Aborto Flashcards

(86 cards)

1
Q

¿Qué es un aborto según la definición médica?

A

Interrupción del embarazo antes de la semana 20 o con un feto de menos de 500 gramos.

How well did you know this?
1
Not at all
2
3
4
5
Perfectly
2
Q

¿Cuáles son las posibles causas de hemorragia vaginal en la primera mitad del embarazo?

A
  • Aborto
  • Embarazo ectópico
  • Enfermedad trofoblástica gestacional
How well did you know this?
1
Not at all
2
3
4
5
Perfectly
3
Q

¿Qué porcentaje de abortos espontáneos ocurre en las primeras 12 semanas?

A

Más del 80%.

How well did you know this?
1
Not at all
2
3
4
5
Perfectly
4
Q

Que es un aborto?

A

Interrupción embarazo antes de 20 semanas

< 500 gr

30% se producen antes de la implantación
30% durante la 3era o 4ta semana embarazo
Solo 1/3 llega a término

How well did you know this?
1
Not at all
2
3
4
5
Perfectly
5
Q

¿Cómo se clasifica el aborto según su origen?

A
  • Espontáneo
  • Provocado
How well did you know this?
1
Not at all
2
3
4
5
Perfectly
6
Q

¿Cómo se clasifica el aborto según la evacuación?

A
  • Completo
  • Incompleto
How well did you know this?
1
Not at all
2
3
4
5
Perfectly
7
Q

¿Cómo se clasifica el aborto según las consecuencias?

A
  • No complicado
  • Complicado
How well did you know this?
1
Not at all
2
3
4
5
Perfectly
8
Q

¿Cómo se clasifica el aborto según la frecuencia?

A
  • Incidental
  • Recurrente: Único, 3 o más consecutivos o 5 no consecutivos
How well did you know this?
1
Not at all
2
3
4
5
Perfectly
9
Q

¿Cuáles son las principales etiologías del aborto espontáneo?

A
  • Factores inherentes a los gametos (óvulo, espermatozoide)
  • Factores inherentes al huevo (alteraciones cromosómicas, trofoblasto, huevo anembrionado)
    Factores maternos (infecciones, enfermedades crónicas, alteraciones endocrinas, genitales, constitucionales, traumatismos)
  • Factor masculino
How well did you know this?
1
Not at all
2
3
4
5
Perfectly
10
Q

Etiológias

A
  • CAUSAS gametos
  • CAUSAS extraovulares
How well did you know this?
1
Not at all
2
3
4
5
Perfectly
11
Q

Etiología: CAUSAS gametos

A

GENETICA:
Casi 60 %.
Alteraciones cromosómicas
En más o en menos

TROFOBLASTO
Desarrollo anormal de anexos ovulares

ENDOCRINA
Del trofoblasto (HCG)
Cuerpo luteo (progesterona)

How well did you know this?
1
Not at all
2
3
4
5
Perfectly
12
Q

CAUSAS extraovulares

A

Aparato GENITAL:
Malformaciones
Miomas
Pólipos

Infecciones:
Sífilis
Toxoplasmosis

Enf. crónicas:
Hipotiroidismo
Diabetes

ENDOCRINAS:
Cuerpo Lúteo insuficiente
Alt. del endometrio

ANEMIA
ALCOHOL
Traumatismos
Inmunológicas

How well did you know this?
1
Not at all
2
3
4
5
Perfectly
13
Q

¿Qué porcentaje de abortos espontáneos se debe a alteraciones cromosómicas?

A

Cerca del 60%.

How well did you know this?
1
Not at all
2
3
4
5
Perfectly
14
Q

¿Qué hormona es clave para el sostén del embarazo en las primeras semanas?

A

HCG (Gonadotropina Coriónica Humana).

How well did you know this?
1
Not at all
2
3
4
5
Perfectly
15
Q

¿Qué función cumple el cuerpo lúteo en el embarazo?

A

Sostiene el embarazo hasta el desarrollo de la placenta, estimulado por la HCG.

How well did you know this?
1
Not at all
2
3
4
5
Perfectly
16
Q

¿Cuáles son las infecciones maternas asociadas al aborto espontáneo?

