Pathophysiology of HIV-associated dementia
Neuropsychological testing
A battery of tests to evaluate cognitive impairment more extensively than the MMSE
Effect of HAART on HAD
HAART reduces the incidence and severity of HAD, as one might expect
But, it does not bring these to zero.
Since HAART was only introduced in 1992, and HAART reduces the incidence of HAD . . .
. . . older patients / patients who have had HIV for longer are more likely to have HAD
Presentation/Natural history of HAD
One thing that is NEVER seen in HAD
Focal neurologic deficits
It is a strictly subcortical dementia
Physical exam findings in early vs late HAD
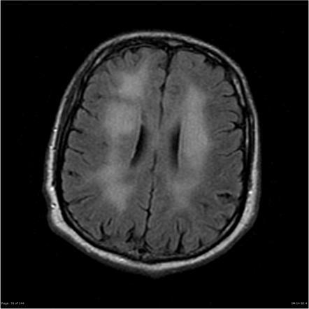
Imaging findings typical of HAD
Diffuse cerebral atrophy
Sometimes white matter changes and abnormalities are present in the thalamus and basal ganglia

Typical ddx for HAND
Management of HAND is essentially limited to. . .
. . . viral suppression by HAART
HAART can not only protect against, but can also lead to remission of HAND
Antiretrovirals with good CNS penetration are preferred: lamivudine, indinavir, zidovudine
“LIZ, HAND me the HAART”
Risk factors for HAD