Princiapal alvo viral do HIV?
Células TCD4, células dendriticas e macrófagos
Qual a função de cada receptor e enzimas no ciclo viral do HIV?
Receptor CCR5: puxar o material genético do HIV (RNA) para dentro da célula
Transcriptase reversa: transforma RNA em DNA
Integrase: leva o DNA para detro do núcleo
Proteases: transforma o DNA em proteínas para virar novo vírus
*Quando o virus sai da celula arrasta um pedaço da membrana… várias partícular virais acabam levando a morte do TCD4

O que se chama envelhecimento precoce relacionado ao HIV?
Aumento da carga viral diminui a contagem de TCD4
Nunca se cura do vírus: ativação imune crônica, inflamação crônica com lesão endotelial… aterosclerose/neoplasias (envelhecimento precoce)
Caracterize as três fases da historia natural do HIV?
FASE AGUDA
FASE DE LATÊNCIA CLÍNICA
FASE SINTOMÁTICA
Doenças relacionadas ao HIV (precoce x AIDS)
Precoce: CD4 > 350 // AIDS: CD4 < 350 - 200

Diferencia doenças relacionadas ao HIV em precoce e definidoras de AIDS quanto a…
Cândidiase
Tuberculose
Vírus
Neoplasias
Outros
PRECOCE:
Candidíase oral, vaginal, TB pulmonar, leucoplasia pilosa (EBV), herpes zooster (VVZ), displasia cervical, ca cervical in situ, anemia e diarreia crônica
AIDS
Candidíase esofágica e respiratória, TB extra pulmonar, CMV disseminado (exceto fígado, baço e LND), vírus JC (LEMP), ca cervical invasivo, linfoma não hodgkin, sarcoma de Kaposi, pneumocistose (PCP), neurotoxoplasmose
Como realizar o diagnóstico de HIV em menores de 18 meses? E em maiores de 18 meses em situação especial e na referência?
< 18 meses: carga viral (PCR)… 2 testes positivos
> 18 meses…
Situação especial:
Referência:
Quais os testes mais sensíveis para HIV… Quais os mais específicos?
Sensiveis: TR e IE (ELISA)
Específicos: Western Blot ou Imunoblot
Se específicos discordantes, pensar em controladores de elite, FP?)
HIV é emergência médica e deve ser inicido TARV tão logo diagnósticada a doença!
FALSO
Primeiramente deve haver adesão e disposição do indivíduo par iniciar TARV
Oferecer a todos os pacientes com o vírus, por benefício comunitário (carga viral indetectável não transmite)
Quem são os grupos prioritários para iniciar TARV?
Sintomáticos
Assintomáticos com CD4 <350
Hepatite B ou C
Risco cardiovascular > 20%
Gestantes*
Tuberculose ativa*
*sempre fazer genotipagem pré-tratamento, porém não retardá-lo
Cite os 3 grupos de drogas do TARV e seus exemplos?
1) Inibidores de transcriptase reversa
Tenofovir (TDF), lamivudina (3TC), abacavir (ABC), zidovudina (AZT), efavirenz (EFV)
2) Inibidores da integrase
Dolutegravir (DTG), raltegravir (RAL)
3) Inibidores da protease
Lopinavir, Saquinavir, Ritonavir (potencializa lopinavir)

Qual o esquema inicial e de primeira linha de TARV? E na gravidez? E na tuberculose?
Primeira linha: Tenofovir (TDF) + Lamivudina (3TC) + Dolutegravir (DTG)
Gravidez: Tenofovir (TDF) + Lamivudina (3TC) + Raltegravir (RAL)
Tuberculose: Tenofovir (TDF) + Lamivudina (3TC) + Efavirenz (EFV)
Como fazer o acompanhamento de CD4 em paciente com HIV?
Se usa TARV, assintomático, CV indetectável
CD4 <350: 6/6 meses
CD4 _>_350: não solicitar
Sem uso de TARV, evento clínico, falha virológica
CD4 6/6 meses
Quando considerar falha virológica no tratamento com TARV? Conduta?
Carga viral continua detectável após 6 meses de terapia ou rebote após supressão
*sempre avaliar adesão ao tratamento
Conduta: Genotipagem para avaliar resistência
O que é a síndrome da reconstituição imune?
Piora de uma doença ou novas manifestações clínicas após início de TARV
Por isso, se diagnóstico de PCP ou TB, começar TARV duas semanas depois
Quais os principais efeitos colaterais dos medicamentos da TARV?
3TC: bem tolerado
TDF: nefrotoxicidade, diminuição massa óssea (CI IR e osteosporose)
DTG: cefaleia intensa (CI se uso fenitoina, carbamazepina, fenobarbital…)
EFV: rash, efeitos psiquiátricos (psicose, efavironha)
Em quem realizar profilaxia pre-exposição (PrEP) com TARV, critérios de indicação e qual esquema?
Segmentos prioritários
Critérios de indicação
Esquema
Quando considerar exposição de risco para HIV quanto ao material e ao tipo de exposição?
Material infectante: sangue, sêmen, fluidos vaginais, líquidos (serosa, liquor, articular, amniótica)
Exposição: percutânea, mucosa, pele não integra, mordedura com sangue
Quem tratar conforme resultado de exames com profilaxia pós-exposição e como fazer profilaxia?
Indicado até 72h da exposição (ideal 2h)
Repetir testagem 30-90 dias após exposição
Como fazer a profilaxia da transmissão vertical do HIV durante o pré-natal?
Iniciar TARV: a partir da 14a semana (TDF + 3TC + RAL)
Como fazer a profilaxia da transmissão vertical do HIV durante o parto?
Via de parto + AZT IV até campleamento do cordão
Avaliar carga viral após 34a semana:
CV < 1000: indicação obstétrica… se indetectável, sem AZT
CV > 1000 / desconhecida: cesárea eletiva (38 sem, bolsa íntegra, dilatação 3-4 cm)
Como fazer a profilaxia da transmissão vertical do HIV durante o puerpério?
Paciente, HIV positivo, CD4 < 200, com quadro de febre, tosse seca, dispneia progressiva, ausculta normal e rx de tórax mostrando infiltrado bilateral, peri-hilar, poupanco ápices…
Diagnóstico, achados sugestivos, tratamento e profilaxia?
PNEUMOCISTOSE (PCP)
Agente: pneumocystis jirovecii
CD4 < 200
Pneumonia arrastada, candidiase, hipoxemia, aumento LDH
Rx de tórax: infiltrado bilateral, peri-hilar, poupanco ápices
Tratamento: SMX-TMP IV/VO 21 dias (mesmo antes do isolamento do agente por escarro ou lavado bronquico)
Se paO2 < 70 em AA: + corticoide
Profilaxia 1a com SMX-TMP 3x/sem: CD4 < 200, candidiase oral, febre > 2 sem

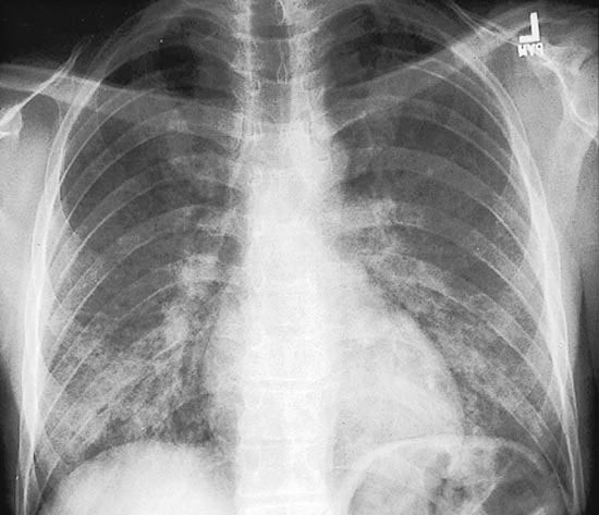
Paciente, HIV positivo, com clínica de febre, tosse, sudorese noturna, emagrecimento, sempre devemos levantar hipotese de ….
TUBERCULOSE
Agente: Mycobacterium tuberculosis
Qualquer CD4
Rx: CD4 > 350: apical, cavitário // CD4 < 350: miliar, difuso
Diagnóstico: escarro: TR ou baciloscopia, sempre cultura
Tratamento: RIPE 2m + RI 4m… TARV em até 2 sem após

Quando e como realizar profilaxia de tuberculose em paciente com AIDS?
Isoniazida 270 doses (9-12 meses)