Como acontece a distribuição trimodal do trauma?
Segundos a minutos: prevenção
Minutos a 24 h: ATLS
> 24h: medicina

Qual a primeira medida em frente a uma vitima de trauma?
Garantir sua segurança e segurança da cena
Após… ABCDE
Airway, breathing, circulation, disabilities, exposition
O que fazer no “A” do abcde do trauma?
AIRWAY
Estabalizar a coluna cervical (colar, prancha, coxins)
Via aérea está pervia (perguntar nome)?
Sim: ir para o B…
Não: afastar corpo estranho… via aérea artificial
Quais as indicações de via aérea artificial?
Apneia
Proteção da via aérea (sangramento volumoso, vômitos)
Incapacidade de manter oxigenação
TCE grave (glasgow < 8)
Como diferenciar via aérea temporária de definitiva?
Definitiva: protege via aérea (balonete na traqueia)
IOT, intubação nasotraqueal, cricotireoidostomia cirurgica, traqueostomia
Temporária: Não protege via aérea
Cricotireoidostomia por punção, máscara laringea, combitubo
Sequência para realizar via aérea artificial?
IOT (preferencialmente)
Se não conseguir/não posso intubar (sangramento escessivo, sem material, sem visualização de cordas vocais, fraturas extensas de face)…
Mascara laringea, combitubo (temporárias)
Se não tem ou não quero…
“O crico eu faço”… cricotireoidostomia cirúrgica (CI < 12 anos) ou cricotireoidostomia por punção (máximo 30-45 min)
Quando suspeitar de fratura de laringe e qual a conduta?
Rouquidão, enfisema, papação com instabilidade
Tentar IOT
Não conseguiu, TRAQUEOSTOMIA
O que fazer no “B” do abcde do trauma?
BREATHING (RESPIRAÇÃO)
Oferecer O2, exame fisico respiratório, oximetria de pulso
… armadilhas do B (pneumotórax, hemotórax…)
O que fazer no “C” do abcde do trauma?
CIRCULAÇÃO + CONTROLE DA HEMORRAGIA
Trauma + hipotensão = choque hipovolêmico até se prove o contrário
Locais mais comuns: tórax, abdome, pelve, ossos longos, exanguinantes

Qual o conceito de transfusão maciça e quando esta indicada? e o ácido tranexâmico?
> 10 UI/24 h ou >4 UI/1h
Indicado: refratariedade a reposição inicial com 1 L de volume, classe 4
* ácido tranexâmico (antifibrinolítico), indicado precocemente em sangramentos deviso a lesão não externa!
Como avaliar a resposta a reposição de volume?
Diurese
Quando está contraindicada a sondagem vesical para avaliar a reposição volêmica? O que fazer nesses casos?
Sangue no meato uretral, retenção urinária, hematoma perineal, suspeita de fratura de pelve
Antes de sondar, afastar lesão de uretra com uretrocistografia retrograda

,Lesão de qual tipo de uretra…
ANTERIOR
Lesão de uretra bulbar: Queda a cavaleiro
Lesão de uretra peniana: Ferimento penetrante, ataque de animais
POSTERIOR
Lesão de uretra memebranosa: Fratura, luxação de bacia

O que fazer no “D” e “E” do abcde do trauma?
DISFUNÇÃO NEUROLÓGICA
glasgow, pupilas, extremidades
EXPOSIÇÃO + CONTROLE DO AMBIENTE
Expor todo o paciente + prevenir hipotermia + RL aquecido
Evitar a triade da morte: hipotermia, coagulopatia e acidose
O que é o X-ABCDE?
Comprimir a lesão exanguinante se ouver, antes de iniciar ABCDE
Apenas no PHTLS
Paciente vitima de trauma de tórax apresenta-se na emergencia com MV diminuidos ou abolidos, hipertimpanismo, desvio da traqueia para o lado contralateral, turgencia jugular e hipotensão…
Diagnóstico, exame de imagem, conduta imediata e definitiva?
PNEUMOTÓRAX HIPERTENSIVO
Não fazer exame de imagem. Diagnóstico é clínico
Conduta imediata
Toracocentese de alívio no 4-5o EIC anterior a linha axilar media
*na criança continua no 2o EIC
Conduta definitiva
Drenagem em selo d’água (toracostomia) no 5o EIC anterior a linha axilar media

Quais os criterios para pensar em “não melhora” de paciente após tentativa de drenagem de pneumotórax hipertensivo? O que pensar se após drenagem paciente não melhorou? Qual a conduta?
Melhora: reexpansão pulmonar, borbulhamento não intenso no selo d’água
Drenou mas não melhorou: lesão de grande via aérea (bronquio fonte?)
Diagnóstico: broncoscopia
Conduta imediata: IOT seletiva, segundo dreno
Conduta definitiva: toracotomia
Paciente vitima de trauma penetrante de tórax, com corificio >2/3 do diâmetro da traqueia…
Diagnóstico, conduta imediata e definitiva…
PNEUMOTÓRAX ABERTO
Conduta imediata
Curativo em 3 pontas
Conduta definitiva
Toracostomia no 5o EIC anterior a linha axilar media com drenagem em selo d’água
Todo pneumotórax deve ser drenado?
Não
Se simples/espontâneo, pequeno (<1/3 do espaço pleural) e assintomático, não drenar
Drenar apenas se transporte aéreo ou VM
Paciente vítima de trauma torácico com fraturas em >2 arcos costais consecutivos em pelo menos 2 pontos em cada arco, com dor e respiração paradoxal…
Diagnóstico, conduta e complicação…
TÓRAX INSTÁVEL
Respiração paradoxal
retração do tórax durante inspiração e abaulamento do tórax durante expiração
Conduta: suporte: analgesia e O2
Complicação: contusão pulmonar (consolidação)
Se PaO2 < 60 ou SatO2 <90%: IOT + VM

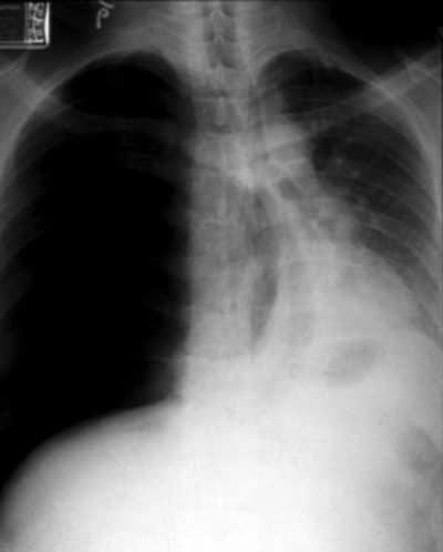
Paciente vítima de trauma torácico com clinica de MV diminuidos ou abolidos, macicez a percussão e jugular colabada, evoluindo com choque hipovolêmico…
Diagnóstico, conduta…
HEMOTÓRAX
Sangramento de vasos intercostais ou parênquima (geralmente auto-limitado)
Conduta: Toracostomia (drenagem em selo d’água)
Avaliar débito de sangue

Quando indicar toracotomia no hemotórax?
Se hemotórax maciço
Como o E-FAST pode auxiliar no diagnóstico de pneumotórax (o que ele mostra)?
Ausência de movimentação entre os folheto pleurais por interposição gasosa
Normal: sinal da praia (deslizamento livre entre as pleuras pulmonares)

Quando inidicar toracotomia de reanimação na emergência? Quais os objetivos…
PCR pós-traumática + trauma de tórax + sinais de vida (pupilas reagentes, movimentos, ECG com atividade organizada - pouco tempo de PCR)
Objetivos: