The combination of __ and __ is suggestive of a cerebellopontine mass
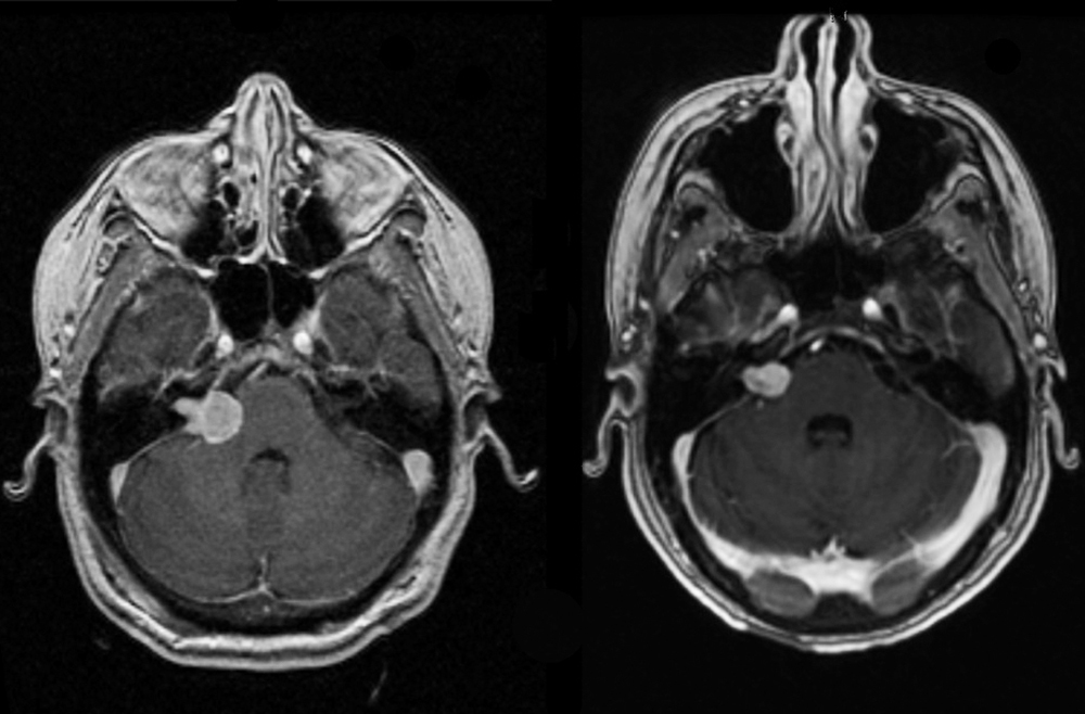
The combination of hearing loss and facial paralysis is suggestive of a cerebellopontine mass
Acoustic neuroma / Vestibulocochlear schwannoma

Cerebellopontine angle
The angle between the cerebellum pons, and temporal lobe
This space contains cranial nerves V through XI

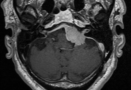
Two most common cerebellopontine angle masses
Meningiomas of the CPA

Epidermoid tumor of the CPA
Benign tumor composed of squamous epithelial elements.
Thought to arise from congenital nests.
Glomus tumor of the CPA
Three options for dealing with a posterior fossa tumor
Outcomes in gamma knife therapy for CPA tumors
For which types of tumor is stereotactic radiotherapy not an option?
Meningioma
Epidermoid tumor
Drawbacks of stereotactic radiotherapy
Stereotactic radiotherapy should never be used for a CPA tumor when . . .
. . . the pathologic diagnosis is in doubt
What is the single best test to elucidate the etiology of a unilatreal sensorineural hearing loss?
MRI of the internal auditory canal with gadolinium contrast
Unfortunately, it is not entirely specific, but it can shed light on the nature of the pathology.
Evidence suggests that Bell’s palsy is probably due to ___
Evidence suggests that Bell’s palsy is probably due to recrudescence of HSV within the facial nerve
By definition, Bell’s palsy is. . .
. . . a diagnosis of exclusion