A
  • Sífilis
  • Toxoplasmosis
How well did you know this?
1
Not at all
2
3
4
5
Perfectly
17
Q

¿Qué enfermedades crónicas maternas pueden causar aborto espontáneo?

A
  • Hipotiroidismo
  • Diabetes mellitus
How well did you know this?
1
Not at all
2
3
4
5
Perfectly
18
Q

¿Cuáles son las alteraciones genitales maternas que predisponen al aborto?

A
  • Malformaciones (útero tabicado, hipoplasia)
  • Leiomiomas
  • Pólipos
How well did you know this?
1
Not at all
2
3
4
5
Perfectly
19
Q

¿Cuáles son los métodos diagnósticos principales para el aborto?

A
  • Clínica (test de embarazo positivo, metrorragia, dolor)
  • Ecografía
  • Laboratorio
How well did you know this?
1
Not at all
2
3
4
5
Perfectly
20
Q

Formas Clínicas

A
  • Amenaza de aborto
  • Aborto en curso
  • Aborto incompleto
  • Aborto habitual
  • Aborto completo
  • Aborto infectado
  • Huevo muerto y retenido
How well did you know this?
1
Not at all
2
3
4
5
Perfectly
21
Q

¿Qué caracteriza clínicamente la amenaza de aborto?

A
  • Hemorragia leve amarronada o rosa
  • Dolor hipogástrico cólico
  • Cuello cerrado y formado
  • ❌❌❌ El embrión está con latido positivo ❌❌❌
How well did you know this?
1
Not at all
2
3
4
5
Perfectly
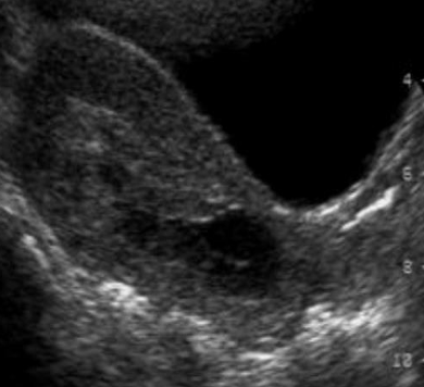
22
Q

¿Qué hallazgos ecográficos confirman una gestación normal en amenaza de aborto?

A

Gestación con características normales.

How well did you know this?
1
Not at all
2
3
4
5
Perfectly
23
Q

¿Qué síntomas diferencian el aborto inminente (en curso) de la amenaza de aborto?

A
  • Metrorragia abundante con coágulos
  • Dolores rítmicos cólicos en aumento
  • Reblandecimiento del cuello
Los síntomas son muy intensos, sangrado abundante, cólicos, reblandecimiento del cuello. En curso cuando el cuello está totalmente abierto, puede haber perdida de líquido o tactarse partes fetales.
How well did you know this?
1
Not at all
2
3
4
5
Perfectly
24
Q

