Como diferenciar cefaleia primária de secundária?
Primária
Recorrência + exame físico normal. Diagnóstico clínico
Secundária
Sinais de alarme:
Diagnóstico por exame complementar!
Mulher, mentruada, com cefaleia recorrente do tipo pulsátil, latejante, unilateral, forte, incapacitante, que dura entre 4-72h e piora com movimento, associada a náuseas ou vômitos, foto/fono/osmofobia, precedida por escoltomas sintilantes. Exame físico normal e sem sinais de alarme…
Diagnóstico, fatores desencadeantes, tratamento e profilaxia
ENXAQUECA (migrânea)
2 causa mais comum de cefaleia primária
Desencadeada por fatores ambientais ou emocionais
Aura: sinal neurológico focal, antes, junto ou após crise. Visual mais comum
Tratamento
Abortivo: analgesicos e aines (leve a moderada), triptanos (moderada a grave), metoclopramida, corticoide, clorpromazina (falha)
Profilático (> 3-4 crises/mês): beta-bloqueador (atenolol, propanolol), triciclicos, bloq. canais de cálcio (flunarizina), anticonvulsivantes (valproato, topiramato)
*se obesidade: topiramato, outros engordam
Paciente, com cefaleia recorrentem do tipo opressiva, aperto, bilateral, de leve a moderada intensidade, não incapacitante, de duração de 30 min a 7 dias, associada a hiperestesia e hipertonia da musculatura pericraniana, fono ou fotofobia, sem náuseas ou vômitos. Exame físico normal e sem sinais de alarme…
Diagnóstico, desencadeantes, tratamento e profilaxia…
CEFALEIA TENSIONAL
Causa mais comum das cefaleias primárias
Distribuição igual entre homens e mulheres
Desencadeada por stress, tensão
Tratamento:
Abortivo: analgésicos e aines
Profilático (_>_15 dias de crise/mês): tricíclicos
Homem, etilista, com cefaleia recorrente do tipo facada, unilateral, periorbitária, de forte intensidade, insuportável, fazendo o mesmo chorar e bater a cabeça na parede, de duração de 15 a 180 min, associada a hiperemia conjuntival, lacrimejamento, congestão nasal, sudorese, miose, ptose e edema palpebral. Exame físico normal e sem sinais de alarme…
Diagnóstico, desencadeantes, tratamento e profilaxia…
CEFALEIA EM SALVAS (CLUSTER)
Rara, mais comum em homens, desencadeada por alcool
Cefaleia trigemino-autonômica
Solicitar exame de imagem na primeira crise
Tratamento
Abortivo: O2 100% (escolha), triptanos (sumatriptano SC ou intranasal, zolmitriptano intranasal)
Profilático (a partir da primeira crise): verapamil (ECG por risco de BAVT), prednisona (10 dias), valproato
Mulher, com cefaleia recorrente (>5x ao dia) do tipo facada, unilateral, periorbitária, de forte intensidade, insuportável, fazendo a mesmo chorar e bater a cabeça na parede, de duração de 2 a 30 min, associada a hiperemia conjuntival, lacrimejamento, congestão nasal, sudorese, miose, ptose e edema palpebral. Exame físico normal e sem sinais de alarme…
Diagnóstico, desencadeantes, tratamento e profilaxia…
HEMICRANIA
Semelhante a cefaleia em salvas (trigemino-autonômica), mais comum em mulheres
Mais vezes ao dia (>5x), de duração menor (2-30 min)
Tratamento: indometacina (crise e profilaxia)
Homem, com cefaleia recorrente que vem apresentando resistência ao uso de analgesico, aumentando a frequencia das crises, em uso de mais de 3 doses regulares por semana. Exame físico normal e sem sinais de alarme…
Diagnóstico, desencadeantes, tratamento…
CEFALEIA POR ABUSO DE ANALGÉSICOS
Predisposição genética, sensibilidade central, fatores fisicocomportamentais
Diminuição da eficácia de profilaxia
Suspender drogas!
Paciente com crise de enxaqueca que surge após quadro focal de hemiplegia…
Paciente com quadro de enxaqueca com amaurose, diplopia, disartria, vertigem, hipoacusia…
Ambos casos de enxaqueca com aura
Manifestações somatossensoriais que podem vir antes, durante ou após a dor
Mulher, 20-40 anos, tabagista, obesa, com cefaleia recorrente associada a diminuição da acuidade visual e papiledema. Exame de neuroimagem normal, aumento de pressão liquorica …
Diagnóstico, desencadeantes, tratamento e profilaxia…
HIC benigna ou pseudotumor
Hipertensão liquorica idiopática
Tratamento:
Maioria some em 6 meses
Persistente: acetazolamida, PL de alivio, DVP
Cefaleia que surge após PL ou injeção epidural ou valsalva ou raquianestesia, que piora quando o paciente levanta…
CEFALEIA POR BAIXO VOLUME DE LIQUOR
Fistula faz com que o liquor saia para o espaço extraliquorico
Cefaleia ortostática
Diagnóstico: RNM de crânio, mioelografia
Tratamento: cafeina IV, blood patch se refratário
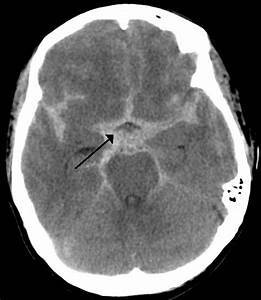
Paciente com quadro de cefaleia súbita, classificada como pior da vida, sonolência, diminuição do nivel de consciência, rigidez de nuca que surge 12 horas após inicio da cefaleia e sem sinal fical…
Diagnóstico, exame complementar, tratamento
HEMORRAGIA SUBARACOIDE
Ruptura de uma das artérias do polígono de Willis (+ comum comunicante anterior)
TC de crânio sem contraste: Hiperdensidade no espaço subaracnóide, sangue se mistura com liquor.
Se TC normal: PL (xantocromia)
Realizar angioTC ou arteriografia para localizar aneurisma
Tratamento:
Intervenção precoce (antes do 3 dia ou após 14, nao intervir no vasoespasmo): clipagem cirurgica ou endovascular (coil)
Controle de PA: <160mmHg
Neuroproteção com nimodipina

