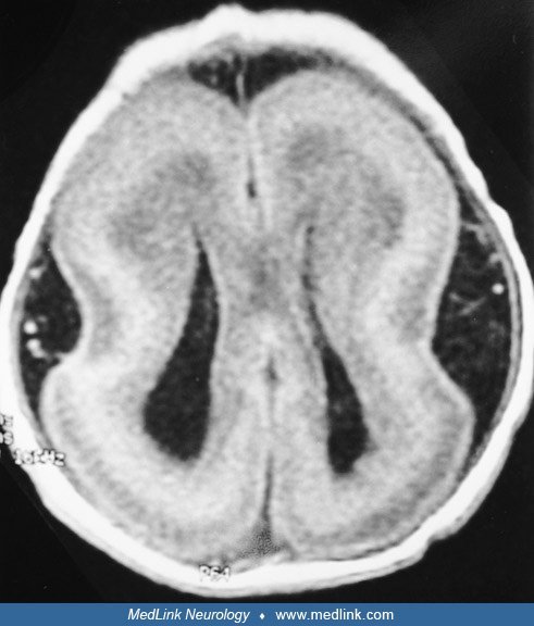
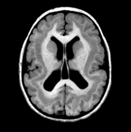
Lissencephaly

Miller-Dieker syndrome
Isolated lissencephaly sequence
Subcortical band heterotropia

Infantile spasms

Hypertelorism
Abnormally increased distance between the eyes

Epicanthal fold
Skin fold of the upper eyelid covering the medial corner of the eye

Clinodactyly

Treament for lissencephaly
Genetic counseling in lissencephalopathy
Recurrence risk is very low for most cases, as most mutations are de novo.
However, if a recpirocal translocation is identified, recurrence risk can be as high as 33%
Diagnosis of lissencephaly
Clinical hallmarks of Miller-Dieker syndrome
__ can mimic infantile spasms, but will always occur after a child eats, and the child will typically be developmentally normal
Intestinal colic can mimic infantile spasms, but will always occur after a child eats, and the child will typically be developmentally normal
This might make you suspect intussusception