Quais as indicações de biopsia excisional de um linfonodo?
Qual a clinica de linfoma?
Linfonodomegalia não doloroso (cervical ou supra-clavicular)
Sintomas B: febre > 38ºC, sudorese noturna, diminuição de >10% do peso em 6 meses
Como diferenciar linfoma de Hodgkin de linfoma não-Hodgkin?

Como é o estadimento de linfomas e como tratar cada caso?
Ann-Arbor modificado
Doença localizada
Estágio 1: 1 cadeia ou estrutura linfoide (baço, timo)
Estágio 2: _>_2 cadeias no mesmo lado do diafragma
QT + Radioterapia
Doença avançada
Estágio 3: ambos os lados do diafragma (III1 sup // III2 inf)
Estágio 4: Acometidomento extranodal distante (fígado, M.O.)
Quimioterapia
Recidivas: transplante

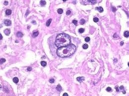
Qual o achado tipico na biopsia excisional de linfoma de Hodgkin?
Célula de Reed-Sternberg
+ pano de fundo reacional (histiócitos, plasmócitos)
(não é patognomônimo: mononucleose, sarcomas)

Subtipos de linfoma de Hodgkin
LH clássico (CD 15, CD 30)
LH com predominio linfocitário (CD 20)
Quais fatores contribuem para um pior prognóstico no linfoma?
Qual linfoma possui melhor prognóstico (LH ou LNH)?
Linfoma Hodgkin
Cura em 60-95% dos casos, mesmo em estágio IV, com tratamento adequado
Subtipos de linfoma não-Hodgkin
Cite 4 cuidados relacionados a QT
Náuseas e vômitos: ondansetrona/dexametasona
Mielotoxicidade: orientar neutropenia
Lise tumoral: 48h antes HV vigorosa e alopurinol
Cardiotoxicidade (antraciclinas): ecocardio pré-QT
Como suspeitar de uma sindrome mononucleose-like? Qual a doença protótipo?
Protótipo: mononucleose infecciosa

Como diagnosticar e tratar mononucleose infecciosa?
Diagnóstico
Anticorpos heterófilos: Paul-Bunnel ou monoteste (baixa especificidade)
Anticorpos específicos (anti-VCA, anti-EBNA): fase inicial, idade <4anos
Tratamento
Sintomáticos: evitar AAS (risco de Sd de Reye)
Graves: corticoterapia
Qual o agente da doeça de chagas e os principais meios de transmissão?
Agente: Trypanossoma cruzi
Transmissão: oral (principal, açai, cana), vetorial (triatomínio, extradomiciliar), vertical, sanguinea
Região norte, homens
Principais achados na forma aguda de doença de Chagas? Como diagnosticas…
Chagoma: lesão por inoculação, enduração
Sinal de Romaña: porta de entrada palpebral
Sistêmicos: Mononucleose-like, miopericardite, encefalite
Diagnóstico: exame direto no sangue periférico, IgM anti T-cruzi

Principais achados na forma crônica de doença de Chagas? Como diagnosticas…
Indeterminada (60%): assintomático
Cardíaca (30%) + grave: IC, aneurisma apical, tromboembolismo, BRD + BDAS/HBAS
Digestiva (10%): acalasia, constipação, magaesôfago, megacolon
Diagnóstico: IgG (2 testes positivos)

Como tratar chagas agudo e crônico? O que fazer na preventiva?
Chagas congênito, agudo, crônico recente (<12 anos, adultos < 50 anos?): benzdazol 60 dias
Crônico: tratar IC, e sintomas gastrointestinais
Preventiva:
Agudo: notificação compulsória imediata
Crônica: notificação compulsória semanal
Causas de esplenomegalia de monta? Como suspeitar?
> 8cm, FIE, ultrapassa linha média

Doença adiquirida atravez da arranhadura ou mordida de gatos, que inicia com papula no sitio de inoculação, linfadenopatia axilar ipsilateral, podendo supurar…
Diagnóstico, agente,
DOENÇA DA ARRANHADURA DO GATO
Bartonella Henselae
Entre gatos: pulga // entre gato e homem: mordida/arranhadura
Incubação: 7-12 dias (3-30 dias)
Diagnostico: PCR ou sorologia
Tratamento: azitromicina (não obrigatório)

4 principais causas de massa no mediastino?
4 T’s
