Classifique o RN quando a IG, ao peso e ao pesoxIG…
obs: <28s: pré-termo extremo // 34 - 37s: tardio
Se > 37s e < 2000g: PIG

Ao final da gravidez, a transmissibilidade e a gravidade de uma infecção estão comos?
Transmissão: maior
Gravidade: menor
Quando suspeitar de infecção congênita em um RN?
Qual das tres fases da sifilis ocorre maior transmissibilidade de treponema para o feto?
Pode acontecer em qualquer estágio, porém é maior na primária e na secundária
Manifestações clínicas de sífilis congênita precoce e sífiilis congênita tardia?
Sífilis congênita precoce (<2 anos)
Sífilis congênita tardia (>2 anos)

Qual a tríade de Hutchinson e em que doença ela pode ser encontrada?
Sífilis congênita tardia
Tríade: dentes de hutchinson (incisivos), ceratite intersticial, surdez

Qual exame sempre solicitar na suspeita de sífilis congênita e quais exames complementares que podem ser solicitados… como esta o líquor na neurossífilis?
Sempre: VDRL do sangue periférico (
Em alguns casos: hemograma (anemia, plaquetopenia, leucopenia, leucocitose)
Liquor (neurossifilis): VDRL + OU células > 25 OU proteina >150
Rx de ossos longos
Avaliação auditiva, visual, hepatica, eletrolitos, rx tórax
Quando considerar uma gestante adequadamente tratada para sífilis?
Penicilina Benzatina
Adequado para fase
Iniciado em até 30 dias antes do parto
Avaliado risco de reinfecção
Queda do VDRL documentada
Como é feito o tratamento de um RN com mãe inadequadamente tratada ou não trada para sífilis e como é feito o tratamento se mãe adequadamente tratada?
Mãe não tratada ou inadequadamente tratada
Considerar RN como infectado e notificar. Todos exames e tratar todos
1. Liquor alterado: P. Cristalina IV 10 dias
2. Liquor normal e outra alteração: P. Cristalina IV 10 dias ou P. Procaina IM 10 dias
3. Assintomático e todos exames normais (VDRL - ): P. Benzatina dose única
Mãe adequadamente tratada
VDRL sempre!
A. VDRL_>_ materno em 2 diluições (4x): demais exames e tratar 10 dias… como 1 ou 2
B. VDRL< materno em 2 diluições (4x):
Como fazer o acopanhamento de sífilis congênita?
NOTIFICAÇÃO COMPULSÓRIA SEMANAL
Teste não treponêmico (VDRL): 1, 3, 6, 12, 18 meses
Adequadamente tratada: declinar VDRL aos 3 meses e não reagente aos 6 meses
LCR 6/6 meses (se havia alteração)
Avaliação auditiva, visual e neurológica 6/6 meses até 2 anos
O que significa esses resultados sorológicos de toxoplasmose na gestante e como prosseguir:
IgM (-) IgG (-)
IgM (-) IgG (+)
IgM (+) IgG (-)
IgM (+) IgG (+)
Como realizar o tratamento da gestante e do feto na infecção por toxoplasmose aguda?
Aguda se: IgM (+) IgG (-) ou IgM (+) IgG (+) e Avidez baixa <30%
Iniciar Espiramicina para gestante (não trata feto, apenas evita transmissão)
Avaliar infecção fetal com USG/PCR de liquido amniotico (amniocentese)
Se infecção fetal: Sulfadiazina + Pirimetamina + Ácido folínico (apenas após primeiro trimestre)
Qual a clínica no RN de toxoplasmose congênita, como investigar e como tratar?
Clínica: coriorretinite, hidrocefalia, calcificações difusas no SNC
Investigação: sorologia (IgM teste do pezinho), neuroimagem, fundoscopia
Tratamento: sulfadiazina + pirimetamina + ácido folínico por 12 meses
Corticoide se coriorretinite grave ou proteina LCR >1g/dL

