Spatial impairment / “getting lost in a familiar area” suggests . . .
. . . parietal involvement
Brain tumor headache
Usually dull, intermittent, non-throbbing, frontal
May mimic tension-type OR migraine type
Classically “worse in the morning” and progressive
“Hiccups” may indicate . . .
. . . phrenic nerve irritation
Non-contrast CT in brain tumors
~90% sensitive
Suprisingly helpful
Magic Dr for Ring enhancing lesions on MRI
Brain abscesses on MRI
Central restricted diffusion
Basically all the pus is what enhances
“Multiple ring enhaning lesions”
Toxo should be high on the differential
Smooth and thin borders of a ring enhancing lesion
abscess
When to steroids and when not to steroids in brain tumors
Surgery in brain cancer
Surgery virtually never cures adult glioma
Biopsy is usually the indication for surgery in the setting of brain tumor
A meningioma often has a ___, which can be seen on imaging
A meningioma often has a dural tail, which can be seen on imaging
“CSF cleft”
Thin ribbon of CSF that can be seen around a meningioma, indicating that it is NOT attached to the brain parenchyma
Risk factors for meningioma
NF2
Radiation exposure
CNS lymphoma has a ___ distribution on MRI
CNS lymphoma has a paintbrush splatter distribution on MRI
When patients are immunocompromised, CNS lymphoma looks. . .
. . . ring-enhancing, rather than blotchy otherwise
It looks a lot more like an abscess.
Induction and maintenance therapy for brain tumors
Induction: Methotrexate or rituximab + methotrexate
Complications of treatment for brain tumors
Radiation and methotrexate can both cause leukoencephalopathy as a complication
Foster-Kennedy syndrome
A clinical syndrome of ipsilateral atrophy of the optic nerve (due to nerve compression), contralateral papilledema (due to elevated ICP), and anosmia.
Usually caused by frontal lobe tumors, most commonly meningiomas.