ABORTO INCOMPLETO

A

El cuerpo todavia está intentando eliminar

Antes de las 10 semanas puede ser completo, después ya es más difícil

How well did you know this?
1
Not at all
2
3
4
5
Perfectly
25
¿Qué caracteriza el aborto en curso?
- Metrorragia intensa con coágulos - Cuello permeable y abierto - Restos fetales visibles - Ausencia de actividad cardíaca fetal en ecografía
26
¿Qué diferencia el aborto temprano del tardío?
- Temprano: antes de la semana 13 - Tardío: entre semanas 13 y 22
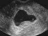
27
¿Qué define un aborto completo?
Expulsión completa del embrión y restos ovulares, con cierre del cuello y disminución del volumen uterino. | Endométrio proliferado ## Footnote No se hace nada
28
¿Qué hallazgos ecográficos confirman un aborto completo?
Línea endometrial delgada y cuello formado.
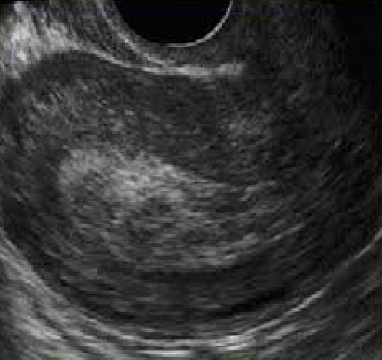
29
¿Qué caracteriza un aborto incompleto?
Restos ovulares retenidos, útero no involucionado, cuello entreabierto o cerrado, hemorragia persistente.
30
¿Qué tratamiento es necesario en un aborto incompleto?
Evacuación de la cavidad uterina y estabilización hemodinámica.
31
¿Qué síntomas sugieren un aborto infectado?
- Fiebre - Decaimiento - Taquicardia - Escalofríos - Leucocitosis ## Footnote * Anexitis * Pelviperitonitis * Celulitis pelviana
32
¿Qué bacterias gram positivas están asociadas al aborto infectado?
- **Estafilococos** - Estreptococos - Clostridium perfringens (más grave)
33
¿Qué bacterias gram negativas están asociadas al aborto infectado?
- Aerobacter - Pseudomona - Proteus - **E. coli**
34
¿Qué complicaciones puede causar **Clostridium perfringens** en un aborto infectado? | Aborto séptico
- Endometritis - Miometritis - Gangrena uterina - Síndrome de Mondor
35
¿Qué es el síndrome de Mondor?
Sepsis generalizada por endotoxinas, con hemólisis, ictericia, daño hepatorrenal, oligoanuria y alta mortalidad.
36
¿Cuál es la triada de Mondor?
- Hemoglobinemia - Hemoglobinuria - Ictericia ## Footnote SABER!
37
Sme Mondor: fase hepatorrenal
SEPSIS OLIGO-ANURIA EFECTO MIOTOXICO NEUROTOXICO ## Footnote ALTA MORTALIDAD INTERNACION UTI HISTERECTOMIA ANTIBIOTICOS
38
¿Cuál es el tratamiento para el aborto infectado por Clostridium perfringens?
- Penicilina: 2 g inicial, luego 1 g cada 4 horas - Gentamicina: 5 mg/kg/día - Metronidazol: 500 mg cada 12 horas - Internación en UTI, histerectomía si es necesario | Se dá los 3 juntos
39
¿Qué es un huevo anembrionado?
Saco gestacional intrauterino mayor a 25 mm sin embrión ni saco vitelino, confirmado por **dos ecografías** con 7-14 días de diferencia.
40
¿Qué caracteriza un huevo muerto y retenido (MEP)?
Detención del desarrollo ovular con retención del saco gestacional o feto, sin vitalidad en ecografía.
41
¿Qué hallazgos ecográficos confirman un huevo muerto y retenido?
- Ausencia de vitalidad - Lisis embrionaria - Saco gestacional deformado - Hematomas retrocoriales/placentarios
42
¿Cuál es el tratamiento para un huevo muerto y retenido?
Evacuación uterina dentro de los 30 días.
43
¿Cuál es la complicación más temida de un huevo muerto y retenido?
Trastornos de la coagulación.
44
DX Diferencial del aborto
* Embarazo Ectópico * Mola Hidatiforma
45
Evolución
46
¿Cómo se diferencia una mola hidatiforme en el diagnóstico diferencial?
HCG mayor a 100.000 mUI/mL.
47
¿Cómo se diferencia un embarazo ectópico en el diagnóstico diferencial?
- Metrorragia oscura (en “borra de café”) - Útero menor al esperado por amenorrea - Ausencia de saco gestacional intrauterino en ecografía
48
¿Cuáles son las complicaciones principales del aborto espontáneo?
- Hemorragia - Retención de restos ovulares - Infección (incluido síndrome de Mondor) - Inmunosensibilidad por factor Rh
