Triad of normal pressure hydrocephalus
First-line for migraine prophylaxis during pregnancy
Propranolol or metoprolol
Beta blockers have a great safety profile for pregnancy
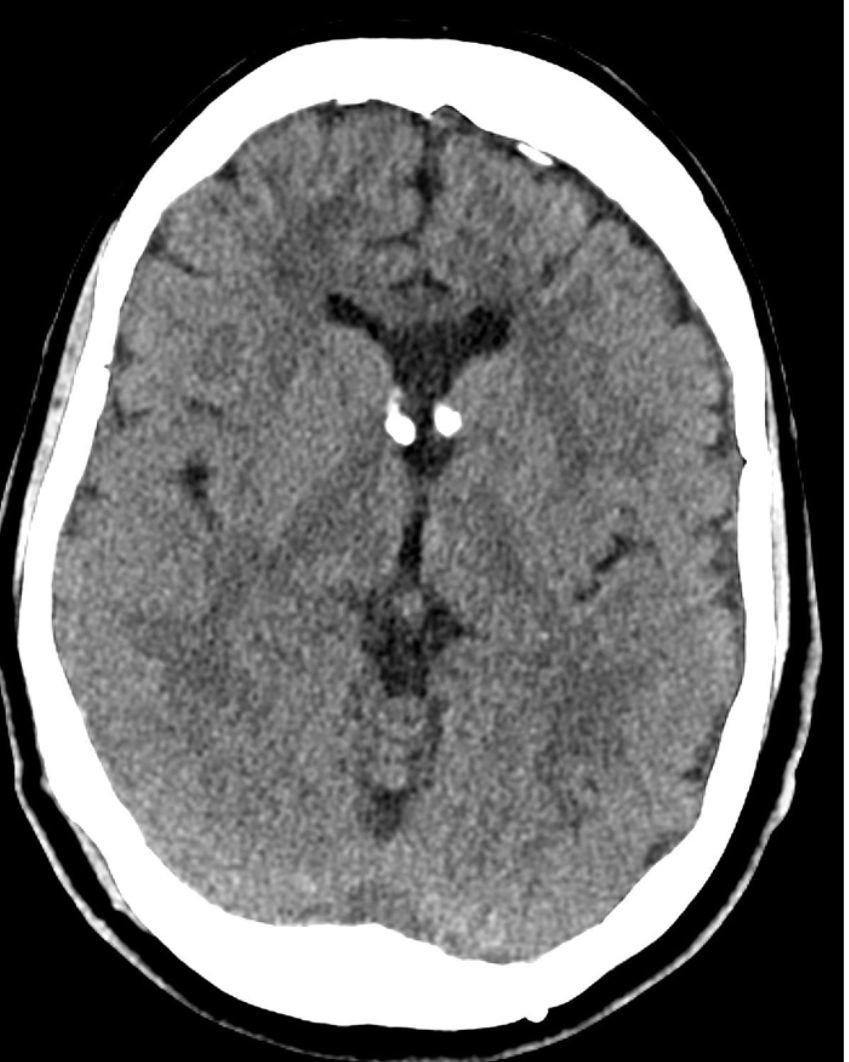
Characteristics of PML on imaging
Ultimately, PML is a demyelinating disease
On MRI, this will appear hyperintense.
On CT, this will appear hypodense and non-enhancing.
Features of catatonia
Treatment of catatonia
1st line: Benzodiazepines (IV lorazepam)
Refractory: Electroconvulsive therapy
Cavernous sinus thrombosis symptoms
Infection resulting in cavernous sinus thrombosis
Since the facial/ophthalmologic venous system is valveless, skin infection of the face can secondarily result in CST
This will look like some initial infection which then acutely worsens with headache, CN3-6 abnormalities, V1/V2 sensory abnormalities, and papilledema on exam
Diagnosis of normal pressure hydrocephalus
Treatment of a myasthenic crisis
Spindylolithesis

What are we trying to rule out by doing MRI prior to LP in suspected IIH?
Subependymal nodules

What should you consider when it looks like a small child had a stroke?
Sickle cell anemia
Treat w/ plasma exchange transfusion
How to think of CIDP
Chronic Gullian Barre
Spinocerebellar tracts

Flow of information through the red nucleus

Rubrospinal tract

Lateral brain slice showing deep gray structures

Glabellar sign
Failure of blinking reflex to extinguish
Form of frontal release sign
Sign of Parkinson’s
Hockey stick sign

Two cases where syringomyelia is usually seen
Von Hippel Lindau
Additionally, patients with VHL may have elevated blood pressure at baseline due to catecholamine overproduction

Associated tuberous sclerosis tumors
Risk reduction of Alzheimer’s disease
Managing chronic medical conditions well can delay onset of Alzheimer’s