Como ocorre a transmissão da citomegalovirose congênita?
Por ser um vírus da família herpes, a transmissão pode ocorrer por infecção materna aguda, reinfecção ou reativação da doença (não adianta rastreio)
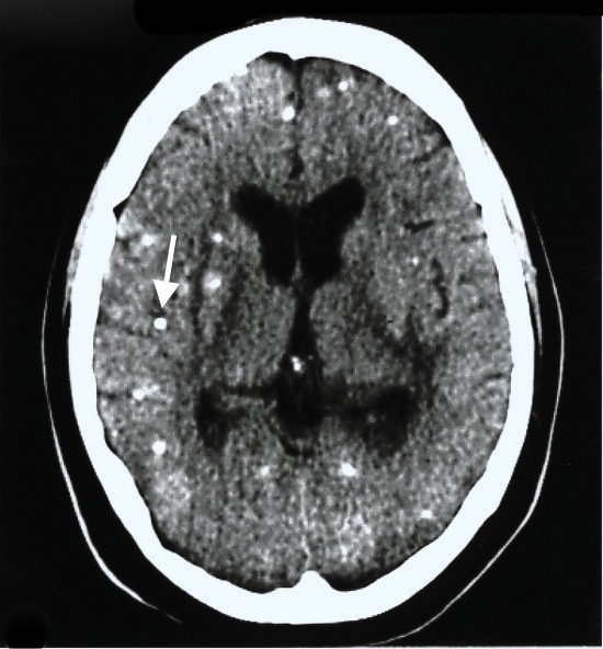
Como é a clínica de citomegalovirose congênita, como investigar e tratar… quais as sequelas mais importantes?
Clínica: em geral, assintomáticos… microcefalia, rash petequial/purpúrico, calcificações periventriculares
Investigação: vírus urina/saliva (<3sem)
Tratamento se graves: ganciclovir IV 6 sem ou valganciclovir VO
Sequelas: surdez neurossensorial não hereditária

Em que momento da infecção por rubeola pode ocorrer a sindrome da rubeola congênita e quais as manifestações clínicas no RN?
Primeiras 12 semanas de gestação
Clínica:
“Não me ouve, não me vê, isso corta meu coração”
Sem tratamento, manejo de sequelas
Em que momento da infecção por varicela ode ocorrer a sindrome da varicela congênita e quais as manifestações clínicas no RN?
Em qualquer momento da gravidez o vírus pode atravessar a barreira placentária e causar infecção, mas so ocorre a sindrome se a infecção acontecer abaixo de 20 semanas
Clínica: lesões cicatriciais, hipoplasia de membros e doença neurológica (ataxia cerebelar aguda… alterações na fala, na marcha e nistagmo)
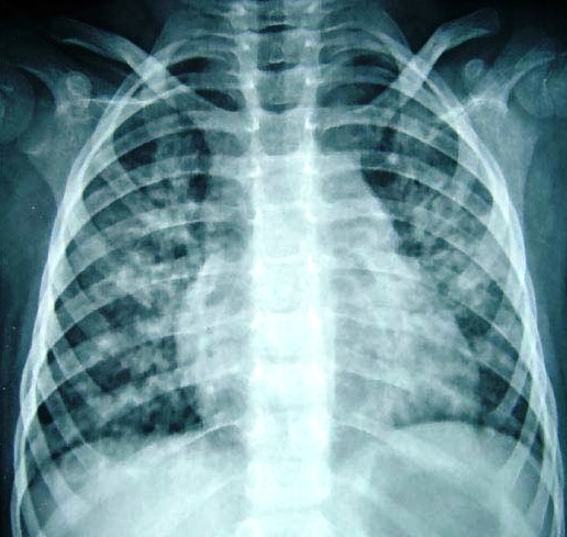
RN prematura, filho de mãe diabética, com quadro de desconforto respiratório nas primeias 24h de vida (taquipneia, tiragem, retração, BAN, cianose, gemência), Rx com infiltrado reticulogranular difuso/vidro moido, aerobroncograma e volume pulmonar reduzido…
Diagnóstico, fisiopatologia, e tratamento?

