Quais a triade que configura os principais fatores de risco para a formação de tromboembolismo veneoso?
Tríade de Virchow
Hipercoagulabilidade
ACO, TRH, câncer, SIRS, SAAF, HF, trombofilias (fator 5 de Leiden, mutação protrombina)
Lesão endotelial
TVP prévia, cirurgia ortopédica, trauma
Estase sanguínea
Imobilidade, pós-operatório, obesidade, AVC, hiperviscosidade por policitemia, IC, gravidez
Principais manifestações clínicas relacionadas ao TEP? Qual o principal sinal? Qual o principal sintoma?
Se grave (TEP maciço):
Quais o achado mais comum no ECG no TEP? E o mais específico?
Taquipneia (+ comum)
Padrão S1Q3T3 (+ específico)

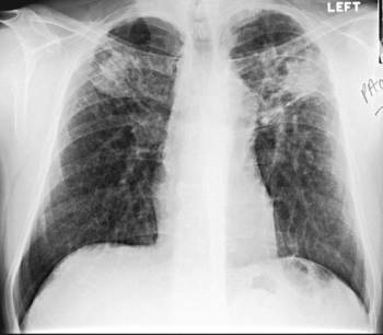
Dois sinais que podem aparecer no Rx de tórax de TEP?
Sinal de Westermark
Oligoemia localizada (+ preto)
Sinal/corcovas de Hampton
Hipotransparência triangular periférica

Quais exames complementares podem ser solicitados na suspeita de TEP? Eles fecham diagnóstico se alterados?
Não fecham diagnóstico… reforçam hipótese

Explique o algoritimo diagnóstico na suspeita de TEP?
Inicia-se a terapia já na suspeita
Só interrompe a investigação com imagem se fechado o diagnóstico… caso contrário, seguis para o exame seguinte. Interrompe e descarta TEP se até a arteriografia vier negativa
Se gestante: nao fazer angio-TC.. iniciar pela cintilo

O que avalia o escore de WELLS?

Como tratar TEP?
Anticoagulação e filtro não dissolvem o trombo, apenas evitam sua piora… organismo se encarrega de dissolver!
Paciente internado há dois dias por fratura de fêmur e da bacia. Ao exame, confusção mental, sonolência, rash petequial em tórax, além de baixa saturação de oxigênio…
Diagnóstico, tratamento e prevenção?
Embolia Gordurosa
Fratura de ossos longos e pelve (M.O. amarela) libera micropartículas de gordura na cisrculação gerando obstrução e vasculite 12-72h após o trauma
Não é súbito como no TEP
Clínica:
Tratamento: suporte, metilprednisolona?
Prevenção: tratamento ortopédico precoce
Clínica e sinal caracteristico de TVP?
Ordem de acometimento vascular?
Métodos diagnóstico, qual o P.O.?
Maioria assintomático
Edema, dor a palpação, empastamento panturrilhas
Sinal de Homans (flexão dorsal da perna, dor na panturrilha com dorsiflexão do pé)
Quanto mais proximal, maior o risco de TVP: iliaca > poplitea > tibial-fibular > plantar
Diagnóstico: eco Doppler (perda da compressibilidade), venografia (P.O.)

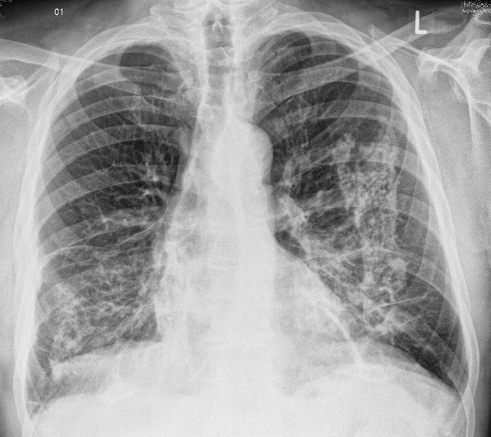
Paciente, que costumava trabalhar em pedreira/mineração, com queixa de dispneia progressiva, com Rx evidenciando linfonodos com calcificação periférica…
Diagnóstico, tratamento?
Silicose
Pneumoconiose causada por deposição de micropartículas de silica no parênquima, levando a alveolite inicialmente e fibrose pulmonar nodular mais tardiamente
História ocupacional de pedreira, jateamento de poeira, mineração
Rx tórax: inicial: infiltrado micronodular // tardio: fibrose em zonas superiores
Linfonodos com calcificação periférica, em casca de ovo (eggshell)
Predispoe TB pulmonar

Qual pneumoconiose predispõe TB pulmonar?
Silicose
Depósito de micropartículas em áreas superiores

Paciente, que costumava trabalhar com amianto, telhas, cimento, caixas d’água, com queixa de dispneia progressiva, com Rx evidenciando padão de fibrose difuso…
Diagnóstico, tratamento?
Asbestose
Pneumoconiose causada por deposição de micropartículas de asbesto/amianto, no parênquima, levando a alveolite inicialmente e fibrose pulmonar difusa mais tardiamente
História ocupacional de trabalhar com construção civil, demoliação, cimento, telhas, caixa d’água
Tratamento: evitar exposição
Relacionada a mesotelioma e câncer de pulmão

Qual pneumoconiose está associada a mesotelioma e câncer de pulmão? Como se encontra o rx do mesotelioma
Asbestose
Mesotelioma (massa pleural): imagem hipotransparente em campo pulmonar superior direito, em contato direto com a parede torácica
Sinal da silhueta: hipotranparência apaga os bordos da estrutura adjacente, encostando na parede torácica

Dois fenótipos de paciente com DPOC?
Bronquite crônica obstrutiva (Blue Bloater)
Inflamação/fibrose do epitélio dos alvéolos/bronquíolos
Tabagismo
Enfisema pulmonar (Pink Puffer)
Enzimas proteolíticas com destruição do septo alveolar
Tabagismo, deficiência de alfa-1-antitripsina

Como se apresenta a espirometria no paciente asmático? E no DPOC?
Asma:
DPOC:
FIBROSE
Como calssificar o DPOC quanto a gravidade?

Como realizar a terapia de manutenção ambulatorial do DPOC?
Droga padrão: broncodilatador

Critérios para uso de O2 domiciliar?
Paciente deve estar estável
Quando suspeitar de DPOC descompensada, qual a principal causa e como tratar?
Principal causa: pneumonia por vírus ou bactéria (H. influenzae, S. pneumoniae, M. catarralis)
Suspeita: piora dos sintomas respiratórios (piora da dispneia, aumento do volume do escarro ou secreção purulenta)
*ATB: amoxicilina + clavulanato ou macrolídeo 5-7 dias
*Nebulização com ar comprimido

Como definir ASMA, quais seus fatores desencadeantes e os principais fenótipos…
Inflamação crônica das vias aéreas causada por eosinófilos com episódios reversíveis de hiperatividade brônquica (crises)
… ao entrar em contato com fatores desencadeantes: IVAS (principal), alergenos (pó, poeira, cheiros, clima), drogas, exercicios, stress, poluição…
Fenótipos:
Se gestante e asmática, como realizar o tratamento?
Tratar como se não estivesse grávida
Durante o TP, se broncoespasmo e precisar usar beta-2- agonista, risco de hipoglicemia no feto: monitorizar glicemia RN por 24h
Como fazer a classificação de controle da asma?
Nas últimas 4 semanas…
Nível de controle da asma:
Como realizar o tratamento crônico da asma (steps)? Qual a classificação de gravidade?
< 6 anos: evitar beta-2-agonistas de longa duração (utilizar apenas corticoide inalatório)