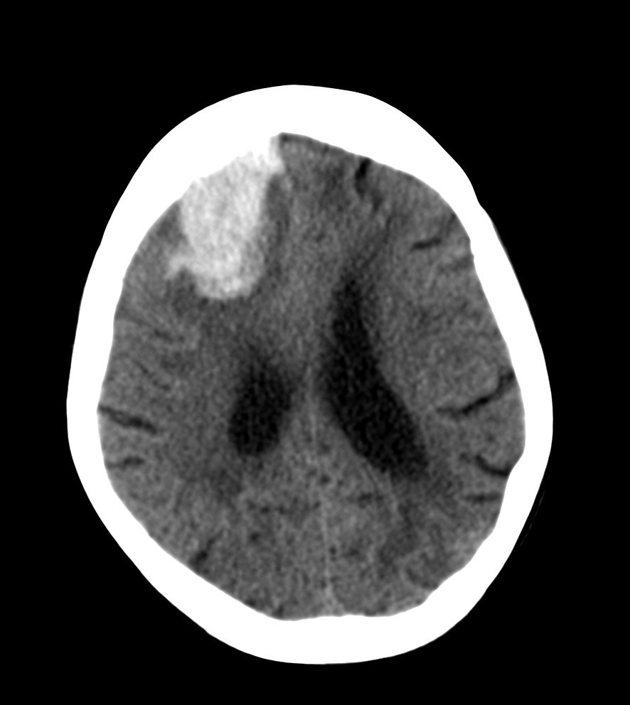
Paciente com quadro de cefaleia súbita, com déficit focal (hemiplegia ou hemiparesia), associada a HAS, bradicardia, arritmia respiratória, papiledema, sonolência, estrabismo convergente e vômitos em jato…
Diagnóstico, fator de risco principal, exame de imagem e tratamento…
HEMORRAGIA INTRAPARENQUIMATOSA
Cefaleia subita + HIC + déficit focal
TC de crânio sem contraste com hiperdensidade no parênquima
Putame: local mais atingido - hemiplegia contralateral pura
Tratamento
Suporte (HIC)… organismo reabsorve sangramento
Alvo PAs 140mmHg
Cirurgia: só opera se hematoma cerebelar >3cm (drenagem)

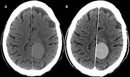
Paciente com quadro de cefaleia progressiva associada a déficit focal, HAS, bradicardia, arritmia respiratória, papiledema, sonolência, estrabismo convergente e vômitos em jato…
Diagnósticos …
cefaleia progressiva + HIC + sinal focal…
Neoplasias (sem febre)
Abscesso (com febre)
Paciente com quadro de cefaleia progressiva sem déficits ficais, associada a HAS, bradicardia, arritmia respiratória, papiledema, sonolência, estrabismo convergente e vômitos em jato…
Diagnósticos …
Hidrocefalia
cefaleia progressiva + HIC + sem sinal focal…
Tipos de neoplasias intracranianas…

Cefaleia, de forte intensidade, acompanhada de nauseas ou vômitos, que ocorre dias a semanas antes da ruptura aneurismática devido a pequeno sangramento do aneurisma, sem consequências catastróficas.
Cefaleia sentinela
Mulher, >50 anos, com episódios de cefaleia recorrentes em região temporal unilateral, não conseguindo pentear o cabelo, associada a dor mandibular ipsilateral, que se agrava quando fala ou mastiga durante muito tempo. Diminuição da acuidade visual, episódios isolados de febre baixa e perda de peso, além de dor e rigidez matinal em cintura escapular e pélvica…
Diagnóstico, exames e tratamento…
ARTERITE TEMPORAL ou DE CÉLULAS GIGANTES
Vasculite de grande e medio calibre (temporal, mandibular, oftálmica, central da retina), associada a polimialgia reumática em 40% casos
Sintomas Contitucionais (febre, anemia, emagrecimento), Cefaleia temporal, Claudicação da mandíbula, Cegueira
*hipersensibilidade do escalpo, palpa-se arteria dilatada
Diagnóstico: biopsia de artéria temporal, VHS e PCR mostram atividade da doença
Tratamento: resosta dramática a corticoide (antes da biopsia afim de evitar cegueira), AAS (prevenção de amaurose bilateral)

Homem jovem, com cefaleia, fotofobia, febril, confusão mental e rigidez de nuca, evoluindo com lesões cutâneas…
Diagnóstico, agente, exames, tratamento…

MENINGITE COM MENINGOCOCCEMIA
Neisseria meningitides (meningococo)
PL: pressão > 18cmH2O, aumento de polimorfonucleares, hiperproteinorraquia (>45 mg/dL), hipoglicorraquia (<40 mg/dL), glicose liquor/séria <0,4
Cultura gram: diplococo gram -
Tratamento: ceftriaxone +/- vancomicina + corticoide 4 dias
Isolamento respiratorio
Notificação imediata

Etiologias de meningites bacterianas
O que é mais grave: meningite, meningite + meningococcemia ou meningococcemia isolada?
Meningococcemia isolada
Já debilita o paciente antes de atingir a meninge
Qual a riade clássica da meningite e quais os dois principais sinais encontrados no exame físico de paciente com suspeita?
Febre + cefaleia + rigidez de nuca
Kernig
Dor em região posterior da coxa ao esticar o membro inferior flexionado a 90o
Brudzinski
Dor em região cervical ao fletir a cabeça em direção ao tórax ou dor a flexão dos joelhos

Agentes causadores de meningite
Diplococo gram -
Diploco gram +
Bacilo gram -
Bacilo gram +

Paciente com quadro de meningite evolui com destruição hemorrágica das adrenais e choque refratário…
Sindrome de Waterhouse-Friderichsen
Quando solicitar exame de imagem antes de realizar PL na suspeita de meningite?
Quando há risco de herniação cerebral iatrogênica por efeito de massa
Liquor na meningite: