ring down artifact * due to inssipisated bile salts * starry sky on MR
78
Bowel change in Crohn's Disease
"Fatty proliferation of the submucosa" "Air/gas tracks into the bowel wall external to the mucosa - focal ulceration"
79
What things to comment on when describing Crohn's disease?
* No other area of Crohn's disease elsewhere * No complications such as fistula, phlegmon, or abscess * No perianal disease
80
Chemical shift
* only on T2 weighted sequence (maybe b/c both water and fat would be bright?) * only happen to *_macroscopic fat_* * only occur in the *_direction of frequency encoding_* * at higher frequency encoding gradient, the water molecules appear to move to this direction, and become bright; fat molecules appear to move down the gradient, and appear dark
81
Ischemic colitis and colon cancer?
Ischemic colitis often associated with colon cancer often occurs in the colon *_proximal to_* the cancer
82
Normal MR * which segment bowel normally has the highest T2 signal? * which organ normally has higher T2 signal, spleen or liver? * which organ normally has higher restricted diffusion, spleen or liver?
* which segment bowel normally has the highest T2 signal? * jejunum * which organ normally has higher T2 signal, spleen or liver? * spleen * which organ normally has higher restricted diffusion, spleen or liver? * spleen
83
Aortic IMH results from ruptured *_vaso vasorum_* in the medial wall with resultant hemorrhage.
Aortic IMH results from ruptured *_vaso vasorum_* in the medial wall with resultant hemorrhage.
84
Gamna-Gandy bodies aka Splenic siderotic nodules
* in the spleen * most commonly encountered in portal hypertension * microhaemorhage resulting in haemosiderin and calcium deposition followed by fibroblastic reaction * resembling "tobacco flecks" * associated with * portal hypertension * sickle cell anemia * paroxysmal nocturnal haemoglobinuria * leukemia/lymphoma * blood transfusions * U/S - Multiple tiny echogenic foci without acoustic shadowing * MR - punctate siderotic nodules; T2 hypo, GRE susceptibility artifact
85
Variant hepatic duct anatomy
86
Metastatic IPMN * intraductal papillary mucnous neoplasm * composed of ductal columnar epithelial cells that have hypertrophied. * produce substantial amounts of mucin and can cause obstruction and ductal dilatation * men between the ages of 60 and 80 * main duct IPMN - risk of malignant degeneration --\> surgical resection * side branch IPMN --\> imaing followup * concerning features of malignant degeneration: * solid mass within panc duct * main duct dilataion \> 10mm * diffuse multifocal involvement
87
Kasai procedure for biliary atresia
A hepatoportoenterostomy, or Kasai portoenterostomy is a surgical treatment performed on infants with biliary atresia to allow for bile drainage. The surgery involves exposing the porta hepatis and attaching part of the small intestine to the exposed liver surface. The rationale for this approach is that minute residual bile duct remnants may be present in the fibrous tissue of the porta hepatis and thus provide direct connection with the intrahepatic ductule system to allow bile drainage
88
Meigs' syndrome
* triad: benign ovarian tumor, pleural effusion, ascites * resolves after resection of the tumor * postulated to arise from the frictional effects of a hard mass stimulating the peritoneal fluid production
89
Volume of pleural effusions in terms of locations
* lateral decubitus film \> 10mL * posterior costophrenic sulcus \> 50mL * lateral costophrenic sulcus \> 200mL * mediastinal shift \> 1000mL * subpulmonic effusion: lateral peak sign * most common cause of bilateral pleural effusions: CHF, no need for thoracentesis
90
K Space
* plot data along _frequency_ and _phase_ coordinates * center of k space - weakest gradients, but highest signal intensity --\> plot image *_contrast information_* * periphery of k space - highest gradients, but lowest signal intensity (due to dephasing) --\> plot image *_detail information_* * increasing k space plotting density --\> expands FOV * increasing k space plotting area --\> augments spatial resolution
91
SSFP
* an equilibrium quantity of transverse and longitudinal magnetization is maintained at a steady state * tissue contrast = T2/T1 * both steady and moving water is bright on SSFP
92
EPI sequence
* a gradient echo sequence that acquires all data necessary to fill a k space within one RF pulse * in body MR, EPI is commandeered for DWI sequence
93
T1 and T2
* T1 - the time to recover 63% of the original longitudinal magnetization after an Rf excitation pulse * T1WI - short TR * smaller flip angle (FA) on gradient echo sequences, more T1 weighted it is * T2 - time elapsed after 63% of the original transverse magnetization has decayed * T2 contrast - spin echo imaging * T2\* contrast - gradient echo imaging * T2 WI - long TE * proton density * long TR * short TE
94
Diagmagnetic vs Paramagnetic vs Ferromagnetic
* Diagmagnetic * most of the tissues of the human body * Paramagnetic * metHb, melanin, protein, gadolinium * Ferromagnetic * iron * cobalt * nickel
95
receiver band width and SNR
The receiver bandwidth defines the rate at which the echo is sampled by the receiver. Increased receiver bandwidth samples faster with a greater range of sampled frequencies, which includes more noise and less relevant signal-generated frequencies. So, although time is saved, thereby decreasing the TE, SNR is compromised
96
Most common location of arachnoid cyst
MIDDLE cranial fossa
97
MR findings of acute hepatitis of various causes viral non-viral: toxo, etc medications metabolic: wilson's dz autoimmune etc
* nonspecific findings * hepatomegaly * periportal edema * delayed periportal enhancement * periportal LAD * edematous gallbladder wall * ascites
98
"as follows"
"as follows"
99
Management of focal cystic pancreatic lesion
100
anteversion and retroversion vs anteflex and retroflex
* version - cervix with respect to vagina * flex - uterus with respect to cervix