In women, prolactinomas often present with ___.
In men, prolactinomas often present with ___.
In women, prolactinomas often present with galactorrhea.
In men, prolactinomas often present with erectile dysfunction, gynecomastia, and loss of axillary hair.
“Thyrotropic” pituitary adenoma
Caused by secondary hyperthyroidism (TSHoma)
Primary hypothyroidism with secondarily increased TSH does not technically count under this diagnosis.
Can aripiprazole cause hyperprolactinemia?
NO!
Because it is special among the dopamine blockers.
. Aripiprazole acts as an agonist under hypodopaminergic conditions (thereby preventing hyperprolactinemia) but antagonizes D2 receptors under hyperdopaminergic conditions (thus retaining its antipsychotic effect).
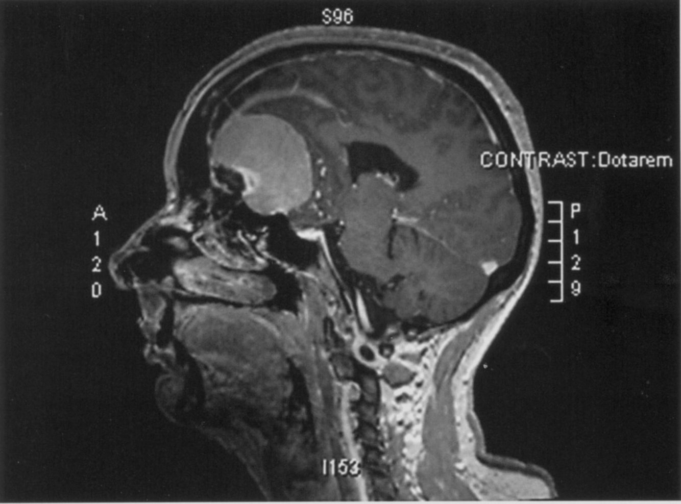
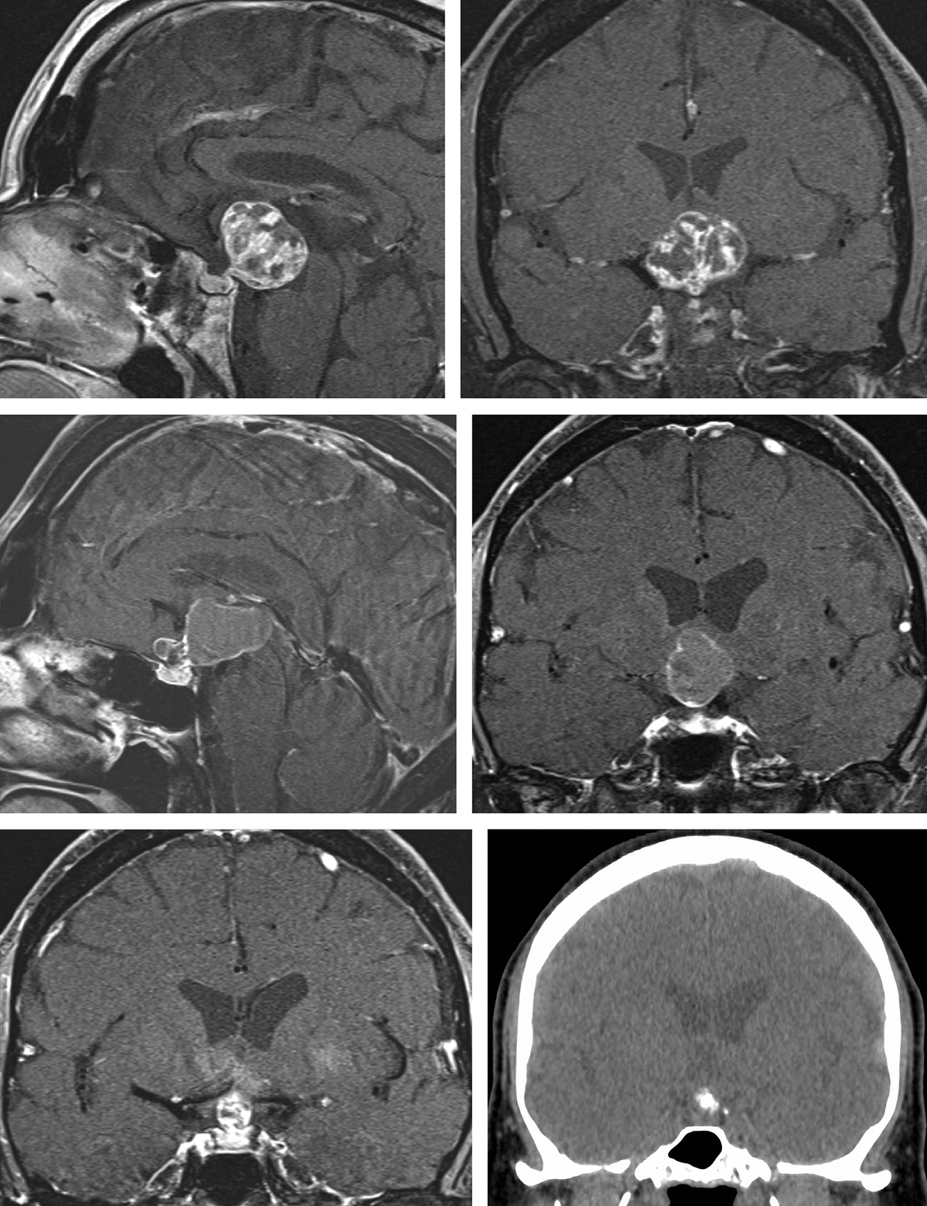
Typical locations of various brain tumors

Most common cause of acquired hypopituitarism in children
Craniopharyngioma

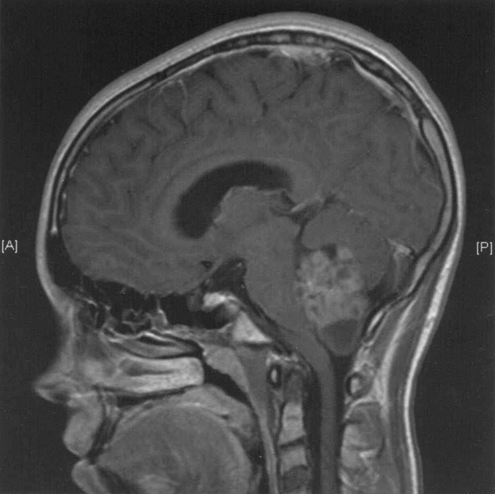
What is going on in this image?
Medulloblastoma
Note the solid and cystic components (cystic is the inferior-most) and the location
Commonly in kids. They present with truncal ataxia, generalized cerebellar abnormalities, and double vision/oculomotor abnormalities
