Epidural hematomas are highly unlikely following blunt trauma in those under age __ and over age __
Epidural hematomas are highly unlikely following blunt trauma in those under age 2 and over age 60
This is because in those younger than age 2 the calvarium is extremely pliable, and in those older than age 60 the dura is strongly adhered to the inner table of the skull
Spinal epidural hematoma
Decerebrate vs decorticate posturing

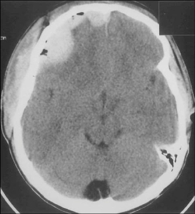
Presence of air in an epidural hematoma
Suggests fracture of the sinuses or mastoid air cells

Positioning to reduce ICP
In bed: Elevation of head of bed by 30 degrees
In OR: Reverse Trendelenburg to 30 degrees
Best predictor of how someone will do in surgery following EDH
Status of awareness / GCS prior to the procedure
If the pupils are appropriately reactive just prior to surgery, the prognosis is excellent