Síndrome do desconforto respiratório (Doença da membrana hialina)
Diminuição de surfactante no interior dos alvéolos… colapso alveolar na expiração
FR: prematuridade, DM
FP: estresse crônico (HAS, CIUR, drogas), ruptura prolongada membranas
Tratamento:
Prevenção: corticoide ante-antal, se ameaça de TPP, surfactante na sala de parto se risco elevado de DMH
Tempo e agentes envolvidos na sepese neonatal precoce e tardia?
Sepse precoce (<48h)
Via ascendente ou intra-parto
SBG (S. agalactiae) ou enterobacterias
Sepse tardia (>7dias)
Nosocomial, comunitária
Estaphilococus (coagulase - e S. aureus), outros gram -
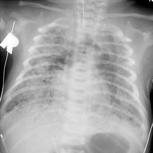
RN prematuro, com bolsa rota maior do que 18h, GBS +, com quadro de desconforto respiratório nas primeiras 48h (taquipneia, tiragem, retração, BAN, cianose, gemência), alteração do estado de alerta, hipoativo, Rx com infiltrado reticulogranular difuso/vidro moido, aerobroncograma e volume pulmonar reduzido…
Diagnóstico,, fatores de risco, e tratamento?
Sepse neonatal precoce
FR: bolsa rota >48h, corioaminionite, colonização por GBS, prematuridade (precoce e tardia)
Exames: hemograma com neutropenia e relação I/T > 0,2 (neutrofilos imaturos/totais), confirmar com culturas
Tratamento:
Precoce: ampicilina + aminoglicosideo
Tardia: depende do padrao de resistencia hospitalar (cobrir estaphilo e gram -)
Como realizar a prevenção de sepse neonatal?
Prevenção:
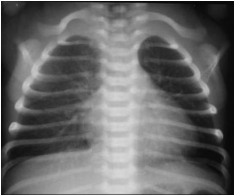
RN a termo/pré-termo tardio, nascido de cesárea eletiva, com quadro de desconforto respiratório nas primeiras horas de vida (taquipneia, tiragem, retração, BAN, cianose, gemência), Rx com congestão hilar, aumento da trama vascular, liquido cisural, cardiomegalia e hiperinsuflação….
Diagnóstico, fisiopatologia, tratamento e prevenção?

Taquipneia transitória do RN
Retardo na absorção do liquido pulmonar (síndrome do pulmão úmido)
FR: cesárea eletiva em atermo/pré-termo tardio
Tratamento: Resolução espontânea em 72h, suporte, oxigenio <40%, não faz diurético
Prevenção: evitar cesáreas eletivas, TP reduz o risco de taquipneia
RN termo/pós-termo, que passou por SFA ou reanimação, banhado por liquido meconial, com quadro de desconforto respiratório GRAVE nas primeiras horas de vida (taquipneia, tiragem, retração, BAN, cianose, gemência), Rx com infiltrado GROSSEIRO e volume pulmonar aumentado
Diagnóstico, fisiopatologia, e tratamento?

Síndrome da aspiração meconial
Asfixia faz relaxar esfincter anal fetal, eliminando mecônio, feto aspira para vias aéreas inferiores, causando obstrução expiratória, pneumonite quimica, infecção secundária
*prematuro sem mecônio na ampola retal ainda
Desconforto grave com infiltrado gorsseiro, podendo causar pneumotórax
Tratamento: suporte e surfactante
Principal complicação da sindorme da aspiração meconial que cursa com cianose e labilidade entre saturação pré e pós ductal?
Hipertensão pulmonar persistente neonatal
Resistência vascular pulmonar permanece alta após o nascimento
Mantém shunt direita-esquerda (não fecha canal arterial), gerando cianose
Tratamento: Óxido nítrico inalatório