49
¿Qué tratamiento se recomienda para evitar la sensibilización por factor Rh?
Inmunoglobulina Rh (300 µg) dentro de las 72 horas post-aborto en mujeres Rh negativas.
50
# TRATAMIENTO depende de la forma clínica ¿Cuál es la evidencia sobre el reposo absoluto en el aborto espontáneo?
No hay evidencia suficiente de que mejore el pronóstico.
51
¿En qué casos se indica progesterona en el aborto espontáneo?
- Fase lútea inadecuada - Amenaza de aborto
52
¿Qué medicamentos se usan para el alivio del dolor en el aborto espontáneo?
- AINE (Antiinflamatorios no esteroideos) - Antiespasmódicos ## Footnote - REPOSO: relativo...?? Amenaza - PROGESTERONA: solo en FLI y en Amenaza de aborto. - PROSTAGLANDINAS: para evacuación y/o preparación del cuello - ALIVIO DEL DOLOR: AINE + ANTIESPASMÓDICOS. - ANTIBIOTICOTERAPIA: Según estadío evolutivo. - LEGRADO UTERINO EVACUADOR/**AMEU** - CIRUGÍA: LAPAROTOMÍA EXPLORADORA - ASESORAMIENTO: Planificación familiar/período intergenésico/asesoramiento genético.
53
¿Qué medicamento se usa para preparar el cuello uterino antes de un aborto quirúrgico?
Misoprostol. ## Footnote 🧪 Usos principales del misoprostol: * Inducción del trabajo de parto 🟢 (cuando está indicado). * Maduración cervical antes de una inducción. * Abortos inducidos (en combinación con mifepristona o solo). * Evacuación uterina en aborto incompleto o retenido. * Tratamiento y prevención de hemorragia postparto 💉 (por atonía uterina).
54
¿Cuáles son las contraindicaciones absolutas del misoprostol?
- Disfunción hepática o renal grave - Asma grave no controlada - Sospecha de embarazo ectópico - Masa anexial no diagnosticada - DIU (Dispositivo Intrauterino) - EPI (Enfermedad Pélvica Inflamatoria) - Coagulopatías - Tratamiento anticoagulante - Porfiria hereditaria - Alergia a prostaglandinas
55
¿Qué es la AMEU (Aspiración Manual Endouterina)?
Técnica de evacuación uterina con anestesia local o paracervical, menor riesgo de complicaciones y recuperación más rápida.
56
¿Qué es el legrado uterino evacuador?
Procedimiento quirúrgico en quirófano con anestesia general, mayor riesgo de complicaciones como perforación o sinequias. Anestesia General + traumático + perforación + hemorragia + secuelas ## Footnote LUT: Legrado uterino terapéutico RUE: Raspado uterino evacuador
57
¿Qué es la Ley 27.610 en Argentina?
Regula el acceso a la interrupción voluntaria y legal del embarazo (IVE/ILE) y la atención post-aborto.
58
¿Hasta qué semana se puede realizar una IVE (Interrupción Voluntaria del Embarazo) sin justificar motivos?
Hasta la semana 14 inclusive.
59
¿En qué casos se permite la ILE (Interrupción Legal del Embarazo)?
- Embarazo por violación - Peligro para la vida o salud de la persona gestante
60
¿Cuáles son los derechos en la atención de IVE/ILE?
- Atención gratuita - Plazo máximo de 10 días - Trato digno - Privacidad y confidencialidad - Información clara - Métodos anticonceptivos gratuitos
61
¿Qué debe hacer un profesional de salud objetor de conciencia en casos de IVE/ILE?
Informar sobre el derecho y derivar de inmediato a otro profesional que realice la práctica.
62
¿Qué es el aborto recurrente?
Pérdida de 3 o más embarazos consecutivos.
63
¿Cuál es la prevalencia del aborto recurrente?
1 al 5%. ## Footnote 50% de las parejas NO tienen diagnóstico de causa
64
¿Cuáles son las principales etiologías del aborto recurrente?
- Factores genéticos (aneuploidías) - Alteraciones hormonales/metabólicas - Factores infecciosos - Alteraciones anatómicas - Trastornos inmunohematológicos
65
FACTORES GENÉTICOS
* ANEUPLOIDIAS DE NOVO: Abortos esporádicos. * ANEUPLOIDIAS HEREDADAS DE LOS PADRES: abortos recurrentes. * Factores de riesgo: Edad materna - N° de abortos previos. * Más frecuentes: TRISOMIAS 16,21,22,15. * DIAGNOSTICO: Cariotipo. FISH. Estudio cromosómico * TRATAMIENTO: Asesoramiento/Donación de gametos/Estudios genéticos preimplantatorios.
66
# aborto recurrente TRANSTORNOS HORMONALES / METABÓLICOS
* FASE LÚTEA INADECUADA: Débil asociación. Tratamiento empírico con Progesterona. Afecta al 10% de las abortadoras habituales. * PQO/AUMENTO DE LA RESISTENCIA A LA INSULINA: Frecuencia de aborto: 30 a 60%. * HIPOTIROIDISMO: mayor asociación con abortos del 2° trimestre. * DIABETES MELLITUS: Solo se asocia a Tipo I con mal control metabólico al momento de la concepción.
67
¿Qué infecciones están asociadas al aborto recurrente?
- **Sífilis** (principal): Única infección que se asocia a abortos recurrentes y mortinatos. - Toxoplasmosis - Rubeola - Citomegalovirus - Listeriosis - Vaginosis - Herpes simple
68
¿Qué alteraciones anatómicas están asociadas al aborto recurrente?
- Alteraciones müllerianas (útero arcuato, bicorne, subseptado) - Miomatosis uterina (submucosa) - Sinequias uterinas - Incompetencia ístmico-cervical
69
¿Qué es el síndrome antifosfolípido en el contexto del aborto recurrente?
Trastorno autoinmune con anticuerpos antifosfolípidos, asociado al 10% de abortos recurrentes.
70
¿Cuáles son los criterios diagnósticos del síndrome antifosfolípido?
- Dosaje de anticuerpos antifosfolípidos (inhibidor lúpico, anticardiolipinas, anti-B2 glicoproteína) - Antecedentes de trombosis, preeclampsia, RCIU (Restricción del Crecimiento Intrauterino) o 3 o más abortos
71
DATOS ÚTILES
* 50% de las parejas con abortos recurrentes no tendrán diagnóstico de causa. * Luego de tres abortos consecutivos (recurrente) la posibilidad de un embarazo viable es del 70%, aún con resultados de exámenes complementarios negativos. * Luego de tres pérdidas consecutivas, se reduce un 23% la posibilidad de un embarazo exitoso por cada nuevo aborto. * Luego de seis perdidas la posibilidad de un embarazo viable es menor del 50%
72
¿Cuál de las siguientes es una causa principal de aborto espontáneo? A) Alteraciones cromosómicas B) Consumo excesivo de cafeína C) Ejercicio físico intenso D) Estrés laboral
A) Alteraciones cromosómicas Explicación: Las alteraciones cromosómicas son responsables de cerca del 60% de los abortos espontáneos, siendo la causa más frecuente, especialmente en las primeras 12 semanas.
73
¿Qué hallazgo ecográfico confirma un aborto completo? A) Saco gestacional deformado B) Línea endometrial delgada C) Endometrio engrosado con restos D) Ausencia de actividad cardíaca fetal
B Explicación: Un aborto completo se caracteriza por la expulsión total de restos ovulares, lo que se refleja en una línea endometrial delgada y un cuello formado en la ecografía.
74
¿Cuál de las siguientes infecciones está más asociada con el aborto **recurrente**? A) Citomegalovirus B) Sífilis C) Herpes simple D) Rubeola
B) Sífilis Explicación: La sífilis es la única infección con una asociación clara con abortos recurrentes y mortinatos
75
¿Qué caracteriza el síndrome de Mondor en un aborto infectado? A) Hemorragia leve y fiebre baja B) Sepsis generalizada por endotoxinas C) Dolor abdominal sin fiebre D) Ausencia de leucocitosis
B) Sepsis generalizada por endotoxinas Explicación: El síndrome de Mondor es una complicación grave por Clostridium perfringens, caracterizada por sepsis generalizada, hemólisis, ictericia y alta mortalidad.
76
¿Cuál es el tratamiento inicial para un aborto infectado por Clostridium perfringens? A) Aspiración manual endouterina B) Penicilina, gentamicina y metronidazol C) Misoprostol vaginal D) Reposo absoluto
B) Penicilina, gentamicina y metronidazol Explicación: El tratamiento incluye penicilina (2 g inicial, luego 1 g cada 4 horas), gentamicina (5 mg/kg/día) y metronidazol (500 mg cada 12 horas), junto con soporte en UTI.
77
¿Qué define un huevo anembrionado? A) Saco gestacional con embrión viable B) Saco gestacional mayor a 25 mm sin embrión C) Actividad cardíaca fetal ausente D) Metrorragia abundante
B) Saco gestacional mayor a 25 mm sin embrión Explicación: Un huevo archivado está definido por un saco gestacional intrauterino mayor a 25 mm sin embrión ni saco vitelino, confirmado por ecografías repetidas.
78
¿Cuál es una contraindicación absoluta del misoprostol? A) Cesárea previa B) Sospecha de embarazo ectópico C) Edad materna avanzada D) Hipertensión leve
B) Sospecha de embarazo ectópico Explicación: La sospecha de embarazo ectópico es una contraindicación absoluta para el uso de misoprostol, ya que puede agravar la condición.
79
¿Qué técnica de evacuación uterina tiene menor riesgo de complicaciones? A) Legrado uterino evacuador B) AMEU (Aspiración Manual Endouterina) C) Laparotomía exploradora D) Histerectomía
B) AMEU (Aspiración Manual Endouterina) Explicación: La AMEU utiliza anestesia local, tiene menor riesgo de perforación, hemorragia o sinequias, y permite una recuperación más rápida.
80
¿Hasta qué semana se permite la IVE (Interrupción Voluntaria del Embarazo) sin justificar motivos según la Ley 27.610? A) Semana 10 B) Semana 12 C) Semana 14 D) Semana 16
C) Semana 14 Explicación: La Ley 27.610 permite la IVE hasta la semana 14 inclusive sin necesidad de justificar motivos.
81
¿Qué derecho NO está garantizado en la atención de IVE/ILE según la Ley 27.610? A) Atención gratuita B) Plazo máximo de 10 días C) Obligación de realizar la práctica por objetores de conciencia D) Confidencialidad de la información
C) Obligación de realizar la práctica por objetores de conciencia Explicación: Los objetores de conciencia deben derivar a otro profesional, pero no están obligados a realizar la práctica.
82
¿Cuál de las siguientes alteraciones anatómicas está asociada al aborto recurrente? A) Útero retrovertido B) Incompetencia ístmico-cervical C) Endometriosis leve D) Ovarios poliquísticos
B) Incompetencia ístmico-cervical Explicación: La incompetencia ístmico-cervical es una causa conocida de aborto recurrente, especialmente en el segundo trimestre, y puede requerir cerclaje profiláctico.
83
¿Qué anticuerpos se dosan para diagnosticar el síndrome antifosfolípido? A) Anticuerpos antinucleares B) Inhibidor lúpico y anticardiolipinas C) Anticuerpos antitiroideos D) Anticuerpos anti-DNA
B) Inhibidor lúpico y anticardiolipinas Explicación: El diagnóstico del síndrome antifosfolípido incluye el dosaje de inhibidor lúpico, anticardiolipinas y anti-B2 glicoproteína.
84
Verdadero o falso: El reposo absoluto mejora significativamente el pronóstico en la amenaza de aborto. A) Verdadero B) Falso C) Depende de la edad gestacional D) Depende de la causa del aborto
B) Falso Explicación: No hay evidencia suficiente de que el reposo absoluto mejore el pronóstico en la amenaza de aborto, según el documento.
85
¿Qué complicación es más temida en un huevo muerto y retenido? A) Infección leve B) Trastornos de la coagulación C) Dolor pélvico crónico D) Infertilidad
B) Trastornos de la coagulación Explicación: Los trastornos de la coagulación son la complicación más grave, especialmente si el huevo permanece retenido por más de un mes.
86
¿Qué hormona se encuentra elevada en una mola hidatiforme? A) Progesterona B) Estrógenos C) HCG (Gonadotropina Coriónica Humana) D) Prolactina
C) HCG (Gonadotropina Coriónica Humana) Explicación: La mola hidatiforme se caracteriza por niveles de HCG superiores a 100.000 mUI/mL, lo que ayuda en su diagnóstico diferencial.